Tous les forums
vis d'augmentation osseuse
14/03/2013 à 02h08
si la vidéo marche pas il faut essayer dans 1/2 heure
OUPS! il est tard , je vais au lit..bonne nuit
14/03/2013 à 23h14
ça n'a pas l'air de passionner les foules...
tan pis, je poste quand même, ne serait ce que pour donner du boulot aux modos ... :)
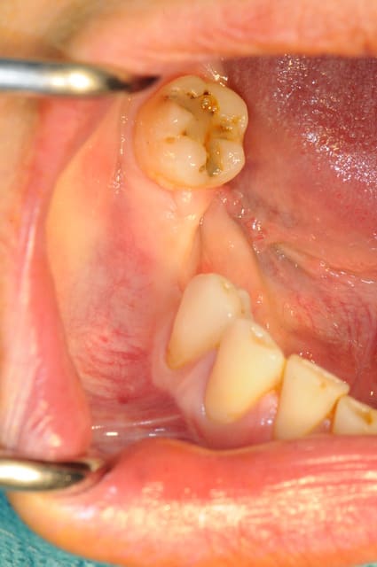
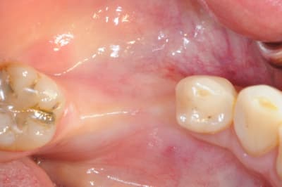
CAS 1
demande de restauration avec implant, mais, ne veut pas entendre parler de greffes et greffons.
la ROG lui semble plus "naturel".
photos
1-2-3 situation de départ
4 après ouverture
14/03/2013 à 23h58
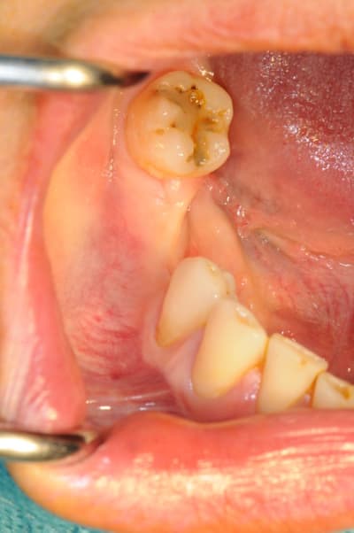
photo
1: foret de perçage pour que l'os puisse apporter du sang.
(initialement, c'est un foret pour les pins densply)
2-3: je fais des petits trous (comme Serge)
4: la boite avec toutes les vis (différentes tailles)
5-6: le foret de mise en place des vis et le foret destiné à faire un pré-perçage
7-8: et voilà 3 vis qui vont maintenir ma membrane au dessus de l'os.
9-10-11: la membrane maintenue par deux pins sur la table interne osseuse, comblement osseux recouvrant les têtes des vis puis je rabat la membrane que je fixe sur la table osseuse externe
15/03/2013 à 00h21
beotien écrivait:
-----------------
> toi qui sait la faire, tu n'as pas envisagé l'expansion?
Salut beo, ce n'est pas un cas d'expansion, os D1.
Thomas très bon choix coté innovant, j'attends la suite, tout comme toi.
J'aime beaucoup, tiens nous au courant.
--
xbk
"Si tous ceux qui croient avoir raison n'avaient pas tort, la vérité ne serait pas loin" Dac Pierre
15/03/2013 à 00h21
voici l'un des secrets pour une bonne réussite dans ce type d'intervention.
il faut absolument que les berges de la gencive n'aient aucune tension. donc il faut quelques points de chaipuki (photo1) puis réaliser la fermeture des berges (photo2)
les derniers fils peuvent être alors très fins (ici du 6/0)
je poste le coté gauche plus tard (cas 1 d'hier).
et ensuite je montrerai un deuxième cas (cas 2) de ce matin qui m'a donnée plus de difficultés à cause de l'os trop fortement corticalisé.
15/03/2013 à 03h28
ton surjet, tu te compliques la vie avec un surjet barré, en plus compression qui diminue l'irrigation sanguine compartativement au surjwet simple.
Tes perforations de la corticale sont petites et peu profondes.
Merci dentiste 57 pour ta présentation très complète et bien visualisé avec de très beaux clichés.
est-ce toujours nécessaire de fixé la membrane avec des tacssi l'on utlise des membranes flexible adhérante style péricardium de Zimmer,Comfort,,, de ace ou bioguide de g..litch
Le point de chaipuki peut être remplacé par uin point matelassé?
15/03/2013 à 08h12
Belle chirurgie, mais tu devrais changer de fil, les fils tressés c'est pas super pour les tissus mous.
As tu associé de l'autogène à ton biomat?
15/03/2013 à 08h49
Si ça m’intéresse , belle chirurgie.
Pourquoi n'utilises tu pas un substitut osseux de type Putty qui durcit et que tu peux façonner encore mieux ??
--
" Douter c'est penser et du doute vient le progrès" Descartes
HAIG d(º¿º)b
15/03/2013 à 08h49
Si ça m’intéresse , belle chirurgie.
