Cookie Consent byPrivacyPolicies.comJ'aime mon boulot / les cas dont vous êtes fiers - Eugenol

J'aime mon boulot / les cas dont vous êtes fiers

Vw campersurfvan bmnk1q - Eugenol
enlaye

27/10/2014 à 12h16

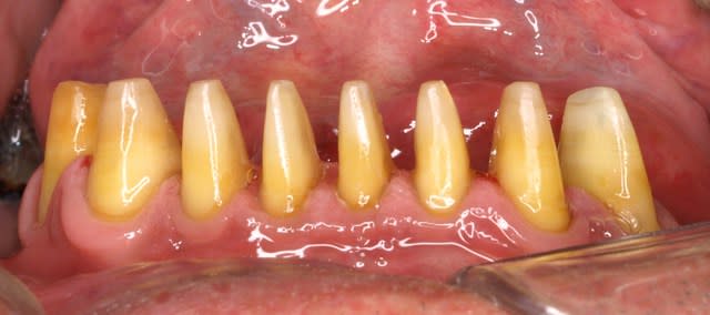
cet aspect est obtenu par des fraises tungstene a lamelles.
en une seule fois pour eviter la fraise diamant gros grain puis la meme en grains fin....
là c est de la komet a congé.style RCB


Img 2951 flo3gr - Eugenol
molinarius

27/10/2014 à 13h30

enlaye écrivait:
----------------
> chicot,quand tu auras acheté une turbine (le machin qui fait piiiihii....),tu
> pourras faire de jolies tailles comme ça....les yeux fermés.

très joli !

bon si tu cherches labo , je te fais 30 % de rabais direct ! :-)


Vw campersurfvan bmnk1q - Eugenol
enlaye

27/10/2014 à 13h39

pour revenir a l aspect poli,
ç'est pour moi la seule façon de verifier les axes des tailles.
les reflets te guident au fur et a mesure de la taille.ç'est bonnard dans les cas de bridges.

P1177361   copie hjl31x - Eugenol
P1177359 jsiitw - Eugenol

Azerty06

27/10/2014 à 13h43

belles tailles ! , il me semble que les dents sont vivantes, elles sont préparées pour raison esthétique ?


Darmon - Eugenol
Latin

27/10/2014 à 13h44

C'est beau, on dirait du Kavo!


fgui

27/10/2014 à 13h56

OK je ne poli pas

Cass1  1  qp85ax - Eugenol

Vw campersurfvan bmnk1q - Eugenol
enlaye

27/10/2014 à 13h56

@Azerty
non,non toutes devitalisées pour raison endo paro.il ne restait que 3mn max d os par dent (incisives).il fallait les tenir pendant la taille de peur qu elles tournent sur elles meme!!

@Latin
salut petit latin ç est quoi du Kavo ?


Vw campersurfvan bmnk1q - Eugenol
enlaye

27/10/2014 à 14h02

joli Fgui.
bien vu le respect des papilles.par contre a mon avis il manque un poil de decortication sur les faces palatines.pour plus de confort a regler les chemins de fermetures.
les axes sont nickels.bravo ça fait plaisir.
toi aussi tu veux 30% ?


Darmon - Eugenol
Latin

27/10/2014 à 14h25

Je voulais dire Adec en mémoire des modèles utilisés sur fantômes, mais ça ne rimait pas! Et avant je crois que c'était des modèles Kavo.

Édit : Heu... En fait c'est Frasaco, c'est mieux, ça rime aussi!!

Sur tes photos c'est lisse, ça ne saigne pas, ça brille... comme sur des modèles de démonstration quoi!

Sur celle-la c'était frappant.

P6095483 esb6os - Eugenol

Vw campersurfvan bmnk1q - Eugenol
enlaye

27/10/2014 à 21h35

ha oui on croirait meme que la canine est en plastoc.Style les frasacos de tp de fac.


