Cookie Consent byPrivacyPolicies.comUn cas - Eugenol
1 eugenol dmj5np - Eugenol
Dancha

03/04/2013 à 20h07

Jeune fille de 12 ans.
Que proposez-vous ?
Comment procéderiez-vous ?

Daniel

12224 pano0 q3b5ac - Eugenol

doczi

03/04/2013 à 23h51

difficil de parler sans autres données, la fillette a t elle une pathologie quelconque, syndrome, simplement un retard de croissance général????...photo, contexte général, je ne suis pas ortho, je fais juste de l'interception mais j'aimerai tester un peu mon bon sens (ou mauvais:)) en ortho.
en bas: luxer légèrement les 5 pour accélérer l’évolution des définitives, surveiller évolution des 12
en haut: aménager très vite de l'espace pour les 3 en rapprochant les 4 incisives (entre autre freinectomie si besoin)avec :
à gauche: exo des 63, 64, 65 , ça devrait se faire tout seul pour les éruptions quoi que la racine de la 23 semble déjà bien formée, au pire finir de ce côté par traction orthochirurgical
à droite: exo de toute les temporaires, la 15 devrait venir toute seul, traction de la 14 pour la 13 aucune idée , faudra voir un cone beam ou scanner.
ceci si classe I squelettique biensur, sinon des exo de définitive peuvent éventuellement être préconisées, tu ne voudrais pas mieux nous eclairer avec d'autres données, j'ai l'impression de parler dans le vide (sens transversal???, petit maxillaire??...)


doczi

04/04/2013 à 00h22

mais bon une chose est sûre, ma conduite à tenir serait certainement de l'envoyer directement à mon correspondant ortho préféré


Canin

04/04/2013 à 00h37

Je suis pas ortho mais ya certainement une vraie DDM là dedans.

Donc possible de faire gicler 2 PM sup pour faire place.

Après ortho et tout expansion puis collage des 3 selon évolution.

Faire bon diag ortho et le reste suivra.


Ps: je viens de m'apercevoir que c dancha quipostait le cas donc je pense qu'il y a du piège et je pense devoir refaire ma copie.

Le seul aspect un peu chiant ici c'est la 14 et son apparent conflit avec 13. Sinon pour le reste je pense que c du classique en ortho ?

--
Canin


1309531 ours brun n5iukf - Eugenol
seespan

04/04/2013 à 05h27

Si c'est Dancha qui nous donne un cas de dent incluse je suppose que en effet il y a une ou deux peau de banane :-).

Pour la pano en général de ce que l'on peut vois il y a un petit retard dans le développement dentaire mais rien de bien méchant. La séquence elle a l'aire globalement respectée.

Pour le bas tout m'a l'air normal, il semble qu'il y est un petit encombrement incisif mais nothing unusual et sa doit pouvoir se récupérer avec le lee way

Pour le haut je vais dire Joker :

CBCT pour connaitre la position respective de chaque élément en particulier pour vérifier qu'il n'y a pas de résorption des racines des incisives latéral sur tout 22.
Le CBCT va entre autre permettre de :

- voir la morphologie des PM : une dent peut étre positionnable sur l'arcade par traction mais si la racine a une mauvaise morphologie (forme biscornue pouvant créer des proximité radiculaire avec les dents voisine, racine trop fréle ou trop courte ), l'extraire pour la remplacer par un autre élément dentaire peut étre une meilleur option sur le long terme

- vérifier qu'il n'y est pas d'ankylose d'un des germes ou d'une des dents de laits. D'après la pano je dirais non car pas de différence vertical, mais une ankylose de 54 serait une bonne explication pour la déviation de 24 ( la couronne semble partir en palatin et la racine en vestibulaire)

- juger de la faisabiliter d'une mise sur l'arcade, la sur cette partie vue que c'est Dancha qui post il va nous dire qu'elles sont tout récupérable, mais pour le commun des mortel extraire un des germes de 5 et mésialer les 6 peut être une solution. Bon ici vue que c'est surtout 14 qui semble poser problème, l'extraction de 14 suivie de mésialisation de 15 et 16 serait plus compliquer que traction de 14. Mais c'est une solution a garder a l'esprit.

