Cookie Consent byPrivacyPolicies.comdent incluse - extraction - implantation immédiate - Eugenol

dent incluse - extraction - implantation immédiate

levm

01/04/2013 à 14h01

>pluton .
Je suis en plein traitement ortho pour une legere classe 3 canine gauche et une legere rotation de 22.
La solution de simplicité aurait été de faire quelques facettes ou couronnes pour améliorer mon sourire.
En tant que dentiste , il n'est pas question de toucher au moindre mm d'email.
Mais si je ne l'étais pas , je pense que je me serais orienté vers la solution rapide et la moins onéreuse;


3f3boxni50k58rq7e9ce9ddqrxgk - Eugenol
dentiste57

01/04/2013 à 16h35


>
> Bravo D57, belle intervention. Tu avais combien pour ancrer ton implant ?
>

Environ 3mm , c'est suffisant pour un PX axiom


> Tu as mis une collagène AT ? Selon les dernière études ça.ne sert à rien dans ce
> type de défaut car le bio mat tient en place tout seul et la compétition
> cellulaire ça serait du pipeau.

J'ai rien mis , mais je suis très intéressé par tes données sur la compétition cellulaire...


Utilisateur banni

01/04/2013 à 16h41

noahaxeltiger-olivier écrivait:
-------------------------------
> J'ai eu la même réaction quand Posit a présenté ces cas d'extraction
> totale/implantation sur des cas paro parfaitement traitables. Si j'ai bon
> souvenir ce genre de plan de traitement ne semblait pas alors te déranger.
> Qu'est ce qui te fait changer d'avis maintenant ? Je ne comprends pas.

Noahaxeltiger, je suis toujours à jeun de la moindre justification de tes critiques sur les plans de traitement concernés. Ce n’est pas la première fois que tu t’autorise des écarts de confraternités vis-à-vis des utilisateurs de mes DMSM. Si tes remarques étaient systématiques en rapport à la MCIPE et cas présentés sur eugenol ton comportement aurait une certaine logique comme ce n’est pas le cas je me cantonnerais d'écrire que ton attitude est plus puérile que professionnelle.


RépondreCiter
Avatar ow44t3 - Eugenol
Chicot

01/04/2013 à 16h45

dentiste57 écrivait:
--------------------
>
> >
> > Bravo D57, belle intervention. Tu avais combien pour ancrer ton implant ?
> >
>
> Environ 3mm , c'est suffisant pour un PX axiom
>


Et pour une MCI ? Chochocho !



>
> > Tu as mis une collagène AT ? Selon les dernière études ça.ne sert à rien dans
> ce
> > type de défaut car le bio mat tient en place tout seul et la compétition
> > cellulaire ça serait du pipeau.
>
> J'ai rien mis , mais je suis très intéressé par tes données sur la compétition
> cellulaire...




C'est ce que j'ai entendu au post graduate Bordeaux New York, mais j'ai pas les ref biblio :0(

--
;O)


Juanito

01/04/2013 à 16h53

Posit, à chacun sa logique. Celle de Noahaxeltiger est incontestablement scientifiquement argumentée. La vôtre malheureusement manifestement partisanes car intéressée.


Avatar ow44t3 - Eugenol
Chicot

01/04/2013 à 16h56

Juanito écrivait:
-----------------
> Posit, à chacun sa logique. Celle de Noahaxeltiger est incontestablement
> scientifiquement argumentée. La vôtre malheureusement manifestement partisanes
> car intéressée.

+10000


--
;O)


Utilisateur banni

01/04/2013 à 17h03

Juanito écrivait:
-----------------
> Posit, à chacun sa logique. Celle de Noahaxeltiger est incontestablement
> scientifiquement argumentée. La vôtre malheureusement manifestement partisanes
> car intéressée.


Noahaxeltiger tu as un poisson dans le dos !


Image r6habu - Eugenol
Thomas Crown

01/04/2013 à 17h04

C'est de la belle Chir comme on aimerait en voir plus souvent , bravo!
Mais vu les coupes scann, ton apex implant est forcément à moitié ( et encore..) dans le vide..
Couple a 25N Max au final..amha.. Pourquoi avoir mis en charge? Je t'aurai mis ça en nourrice vite fait sans réfléchir moi, comme après un Summers..


