Cookie Consent byPrivacyPolicies.comdent incluse - extraction - implantation immédiate - Eugenol

dent incluse - extraction - implantation immédiate

3f3boxni50k58rq7e9ce9ddqrxgk - Eugenol
dentiste57

30/03/2013 à 23h32

désolé pour ce titre pas terrible, mais suis un peu fatigué ce soir..

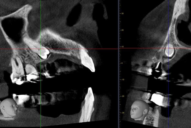
voici un cas avec extraction de 2iéme prémolaire incluse par voie palatine (25) et extraction - implantation - mise en charge immédiate sur 24.

.be


3f3boxni50k58rq7e9ce9ddqrxgk - Eugenol
dentiste57

31/03/2013 à 11h57

voici 2,3 coupes ...

Guillaumin dentiste mondelange 1 szssok - Eugenol
Guillaumin dentiste mondelange 2 ae9tty - Eugenol
Guillaumin mondelange dentiste 3 jrfabr - Eugenol
Capture oomdgp - Eugenol

Canin

31/03/2013 à 12h49


Chir sympa et jouable, mais faudra aller chercher dans du 15 mm je pense + associer de la rog pour combler les défauts après les extractions et curetage du foyer apical.

Sinon 2e option, tu t'embêtes pas, tu passes simplement à travers la 25 comme Schmuckler et Davarpanah. 20 min d'intervention entre l'avulsion de 24 + curetage du foyer et pose de l'implant et les sutures.

À toi de voir.

--
Canin


Photo pluton1b h9n4ea - Eugenol
pluton

31/03/2013 à 19h52

bein, perso, avant de virer la 15 je tenterais de la tracter orthodontiquement après l'extraction de la 14...mais bon...


Icon poker h4nm2d - Eugenol
jeff

31/03/2013 à 20h12

Pareil..


3f3boxni50k58rq7e9ce9ddqrxgk - Eugenol
dentiste57

31/03/2013 à 20h45

jeff écrivait:
--------------
> Pareil.

Comme vous, ça aurait été le traitement intelligent , mais la patiente n'en a pas voulu entendre parler.


king_zoulou

31/03/2013 à 21h32

Et pourquoi pas extraction de la 25, endo, ré-implantation, contention ?


Photo pluton1b h9n4ea - Eugenol
pluton

31/03/2013 à 21h45

dentiste57 écrivait:
--------------------
> jeff écrivait:
> --------------
> > Pareil.
>
> Comme vous, ça aurait été le traitement intelligent , mais la patiente n'en a
> pas voulu entendre parler.

c'est pourtant la meilleure option et de loin...et sincèrement dans un cas comme çà, bein l'implant, je fais pas...du moins si la dent n'est pas ankylosée cas où là l'implant devient le traitement alternatif si on ne parvient pas à tracter la 25...

une ou 2 minivis, une "canne à pêche" à la Dancha et en quelques mois la dent est en place...tu peaufines avec des Danchamon ou quelques boitiers...et zou...
mécanique sans risque, pas très onéreux peut être un peu plus long en durée (encore que...)et le meilleur de tous les implants du monde en place: une vraie dent!!!

niveau bénéfice/risque, y a pas photo...reste a être persuasif, mais pour çà faut aussi être convaincu et çà peut tellement être plus tentant d'en poser pour le double de prix...


3f3boxni50k58rq7e9ce9ddqrxgk - Eugenol
dentiste57

31/03/2013 à 21h46

je me dois de t'avouer que je n'ai aucune expérience en matière de ré-implantation, et que ce type de traitement me semble même un peu obsolète.
je me trompe peut être et je serai ravie que tu partages avec nous sur ce type de traitement qui reste à juste titre un solution possible.


Photo pluton1b h9n4ea - Eugenol
pluton

31/03/2013 à 21h48

king_zoulou écrivait:
---------------------
> Et pourquoi pas extraction de la 25, endo, ré-implantation, contention ?
>
pourquoi faire compliqué, pas forcément fiable sur le long terme, quand on peu faire simple et non mutilant?


3f3boxni50k58rq7e9ce9ddqrxgk - Eugenol
dentiste57

31/03/2013 à 21h49

pluton écrivait:
----------------
mais pour çà
> faut aussi être convaincu et çà peut tellement être plus tentant d'en poser pour
> le double de prix...

+crois moi, j'ai lourdement insisté pour un traitement ortho.. jusqu'à la dernière minute...mais bon, quand ça veut pas, ça veut pas.


Photo pluton1b h9n4ea - Eugenol
pluton

31/03/2013 à 21h57

dentiste57 écrivait:
--------------------

> +crois moi, j'ai lourdement insisté pour un traitement ortho.. jusqu'à la
> dernière minute...mais bon, quand ça veut pas, ça veut pas.

et bien il faut savoir dire NON et rester ferme sur sa position

imagine un peu: tu extrais la 24, tu plantes direct en travers la 25 ou tu extrais cette dent...et malgré toutes les précautions, çà merde...rog, greffe, etc...et au final esthétique bof bof bof...
pas de bol, patiente voulant une esthétique top, un traitement rapide alors que tu vas au final y passer 2x plus de temps que l'ODF...bon courage!!! tu peux déjà préparer ta défense...


