Cookie Consent byPrivacyPolicies.comdetartrage sur implants hongrois, ben non! - Eugenol

detartrage sur implants hongrois, ben non!

Don quichotte xrbqem - Eugenol
Don Chicot

27/03/2013 à 09h40

arrivé hier: (ancien patient pas vu depuis 3 ans, je suis sa femme en ce moment)
Bonjour Docteur,
Je me suis fait poser des implants en Hongrie. J'ai été bien remboursé (par secu entre autre)
la secu m'a "controlé", ils m'ont dit de venir vous voir pour soins + det.
J'ai fait le soin mais j'ai refusé de détartrer ses couronnes sur implants.
Motif: imaginez que ça se descelle un jour, on risque de me rendre responsable et je vous dit pas la galère (implants inconnus, couronnes jumelées....)
Il est clair que sans detartrage, l'environnement paro va se dégrader, mais je considère que c'est son problème.
Vos avis svp, merci.




dent2669

27/03/2013 à 09h45

Pourquoi accepter de lui faire les soins ?

Soit tu le soignes, soit tu ne le soignes pas mais là, on pourrait te reprocher de n'avoir pas fait correctement ton travail.

Je pense (mais c'est toujours plus facile de penser ça derrière son PC), je pense que je lui aurait dit qu'en Hongrie, ils savent faire les soins et les détartrages aussi et qu'il devrait y aller !!


Don quichotte xrbqem - Eugenol
Don Chicot

27/03/2013 à 09h56

Je ne suis pas dans une démarche de "punition" (vous etes allé à l'etranger, je ne vous soigne plus), même si ça peut etre tentant.
C'est au niveau de la responsabilité que je me positionne. Je pense qu'il ne faut toucher ni de pres, ni de loin à ce type de travaux.
Legalement et déontologiquement, ça me semble tenir la route mais ce n'est que mon avis.
D'un point de vue "moral", si cette attitude est généralisée, cela risque de faire réfléchir les candidats aux "voyages dentaires".
"Mon poste, il s'est fait refaire la bouche en Hongrie, mais il trouve plus un dentiste pour lui nettoyer la bouche, il va devoir retourner la bas ...)


Morgan ztbb1b - Eugenol
BONNET jc

27/03/2013 à 10h40

Demande l'avis du conseil de l'ordre, c'est son boulot.Non? Et tiens nous au courant, cela servira de plus en plus.


Avatar hsdnpu - Eugenol
Superted

27/03/2013 à 11h23

moi je trouve marrant, qu'on ne se pose pas les mêmes questions sur des implants posés à dubaï, aux us, voir dans un autre département. Dans ces cas là personne ne dit " je touche pas, si ça se décolle ce sera de ma faute", on poste eventuellement un fil sur Eugenol pour les identifiés puis on fait les soins, par contre pour des implants posés en hongrie, oh lala, on touche pas.
Bande de faux-culs.
S'il était venu pour se faire faire la prothèse sur les implants posés en hongrie, tu aurais quand même accepté ou tu aurais dis que tu ne mangeais pas de ce pain là?


Logo m4n3gc - Eugenol
drmarcus

27/03/2013 à 11h30

Superted écrivait:
------------------
> Bande de faux-culs.

C'est toi qui le dit!

> S'il était venu pour se faire faire la prothèse sur les implants posés en
> hongrie, tu aurais quand même accepté ou tu aurais dis que tu ne mangeais pas de
> ce pain là?

Perso. idem. J'ai retenu, peut être à tort, que réaliser la prothèse sur implant revenait à accepter tout le SAV.
C'est parlois le problème que me racontent certains correspondants avec leur chir. précédants: A qui la faute?

Aussi j'assume, et crois moi c'est chronophage; alors accepter tout stranger.......NON!


