Cookie Consent byPrivacyPolicies.comvis d'augmentation osseuse - Eugenol

vis d'augmentation osseuse

3f3boxni50k58rq7e9ce9ddqrxgk - Eugenol
dentiste57

16/03/2013 à 01h48

cartman écrivait:
-----------------
> Tu dis que les berges de la gencive doivent etre accolées sans tension et donc
> sutures ceci et cela. Quelque soit la suturesi tu n'incises pas le perioste tu
> auras des tensions malgre tes points.
> Tout ça pour dire peux tu nous en dire plus sur la gestion des tissus mous qui
> pour moi est un problème autrement plus delicat que la gestion de l'os surtout
> dans cette region.
>
Fred écrivait:
--------------
> Pour la laxité du lambeau on peut gagner en vestibulaire en disséquant le
> périoste, mais aussi, et beaucoup en lingual en décollant sous le mylo hyoîdien,
> et même en disséquant, si besoin de plus.

et ben voilà il a Free, il a tout compris :)


> N'aurais tu pas été voir Maximini? (pour les points)

non, rendons à césar ce qui est à césar. c'est sur les conseils de joseph choukroun que j'ai modifié ma façon de faire.

> D'autre part, n'as tu pas peur, en enlevant les vis, que cela enlève pas mal de
> matériau? As-tu déjà essayé avant?

oui et avec de bon résultats en plus.


3f3boxni50k58rq7e9ce9ddqrxgk - Eugenol
dentiste57

16/03/2013 à 01h52

l adan écrivait:
----------------
> Merci pour ce partage ( ca m'epate toujours que vous trouviez le temps et que
> vous pensiez à faire des photos !)

c'est parce que ça va vite maintenant avec l'habitude.

> As tu réalisé aussi une augmentation verticale ou ne comptes tu avoir un gainn
> que VL ?

gain VL suffisant

> Quelle membrane et quel type de materiaux de comblement ?

Collagen AT ( environ 260 les 6)


3f3boxni50k58rq7e9ce9ddqrxgk - Eugenol
dentiste57

16/03/2013 à 02h19

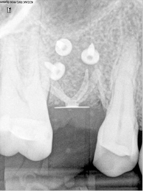
Cas 1-coté gauche maintenant:

photo:
1- ouverture, forme et configuration différente
2- une fois échauffée avec le coté droit, je me dis allez hop, j'attaque une expansion. donc incision crestale avec décharges osseuses
3- mise en place des expanseurs de Mesinger A et B

4-5 notez que l'incision de décharge étant oblique , elle sert également de garde fou contre une éventuelle fracture osseuse. l'os "mobile" vient buter contre l'os "immobile"

la suite en primeur pour ceux qui viennent à Sallanches les 28 et 29 Mars...

:)

Dsc 1418 xoftci - Eugenol
Dsc 1419 adxdla - Eugenol
Dsc 1422 eiffdt - Eugenol
Dsc 1427 p9vc3n - Eugenol
Dsc 1428 cdoi8n - Eugenol

Photo pluton1b h9n4ea - Eugenol
pluton

16/03/2013 à 02h21

dentiste57 écrivait:
--------------------

> alors il faut absolument que tu me dises quoi prendre et où
> en MP si tu veux

fil monocryl éthicon si tu veux un résorbable
fil prolène si tu veux un non résorbable


et tu trouves les 2 chez Dexter...;-)

http://www.dexter.fr/catalogueDexter/index.htm#/112/

et page suivante pour le prolène

belle chir D57...;-)
par contre pour la membrane j'en aurai utilisé une qui se résorbe plus lentement, une péricardique par ex ou alors une de celles de chez ID qui se résorbent en 26 à 38 semaines

http://issuu.com/implantdirect/docs/regifu-s_rev01

mais restent encore abordables...167,50€ les 2 15x20
206€ les 2 20x30 et 300€ les 2 30x40

je les ai essayé...et je suis plutôt content du résultat...;-)


3f3boxni50k58rq7e9ce9ddqrxgk - Eugenol
dentiste57

16/03/2013 à 02h27

vin diou j'allais enfin partir me coucher...

suis parfaitement d'accord avec toi pour la péricardique.
le seule problème, c'est que je rentre de vacances et j'ai laissé mon cerveau là bas. j'ai oublié de refaire le stock.
plutôt con non ?