Img 8465 fqhxid - Eugenol
noahaxeltiger-olivier

01/04/2013 à 17h06

posit écrivait:
---------------
> Noahaxeltiger, je suis toujours à jeun de la moindre justification de tes
> critiques sur les plans de traitement concernés. Ce n’est pas la première fois
> que tu t’autorise des écarts de confraternités vis-à-vis des utilisateurs de mes
> DMSM. Si tes remarques étaient systématiques en rapport à la MCIPE et cas
> présentés sur eugenol ton comportement aurait une certaine logique comme ce
> n’est pas le cas je me cantonnerais d'écrire que ton attitude est plus puérile
> que professionnelle.

Excuse moi D57 de répondre à Posit. Mon but n'est pas de pourrir ton post.

cher posit, ton message est encore une preuve que tu ne comprends rien!! Je n'ai aucun point de vue sur ton système DMSM et sur tes MCIPE qui manquent sérieusement de suivi clinique et de support scientifique. La seule chose que je critique sont les indications cliniques qui sont posées.
Pour reprendre les mots de Pluton, pour moi il s'agit de mutilation!
Avec ces mots, nos dicussions, cher Posit, sont closes.


Utilisateur banni

01/04/2013 à 17h18

noahaxeltiger-olivier écrivait:
-------------------------------
> pluton écrivait:
> ----------------
> > ce qui revient à dire que puisque tu ne sais pas faire tu as accepté de
> mutiler
> > la patiente...no comment...
>
>
> Je trouve ta réaction très intéressante Pluton quand tu parles de mutilation.
>
> J'ai eu la même réaction quand Posit a présenté ces cas d'extraction
> totale/implantation sur des cas paro parfaitement traitables. Si j'ai bon
> souvenir ce genre de plan de traitement ne semblait pas alors te déranger.
> Qu'est ce qui te fait changer d'avis maintenant ? Je ne comprends pas.



>Excuse moi D57 de répondre à Posit. Mon but n'est pas de pourrir ton post.

Comme tes post et mes réponses n’ont aucun intérêt pour le sujet il vaut mieux les clore surtout à la lumière de ta logique !


RépondreCiter
S2y2o1v7q53ws4r5wy6ou8czrpom - Eugenol
pxav

01/04/2013 à 20h58

Pas d'avis sur le débat ortho/extract, mais par contre je ne comprend pas l’intérêt d'une mise en esthétique immédiate avec si peu d'ancrage même si le Px est exceptionnel pour ça.
je suis curieux de voir le résultat dans quelques temps.

--
xbk
"Si tous ceux qui croient avoir raison n'avaient pas tort, la vérité ne serait pas loin" Dac Pierre


Android jyzura - Eugenol
Tavéca

01/04/2013 à 23h09

pluton écrivait:
----------------
> niveau bénéfice/risque, y a pas photo...reste a être persuasif, mais pour çà
> faut aussi être convaincu et çà peut tellement être plus tentant d'en poser pour
> le double de prix...

Ton opinion est juste et fondée, mais ta dernière phrase est déplacé vis a vis d'un praticien qui partage volontier et ouvert a la critique.
Je n'ai pas pour habitude de faire l'éloge de la confraternité, mais tu en manques largement ici.


Android jyzura - Eugenol
Tavéca

01/04/2013 à 23h19

pxav écrivait:
--------------
> Pas d'avis sur le débat ortho/extract, mais par contre je ne comprend pas
> l’intérêt d'une mise en esthétique immédiate avec si peu d'ancrage même si le Px
> est exceptionnel pour ça.
> je suis curieux de voir le résultat dans quelques temps.


Bien sûr on s'éloigne dans un tel cas du modele théorique idéal, mais peut être que la clinique permettait un ancrage suffisant pour le réaliser.
Je ne veut pas non plus rentrer dans le debat ortho/extr par contre je suis un adepte de la "casuistique" particulièrement en implantologie.


S2y2o1v7q53ws4r5wy6ou8czrpom - Eugenol
pxav

01/04/2013 à 23h26

Moi aussi je suis pour la casuistique,mais la preuve peut être la réussite... ou l'échec.
Ce que je ne souhaite pas d'ailleurs, mais 3 mm ça me parait un peu juste, d'autant plus que l'état de la bouche ne rendait pas indispensable le 1 temps.