--
"La seule chose promise d'avance à l'échec, c'est celle que l'on ne tente pas" Paul Emile VICTOR


Photo pluton1b h9n4ea - Eugenol
pluton

27/03/2013 à 11h34

Superted écrivait:
------------------
> moi je trouve marrant, qu'on ne se pose pas les mêmes questions sur des implants
> posés à dubaï, aux us, voir dans un autre département. Dans ces cas là personne
> ne dit " je touche pas, si ça se décolle ce sera de ma faute", on poste
> eventuellement un fil sur Eugenol pour les identifiés puis on fait les soins,
> par contre pour des implants posés en hongrie, oh lala, on touche pas.
> Bande de faux-culs.
> S'il était venu pour se faire faire la prothèse sur les implants posés en
> hongrie, tu aurais quand même accepté ou tu aurais dis que tu ne mangeais pas de
> ce pain là?

+1...
par contre, devis HN pour lithotricie + maintenance péri implantaire...je ne vais pas prendre des risques pour 28€92....

pour la prothèse...si c'est clean et que les implants sont bien identifiables...pourquoi pas??? c'est pas pire qu'un cas venant d'un correspondant, non?
par contre au moindre doute ou truc louche c'est retour à l'envoyeur...


Avatar hsdnpu - Eugenol
Superted

27/03/2013 à 11h37

on est parfaitement d'accord


paradoxe

27/03/2013 à 11h37

Non je ne ferais même pas les soins.
Un mec qui me raconte de telles histoires, je le sens pas, ça ne m'intéresse pas, je préfère qu'il aille voir son dentiste personnel.


Avatar reduit tuudiu - Eugenol
saitosama

27/03/2013 à 12h25

Le type ne joue pas le jeu. En france, si on veut que ça tourne normalement, c'est soins gratos + prothèse en compensation. Lui est aller faire ses prothèses pas cher dans un pays ou les soins sont normalement rémunérés, et il veut les soins tarifs sécu français.

Beurre et argent du beurre. Qu'il aille faire son det à 100€ en hongrie.


4a338550 6a5b 47ea b2a7 d3cb675c5076 oni5gh - Eugenol
fistule69

27/03/2013 à 12h44

Pour ce type de patient, je suis pour la peine capitale !!!
Plus de NB (je crois que le monde entier va trembler).
Faire comme d'habitude et vive la vie !
Bonne journée à tous.


Don quichotte xrbqem - Eugenol
Don Chicot

27/03/2013 à 12h59

Superted écrivait:
------------------
> moi je trouve marrant, qu'on ne se pose pas les mêmes questions sur des implants
> posés à dubaï, aux us, voir dans un autre département.

Je n'ai jamais vu de patients avec des implants posés à Dubaï ou aux usa, mais mon attitude serait la meme en absence de toute info sur l'identité des implants.
S, c'est français, j'essaie de contacter le confrère.

> par contre pour des implants posés en hongrie, oh lala, on touche pas.
> Bande de faux-culs.

Je ne te permets pas de m'insulter aussi vite, tu peux remarquer que ma position est largement partagée, Il y en a de bien plus intransigeants.
Par contre, ton attitude anti-confraternelle m'inquiète vraiment pour l'avenir de notre profession, Quant on en arrive à lancer des insultes aussi rapidement sous pretexte que l'on parle sur un forum anonyme, ça me troue le (vrai) cul.
> S'il était venu pour se faire faire la prothèse sur les implants posés en
> hongrie, tu aurais quand même accepté ou tu aurais dis que tu ne mangeais pas de
> ce pain là?

Ca ne me derangerait pas le moins du monde de deleguer la Xir avec un Hongrois, un grec ou un chypriote, pour peu qu'il se soit presenté, qu'il m'explique ce qu'il fait, quels types d'implants il pose, après élaboration d'un plan de trt en commun, bref comme je le fais actuellement avec mes deux correspondants locaux et ce avec bcp de reussite.

ps: puisque tu as décidé d'abandonner toute forme de confraternité, permets moi de te dire que ta réponse m'inspire le plus profond mépris.


G-P

27/03/2013 à 13h28

Je ne l'aurai même pas touché. Rupture du contrat de soins.
"Ah et c'était bien ?"
Un petit coup d'oeil dans la bouche, "par contre pour l'entretien de tout ça faudra y retourner mon bon monsieur, au revoir".


4a338550 6a5b 47ea b2a7 d3cb675c5076 oni5gh - Eugenol
fistule69

27/03/2013 à 13h30

Don chicot vs Superted !
C'est le nouveau Walt Disney ou quoi ?