Pour les espaces au niveau des incisives maxillaire il ne faut pas les fermer, si on les fermes on va créer un disto version des racines des incisives et les ramener en plein sur les chemins d'éruption des canines.
A vérifier avec le CBCT bien sur mais j'aurait plutôt tendance a pencher pour une augmentation des espaces pour créer une mésio version des racines éloignant ainsi les apex des canines incluse. Une fois que les couronnes des canines sont sortie de la zone des apex, ou pourra fermer les espaces pour permettre la mise en place sur l'arcade

Pour les dents de lait les seules que je suis a peut prés sure de vouloir extraire sont 53 et 63 pour permettre la sortie des canines ( et une eventuelle disto version de 12 et 22 )et probablement 54 pour le germe de 14.

Je laisse 55 64 et 65. 24 ne semble pas présenter de problème particulier. Les 55 65 vont servir de mainteneur d'espace naturelle. Les germe de 25 et 15 sont encore relativement loin ce qui est en accord avec le développement dentaire général de la patiente pas besoin d’accélérer quoique ce soit. Si on enlever toute les dent de lait maintenir l'espace pourrait être un casse tête majeur vue que les 6 vont se mésialer. J'ai des doutes quand a l'efficacité d'un mainteneur d'espace entre 6 a 2, de plus utiliser un mainteneur d'espace quand on réalise plusieurs traction en même temps semble un peut compliqué.



--
หมอจัดฟัน


1309531 ours brun n5iukf - Eugenol
seespan

04/04/2013 à 06h50

Sinon je sèche j'ai du mal a voir ou se situe la peau de banane sur ce cas.

--
หมอจัดฟัน


Canin

04/04/2013 à 08h29

seespan écrivait:
-----------------
> Sinon je sèche j'ai du mal a voir ou se situe la peau de banane sur ce cas.
>
> --
> หมอจัดฟัน

Je pense qu il attend qu'on extrait des PM comme je L'avais suggéré en première analyse.

Mais pour rattraper la 14 je dirai maintenant qu il faut virer 54 et 53.
--
Canin


Photo pluton1b h9n4ea - Eugenol
pluton

04/04/2013 à 09h55

bon, je me lance...
scan ou cône beam surtout pour vérifier les rapports entre 22 et 23 (voir si rhisalyse de 22)...
amha extraction de 53/54 et 63/64 et traction de 13 et 23 soit en même temps qu'un multibagues, soit avec des minivis

je peux pas en dire plus sans en savoir plus (moulages, photos, céphalo...)


edje ouaïse

04/04/2013 à 15h57

Trop facile et lassé des pièges à 2 balles ! des jeux des 7 erreurs, du cherchez l'intrus...Et j'en passe !


On ne peut rien dire sans tous les autres documents que tu gardes précieusement en ta possession pour finalement nous en mettre plein la poire :-))

Un genre d'autosatisfaction personnelle ? Non ?

Bon, sur ce, j'ai mieux à faire, je file écouter du Monk...







RépondreCiter
1309531 ours brun n5iukf - Eugenol
seespan

04/04/2013 à 16h48

edje ouaïse écrivait:
---------------------

> On ne peut rien dire sans tous les autres documents que tu gardes précieusement
> en ta possession pour finalement nous en mettre plein la poire :-))

On en prendra plein la poire que si la pano était suffisante pour trouver un élément auquel on aurait pas pensé naturellement.

Sur ma derniére devinette les photo de bouche était suffisante pour poser un diagnostique d'ankylose, les autre document n'apportait rien et était inutile.

Si on cache un élément nécessaire le jeux n'a plus aucun sense.

Sinon je penche de plus en plus pour l’extraction de la 14, si sa position est vraiment horizontal j'ai des doute qu'elle puis être ramener sur l'arcade sans rhysialiser fortement la racine.

Une solution alternative peut étre éruption de 14 en place de 13 et éruption de 13 en place de 14. Ca permet de mettre les deux dent en place par un mouvement plus proche du tiping de la couronne.

Ça serai surtout bénéfique pour la 14 ça évite d'avoir a torquer la racine.