Logo vuaztn - Eugenol
mac

16/03/2013 à 09h49

dentiste57 écrivait:
--------------------
> mac écrivait:
> -------------
> > Belle chirurgie, mais tu devrais changer de fil, les fils tressés c'est pas
> > super pour les tissus mous.
> >
>
> alors il faut absolument que tu me dises quoi prendre et où
> en MP si tu veux
>
> > As tu associé de l'autogène à ton biomat?
>
> oui, j'ai auparavant gratté la surface osseuse et récupéré une faible quantité
> de copaux pour augmenter l'ostéoinduction, conduction, etc...


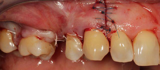
Le top c'était le gore-tex, mais il n'est plus produit donc je me suis rabattu sur le cytoplast qu'on trouve en france chez dentalforce, et pour les tissus fins, les décharges en particulier du prolène en 6,0. Je te joins qq photos.

Ton biomat c'est quoi?

Sinon sur le fait d'utiliser des membranes qui se résorbent à long terme c'est pas forcement une bonne idée.

Et je suis entierement d'accord avec toi sur le fait de pinser la membrane, par contre peut être que tu n'as pas besoin de mettre des vis, mais bon ça peut pas faire de mal ;)

Img 3619 stgsrp - Eugenol
Img 3624 mqjmoh - Eugenol

S2y2o1v7q53ws4r5wy6ou8czrpom - Eugenol
pxav

16/03/2013 à 10h12

dentiste57 écrivait:
--------------------
> Cas 1-coté gauche maintenant:
>
> photo:
> 1- ouverture, forme et configuration différente
> 2- une fois échauffée avec le coté droit, je me dis allez hop, j'attaque une
> expansion. donc incision crestale avec décharges osseuses
> 3- mise en place des expanseurs de Mesinger A et B
>
> 4-5 notez que l'incision de décharge étant oblique , elle sert également de
> garde fou contre une éventuelle fracture osseuse. l'os "mobile" vient buter
> contre l'os "immobile"
>
> la suite en primeur pour ceux qui viennent à Sallanches les 28 et 29 Mars...
>
> :)
>

Alors là tu me scotch, indication bien posée, avec une superbe maitrise, je me demande bien qui a bien pu te faire comprendre et écouter l'os comme comme ça...



--
xbk
"Si tous ceux qui croient avoir raison n'avaient pas tort, la vérité ne serait pas loin" Dac Pierre


Photo pluton1b h9n4ea - Eugenol
pluton

16/03/2013 à 10h13

mac écrivait:
-------------

> Sinon sur le fait d'utiliser des membranes qui se résorbent à long terme c'est
> pas forcement une bonne idée.

oui, peut être, mais utiliser une membrane collagène qui sera totalement résorbée en 6 semaines, çà ne me semble pas mieux, au contraire, puisque le biomat dessous si c'est un TCP va, lui, mettre environ 6 mois pour être transformé en os...
ce type de membrane à résorption lente permet une protection du site durant toute la phase de ROG, un peu à la manière d'une membrane non résorbable (titane ou gore-tex) sans avoir l'inconvénient d'avoir à la déposer...

mais je veux bien connaître tes arguments en leur défaveur...


S2y2o1v7q53ws4r5wy6ou8czrpom - Eugenol
pxav

16/03/2013 à 10h17

Tu aurais peut être (je dis bien peut être, aucune certitude)pu utiliser les expanseurs horizontaux de Meissinger, mais je verrais tout ça à Sallanches, je viens de confirmer...:-))

--
xbk
"Si tous ceux qui croient avoir raison n'avaient pas tort, la vérité ne serait pas loin" Dac Pierre


3f3boxni50k58rq7e9ce9ddqrxgk - Eugenol
dentiste57

16/03/2013 à 10h30

ah ! tu y vas aussi ?
:)


mac:
par curiosité,comment tu fais pour mettre des photos en 16/9iéme - coins carrés - écran plat? c'est juste une découpe ou c'est natif ?

pluton:
pour ce qui est de la membrane, ce qui est le plus important, c'est la différenciation cellulaire. celle ci intervient bien avant, non ?


S2y2o1v7q53ws4r5wy6ou8czrpom - Eugenol
pxav

16/03/2013 à 10h36

dentiste57 écrivait:
--------------------
> ah ! tu y vas aussi ?
> :)
>
Oui je suis inscrit en N°13, malgré la limite impérative à 12 ils m'ont acceptés...J'ai le bras long...
Mdr



--
xbk
"Si tous ceux qui croient avoir raison n'avaient pas tort, la vérité ne serait pas loin" Dac Pierre


Blason dql7mj - Eugenol
growler

16/03/2013 à 10h47

intéressant tout ça Thomas.

la décharge osseuse est oblique pour servir de garde fou, penses-tu qu'on puisse la faire un peu moins oblique afin de pouvoir expanser plus encore (que les bords osseux se rencontrent moins vite) ?

mac, lifecore a racheté les membranes tefgen qui sont donc commercialisées par ostéogenics: https://www.osteogenics.com/v/product-detail/TXT-200/vq/

sympas ces cas qui succitent la discussion. merci D57 !


