Cookie Consent byPrivacyPolicies.comVidéo extraction, mise en charge immédiate bridge provisoire - Eugenol

Vidéo extraction, mise en charge immédiate bridge provisoire à armature métal sur implant cône morse

Img 8465 fqhxid - Eugenol
noahaxeltiger-olivier

24/03/2013 à 13h22

Désolé de vous avoir dérangé et surtout ne vous remettez pas en question, continuez à faire ce que vous croyez être juste.


RépondreCiter
Utilisateur banni

24/03/2013 à 13h28

noahaxeltiger-olivier écrivait:
-------------------------------
> Désolé de vous avoir dérangé et surtout ne vous remettez pas en question,
> continuez à faire ce que vous croyez être juste.

Et si c’est ce que tu vois qui te remet en question et qui te dérange ?
Personne ne te dit de ne pas continuer à faire ce qui te semble juste.


Casque beotien a3jo39 - Eugenol
beotien

24/03/2013 à 13h32

Noah tout ce qui est excessif devient dérisoire

J'étais venu en 2008 demandé conseil pour ce cas car j'avais fait un trou dans la membrane en pratiquant le sinus lift latéral
Pour être précis je dirais que l'implant en 27 et non pas 26 n'a jamais été vraiment bien
Et à l'époque par manque de confiance dans cette technique (c'était le 2eme cas ) je n'avais pas assez serré le fx moignon, la dépose et repose des c jumelées et soudées, n'a pas arrangé les choses.

Mais parle moi donc plutôt du résultat en 46 47 qui sont dans la même bouche avec le même terrain paro

Et si!, cher confrère un traitement paro avait été fait, c'est je pense ce qui a fait dire à Wilson que les dents étaient conservables. Mon associé va être ravi de te lire, mais rassure toi cela va le faire rire.

Posit je suis désolé si ma présentation d'un cas dévalorise le travail que tu fais. Les photos seront retirées demain, je m'en voudrais de te tirer une balle dans le pied

Ce plan de traitement est le mien et je l'assume, maintenant je ne demande qu'à voire comment vous gérez ce genre de cas

Pluton ne t’inquiète pas cela n'en vaut pas la peine













I2 rjqldf - Eugenol
Iro st3dqy - Eugenol

Utilisateur banni

24/03/2013 à 13h39

beotien écrivait:
-----------------
> Posit je suis désolé si ma présentation d'un cas dévalorise le travail que tu
> fais. Les photos seront retirées demain, je m'en voudrais de te tirer une balle
> dans le pied


Il parait que ca fait mal une bale dans le pied, ne retire pas les photos et je veux bien celles de la cicatrisation à 7 jours sur la drop.


Img 8465 fqhxid - Eugenol
noahaxeltiger-olivier

24/03/2013 à 14h18

beotien écrivait:
-----------------
> Et si!, cher confrère un traitement paro avait été fait, c'est je pense ce qui a
> fait dire à Wilson que les dents étaient conservables. Mon associé va être ravi
> de te lire, mais rassure toi cela va le faire rire.

ou pleurer, parce qu'à la vue de ta photo clinique la situation parodontale n'a pas l'air super contrôlée.

Mais on va encore dire que je m'acharne, donc j'arrête ...

100 0809 hs94lu - Eugenol

Smile beach jgh0a1 - Eugenol
Céramik

24/03/2013 à 17h36

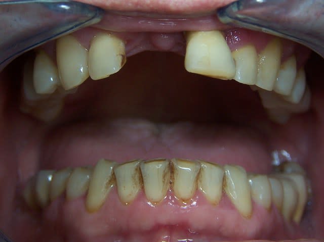
Simple question, pourquoi conserver les dents postérieures (28-38, je pense) qui sont en phase finale de paro ?

L'implant 27 devrait aussi être remplacé, enfin, selon ce qu'on voit sur les images montrées.