Mais dans ce cas je dirais exctraction de 14 mainteneur d'espace en attente de l'eruption de 15 ( éruption guidé de 13 of course ) et mésialisation de 15 et 16 par minivisse

Ca permet d'avoir des dent avec bonne morphologie en place. J'ai des doutes quand a la valeur esthétique de 14 en place de 13, voir la morphologie de la dent au CBCT encore une fois
--
หมอจัดฟัน


1 eugenol dmj5np - Eugenol
Dancha

04/04/2013 à 19h26

Il n'y a aucun élément caché, cette panoramique se suffisait à elle-même pour montrer toute la problématique du cas en trois points :

- 13 incluse.
- 23 incluse.
- 14 "un peu" penchée, sa racine passe au dessus de l'apex de la 53 et vient titiller la couronne de la 13.

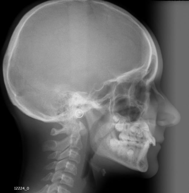
À votre avis, au vu de la téléradio de profil, 13 et 23 sont-elles incluses en vestibulaire ou en palatin ?

Je vous joins également pour faire plaisir à certains des photos intra-buccales bien qu'elles n'apportent absolument rien de plus.

Daniel

12224 t0 cbyayn - Eugenol
12224 1 mz9hod - Eugenol
12224 2 ziwudg - Eugenol
12224 3 sd07en - Eugenol
12224 4 fhhu6y - Eugenol
12224 t01 xtorst - Eugenol

Photo pluton1b h9n4ea - Eugenol
pluton

04/04/2013 à 21h11

Dancha écrivait:
----------------

> À votre avis, au vu de la téléradio de profil, 13 et 23 sont-elles incluses en
> vestibulaire ou en palatin ?

vestibulaire

>
> Je vous joins également pour faire plaisir à certains des photos intra-buccales
> bien qu'elles n'apportent absolument rien de plus.


si, si, si, classe d'angle, ddm, supraclusion, volume des arcades, etc...
çà peut aider pour le plan de ttm....


1 eugenol dmj5np - Eugenol
Dancha

04/04/2013 à 23h06

pluton écrivait:
----------------
>
> si, si, si, classe d'angle, ddm, supraclusion, volume des arcades, etc...
> çà peut aider pour le plan de ttm....

OK, on voit une supraclusie incisives, mais pas de DDM et j'en aurais parlé dès le départ si ça avait pu apporter quelque chose au plan de traitement.
Et on voit aussi la vestibuloversion de la 22 qui est effectivement un signe positif d'inclusion vestibulaire de la canine. Dans ce sens, tu as raison.
Tu as raison également pour la position des canines en vetibulaire.
Je rappelle que lorsque la canine incluse est vestibulaire elle paraît horizontale sur la radio de profil alors qu'elle est plus verticale dans le cas d'une position palatine.

Voici quelques images de cone-beam.
C'est pas dans mes habitudes, mais là j'en ai quand même fait un pour voir les rapports 14-13.

Et maintenant, qu'est-ce qu'on fait ?
Comment est-ce qu'on procède ?
L'objectif, bien entendu, c'est de toute mettre en place !

Daniel

12224 cbct mqedtb - Eugenol

Photo pluton1b h9n4ea - Eugenol
pluton

04/04/2013 à 23h28

bon, et bien on y vois plus clair...;-)

ton cas est intéressant, car la stratégie est ici primordiale si tu veux tout mettre en place...on se croirait dans une partie de jeux d'échecs...

mais çà ne change pas grand chose amha à ce que j'avais dit précédemment...
ici, secteur 1, la 14 est la pièce maîtresse...coincée entre la racine de la 13 et de la 53, ainsi que sous la 54, si on veut la faire pivoter il lui faut de la place...=>extraction de 53/54
de même, 64 est à extraire pour que la 24 puisse évoluer...elle sera ensuite une précieuse alliée pour tracter la 23...
on peut temporairement garder la 63...

donc, extraction de 53/54/64, mise en place d'un multibagues et d'un système de traction (comme ce que j'ai publié) de la 14

ensuite, phase 2, extraction de 63 et traction de 13 et 23
15 et 25, dans l'axe, ne poseront pas de pb

à noter, la traction des canines aura amha des effets positifs sur la supra antérieure...;-)


1309531 ours brun n5iukf - Eugenol
seespan

05/04/2013 à 07h41

Bon Dancha et Pluton qui participe sur le même post sur des dents incluse :-) .


