Cookie Consent byPrivacyPolicies.comon n 'a que ce que l'on mérite - Eugenol

on n 'a que ce que l'on mérite

Grueavatar nptrc9 - Eugenol
Le Choixpeau magique

21/03/2013 à 00h26

rs4 écrivait:
-------------
> ça me fait plaisir que certains confreres partagent la meme notion du metier que
> la mienne

Tu veux dire les confrères qui voient les caries et le niveau osseux sans radio ?


uɹöɾq

21/03/2013 à 01h29

Je n'ai jamais vu de patients débarquer avec un devis pour un traitement paro non indiqué.
En revanche, des parodontites non traitées, c'est toutes les semaines (tous les jours?).

Bisous.

--
Faut savoir faire autre chose que de regarder toute sa vie dans la bouche des gens. (Ameli, 7/12/11)


Ico v for vendetta08 jzhpep - Eugenol
o⅁ pnɐuɹ∀

21/03/2013 à 09h10

Juger de l'absence de carie sans radio, c'est fort de café.
J'imagine que tu travailles sans digue aussi. Bref, tu joues les donneurs de leçons en étant très loin d'être irréprochable, et tu t'offusques de prix qui seraient normaux pour un pays civilisé, probablement par jalousie, je me demande vraiment quel est celui qui nuit à la profession.

--
Quand Eugénol a exclu Narik, Eugénol a perdu un peu plus que Narik.


129 fucieh - Eugenol
rs4

21/03/2013 à 09h11

tu as bien de la chance

dans mon coin, c'est devenue monnaie courante



des ttts paros factures 800 euros pas cadrans alors que les patients n'ont rien,


129 fucieh - Eugenol
rs4

21/03/2013 à 09h15

messieurs les bons penseurs

je ne suis jaloux de personne, peut etre de loeb car je n'ai pas son coup de volant, mais en tous les cas pas d'un autre dentiste



je vis tres tres bien etant donne le nombre d'heures de travail que je me suis organisé



il n'empeche que quand il y a de l'abus , je le vois , et ça me gave, continuez de bosser comme ça, si vous etes en conscience


Capture d  cran 2015 03 12 12.28 - Eugenol
chicot29

21/03/2013 à 09h44

Moi je ne vais pas claquer X dizaines de milliers d'euros en formation continue pour la paro, ou l'implanto, pour s'entendre dire 9 fois sur 10 que c'est trop cher car HN ( et ca ca énerve puissance 10 quand on s'est cassé le cul pour progresser). Donc j'adresse les 10 % de patients motivés (financièrement) à un confrère qui ne fait que ca toute la journée .


4a338550 6a5b 47ea b2a7 d3cb675c5076 oni5gh - Eugenol
fistule69

21/03/2013 à 09h54

Les patients ne sont pas bêtes, s'ils changent de cabinet c'est parce quelque chose les interpelles.
Avoir un patient c'est facile,le garder c'est plus difficile !
La vie pro est un marathon et non un sprint.
Laissons les excès se faire, les patients savent juger.
Soignons comme nous savons le faire et laissons les gourmands s'enterrés.
Allez dans la paix de la dent et la joie de la carie mes frères et sœurs.
Père la raison.


129 fucieh - Eugenol
rs4

21/03/2013 à 10h04

+1


P2eqdh3csim6s7nb09ktdq3e7ev8 - Eugenol
barbabapat

21/03/2013 à 10h25

Les patients savent juger! Si c'était le cas, il se poseraient la question de comment on peut maintenir en fonctionnement des structures trops dispersées malgré les délires sur les pseudo déserts médicaux, qui travaillent à perte sur la majorité des soins et ont des charges de sécurité sanitaire qui explosent.

Une fois que tu as soigné à perte, il faut à un moment équilibrer les comptes ou abandonner les soins pour faire payer le reste au juste prix.

À la campagne, l'accès au cabinet se fait majoritairement par la voiture qu'il y ait 1 ou 20 km. Les transports en commun efficaces, c'est pour les agglomérations de taille plus importante.