On respire tous, c'est vrai que je trouve certain un peu crispés.
Frustration de ne pas bouffer les patients et donc de lyncher les confrères ?


Grueavatar nptrc9 - Eugenol
Le Choixpeau magique

29/03/2013 à 00h55

Superted écrivait:
------------------
> moi je trouve marrant, qu'on ne se pose pas les mêmes questions sur des implants
> posés à dubaï, aux us, voir dans un autre département. Dans ces cas là personne
> ne dit " je touche pas, si ça se décolle ce sera de ma faute", on poste
> eventuellement un fil sur Eugenol pour les identifiés puis on fait les soins,
> par contre pour des implants posés en hongrie, oh lala, on touche pas.
> Bande de faux-culs.

Même au coin de la rue si tu veux...
Imagine un peu, Monsieur Duchmol, à qui tu proposes des implants tous les ans depuis des années, et qui à chaque fois te dit "on verra plus tard", revient la bouche en coeur "je me suis fait poser des implants chez Dr X parce qu'il n'est pas cher, aujourd'hui je reviens vous voir pour mon détartrage", tu vas le recevoir avec le sourire ou le virer à coups de pieds au cul ?


levm

29/03/2013 à 01h15

Tu lui expliques avec gentillesse , qu'au moindre coup de fraises sur une dent couronnée par un confrère ou ultrason sur un implant posé ailleurs ,tu prends en charge la responsabilité de son travail avec les conséquences que cela impliquent.
Tu lui expliques que tu ne refuses pas de le soigner, et tu augmentes ta partie HN en lui proposant des surfaçages pour qu'il se barre de lui même .

J'ai déja eu un patient à qui j'ai realisé l'inlay core + l'endo(sous digue) et qui revient un an plus tard avec une dent en sur-occlusion faite au bled en se plaignant de mon travail. Autant dire que je l'ai bien envoyé chier.


Avatar hsdnpu - Eugenol
Superted

29/03/2013 à 01h21

Refuser un patient parce qu'il s.est fait implanter ailleurs c'est respectable. Soigner une carie à ce patient ( on ne sait jamais avec un peu de chance et en appuyant sur la fraise ça fera endo couronne) mais refuser de le détartrer sous prétexte qu.il y a des implants étrangers et que cela peut être dangereux et s'en vanter sur un forum, ça c.est être un faux-cul!


Photo pluton1b h9n4ea - Eugenol
pluton

29/03/2013 à 08h33

pfff, je commence à croire que la crise fait son œuvre de sape de fond, et que parce que le patient vous a fait une infidélité (volontaire ou non) vous allez le jeter comme un malpropre...
excusez moi, mais c'est un peu dégueulasse de votre part, et vous en diriez de même de votre constructeur de bagnole refusant de prendre en charge la suite de l'entretien de votre véhicule parce qu'en vacances votre pot d'échappement est tombé et que vous vous êtres fait dépanner par un petit garagiste indépendant pour ne pas rester sur le bord de la route...

tien, j'ai un truc à vous montrer...mais c'est au cab...


RépondreCiter
Photo pluton1b h9n4ea - Eugenol
pluton

29/03/2013 à 11h11

bon, voilà...