A priori je dirais système d'ancrage par minivisse a la dancha car en particulier pour les canines il va falloir exercer la force de traction dans au moins deux direction différente sucessivement ce qui peut étre compliquer a obtenir avec des minivisse classique

Pour 23 il faut exercer une force en vestibulaire, distal et occlusale. Faire une traction depuis un mulitbague ne permettrait pas d'avoir la composante vestibulaire et d'éloigner ainsi la couronne de 23 de la racine de 22. Une fois que la couronne de 23 n'a plus de risque que rentrer en contacte avec la racine de 22, l'on peut revenir a une traction plus classique " composante palatal, distal et occlusal.

Pour la 14 je dirais pareil vue le rapport avec la 13 je veux commencer par vestibuler la couronne de 13. Une fois la couronne vestibuler nous avons le champs libre pour tracter la 14.
Pour ce que je suis capable d’interpréter la 14 ne semble pas poser de problème particulier pour la mettre dans sa position normal.
Je pense toutefois que mécaniquement il serait plus simple d'amener d'abord 14 en position de 13 (mouvement minimal de l'apex.) et tracter ensuite 13 en position de 14. Mais vue que esthétiquement ça serais moins bon a voir

Dans tout les cas pour les deux secteurs commencer par vestibuler les couronne des canines pour supprimer les rapport avec les racines.



--
หมอจัดฟัน


Photo pluton1b h9n4ea - Eugenol
pluton

05/04/2013 à 09h38

seespan écrivait:
-----------------
> Bon Dancha et Pluton qui participe sur le même post sur des dents incluse :-) .

pourquoi pas???
l'ortho, c'est de la mécanique et qui dit dents incluses dit généralement chirurgie (tapez pas, c'est pour résumer grossièrement...;-)), bref, tout ce que j'aime...;-)

c'est ce qui fait que je suis omnipraticien...je ne serai certainement jamais aussi doué qu'un exclusif, tant en ortho qu'en implanto, Dancha va sûrement nous montrer un "tour de main" intéressant sur ce cas...

tien, j'aurais bien aimé avoir son avis sur le cas de D57 qui a viré une prémo incluse amha pas vraiment difficile à mettre en place pour y planter son clou...je me sentais un peu seul sur ce coup là...il aurait même amha pu faire une extraction/réimplantation de la dent à la place de la 4 défaillante et là du point de vue "économique" çà aurait été encore pire, même si par la suite la dent n'a pas la même espérance de vie...


1309531 ours brun n5iukf - Eugenol
seespan

05/04/2013 à 10h24

C'était pas une critique :-)

Sinon vue l'expérience de Dancha sur la traction de dent incluse j'attend aussi de voir la mécanique utiliser.

Mais je vois pas comment il peut faire sans commencer par vestibuler la couronne des canines.

Sinon pour le cas présenter par D57 la c'est plutôt vous la référence vue que vous faite implanto et orto. Dancha ne fait que de l'orthodontie et D57 ne fait que des implants.

Sinon ou une dent c'est toujours mieux qu'un implant mais c'est le patient qui choisi la solution thérapeutique final. On peut refuser de faire une option mais dans ce cas a quoi sa sert de donner le choix au patient ?

--
หมอจัดฟัน


1 eugenol dmj5np - Eugenol
Dancha

05/04/2013 à 17h27

pluton écrivait:
----------------
>
> tien, j'aurais bien aimé avoir son avis sur le cas de D57 qui a viré une prémo
> incluse amha pas vraiment difficile à mettre en place pour y planter son
> clou...je me sentais un peu seul sur ce coup là...il aurait même amha pu faire
> une extraction/réimplantation de la dent à la place de la 4 défaillante et là du
> point de vue "économique" çà aurait été encore pire, même si par la suite la
> dent n'a pas la même espérance de vie...

Effectivement, je n'aurais en aucun cas hésité à tracter cette seconde prémolaire. Une traction classique sur multibagues a le pouvoir d'effrayer à juste titre les adultes et je comprends leur réticence, mais avec un système "CT8", c'eût été très discret et de toute évidence beaucoup moins onéreux que la solution implantaire (que je respecte malgré tout).
La solution transplantation aurait nécessité un TR au préalable, une avulsion propre avec le minimum de lésion tissulaire, une "mise en nourrice" de 15 jours pour respecter le protocole de multiplication cellulaire et la préparation du site receveur. Quand même plus compliquée et moins sûre sur le long terme que la simple traction qui, je pense, n'aurait pas posé de problème particulier.