Abeille lzfkas - Eugenol
domi38

21/03/2013 à 11h08

rs4 écrivait:
-------------
> tu as bien de la chance
>
> dans mon coin, c'est devenue monnaie courante
>
>
>
> des ttts paros factures 800 euros pas cadrans alors que les patients n'ont rien,


Je pense que c'est lié à la démographie professionnelle. Dans mon coin (trop fourni en chirdents), il m'est arrivé quelques fois de voir des devis injustifiés. Même si, je vous l'accorde, il est plus fréquent de voir des patients auxquels on n'a pas proposé de traitement paro. Non, je ne suis pas normand ;-)


Salamandre

21/03/2013 à 11h22

Mon prédécesseur facturait des surfaçages à des jeunes gens de 18 ans, hygiène ++, pour la modique somme de 900 E l'arcade.
Il le faisait après avoir fait un bilan long cone et sondage (un ou 2 mm partout).
Pendant la passation de patientel j'ai assisté à un surfaçage: il balancé un coup de curette de gracey dans le sulcus de 11 ("poche" de 1 mm), ramène de la chair qui était selon lui du granulome. Selon moi l’épithélium de jonction.
Idem les greffes gingivales.
Et pour faire taire les mauvaises langues eugenoliennes, suite à mes déboires avec ce confrère, un expert a mis le nez la dedans et a conclus la même chose.
Les patients n'y voyaient rien pour la plupart car il avait un super baratin, dont j'ai aussi fait les frais, mais j'ai retrouvé trace de certains courriers de patients furax de propositions de plan de traitement au dessus de 10 000 E (le probleme n’étant pas le prix mais la fréquence et le fait que ces devis concernait aussi des patients jeunes/hygiène+++/CAO inférieur à 2).
Le conseil de l'ordre était au courant, mais omerta. Le CO a préféré qu'il ruine la réputation de notre métier jusqu'à ce que quelqu'un se fasse entuber trop profond et porte plainte contre lui.


Avatar reduit tuudiu - Eugenol
saitosama

21/03/2013 à 11h35

Secrets de polichinelle.

Il y a parmi les confrères comme dans n'importe quel corps de métier, des brebis galeuses. Ni plus ni moins qu'ailleurs.

On est d'accord pour qu'il faut agir contre eux et tenter de limiter leurs nuisances.

Un grand débat public, avec information aux patients de ce qui peut leur mettre la puce à l'oreille, éventuellement demander un durcissement de la loi ou des contrôles, etc. Au passage ça mettrait sur le tapis la vrai cause de tout ces "abus": l'indigence des tarifs des soins. On pourrait alors promettre au public une plus grande qualité globale des soins, des controle qualité, si on nous garantie leur correcte rémunération (nous ne sommes pas assez cons pour accepter un durcissement sans garantie d'une rémunération correcte derrière).

Sauf que faire ça maintenant, après 3 ans de battage médiatique contre ces cochons de dentistes, c'est pas "tout mettre sur la table et jouer franc jeu", c'est "jeter de l'huile sur le feu".

Un débat, je suis pour, mais plus tard, quand on aura meilleur presse.


Abeille lzfkas - Eugenol
domi38

21/03/2013 à 11h42

saitosama écrivait:
-------------------
...nous ne sommes pas assez cons pour accepter
> un durcissement sans garantie d'une rémunération correcte derrière...


Hmmm...


dedent

21/03/2013 à 11h56

Il est loin le temps où certains professeurs nous disaient:
qu'est-ce que tu ferais dans ce cas si c'était ta bouche?

Quand j'ai vu chez ma nièce , un confrère de Bordeaux dévitaliser toutes les molaires et pm pour des petites caries de classe I et faire suivre un devis proposant TFM et CCM parce que sa patiente était bien remboursée,j'ai eu la nausée.

Ne faites pas aux autres ce que vous n'accepteriez pas pour votre bouche ............

La société française est hypocrite et nous voyons où nous en sommes.ET ce n'est pas en mentant où différant les débats que nous avancerons.

Le problème du dentiste est son nombrilisme et qu'il pense qu'individuellement, il est très fort et s'en sortira toujours mais il aura tué la profession.Je répète toujours la même chose , il est temps que j'aille voir ailleurs .