patiente de 45 ans, nouvelle pour moi...mais patiente du cab depuis plus de 30 ans (c'est mon père qui l'avait suivie, soins ODF, etc...)
pour raisons professionnelles, elle est partie en Asie pendant près de 10 ans...
par manque de chance, elle s'est explosé la 46 et la 47 (fracture verticale) sur un noyau...extractions, greffe osseuse, implants que j'avais remarqué lors de l'examen intrabuccal du fait du profil d'émergence caractéristique des couronnes
le travail a été réalisé il y a 5 ans, elle ne connaît pas la marque des implants...
pano de contrôle, c'est "propre", j'identifie au premier coup d'oeil la marque mais contrôle en live sur le site whatthisimplant l'image radio pour être sûr à 100%...c'est bien çà c'est du Nobel replace tapered...
je lui dis que je peux assurer le suivi mais pas la garantie du travail qui a été réalisé à Singapour (elle comprend parfaitement...) mais que d'avoir identifié les implants est un plus en cas de bris de céram ou de dévissage ne serait-ce que pour re-commander les pièces...et que bien que je ne pose pas du Nobel, je trouverai le moyen de me procurer les tournevis adéquats pour...
détartrage, et voilà...une patiente ravie d'avoir trouvé un professionnel pour la suivre tout en connaissant mes limites, et visiblement impressionnée elle en a profité pour prendre des RDV pour toute sa famille (mari, gamins pour l'ODF...je ne crois pas que je vais perdre quelque chose...au contraire!!!) je suis sûr que si jamais il y avait un problème, elle ne se poserait même pas la question de savoir vers qui se tourner...et sans me tenir pour responsable de quoi que se soit puisque j'ai été bien clair avec elle depuis le début...

voilà, c'est un petit clin d'oeil, mais çà reflète amha ce qui nous arrivera certainement à tous un jour dans nos cab
vous avez maintenant mon point de vue sur "comment je gère çà", en restant pro, courtois, et simplement en discutant avec les patients comment je jalonne le tout...
vos comportement "extrémistes" personnellement me débectent, et après vous venez "pleurer" que vous n'avez pas assez de taf...cherchez l'erreur...

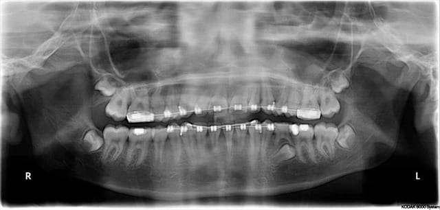
Pano wx8h5n - Eugenol

RépondreCiter
Toriko ucqp9i - Eugenol
Giantcoco

29/03/2013 à 11h18

Don Chicot écrivait:
--------------------
bien remboursé (par secu
> entre autre)
> la secu m'a "controlé", ils m'ont dit de venir vous voir pour soins + det.

MDR si il y a un problème la sécu fait quoi elle déconventionne le praticien hongrois!!!

ici le probleme n'est pas de savoir si on récupère un patient ayant fait des soins a l’étranger, mais de voir arriver un mec qui pour payer moins cher sort du système. Qu'il assume ses choix.


doagui

29/03/2013 à 11h57

pluton écrivait:
----------------

> vos comportement "extrémistes" personnellement me débectent, et après vous venez
> "pleurer" que vous n'avez pas assez de taf...cherchez l'erreur...

Tu compares n'importe quoi avec n'importe quoi, pas étonnant que tu n'arrives pas aux memes conclusions... Ta patiente est une dame sérieuse qui a été dans l'impossibilité de faire autrement, elle n'allait pas rentrer en France pour ses soins, elle a fait sur place évidemment et personne ne le lui reprochera.

Tu ne peux pas mettre au meme niveau des gens qui vont sciemment se faire soigner en Hongrie ! Ces gens veulent le beurre et l'argent du beurre et ne respectent pas les règles du jeu : ils veulent des soins quasi gratuits mais financés indirectement par la prothèse, tout en refusant de payer la prothèse qui irait avec. Je dis non. En dehors d'une urgence réelle, je ne me sens strictement aucune obligation envers ces gens.

Ca me rappelle une jeune fille à qui j'avais fait quelques soins et une endo. J'en avais chié, elle était hyper flippée et elle faisait en effet des réactions bizarres aux anesthésiques. Au final elle m'avait annoncé la bouche en coeur qu'elle allait faire ses couronnes pendant les vacances de Noel chez son vieux dentiste en province parce qu'il était moins cher. Mais attention, elle me promettait de revenir faire ses autres soins chez moi, hein ! Autant dire que je l'ai jettée illico.

Au final à mes yeux c'est meme pas tellement une question d'argent (encore que...). C'est surtout une question de respect : ces gens se foutent ouvertement de notre gueule ! Ils se gardent bien de te dire quelle idée ils ont en tete, parce que d'une façon ou d'une autre ils savent bien que c'est tout à fait incorrect. Non, ils te mettent au final devant le fait accompli, pensant t'avoir bien eu et que tu vas ensuite te sentir obligé de faire la maintenance, comme le gros niais qu'ils pensent que tu es.