Pourquoi n'utilises tu pas un substitut osseux de type Putty qui durcit et que tu peux façonner encore mieux ??
--
" Douter c'est penser et du doute vient le progrès" Descartes
HAIG d(º¿º)b
15/03/2013 à 09h11
c'est chouette tres propre mais le volume comblé sera t il suffisant pour un implant. j'aurais tendance a sur corriger.
autre chose pour les pin's de la membrane qu'utilises tu j'en ai essayer plusieurs mais je les tords dans la corticale (probleme avec ma greffe de main gauche?)
15/03/2013 à 10h07
Tu dis que les berges de la gencive doivent etre accolées sans tension et donc sutures ceci et cela. Quelque soit la suturesi tu n'incises pas le perioste tu auras des tensions malgre tes points.
Tout ça pour dire peux tu nous en dire plus sur la gestion des tissus mous qui pour moi est un problème autrement plus delicat que la gestion de l'os surtout dans cette region.
Merci
15/03/2013 à 11h53
Merci pour ce partage ( ca m'epate toujours que vous trouviez le temps et que vous pensiez à faire des photos !) .
As tu réalisé aussi une augmentation verticale ou ne comptes tu avoir un gainn que VL ?
Quelle membrane et quel type de materiaux de comblement ?
15/03/2013 à 11h57
Pour la laxité du lambeau on peut gagner en vestibulaire en disséquant le périoste, mais aussi, et beaucoup en lingual en décollant sous le mylo hyoîdien, et même en disséquant, si besoin de plus.
Je trouve ça très beau, très bien mené,ça me tentait d'essayer ça depuis un moment.
Deux questions:
N'aurais tu pas été voir Maximini? (pour les points)
D'autre part, n'as tu pas peur, en enlevant les vis, que cela enlève pas mal de matériau? As-tu déjà essayé avant?
En tout cas tu es un "bricoleur" de génie, et ce n'est pas péjoratif, toujours à essayer des choses bien réfléchies et bien réalisées, et à nous les faire partager.
MERCI ENCORE
16/03/2013 à 01h27
wouhaaa!! que de commentaires ! ça me fait bien plaisir. même les critiques surtout quand elles sont constructives.
flicflac écrivait:
------------------
> ton surjet, tu te compliques la vie avec un surjet barré, en plus compression
> qui diminue l'irrigation sanguine compartativement au surjwet simple.
honnêtement, je trouve que c'est pas plus compliqué qu'un autre point à faire et je trouve ça super rapide. pour la compression, ben, là, je sais pas .!?
> Tes perforations de la corticale sont petites et peu profondes.
elles sont suffisantes si l'os saigne bien. c'est donc au coup par coup
> est-ce toujours nécessaire de fixé la membrane avec des tacssi l'on utlise des
> membranes flexible adhérante style péricardium de Zimmer,Comfort,,, de ace ou
> bioguide de g..litch
pour moi, oui, il est impératif que le biomat ne soit pas solicité et que la membrane ne puisse pas glisser avec les mouvements des plans gingivaux et musculaires.
>
> Le point de chaipuki peut être remplacé par uin point matelassé?
en fait, le terme exacte, c'est point en U.
le point de matelassier vertical ou horizontal risquerait de provoquer d'avantage de déchirures.
16/03/2013 à 01h30
mac écrivait:
-------------
> Belle chirurgie, mais tu devrais changer de fil, les fils tressés c'est pas
> super pour les tissus mous.
>
alors il faut absolument que tu me dises quoi prendre et où
en MP si tu veux
> As tu associé de l'autogène à ton biomat?
oui, j'ai auparavant gratté la surface osseuse et récupéré une faible quantité de copaux pour augmenter l'ostéoinduction, conduction, etc...
16/03/2013 à 01h36
HAIG écrivait:
--------------
> Si ça m’intéresse , belle chirurgie.
> Pourquoi n'utilises tu pas un substitut osseux de type Putty qui durcit et que
> tu peux façonner encore mieux ??
>
>
je n'ai aucun recul sur ces biomat et suis pas du tout sure que ça me dispense de mettre des vis et une membrane.
du coup, ça ne fait qu'augmenter le coût, non ?
16/03/2013 à 01h42
Giantcoco écrivait:
-------------------
> le volume comblé sera t il suffisant pour un
> implant. j'aurais tendance a sur corriger.
je suis les conseils de F. Koury qui dit qu'il ne faut pas dépasser trop (sur correction ) car ça ne marche jamais, il y a résorption. donc je ne dépasse pas la ligne formé par les rebords osseux externe ant et post.
> autre chose pour les pin's de la membrane qu'utilises tu j'en ai essayer
> plusieurs mais je les tords dans la corticale (probleme avec ma greffe de main
> gauche?)
non, c'est pas la main gauche, mais il faut acheter des pins Frios de chez Densply. ils sont super.