Little shop of horrors brzqjx - Eugenol
chatondecarte

27/10/2014 à 22h10

enlaye écrivait:
----------------
> pour revenir a l aspect poli,
> ç'est pour moi la seule façon de verifier les axes des tailles.
> les reflets te guident au fur et a mesure de la taille.ç'est bonnard dans les
> cas de bridges.


Les tailles sont en effet très très belles et magnifiquement polies. Et là on rentre dans une autre problématique.
Tu bosses bien et tu es habile et soigné. Les couronnes seront assurément magnifiques et très bien adaptées car il est évident que l'empreinte sera à la mesure des préparations.

Mais vient la question qui fâche : en quoi ce cas est une indication de couronnes?


doagui

28/10/2014 à 00h29

chatondecarte écrivait:
-----------------------
> Mais vient la question qui fâche : en quoi ce cas est une indication de
> couronnes?


Grand merci, ça me démangeais mais j'osais pas...

Toutes les dents ont l'air saines, pourquoi t'as taillé tout ce petit monde ? Ou alors je vois pas bien, ce qui est possible.


Vw campersurfvan bmnk1q - Eugenol
enlaye

28/10/2014 à 01h36

Non non y a rien qui fâche,on parle bien du cas de la photo des dent du haut ??

c est un cas d occluso ou j ai du tailler toutes les dents du haut et toutes les dents du bas (sauf 1 en bas parce que sans antagoniste ),
toutes en @max +bridge zircon antérieur,+1 ou 2 facettes.
En fait suite a un ancien bridge antérieur du haut avec des cingulums trop gros et rectilignes
et des ccm a la con en bas
il a declanché une para-fonction et a tout usé.De plus il y avait un décalage dans le sens sagittal et une absence de décalage entre oim et centrée.Ce cas là ne pouvais pas se corriger avec de l adhésive .
De plus ,lui il voulait surtout changer de couleur devant derrière a l extérieur et en dedans.il a fallu faire une teinte pour lui chez ivoclar .un bidet.plus tard ivoclar a sorti la couleur bleach.Ca ne suffisait pas on a même rajouté un peu de bleu comme sur les teintures de vielles ronbierres. Au final ça donne un aspect nacré original .Une huitre. En même temps vaut mieux ça qu'une bouche de moule.Il parait que ça rajeuni , ce blanc, dans une voiture rouge,ça fait plus classe en mer en haut du 3eme pont,et que ça rassure en l'air.Je veux bien le croire.


Little shop of horrors brzqjx - Eugenol
chatondecarte

28/10/2014 à 10h01

Je parlais du cas dent du bas. Avec la photo dans le miroir.


Vw campersurfvan bmnk1q - Eugenol
enlaye

28/10/2014 à 12h05

ben j ai deja repondu a la question!!!:
"@Azerty
non,non toutes devitalisées pour raison endo paro.il ne restait que 3mn max d os par dent (incisives).il fallait les tenir pendant la taille de peur qu elles tournent sur elles meme!!"

les dents n avaient rien.le ttt classique etait extraction des 4 incisives et rajout sur le stellite .J ai preferé un bridge de contention en fonction du stellite existant

Pa297317 prwy2f - Eugenol

Darmon - Eugenol
Latin

28/10/2014 à 12h26

Mais on veut bien voir la teinte "oyster" aussi!


Et le bridge de contention aussi!


Vw campersurfvan bmnk1q - Eugenol
enlaye

28/10/2014 à 13h38

pour le bridge de contention j ai pas de photo apres .faudra attendre janvier-fevrier ,il est prevu que j attaque le haut.

pour l huitre voila.