--
Céramik


Juanito

24/03/2013 à 19h01

pour un premier post sur ce forum je ne vais pas être très sympathique. Mais il faut savoir dire les choses comme on le sent. Pour moi ce traitement c'est de la grosse cavalerie qui fait fi des concepts actuels de l'implantologie-parodontologie. Continuez à implanter ainsi à tout va, si cela n'avait de fâcheuses conséquences que sur les poseurs cela ne me dérangerait pas mais vos patients vont morfler à court terme et ça c'est malhonnête. Soit vous êtes ignorants et vous devriez vous former avant de vous lancer soit c'est de l'inconscience professionnelle. Posit, vous avez mis au point un concept technique intéressant mais qui trop souvent (mais pas toujours) est mis à disposition d'apprentis sorciers et je trouve anormal qu'en tant que prothésiste vous puissiez émettre des avis quant aux résultats cliniques afin de mettre en avant votre concept.

désolé mais ce n'est pas de la belle dentisterie au service du patient. Vous allez me rétorquer qu'en tant que novice du forum n'ayant rien montré je n'ai qu'à la fermer mais cela n'empêche pas de dire ce qu'on pense surtout que cela semble partagé par des praticiens de grande qualité scientifique.


G-P

24/03/2013 à 19h18

Même question que Ceramik.


Utilisateur banni

24/03/2013 à 19h59

Juanito écrivait:
-----------------
> pour un premier post sur ce forum je ne vais pas être très sympathique. Mais il
> faut savoir dire les choses comme on le sent. Pour moi ce traitement c'est de la
> grosse cavalerie qui fait fi des concepts actuels de
> l'implantologie-parodontologie. Continuez à implanter ainsi à tout va, si cela
> n'avait de fâcheuses conséquences que sur les poseurs cela ne me dérangerait pas
> mais vos patients vont morfler à court terme et ça c'est malhonnête. Soit vous
> êtes ignorants et vous devriez vous former avant de vous lancer soit c'est de
> l'inconscience professionnelle. Posit, vous avez mis au point un concept
> technique intéressant mais qui trop souvent (mais pas toujours) est mis à
> disposition d'apprentis sorciers et je trouve anormal qu'en tant que prothésiste
> vous puissiez émettre des avis quant aux résultats cliniques afin de mettre en
> avant votre concept.
>
> désolé mais ce n'est pas de la belle dentisterie au service du patient. Vous
> allez me rétorquer qu'en tant que novice du forum n'ayant rien montré je n'ai
> qu'à la fermer mais cela n'empêche pas de dire ce qu'on pense surtout que cela
> semble partagé par des praticiens de grande qualité scientifique.





A quel moment j’ai émis un avis sur le résultat clinique ?

Créer un pseudo pour répondre, cela fait vivre le forum et c’est bien.

Dire de la fermer parce qu’un avis est émis, non, envoyer sur les rose quelqu’un de mauvaise foi, cela m’arrive mais demander de justifier ce propos oui. Répondre à Céramik ou à G-P ce n’est pas dans mes attributions.



Quel aurais été un traitement honnête ?


Le point de vue d’un nouvel eugenolien et d’un grand spécialiste scientifique serra enrichissant, bien sur la question concerne uniquement le secteur traité.



PS : posé des questions c’est admis pour un prothésiste ?

Image2 ntvvgo - Eugenol

Casque beotien a3jo39 - Eugenol
beotien

24/03/2013 à 20h31

G-P écrivait:
-------------
> Même question que Ceramik.

Il y avait 9 implants avant la chir 1 va mal et tous vous focalisé, amusant mais classique
Ce n'est pas en rapport avec le sujet mais voila mon raisonement
28 ET 38 sont restées 5 ans car je les pensais utiles
28 n'est pas en rapport avec le problème de l'implant 27

Dans 3 mois 28 & 38 vont disparaitre, et je tenterais en même temps de sauver 27
En cas d'échec probable dans l'implant disparaitra et lors de la prothèse définitive j’intégrerais 26 ou pas

Juanito disait:
--------------
>Pour moi ce traitement c'est de la grosse cavalerie qui fait fi des concepts actuels de l'implantologie-parodontologie.