Bouddha 2 wmj1zk - Eugenol
HAIG

16/03/2013 à 10h48

Ton sujet est génial car on peut propose beaucoup de solutions différentes.

On pourrait en sortir un protocole qui serait le consensus des opinions de tous ceux qui suivent le Post.

En faisant abstraction des couts des materiaux.

Donc:
- tout le monde est d'accord pour provoquer le saignement de la corticale.

Après:

- Pourquoi pas de greffe osseuse autogène, ou Os de banque ?
- Pourquoi pas un matériau Putty
- Pourquoi pas un membrane renforcée de Titane , tu pourrais peut-être ne poser qu'une seule vis pour étayer
- ect ....

A vous

--
" Douter c'est penser et du doute vient le progrès" Descartes

HAIG d(º¿º)b


Logo vuaztn - Eugenol
mac

16/03/2013 à 11h52

pluton écrivait:
----------------
> mac écrivait:
> -------------
>
> > Sinon sur le fait d'utiliser des membranes qui se résorbent à long terme c'est
> > pas forcement une bonne idée.
>
> oui, peut être, mais utiliser une membrane collagène qui sera totalement
> résorbée en 6 semaines, çà ne me semble pas mieux, au contraire, puisque le
> biomat dessous si c'est un TCP va, lui, mettre environ 6 mois pour être
> transformé en os...
> ce type de membrane à résorption lente permet une protection du site durant
> toute la phase de ROG, un peu à la manière d'une membrane non résorbable (titane
> ou gore-tex) sans avoir l'inconvénient d'avoir à la déposer...
>
> mais je veux bien connaître tes arguments en leur défaveur...


je sais ça m'avait paru bizarre aussi, mais en fait des études montrent que les résultats sont meilleurs avec des membranes a résorption rapide que lente, je peux rechercher les références si ça vous intéresse.


Logo vuaztn - Eugenol
mac

16/03/2013 à 11h53

dentiste57 écrivait:
--------------------
> ah ! tu y vas aussi ?
> :)
>
>
> mac:
> par curiosité,comment tu fais pour mettre des photos en 16/9iéme - coins carrés
> - écran plat? c'est juste une découpe ou c'est natif ?
>


c'est retouché avec un logiciel.


Logo vuaztn - Eugenol
mac

16/03/2013 à 11h56

tiens pour faire avancer le débat un cas de ROG verticale et horizontale, avec membrane PTFE armé titane.

486849 10151469282438909 1569932967 n wfvtaw - Eugenol
67354 10151469282783909 1467702450 n qvjnob - Eugenol
563553 10151469282653909 1593165568 n dihjew - Eugenol
1853 10151469282613909 1015929230 n hhsfft - Eugenol
555374 10151469088933909 1265673870 n ui2jmo - Eugenol
72650 10151469088903909 1954739928 n ygymol - Eugenol
450 10151469088763909 748076808 n aldyeu - Eugenol
421967 10151469088718909 212073595 n t3r6tw - Eugenol

Photo pluton1b h9n4ea - Eugenol
pluton

16/03/2013 à 11h59

mac écrivait:
-------------

> je sais ça m'avait paru bizarre aussi, mais en fait des études montrent que les
> résultats sont meilleurs avec des membranes a résorption rapide que lente, je
> peux rechercher les références si ça vous intéresse.
>

je veux bien car j'aimerais bien comprendre, étant donné que çà va à l'encontre d'une certaine logique...non?
mais bon, je peux me tromper, et je ne demande qu'à apprendre...


3f3boxni50k58rq7e9ce9ddqrxgk - Eugenol
dentiste57

16/03/2013 à 12h02

tu as la suite du cas après ouverture ?


Logo vuaztn - Eugenol
mac

16/03/2013 à 12h07

dentiste57 écrivait:
--------------------
> tu as la suite du cas après ouverture ?

à la mandibule, non je n'ai pas fait de photos avec la membrane, trop compliqué dans ce cas là, surtout pour ce qu'en fait, j'ai mis un mélange bio-oss autogéne à 50/50 le tout recouvert par un bio-gide securisée par des pin's.