Avatar reduit tuudiu - Eugenol
saitosama

21/03/2013 à 13h03

domi38 écrivait:
----------------
> saitosama écrivait:
> -------------------
> ...nous ne sommes pas assez cons pour accepter
> > un durcissement sans garantie d'une rémunération correcte derrière...
>
>
> Hmmm...

;) c'était une pique en référence des remarques d'ameli qui nous explique souvent que le sécu exige des garanties avant de discuter revalorisation, il me semble que nous devrions nous aussi exiger des garanties de revalorisation effectives avant d'améliorer nos pratiques. Quand on y regarde de plus près, c'est bien l'UNCAM qui passe son temps à ne rien respecter de ce qu'elle signe. A elle de prouver sa bonne foi.

Une fois l'opinion publique consciente que c'est la "faute à la sécu", elle pourrait bien nous aider à appuyer nos exigences. Je suis un doux rêveur, je sais ^^

Sinon je sais qu' "on" est largement assez con pour signer le pire des torchons tout en disant merci, ça fait 50 ans que ça marche comme ça...


Mug2dm79f9axozneagomtszjwylf - Eugenol
Piccalilly

21/03/2013 à 13h25

L'honnêteté, la franchise, la transparence doivent être un devoir pour nous.
Il n'y a pas de place pour autre chose.
Nous sommes des professionnels de santé.


Le reste n'est que discours. Il n'y a pas de date préférable ou de moment à choisir pour adopter la seule attitude possible.

Notre relation de soins est basée sur la confiance. Le patient qui nous donne sa bouche à soigner est en position de vulnérabilité totale. Il est allongé sous nos outils, sans possibilité de parole ni même de mimique. Le soin de la bouche est une relation directe à l'intime du patient.
Nous touchons là tant de fonctions essentielles de l'être humain, s'alimenter, communiquer, séduire...

Notre métier ne se conçoit pas sans la relation de confiance, et cette relation ne peut venir que de la sincérité, du parler vrai, de la compassion, du respect de l'autre.

Merci Rs4 de soulever le débat, qui doit prendre en compte autant le surtraitement, que le non-traitement. Des dérives toutes deux inacceptables.


Don quichotte xrbqem - Eugenol
Don Chicot

21/03/2013 à 13h28

Piccalilly écrivait:
--------------------
> Merci Rs4 de soulever le débat, qui doit prendre en compte autant le
> surtraitement, que le non-traitement. Des dérives toutes deux inacceptables.

La non-information est inacceptable. Le non-traitement depend de tellement de facteurs dont l'acceptation du plan de traitement et de ses consequences financieres.


4a338550 6a5b 47ea b2a7 d3cb675c5076 oni5gh - Eugenol
fistule69

21/03/2013 à 13h32

Endo chez des jeunes pour des classes I et II, c'est de l'escroquerie!
Mais le bouche à oreille se fait vite, devis de 1000€ quand le patient n'est pas demandeur, les conséquences négatives sont rapides. Meme quand je traite une carie non douloureuse trouvée à la pano (soin simple remboursé) les patients te regardent du coin de l'oeil. Pour éviter le problème de la dévitalisation assurée, il m'arrive d'attendre que les patients sentent quelque chose, mais là, ils sont demandeurs et conscients du problème.Comme plus haut, les praticiens indélicats existent, mais comme on dit :
"Tous des escrocs, sauf moi !" (quoi que !)


Mug2dm79f9axozneagomtszjwylf - Eugenol
Piccalilly

21/03/2013 à 13h41

Don Chicot écrivait:
--------------------
> Piccalilly écrivait:
> --------------------
> > Merci Rs4 de soulever le débat, qui doit prendre en compte autant le
> > surtraitement, que le non-traitement. Des dérives toutes deux inacceptables.
>
> La non-information est inacceptable. Le non-traitement depend de tellement de
> facteurs dont l'acceptation du plan de traitement et de ses consequences
> financieres.

OUI, merci


uɹöɾq

22/03/2013 à 00h46

fistule69 écrivait:
-------------------
> Endo chez des jeunes pour des classes I et II, c'est de l'escroquerie!
> Mais le bouche à oreille se fait vite, devis de 1000€ quand le patient n'est pas
> demandeur, les conséquences négatives sont rapides. Meme quand je traite une
> carie non douloureuse trouvée à la pano (soin simple remboursé) les patients te
> regardent du coin de l'oeil. Pour éviter le problème de la dévitalisation
> assurée, il m'arrive d'attendre que les patients sentent quelque chose, mais là,
> ils sont demandeurs et conscients du problème.