Pc166906 qqtts5 - Eugenol
P7285761 nykl8c - Eugenol
P7285763 eoetnq - Eugenol

Vw campersurfvan bmnk1q - Eugenol
enlaye

28/10/2014 à 14h24

je voudrais remercier SETHEF pour son post J'aime mon boulot / les cas dont vous êtes fiers et tous ceux qui participent ou meme regardent.
on y voit des super trucs mais surtout des supers praticiens de coeur qui s'investissent a fond pour le plaisir de bien faire et l envie de rendre service.
Tout ce que l'on peut donner n'est jamais perdu.
Par les temps qui courrent je crois que ç est notre seule arme de defense...
N'ayez pas peur de monter des truc ,c est aussi notre seule publicité de faire valoir sur un site ouvert au public......


youn

28/10/2014 à 15h39

Pour en revenir à la préparation tu n'utilises qu'un style de fraise pour tout? Tungstène pour tout?


Vw campersurfvan bmnk1q - Eugenol
enlaye

28/10/2014 à 18h55

oui Youn une seule forme de fraise (la fraise a congé) pour tout .tout y compris l endo jusqu au depart des canaux.
Pour les tailles une fois le plus gros de l émail enlevé tu peux tout faire avec.

Mais alors là attention!!!:ç est soit disant fait pour etre utilisé au contre angle rouge a vitesse moyenne.NE JAMAIS FAIRE CA au risque de te faire embarquer comme avec une defonceuse si tu tourne dans le mauvais sens......
A la turbine ç est different parcequ'elle tourne tellement vite qu'elle survole sans accrocher .mais attention au debut vaut mieux tenir la turbine a 2 mains genre revers au tennis .une main sur la turbine et l index de l autre main sur le devant de la tete de turbine.apres des qu elle est un peu usée ça craind moins.en fait faut pas se caguer....et tout a fond.com....

Maintenant j'utilise de plus en plus le grain fin bague rouge pour tailler bien parallele les yeux fermés ou en regardant ailleurs . en taillant avec la proprioception de la main tu ne risque pas de te faire avoir par une illusion d optique ( et pour cause). en plus c est plus reposant.


Orezza gazeuse verre litre ocoxey - Eugenol
casa

28/10/2014 à 19h03

heuuu , je ne sais si tu es de bon conseil enlaye ! Un peu comme si Van Gogh expliquait comment il tenait son pinceau ..un artiste est inimitable !! Moi si je taille les yeux fermés je ne sais vraiment pas ce que ça va donner mais bon j'ai pas de photos à montrer non plus !!! et puis la turbine je peux plus !!! ça fait trop de bruit !!!


6szjws718sv1jksw54v4mpj3a6cu - Eugenol
vulpi

28/10/2014 à 19h33

on peut supposer qu'avec une fraise bague rouge à grains tu as un moins bon état de surface, ce qui change l'énergie de surface et augmente la mouillabilité pour le ciment, un peu comme le sablage des implants/sang. Idem pour l'intrados des couronnes, petit détail...grande importance? je ne sais.


malaire

28/10/2014 à 19h57

Je voudrais réagir sur le polissage des préparations: si ça facilite indéniablement l'empreinte (mouillabilité - tirage), ça diminue d'autant la rétention du scellement final surtout sur des préparations courtes.

J'ai eu le cas d'une consoeur qui avait fait 2 CCM à son mari et qui se descellaient régulièrement: un simple "dépolissage" à la fraise gros grain a réglé le problème.



Vw campersurfvan bmnk1q - Eugenol
enlaye

28/10/2014 à 20h05

@ Casa
eh ben on s inquietait , on ne t entendait plus à l' heure de l"apero !!
Tu as eu des nouvelles de chaton et doagui ? On en a plus ! ;entre l un qui avait peur de se facher et l autre qui avait peur de parler on aimerait savoir s ils sont rassurés.


6szjws718sv1jksw54v4mpj3a6cu - Eugenol
vulpi

28/10/2014 à 20h17

malaire disait: "Je voudrais réagir sur le polissage des préparations: si ça facilite indéniablement l'empreinte (mouillabilité - tirage), ça diminue d'autant la rétention du scellement final surtout sur des préparations courtes."

Tout à fait d'accord avec toi, si tu orientes les rayures perpendiculairement à l'axe d'insertion( désinsertion) c'est encore mieux.


1...456...