Daniel

P.S. pour la suite du cas en cours, dès que je peux..


1 eugenol dmj5np - Eugenol
Dancha

05/04/2013 à 20h41

pluton écrivait:
----------------
> ici, secteur 1, la 14 est la pièce maîtresse...coincée entre la racine de la 13
> et de la 53, ainsi que sous la 54, si on veut la faire pivoter il lui faut de la
> place...=>extraction de 53/54
> de même, 64 est à extraire pour que la 24 puisse évoluer...elle sera ensuite une
> précieuse alliée pour tracter la 23...
> on peut temporairement garder la 63...
>
> donc, extraction de 53/54/64, mise en place d'un multibagues et d'un système de
> traction (comme ce que j'ai publié) de la 14
>
> ensuite, phase 2, extraction de 63 et traction de 13 et 23
> 15 et 25, dans l'axe, ne poseront pas de pb
> ..

Bien vu, c’est bien la 14 qui pose problème !
Il va falloir ensuite distaler son apex pour laisser passer la 13.
Pour le reste, c’est OK, ce plan de traitement est tout à fait cohérent. Cependant il y a plus simple, j'en parle après.

seespan écrivait:
-----------------
>
> .. commencer par
> vestibuler la couronne de 13. Une fois la couronne vestibuler nous avons le
> champs libre pour tracter la 14.
>..
> Je pense toutefois que mécaniquement il serait plus simple d'amener d'abord 14
> en position de 13 (mouvement minimal de l'apex.) et tracter ensuite 13 en
> position de 14.
>..
> Dans tout les cas pour les deux secteurs commencer par vestibuler les couronne
> des canines pour supprimer les rapport avec les racines.

Pas du tout d’accord pour finir en transposition 13/14!
Le problème qu’évoque notre ami est celui des proximités entre canines et incisives, qui imposeraient des manœuvres et des déplacements compliqués pour éviter des télescopages pouvant entraîner des lésions iatrogènes..
C’est bien la difficulté qu’on rencontre lorsqu’on a les dents « bloquées » dans un multibague et qu’elles ne peuvent se mouvoir librement.
D’où l’intérêt de ne pas immobiliser les autres dents quand on tracte une canine incluse, afin qu’elles puissent se déplacer spontanément lorsque la canine veut passer et dit « poussez-vous ».
C’est un des grands avantages du système « CT8 » qui prend appui non pas sur les autres dents mais sur deux microvis.

C’est ce que je prévois pour ce cas-ci, avec tractions simultanées de 14, 13 et 23 (à suivre).

Daniel


exo

05/04/2013 à 20h50

bjr, a premiere vue deux canines incluses , premolaire la 14 en mal position mais l etat de la racine est plus avancée que la 15 , coté gauche la sequence est respecté des eruptions des dents , je pense qu il faut extraire la 54 , 64 aider la 14 a la metre en place , apres extraction de la 55 eruption de des 5 , apres se pencher vers les canines , que je pense qu elles sont en position vestibulaire , pour redresser l axe des canines , je pense aux mini vis .


1309531 ours brun n5iukf - Eugenol
seespan

06/04/2013 à 06h06

1 En fait dans ma mécanique je compter utiliser votre système pour les canines et une traction par multi-bague pour la 14. Je ne voyer pas vraiment comment vestibuler les couronnes des canines avec une mécanique par multi bague de manière simple.

D'après ce que vous dite si les dents ne sont pas solidariser par un multi bague le fait de mobiliser une dent unique va en cas de contact avec une racine voisine entraîner un mouvement de la dite racine sans résorption radiculaire ?

Si c'est le cas la mécanique devient en effet plus simple.

2 Cas théorique : pour une raison ou une autre l'on ne peut utiliser votre système d'ancrage squelettique ou minivisse ( parent refusant la chirurgie, praticien n'ayant pas la formation pour la poser, matériel non disponible, patient a risque d'endocardite infectieuse )

Pose d'une barre transpalatine de 6 a 6 avec un pad en résine s’appuyant sur la partie antérieur du palais et des extensions composite sur les 5 de lait ( pour minimiser la mésio version des 6.
Un fil 0.18 TMA est soudé sur la face vestibulaire de la bague de la 26 et venant a hauteur de 63
Deux fil de 0.18 TMA sont soudés sur la face vestibulaire de la bague de 16 , un venant a auteur de 54 et l'autre a hauteur de 53.