Et bah avec moi c'est niet.

Mais libre à toi de leur donner raison après tout. Ne viens pas te plaindre ensuite que la combine circule et que ça t'arrive de plus en plus souvent, par contre.


hachehaine

29/03/2013 à 12h06

pluton écrivait:
----------------
> bon, voilà...
>
> patiente de 45 ans, nouvelle pour moi...mais patiente du cab depuis plus de 30
> ans (c'est mon père qui l'avait suivie, soins ODF, etc...)
> pour raisons professionnelles, elle est partie en Asie pendant près de 10 ans...


Il y a une différence entre patient qui fait du tourisme dentaire et patient qui se fait soigner à l'étranger pour des raisons professionnelles .
Une des grandes différences entre ces 2 cas , c'est que tout le plan de traitement ne doit pas se faire en maximum une semaine .
De plus , je pense aussi qu'il y a une différence entre les soins réalisés à Singapour et ceux de Hongrie.

Quand tu achetes un iphone , une télé ,ou n'importe quel autre chose , si tu effectues des réparations ailleurs . ton produit n'est plus garanti


G-P

29/03/2013 à 13h27

N'importe quoi Pluton, tu compares deux situations qui n'ont rien à voir (cf Doagui, je suis entièrement d'accord).


Casque beotien a3jo39 - Eugenol
beotien

29/03/2013 à 16h03

vous avez tous raison exemple ce cas de ce matin
Pour un confrère que je connais je tente de sauver la mise, mais dans le contexte de Don chicot je ne touche pas

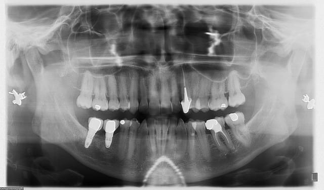
photo4 , c'est pour la détente

Em0 ahzi8n - Eugenol
Fe1 jtqm28 - Eugenol
Fe2 s6vbhf - Eugenol
Em3 itnm3e - Eugenol

bouboule

29/03/2013 à 16h18

idem situation totalement différente. Des patients qui s’exilent quelques temps pour le boulot et se font soigner ailleurs on en a tous. Aucun problème avec ça.
Par contre les touristes, ils ont voulu jouer ils assument. Pas de maintenance chez moi. Les seuls cas acceptés sont ceux horribles où tout se casse la gueule et où il faut tout recommencer (2 fois en 5 ans). dans ce cas la dépose est facturée en HN bien salé et le travail à refaire au tarif normal + décharge signée. Ça plait c'est bien ça plait pas tant pis, dehors.

Une fois chez le coiffeur un lendemain de reportage télé y a 2 3 ans je suis tombé sur la coiffeuse d'à côté et sa cliente qui discutait justement de ça. En résumé c'était ils ont raison d'aller se faire soigner ailleurs ils se gavent, c'est des voleurs on les emmerde. J'ai fini par les faire taire en disant que j'étais justement dentiste (drôle d'ailleurs elles savaient plus où se mettre!)

Tout ça pour dire qu'en gros Pluton, tu ouvres grand les bras à un type qui te crache à la gueule et en plus te le dit en arrivant. Ben pour moi faire ça c'est mort! il n'a qu'a prendre un billet pour la Hongrie! finalement c'est à peine à quelques heures de chez moi.

C'est avec des raisonnements comme ça que le métier est pourri comme il l'est aujourd'hui: les soins sont bloqués mais c'est pas grave on fait du blé avec la prothèse... tout en ayant conscience qu'on nous prend pour des cons.

Les protocoles c'est pareil, ok c'est nase de piquer des patients au collègue, ok c'est plafonné mais bon ça fait venir du monde alors on s'en accommode et on continu d'accepter d'être pris pour des cons...

Le jour où on arrêtera de se laisser faire en se donnant à chaque fois de bonnes excuses ça commencera peut être à aller mieux.... mais c'est une utopie, y en aura toujours pour accepter de ramasser les miettes qu'on aura bien voulu nous laisser.


12