Quand j'ai commencé à implanter les concepts ACTUELS étaient:
.les implants sous périostés
.les lames de linkow ou autres
.les implants recouverts d'hydroxyapatite
.les implants lisses impactés

J'ai tout essayé alors là oui aujourd'hui de cela tu peux me traiter avec le recul "d’apprenti sorcier", mais pour les cas fait avec Posit attend quand même un peu

Pour ce qui est de la paro!!!!!!!!!!!!!!!!!!!
Tous mes amis paro exclusifs de l'époque sont devenus implantos exclusifs donc no comment!


Juanito

24/03/2013 à 20h50

ah d'accord, la paro ça marche pas.....

lamentable et suicidaire (perte de chance pour tous tes patients ?)


RépondreCiter
Utilisateur banni

24/03/2013 à 20h54

Juanito écrivait:
-----------------
> ah d'accord, la paro ça marche pas.....
>
> lamentable et suicidaire (perte de chance pour tous tes patients ?)

et ma question … pas de réponse?


Juanito

24/03/2013 à 21h05

Posit, vous êtes incohérent, vous demandez à wilson quel aurait été son plan de traitement et à des Confrères ce qu'ils trouvent à la cicatrisation à 7 jours. Ensuite vous dites que vous êtes prothésiste concepteur de dispositif et que vous ne décidez pas des plans de traitement. Tenez vous en à votre rôle et laissez les poseurs questionner leurs Confrères sur les aspects cliniques. Vous n'avez pas, en tant que prothésiste, les compétences pour juger de ces questions alors ne les posez pas, c'est simple non ?


RépondreCiter
G-P

24/03/2013 à 21h20

beotien écrivait:
-----------------

> Il y avait 9 implants avant la chir 1 va mal et tous vous focalisé, amusant mais
> classique
> Ce n'est pas en rapport avec le sujet mais voila mon raisonement
> 28 ET 38 sont restées 5 ans car je les pensais utiles
> 28 n'est pas en rapport avec le problème de l'implant 27
>
> Dans 3 mois 28 & 38 vont disparaitre, et je tenterais en même temps de sauver 27
> En cas d'échec probable dans l'implant disparaitra et lors de la prothèse
> définitive j’intégrerais 26 ou pas
>


Oki Doki mais pourquoi ne pas avoir extrait ces dents compromises (28/38) en même temps que ta chirurgie, ou avant, afin d'avoir un contexte paro un peu plus sain ?

Et, Juanito, calmos un peu ;)


Casque beotien a3jo39 - Eugenol
beotien

24/03/2013 à 21h32

Juanito écrivait:
-----------------
> ah d'accord, la paro ça marche pas.....
>
> lamentable et suicidaire (perte de chance pour tous tes patients ?)


S'il te plait ne soit pas si agressif, je t'ai donné un fait pas dit que je ne croyais pas à la paro
J'ai gratté, cureté, acide citriqué, lambeauté, 1/2 épaisseuré
greffé, mais jamais de "Pelé" ou prescrit de limonade pour l'acide citrique!
J'avoue être très heureux de maintenant la confier à un de mes associés


G-P
pas à cause de la difficulté technique, mais j'avais décidé avant avec le patient de ne faire que la partie antérieure, c'est surement un choix contestable


Utilisateur banni

24/03/2013 à 21h36

Juanito écrivait:
-----------------
> Mais il
> faut savoir dire les choses comme on le sent.


je trouve ridicule sur un forun de vouvoyer est d’être aussi grossier


Utilisateur banni

24/03/2013 à 21h44

Juanito écrivait:
-----------------
> Posit, vous êtes incohérent, vous demandez à wilson quel aurait été son plan de
> traitement et à des Confrères ce qu'ils trouvent à la cicatrisation à 7 jours.
> Ensuite vous dites que vous êtes prothésiste concepteur de dispositif et que
> vous ne décidez pas des plans de traitement. Tenez vous en à votre rôle et
> laissez les poseurs questionner leurs Confrères sur les aspects cliniques. Vous
> n'avez pas, en tant que prothésiste, les compétences pour juger de ces questions
> alors ne les posez pas, c'est simple non ?

et les patient, ils sont trop con pour comprendre un plan de traitement ?