--
xbk
"Si tous ceux qui croient avoir raison n'avaient pas tort, la vérité ne serait pas loin" Dac Pierre


Photo pluton1b h9n4ea - Eugenol
pluton

02/04/2013 à 01h55

Tavéca écrivait:
----------------
> pluton écrivait:
> ----------------
> > niveau bénéfice/risque, y a pas photo...reste a être persuasif, mais pour çà
> > faut aussi être convaincu et çà peut tellement être plus tentant d'en poser
> pour
> > le double de prix...
>
> Ton opinion est juste et fondée, mais ta dernière phrase est déplacé vis a vis
> d'un praticien qui partage volontier et ouvert a la critique.
> Je n'ai pas pour habitude de faire l'éloge de la confraternité, mais tu en
> manques largement ici.

peut être que ma phrase a été mal interprétée, car elle ne visait aucunement D57...le sens était général dans les dérives possibles que nous offre l'implantologie aujourd'hui...certains pourraient en abuser...
le cas montré par D57 est intéressant, magistralement exécuté, mais n'est pas forcément un cas "d'école" à suivre, bien au contraire puisque ici le choix stratégique normal aurait été de tracter la 25 et non de l'extraire...d'autant, encore une fois, que la mise en place ne posait aucune difficulté majeure...
donc oui, bravo pour la chir...et dommage pour cette 25...

d'autant plus dommage qu'avec 3mm d'ancrage, c'est "chaud" pour une mise en esthétique immédiate, perso je n'aurais pas osé tenter...


Utilisateur banni

03/04/2013 à 10h44

dentiste57 as-tu fait un collage de la provisoire sur la molaire ?


Casque beotien a3jo39 - Eugenol
beotien

05/04/2013 à 13h29

belles photos
+1 odf
puis sinon
j'aurais tenté la mise en place de cet implant testé depuis 40000 ans chez l'homo sapiens

mais cela semble être l'avis d'un seul, moi:-))

Dent ho7jve - Eugenol

3f3boxni50k58rq7e9ce9ddqrxgk - Eugenol
dentiste57

05/04/2013 à 15h50

je dois t'avouer mon cher beotien que je n'y ai même pas pensé!
honte à moi!
les plans de traitement sont si multiples. je te promet que la prochaine fois j'y penserai.


Casque beotien a3jo39 - Eugenol
beotien

06/04/2013 à 13h47

dentiste57 écrivait:
--------------------
> je dois t'avouer mon cher beotien que je n'y ai même pas pensé!
> honte à moi!
> les plans de traitement sont si multiples. je te promet que la prochaine fois
> j'y penserai.

C'est parce que tu es jeune et de la "génération implant"
mais tu as raison pour la multiplicité

cas 1: 45 bêtement oubliée par un ortho qui décide de sortir en lingual, exo 44 puis exo 45 puis remise en place de 44

cas 2: 23 technique Pluton, je précise photo prise lors du test de traction

l'implant était jouable dans les 2 cas

Dsc 0067 new1 vhqrmp - Eugenol
D1 mn92ek - Eugenol
D2 teeuye - Eugenol
R1 cobdgj - Eugenol
Dsc 0068 new2 yrwlwo - Eugenol

Android jyzura - Eugenol
Tavéca

06/04/2013 à 15h51

beotien écrivait:
----------------
> cas 1: 45 bêtement oubliée par un ortho qui décide de sortir en lingual, exo 44
> puis exo 45 puis remise en place de 44

pourquoi?

> cas 2: 23 technique Pluton, je précise photo prise lors du test de traction

C'est quoi ta technique?