Icon poker h4nm2d - Eugenol
jeff

16/03/2013 à 12h08

Puisque l'on a évoqué maximini , il utilise la mem-lok de chez biohorizons. Selon une étude ( Rothamel et coll, 2005 ), il faut un compromis entre la fonction barrière, et la perméabilité a la néovasculaisation . ( pourtant, les 100% étanche type goretex ou titane fonctionne bien aussi : ? )

Biogide , par exemple se résorbe trop vite. il n'y avait pas la pericardium de joseph dans l'étude.


Photo pluton1b h9n4ea - Eugenol
pluton

16/03/2013 à 12h28

HAIG écrivait:
--------------

> En faisant abstraction des couts des materiaux.
>
> Donc:
> - tout le monde est d'accord pour provoquer le saignement de la corticale.

oui...

>
> Après:
>
> - Pourquoi pas de greffe osseuse autogène, ou Os de banque ?

pourquoi pas...par contre amha il faut poser une membrane non résorbable armée pour maintenir le volume (sauf bloc cortico spongieux...)
après, tu peux faire un mélange os (ou os de banque) avec du TCP qui conservera mieux le volume ou du biooss pour conserver encore d'avantage et là tu peux utiliser une membrane résorbable...après, a voir avec le patient pour biooss/TCP et l'ampleur de la reconstruction (petite on peut avec le TCP, grande plutôt biooss...)

> - Pourquoi pas un matériau Putty

jamais eu de bons résultats avec ce genre de produit...j'ai essayé le novabone, le vitalos, pas envie d'essayer encore un autre truc...
sais pas trop, mais le truc qui durcit, çà doit pas vraiment favoriser la colonisation par les cellules osseuses...

> - Pourquoi pas un membrane renforcée de Titane , tu pourrais peut-être ne poser
> qu'une seule vis pour étayer

çà dépend plus de la longueur de la reconstruction, non? là dans son cas j'en aurai posé moi aussi au moins 2...

> - ect ....


Blason dql7mj - Eugenol
growler

16/03/2013 à 12h34

un cas de mai 2012

http://www.implantologie-fr.com/cas-cliniques.html


Choukroun Joseph

16/03/2013 à 13h36

Je prends le train en marche..
Bravo D57 pour ta chirurgie de reconstruction avec le systeme Fast.
mais j'ai quelques remarques:
1. tes vis ne sont pas positionnées comme il faut.
2. tes vis sont trop enfouies
3. tes sutures ne sont pas assez profondes. comme je te le disais à l'ADF, tu dois être à au moins 1 cm de la berge.
4. Donc, je peux te le dire d'avance: le résultat sera moyen. Je t'avais proposé de préparer ensemble le protocole chirrugical. dommmage.


Bouddha 2 wmj1zk - Eugenol
HAIG

16/03/2013 à 14h37

Peux tu être plus explicite sur les modifs a faire et que penses tu de tous les protocoles proposés ?

merci

--
" Douter c'est penser et du doute vient le progrès" Descartes

HAIG d(º¿º)b


S2y2o1v7q53ws4r5wy6ou8czrpom - Eugenol
pxav

16/03/2013 à 15h43

Choukroun Joseph écrivait:
--------------------------
> Je prends le train en marche..
> Bravo D57 pour ta chirurgie de reconstruction avec le systeme Fast.
> mais j'ai quelques remarques:
> 1. tes vis ne sont pas positionnées comme il faut.
> 2. tes vis sont trop enfouies
> 3. tes sutures ne sont pas assez profondes. comme je te le disais à l'ADF, tu
> dois être à au moins 1 cm de la berge.
> 4. Donc, je peux te le dire d'avance: le résultat sera moyen. Je t'avais proposé
> de préparer ensemble le protocole chirurgical. dommmage.

Salut Joseph

Tu ne connais pas Thomas depuis assez longtemps, il est doué mais trop impulsif, il faut lui laisser le temps d’intégrer...

Chaque fois qu'on lui explique un truc, il est déjà entrain de penser comment il va l’améliorer, ensuite et seulement ensuite il fait ce qu'il faut et le fait très bien.

Un jour il sera top de top, mais peut être aussi sera t il vieux. :-))

attention les chevilles Thomas, c'est ce qui gonfle après les genoux...
à bientôt.


--
xbk
"Si tous ceux qui croient avoir raison n'avaient pas tort, la vérité ne serait pas loin" Dac Pierre


RépondreCiter
123...