Quel beau métier...


Capture d  cran 2015 03 12 12.28 - Eugenol
chicot29

22/03/2013 à 01h08

fistule69 écrivait:
-------------------
> Endo chez des jeunes pour des classes I et II, c'est de l'escroquerie!
> Mais le bouche à oreille se fait vite, devis de 1000€ quand le patient n'est pas
> demandeur, les conséquences négatives sont rapides. Meme quand je traite une
> carie non douloureuse trouvée à la pano (soin simple remboursé) les patients te
> regardent du coin de l'oeil. Pour éviter le problème de la dévitalisation
> assurée, il m'arrive d'attendre que les patients sentent quelque chose, mais là,
> ils sont demandeurs et conscients du problème.Comme plus haut, les praticiens
> indélicats existent, mais comme on dit :
> "Tous des escrocs, sauf moi !" (quoi que !)
>

C'est là ou des reportages comme celui de M6 l'autre jour ont des effets catastrophiques : altérer la relation de confiance patient-praticien. C'est proprement lamentable. "on attend que les dents cassent ou un épisode douloureux pour être sur que le soin soit justifié".
Bravo et mille fois merci à M6.


P2eqdh3csim6s7nb09ktdq3e7ev8 - Eugenol
barbabapat

25/03/2013 à 11h47

Patient vus à un mois d'intervalle pour des douleurs. Pas de devis miroboland, des CCM à 500 euros qui feront plaisir à santéclair ou à notre ministre de la mauvaise santé, secteur campagne.

Vus la premiere fois pour un debut d'infection sous 47 un samedi à la fermeture, demontage du screw post, allésage laissée ouverte avec une prescription puis retours chez mon confrére.

Puis un mois plus tard retour un samedi pour des douleurs suite à l'obturation de 46, endo metasonne, cône de 2%, canal ML et DL non preparés, démontage du cône DV avec le coton laissé dans la chambre.

Il n'ai pas besoin de faire des devis delirant ou de partiquer des tarifs de prothése excessifs pour mal faire notre travail.

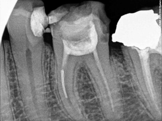
R2 gqe8k6 - Eugenol
R3 zxskma - Eugenol
R5 m6okvj - Eugenol
R6 ns5m2z - Eugenol

Avatar uy05sg - Eugenol
guest100

25/03/2013 à 13h29

Les patients ne sont pas -toujours- bênets mais ils sont par définition profanes, et c'est vrai que l'on voit quelquefois des devis qui sont des monuments d'enfumage et d'abus de conscience caractérisé, voire d'escroquerie.
Quant à l'argument de "laisser le temps que la clientèle s'en rende compte et déserte", c'est de la non assistance à personne en danger.
C'est quand même mieux de soigner nos patients avec la même conscience- j'ai pas dit forcément les mêmes moyens- que l'on ferait pour nos enfants, nos amis, et en tout cas avec la même honnêteté...


hachehaine

25/03/2013 à 13h46

Il a l'air doué ce dentiste ... il aurait pu faire la couronne sans faire l'endo sur la 6 et on fait semblant de pas avoir vu la fracture d'instrument sur la 7


P2eqdh3csim6s7nb09ktdq3e7ev8 - Eugenol
barbabapat

25/03/2013 à 14h22

guest100 écrivait:
------------------

> Quant à l'argument de "laisser le temps que la clientèle s'en rende compte et
> déserte", c'est de la non assistance à personne en danger.


Et les tarifs de soins et de prothése au ras des paquerettes, ca n'est pas une non assistance à personne en danger.

Les patients sont mieux armés pour discuter de la réalité d'un devis gonflé, que sur la qualité des soins de bases. La 8 ne fait pas mal et si le ML ne saignait pas encore dans la dent "obturée", le traitement serait allé à son terme avec des CCM à 500 euro réalisées sur çà.