> L'implant était jouable dans les 2 cas

Dans le cas 1 je ne partage pas ton avis

Ps: l'hortho qui a collé les brackets est un petit goret ;)


Casque beotien a3jo39 - Eugenol
beotien

06/04/2013 à 20h29

Pourquoi quoi?
Le traitement n'a pas été fait chez nous donc je ne sais pas pourquoi la 45 était là

Technique Pluton simple collage de l’élastique sur la dent sans bracket, c'est idiot mais on n'y avait pas pensé

Pour le cas 1 tu ne partages pas mon avis! certains pensent que les réimplantations ne fonctionnent pas, d'autres préfèrent mettre de suite un implant c'est leur choix

ps: je vais transmettre pour le petit goret, mais que dit on pour celui qui écrit Hortho?:-))


Android jyzura - Eugenol
Tavéca

06/04/2013 à 22h59

beotien écrivait:
-----------------
> Pourquoi quoi?
> Le traitement n'a pas été fait chez nous donc je ne sais pas pourquoi la 45
> était là

Pourquoi extraire la 44 pour extraire la 45 ?

>
> Technique Pluton simple collage de l’élastique sur la dent sans bracket, c'est
> idiot mais on n'y avait pas pensé
>
> Pour le cas 1 tu ne partages pas mon avis! certains pensent que les
> réimplantations ne fonctionnent pas, d'autres préfèrent mettre de suite un
> implant c'est leur choix

La réimplantation ne me gène pas, c'est l'extraction de 44 pour extraire 45 qui me gène.

>
> ps: je vais transmettre pour le petit goret, mais que dit on pour celui qui
> écrit Hortho?:-))

Qu'il est nul en horthographe!


3f3boxni50k58rq7e9ce9ddqrxgk - Eugenol
dentiste57

07/04/2013 à 02h43

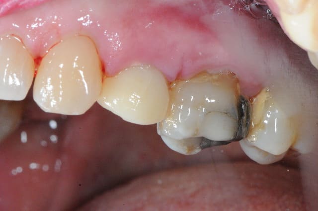
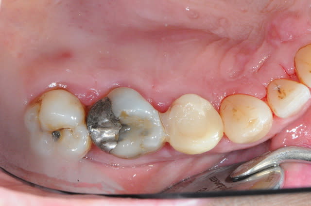
je l'ai revu hier.
pour l'instant, tous va bien, elle est contente.

Dsc 3608 ho3bbk - Eugenol
Dsc 3609 muwv7e - Eugenol

Casque beotien a3jo39 - Eugenol
beotien

07/04/2013 à 12h37

cela semble bien engagé dentiste57, ta solution sera donc la bonne

Tavéca écrivait:
----------------

> Pourquoi extraire la 44 pour extraire la 45 ?

> La réimplantation ne me gène pas, c'est l'extraction de 44 pour extraire 45 qui
> me gène.

Désolé je n'avais pas compris, tu poses des implants donc ta question est sans doute une blague mais je vais répondre cela sera peut être utile pour quelques confrères

les 2 cas sont bien pour servir d'exemple

la 23 a beau être horizontale elle est extrêmement facile à sortir, le trou de la désinclusion est amplement suffisant car elle n'est pas ankylosée, il suffit donc de la couper en tranche avec par exemple une zekrya sur pièce à main, et un chompret droit, au maximum 10 minutes

la 45 semble facile mais l'extraction simple n'est pas faisable car en lingual décoller la muqueuse n'est pas le problème, mais une zekrya sur contre angle au niveau du plancher c'est très risqué, et après il faut être certain de réussir à la lever pour la saucissonner au minimum 2 fois vu la longueur
Donc amha,la solution la plus fiable pour ce cas est celle que j'ai utilisé. 44 out au davier 30s, 45 en douceur et entière 1 minute au final la 44 a pris l'air 2 minutes

cela étant si tu peux m'exposer ta solution je suis preneur



Android jyzura - Eugenol
Tavéca

07/04/2013 à 16h06

beotien écrivait:
-----------------
> cela étant si tu peux m'exposer ta solution je suis preneur

Donc j'avais bien compris, tu as extrait 44 pour extraire 45 et ça te semble normal parce que son extraction aurait été risquée autrement. Difficile pour moi de critiquer ce choix sans avoir d'autres éléments de diagnostic que la pano. Mais je t'expose ma solution: extraire la 44 sans toucher la 45 malgré l'accés linguale et la difficulté opératoire. Sinon ne pas toucher et surveiller, voir meme espérer une éruption linguale.

Tu disais précédemment que le meilleur implant c'était la dent, en fait le meilleur implant, c'est pas d'implant.