3f3boxni50k58rq7e9ce9ddqrxgk - Eugenol
dentiste57

31/03/2013 à 22h28

bon , fin du suspense.

1 aspect extérieure
2-3-4-5 décollement
6 l’objet du délit...

Dsc 2612 b6xtof - Eugenol
Dsc 2613 jznd0h - Eugenol
Dsc 2618 iiqc54 - Eugenol
Dsc 2614 h01aa3 - Eugenol
Dsc 2615 w2gnn1 - Eugenol
Dsc 2617 twlro9 - Eugenol

3f3boxni50k58rq7e9ce9ddqrxgk - Eugenol
dentiste57

31/03/2013 à 22h31

1 le trou !
2 les trous !
3 les trous et l'implant
(un axiom PX pour la stabilité...)
4 comblement
5 dent provisoire
6-7 sutures

Dsc 2619 uqu1xz - Eugenol
Dsc 2622 opvzvc - Eugenol
Dsc 2626 mtwris - Eugenol
Dsc 2629 sssfe0 - Eugenol
Dsc 2633 rcqu8c - Eugenol
Dsc 2636 pjlcai - Eugenol
Dsc 2637 bybd3w - Eugenol

hachehaine

31/03/2013 à 22h53

superbe


RépondreCiter
Photo pluton1b h9n4ea - Eugenol
pluton

31/03/2013 à 23h18

j'aime pas...
je ne cautionne pas...

oh pas pour la technique chirurgicale de D57, toujours impeccable, mais...
la 25 n'était pas ankylosée, et facile à mettre en place...


3f3boxni50k58rq7e9ce9ddqrxgk - Eugenol
dentiste57

31/03/2013 à 23h34

je suis de ton avis, mais la patiente voulait pas d'ortho.
si je savais le faire moi même, ce serait surement plus facile à placer comme plan de traitement.


Photo pluton1b h9n4ea - Eugenol
pluton

31/03/2013 à 23h57

ce qui revient à dire que puisque tu ne sais pas faire tu as accepté de mutiler la patiente...no comment...


Img 8465 fqhxid - Eugenol
noahaxeltiger-olivier

01/04/2013 à 00h49

pluton écrivait:
----------------
> ce qui revient à dire que puisque tu ne sais pas faire tu as accepté de mutiler
> la patiente...no comment...


Je trouve ta réaction très intéressante Pluton quand tu parles de mutilation.

J'ai eu la même réaction quand Posit a présenté ces cas d'extraction totale/implantation sur des cas paro parfaitement traitables. Si j'ai bon souvenir ce genre de plan de traitement ne semblait pas alors te déranger.
Qu'est ce qui te fait changer d'avis maintenant ? Je ne comprends pas.


levm

01/04/2013 à 00h49

Pluton , tu sais tous les jours on se retrouve face à des compromis :
Lorsqu'un patient refuse l'implant et que 2 dents saines sont taillées
Lorsqu'un patient refuse l'ortho , et qu'on lui propose des facettes .
Lorsqu'un patient refuse un inlay et ça que se finit en couronne .

Que ce soit pour des raisons économiques , de disponibilité ou simplement éviter de la chirurgie , c'est au patient de choisir son traitement dans le mesure du possible . C'est ce qui s'appelle le consentement éclairé.

Comme tu peux le constater ,j'ai nul doute que le resultat final sera à la hauteur des photos qu'il présente : c'est à dire quasi parfait .


Photo pluton1b h9n4ea - Eugenol
pluton

01/04/2013 à 01h43

noahaxeltiger-olivier écrivait:
-------------------------------

> Je trouve ta réaction très intéressante Pluton quand tu parles de mutilation.
>
> J'ai eu la même réaction quand Posit a présenté ces cas d'extraction
> totale/implantation sur des cas paro parfaitement traitables. Si j'ai bon
> souvenir ce genre de plan de traitement ne semblait pas alors te déranger.
> Qu'est ce qui te fait changer d'avis maintenant ? Je ne comprends pas.

Noah, sur les cas de Posit, peut être que certains étaient traitables, peut être que non, je n'avais pas assez d'informations sur ces cas pour avoir un avis précis...
n'ayant pas tous les éléments diagnostiques en ma possession, ma position a été de faire confiance au praticien qui entreprenait le traitement...
je ne suis pas assez "calé" pour dire si oui ou non on peut tout traiter simplement avec une pano et quelques photos, et je me fais un poing d'honneur à être le plus confraternel possible...

dans ce cas, c'est différent...le cône beam nous donne toutes les informations nécessaires pour savoir si c'est réalisable ou non, et là oui, pour avoir tracté un certain nombre de dents incluses, il est quasi certain que la mise en place de cette 25 ne posait aucun problème...peut être même en seulement quelques mois...

