Cookie Consent byPrivacyPolicies.comDépassement. - Eugenol

Dépassement.

Monsieur Poupi

27/03/2013 à 12h15

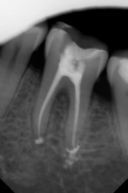
J'ai fait un dépassement relativement important sur cette 36.
Obturation thermafil et sealite. La dent était en état de pulpite et le traitement a été réalisé sous digue ( j'ai fait la radio après l'avoir enlevé)
Quelles peuvent être les conséquences de ce dépassement à moyen et long terme ?
Et si conséquences il y a que puis-je faire?

Merci pour vos réponses et éventuelles critiques.

36 ovufi6 - Eugenol

Images jm2g2g - Eugenol
dr_0le

27/03/2013 à 12h43

la radio est très floue.
Néanmoins, il me semble que le dépassement n'est composé que de pâte.. il peut donc y avoir une résorption a long terme.
Moins grave que si ton cône avait débordé..
On ne voit pas le 3 ème canal , peut être qu'une autre incidence pourrait nous permettre d'évaluer son obturation.

Bien malin qui pourra te dire comment ça évoluera avec précision.. on voit de tout .. même la plus belle endo peut foirer..


Nouveau image bitmap fz77zh - Eugenol
Sethef

27/03/2013 à 13h39

Ben quoi elle est jolie cette endo...

Mieux vaut trop long que trop court; surtout que le dépassement semble n'être constitué que de ciment.

Ca aurait sûrement pu être mieux, mais c'est pas le genre de choses qui m'empêcherait de dormir sur mes deux oreilles. Restauration dans la foulée, et on en reparle dans 20 ans.


G-P

27/03/2013 à 14h41

Bah quoi elle est parfaite ton obturation, t'as peut être un "puff" de ciment un peu trop gros en distal mais peu importe. Allez couronne moi ça et passe au suivant.


Don quichotte xrbqem - Eugenol
Don Chicot

27/03/2013 à 15h07

Je la sens moyen au niveau paro pour etre couronnée (furcation...)


Monsieur Poupi

27/03/2013 à 15h16

J'ai fait un sondage de toute la bouche , et pas de problème relevé au niveau de cette furcation ( pour l'instant)


01 ukhwbq - Eugenol
ʎqqoq

27/03/2013 à 15h18

Je ne m'inquiéterais pas non plus pour l'endo...


Avatar2 u3u8yh - Eugenol
riccyman

27/03/2013 à 16h50

N'y aurait il pas un joli petit dôme de corticale en bonne position dans cette furcation ?


Monsieur Poupi

27/03/2013 à 16h53

radio de la semaine dernière avant l'endo.

36 bis gkhoau - Eugenol

Ico v for vendetta08 jzhpep - Eugenol
o⅁ pnɐuɹ∀

27/03/2013 à 17h48

Elle est très bien ton endo, on s'attend plus à ce résultat sur des dents à l'apex défoncé comme dans les nécroses.

L'obturation sur tuteur fait facilement des dépassements, soigne davantage ta préparation en cône sans exploser le foramen (le dôme d'eugénate) et tu seras parfait.

J'aimerais foirer toutes mes endos comme ça.

--
Quand Eugénol a exclu Narik, Eugénol a perdu un peu plus que Narik.


Little shop of horrors brzqjx - Eugenol
chatondecarte

27/03/2013 à 18h22

G-P écrivait:
-------------
> Bah quoi elle est parfaite ton obturation, t'as peut être un "puff" de ciment un
> peu trop gros en distal mais peu importe. Allez couronne moi ça et passe au
> suivant.


Couronner?? et pourquoi pas un inlay core tant que vous y êtes...
Pourquoi gâcher une endo franchement très belle en divisant la durée de vie de la dent par 10 en y collant une couronne.

La restauration coronaire d'une telle dent c'est compo direct ou indirect. Point.
Faut arrêter de jouer le jeu de la sécu au bout d'un moment.


G-P

27/03/2013 à 18h32

Haha, OK, on en reparle quand ton banquier t'appellera pour te parler de ton déficit abyssal.
C'est bien de jouer les chevalier blancs, mais faut arrêter de déconner.


Images jm2g2g - Eugenol
dr_0le

27/03/2013 à 18h37

G-P écrivait:
-------------
Allez couronne moi ça et passe au
> suivant.

couronner une dent qui n'a pas l'air si délabrée.. pas sur que la couronne soit l'indication ici..

edit: je n'avais pas vu le poste précédent.. préparer une dent qui est presque nickelle, aucun intérêt..
si tu veux tu fais un onlay mais point barre.. jamais une prépa périphérique si la dent est peu délabrée..


Monsieur Poupi

27/03/2013 à 19h36

Malheureusement il y aura une prépa périphérique car cette dent était victime d'un "cracked tooth syndrom" et je vais devoir cercler la dent pour éviter une propagation de la fissure.
je pensai à une endocouronne collée ou bien un onlay avec recouvrement cuspidien total collé
Je ne suis pas trop faché du résultat de l'endo, mais je me posait la question des conséquences de ce dépassement.
Pour info j'ai utilisé un instrument unique en rotation continue ( one shape de chez microméga pour ne pas le citer)et peut être j'ai élargi le foramen.
Ça travaille fort et sur les canaux droit on se fait vite aspirer.


Nouveau image bitmap fz77zh - Eugenol
Sethef

27/03/2013 à 20h01

J'ai eu quelques cas de dents vivantes fêlées, où j'ai cerclé la dent sans pour autant réaliser l'endo. 0 retours jusque là (sur du court terme). Bon à savoir quoi.
Dans ces quelques cas, disparition des symptômes dès la pose de la provisoire scellée à l'IRM.


(dont une fois sur un inlay fraîchement posé, où la seule cuspide recouverte devait déjà être fêlée avant la pose: j'ai réalisé la prepa périphérique sans déposer l'inlay)


01 ukhwbq - Eugenol
ʎqqoq

27/03/2013 à 20h07

G-P écrivait:
-------------
> Haha, OK, on en reparle quand ton banquier t'appellera pour te parler de ton
> déficit abyssal.
> C'est bien de jouer les chevalier blancs, mais faut arrêter de déconner.

lol
Il y a un assistant à la fac qui me disait: "T'as envie de bouffer des patates?".
C'est un peu l'idée là aussi...


Monsieur Poupi

27/03/2013 à 20h26

J'aurai bien fait la couronne sur dent vivante, mais elle était en état de pulpite très avancé. D'ailleurs quand j'ai ouvert la chambre pulpaire j'ai eu le petit parfum caractéristique de la nécrose. J'imagine que ça n'aurait pas marché dans ce cas.


4a338550 6a5b 47ea b2a7 d3cb675c5076 oni5gh - Eugenol
fistule69

28/03/2013 à 13h16

Extraction et implant ?
Uniquement en dessous d’Avignon.
Belle endo ! NO PROBLEMO.