Casque beotien a3jo39 - Eugenol
beotien

24/03/2013 à 22h04

noahaxeltiger-olivier écrivait:
-------------------------------
> beotien écrivait:
> -----------------
> > Et si!, cher confrère un traitement paro avait été fait, c'est je pense ce qui
> a
> > fait dire à Wilson que les dents étaient conservables. Mon associé va être
> ravi
> > de te lire, mais rassure toi cela va le faire rire.
>
> ou pleurer, parce qu'à la vue de ta photo clinique la situation parodontale n'a
> pas l'air super contrôlée.
>
> Mais on va encore dire que je m'acharne, donc j'arrête ...

Acharne toi, que veux tu que cela me fasse
je t'ai dit juger tes propos excessifs dérisoires
Là comme confrère à vouloir absolument avoir raison le terme approprié est pathétique

En regardant la photo pour les dents du haut j'aurais probablement eu la même sensation que Wilson
Mais bien sûr toi tu devines la perte osseuse, et je suppose aussi la carence en vitamine D

Si tu savais a quel point je trouve cela improductif!



Juanito

24/03/2013 à 22h12

sauf qu'expliquer à un patient ce qu'on va lui faire est légitime.

posit, ne mélangez pas tout. Je vous laisse à vos transvissés/impactés sur terrain miné non déminé, cocktail assurément détonnant.


Utilisateur banni

24/03/2013 à 22h14

Juanito écrivait:
-----------------
> sauf qu'expliquer à un patient ce qu'on va lui faire est légitime.
>
> posit, ne mélangez pas tout. je vous laisse à vos transvissés/impactés.


où tu voie des vis ?





les truc avec un pas de vis ce sont les implants

Image3 kzrsiz - Eugenol

RépondreCiter
Juanito

24/03/2013 à 22h29

quand je note /impactés, c'est pour une bonne raison. Ne faites pas semblant que celle-ci m'ait échappé.


Logo m4n3gc - Eugenol
drmarcus

24/03/2013 à 22h34

Juanito écrivait:
-----------------
> sur les nombreux cas que vous avez posté depuis plusieurs années et quand je
> note /impacté c'est pour ce dernier cas, vous avez pigé cette fois ?

Euh c'est de l'ignorance car il n'y a aucun implant impacté dans le cas cité! Ni pilier d'ailleurs! Comme quoi nul n'est savant.

Si vous voulez en savoir plus il faudra vous former.


--
"La seule chose promise d'avance à l'échec, c'est celle que l'on ne tente pas" Paul Emile VICTOR


RépondreCiter
Juanito

24/03/2013 à 22h45

vous deux apprenez à lire.

j'ai écrit: vos transvissés/impactés

c'est au pluriel et donc pour les cas transvissés postés depuis longues dates et ces cas impactés comme le dernier décrit. C'est bien comme terme, "impacté", pour décrire le mode de connexion du cône morse Monsieur le spécialiste de cette connexion ?


Photo pluton1b h9n4ea - Eugenol
pluton

24/03/2013 à 22h45

marrant...j'aurais pas pris Juanito comme pseudo mais Zorro...;-))

un peu d'esprit confraternel bordel!!! même si "l'anonymat" du pseudo peut expliquer les "débordements"...
poser des questions, avoir des réponses, donner un avis...mais pourquoi sur un ton agressif???
c'est contre productif et laisse le débat au niveau du plancher des vaches au lieu de l'élever
on a tous à apprendre des autres, et la seule chose dont je suis certain, c'est que je ne saurais jamais tout...


DentR

24/03/2013 à 22h47

Bsr, à quoi pouvaient être 28 et 38 utiles ?
Merci