@levm: quand j'ai une solution non mutilante, je m'y cramponne fermement et je préfère m'abstenir si çà ne convient pas au patient...j'ai déjà refusé de tailler des dents pour faire des facettes alors que la solution ODF était meilleure, comme pour des bridges sur dents saines si la solution implantaire était possible, mais tu fais ce que tu veux avec ta conscience...
alors bien sûr la chirurgie de D57 est très bien menée, le résultat sera très certainement chouette, mais çà ne m'empêche pas de penser à cette 25 qui aurait parfaitement rempli sa fonction sans aucun artifice prothétique et certainement bien plus longtemps...

voilà pourquoi je dis que je n'aime pas et que je ne cautionne pas, parce qu'un autre solution bien plus élégante et non mutilante était possible...qui plus est (parce qu'à mon avis c'est à cause de çà que le ttm ODF a été écarté...) quasiment "invisible" ou si peu avec les minivis et des danchamon ou des boitiers céramiques...

il me semble bien que sur le forum nous sommes peu à avoir la "triple casquette" omnipraticien/ODF/implanto et je trouve dommage que D57 ne m'ait pas, par ex, demandé si c'était faisable et comment...avant...


RépondreCiter
levm

01/04/2013 à 02h12

Souvent , il existe plusieurs solutions thérapeutiques pour un meme cas qui va du plus simple au plus complexe , du moins au plus onéreux , de la dentisterie à minima à une dentisterie un peu plus mutilante.

Aussi une dent qu'on jugera irrécupérable pour un implanto , le sera pour un paro ou un endodontiste.

Je suis en plein traitement orthodontique actuellement , et pour etre tout à fait franc , c'est parfois difficilement supportable avec des rdv nombreux , etc .

Ce n'est pas la meilleur solution thérapeutique mais au final , le patient aura une arcade dentaire complete.


Photo pluton1b h9n4ea - Eugenol
pluton

01/04/2013 à 11h23

levm écrivait:
--------------
> Souvent , il existe plusieurs solutions thérapeutiques pour un meme cas qui va
> du plus simple au plus complexe , du moins au plus onéreux , de la dentisterie
> à minima à une dentisterie un peu plus mutilante.
>
> Aussi une dent qu'on jugera irrécupérable pour un implanto , le sera pour un
> paro ou un endodontiste.
>
> Je suis en plein traitement orthodontique actuellement , et pour etre tout à
> fait franc , c'est parfois difficilement supportable avec des rdv nombreux , etc
> .
>
> Ce n'est pas la meilleur solution thérapeutique mais au final , le patient aura
> une arcade dentaire complete.
>

oui, je suis d'accord avec toi sur le fond...il y a souvent différentes approches et ttm possibles
tu n'as pas tords, mais moi non plus, et dans des situations semblables, l'ODF est à réaliser en n°1, l'implanto n'est que l'alternative si çà échoue à cause d'une ankylose

tu es en plein ttm ortho, alors tu vas comprendre...à ton avis, si vraiment tu étais pressé, ton praticien aurait accepté de t'extraire toutes tes dents (saines) de te poser 14 ou 16 implants et un bridge complet haut et bas dessus??? et hop, plus besoin d'ortho, pas de risque de récidive...
tu ne crois pas que c'est exagéré? c'est pourtant le cas, et comme tu le dis, au final, tu auras les arcades complètes...


S2y2o1v7q53ws4r5wy6ou8czrpom - Eugenol
pxav

01/04/2013 à 11h57

noahaxeltiger-olivier écrivait:
-------------------------------

J'ai eu la même réaction .
Qu'est ce qui te fait changer d'avis maintenant ? Je ne comprends pas.

Malheureusement +1


--
xbk
"Si tous ceux qui croient avoir raison n'avaient pas tort, la vérité ne serait pas loin" Dac Pierre


Avatar ow44t3 - Eugenol
Chicot

01/04/2013 à 12h19

Nous devons vivre tout les jours dans le compromis, il y a toujours le traitement idéal, et le traitement réalisable ( temps, argent, ...).

On rêve tous de réaliser les traitements idéaux, mais on en réalise combien ? 10-20-30% ?

Combien on des microscopes pour l'endo, ou même de simples loupes, des lasers, imucco......

Atterrissez les mecs !

Si cette patiente était vraiment 'motivable' elle n'aurait sans doute pas son gros plombage sur la 6 et il aurait été plus sage de commencer par un inlay sur cette dent qui est un réservoir à bactérie.

Bravo D57, belle intervention. Tu avais combien pour ancrer ton implant ?

Tu as mis une collagène AT ? Selon les dernière études ça.ne sert à rien dans ce type de défaut car le bio mat tient en place tout seul et la compétition cellulaire ça serait du pipeau.


--
;O)