Mécaniquement la seul différence avec un ancrage squelettique serait la force réactionnel sur les 6 mais :

- la composante transversal sera quasi nulle du a la barre trans-palatine (les force transversal sur 16 et 26 s'annulant mutuellement)
- la composante vertical et antério postérieur devrait être proche de zéro du a l'ancrage sur les 5 et la présence du pad en résine.

Pourrait ton utiliser ce système pour mobiliser les trois dent ?

--
หมอจัดฟัน


1309531 ours brun n5iukf - Eugenol
seespan

06/04/2013 à 06h26

Pour la transposition de 13 et 14 je ne suis pas fan non plus :-) .

J'ai prosposé cette option d'après les données fournit par la pano.
D'après ma lecture de la pano j'avais l'impression que la 14 était dans un position très horizontal avec son apex quasiment au niveau de la 12.
Le problème que je voyais dans sa mise en place dans sa position naturelle était que si mettre la couronne ne place n'allait pas poser de problème ça allait être un tout autre histoire pour remettre la racine dans l'axe.
Il allait falloir la torquer fortement ça allait prendre du temps et pouvait conduire a une forte résorption radiculaire.

Dans ce cas une transposition était mécaniquement plus simple car limitant cette effet de torque.

Le CBCT montre par contre que la racine est nettement moins horizontal que ce que je pensais donc cette option n'a plus d’intérêt.

Avec de l’expérience l'on peut avoir une assez bonne idée de la position spatial d'un dent incluse mais pour ça il faut de l'expérience justement :-)

J'ajoute que la téléradiographie de profil m'aurait conduit au même plan de traitement. D'ou l’intérêt du CBCT pour les novice ou les praticiens traitant des dents incluse de manière relativement exceptionnel.

--
หมอจัดฟัน


1 eugenol dmj5np - Eugenol
Dancha

06/04/2013 à 14h36

seespan écrivait:
-----------------
>
> Pourrait ton utiliser ce système pour mobiliser les trois dent ?
>

Oui, pour tracter simultanément 14 et 13, j’ai prévu d'utiliser un système à deux bras, le CT8-2 (voir image jointe).
Je rappelle que « CT8 » signifie « Cortical TMA, terminaison en forme de « 8 » », ce qui veut dire que le fil est en TMA, qu’il est plaqué contre la corticale osseuse par deux microvis qui passent dans les boucles d’un « 8 ». Par opposition au « CTO » qui n’a qu’une boucle en forme de « O » et qui donc ne demande qu’une seule microvis.
CT8-1 signifie qu’il y a un bras, CT8-2 qu’il y en a deux.
Je programme donc pour l’intervention un CT8-1 à gauche et un CT8-2 à droite.

C’est ce que j’avais prévu, mais comme on est jamais à l’abri d’imprévu, la suite sera un peu différente, on en parlera la semaine prochaine.

Bon WE.

Daniel

Ct8 1 dfxwhh - Eugenol
Ct8 2 syzgeg - Eugenol

1 eugenol dmj5np - Eugenol
Dancha

09/04/2013 à 17h43

Et bien voilà, je jour de l’intervention est arrivé et lorsqu’on cherche les CT8 stériles, il n’y a que des CT8-1, pas de CT8-2 !
Erreur stupide de communication, l’assistante préposée avait bien noté qu’il fallait des CT8, mais n’avait pas réalisé que c’était un CT8-2 dont il s’agissait pour le coté droit.
La traction des canines se fera bien de cette façon, mais pour la ligature attachée à la 14, il va falloir trouver une autre solution..
Que proposeriez-vous pour faire simple tout en étant efficace, en sachant que ce sera placé dans la foulée du dégagement, afin que la traction soit immédiate ?

Daniel


1309531 ours brun n5iukf - Eugenol
seespan

09/04/2013 à 18h04

Faire une boucle sur la bras du C8T 1 au niveau de la 14 ou l'on pourra attacher la ligature de la 14 ?

--
หมอจัดฟัน


12...