Cookie Consent byPrivacyPolicies.comUn cas - Eugenol
1 eugenol dmj5np - Eugenol
Dancha

24/04/2013 à 16h08

seespan écrivait:
-----------------
> Donc pendant la correction de l'axe de la 14 la 13 sera immobile..

..raison pour laquelle cette solution ne me convient pas.

Daniel


1309531 ours brun n5iukf - Eugenol
seespan

24/04/2013 à 17h11

Sorry je pense qu'il y a une faute et je dois bosser je réessais demains


1309531 ours brun n5iukf - Eugenol
seespan

25/04/2013 à 04h53

Ok donc il y avait bien une erreurs dans ma proposition de hiers.

Je voulais:

Réaliser deux danchemon sur la face vestibulaire de la 14 pour qu'un fil passant au travers puisse réaliser un couple. Jusque la ça ne change pas.

Ensuite faire passer un fil d'egiloy dans le danchemon sortant en distal (le fil se dirigera donc dans une direction apical).

Accrocher l’extrémité distal du fil d'egiloy sur la fil en TMA. La on aura :

Création d'un mouvement anti horaire sur la 14 qui nous remettra la 14 dans l'axe.
Création d'une composante vertical a direction apical sur le fil de TMA qui va supprimer la mise sous tension de la 13. Donc dancha ne vas pas vouloir de cette solution.

Donc pour modifier je fais sortir le fil d'egiloy en mesial .du danchemon avec une direction de sortie occlusal on le raccroche ensuite a la bouche du fil de TMA on aura donc

- une force en direction occlusal s'exerçant sur la boucle du fil en TMA qui maintient la force éruptive sur la canine
- une force intrusive sur la 14 mais qui sera compenser par la mise sous tension du TMA ( les minivisse s'opposant a l'expression de cette composante).

- un moment réactionnel anti horaire mettant la 14 dans l'axe

--
หมอจัดฟัน

Dancha qcsjqk - Eugenol

1 eugenol dmj5np - Eugenol
Dancha

26/04/2013 à 16h41

seespan écrivait:
-----------------
>
> - une force intrusive sur la 14 ...

On est d'accord.

> .. mais qui sera compensée par la mise sous tension
> du TMA ( les minivis s'opposant a l'expression de cette composante).

Comment ça ?

Daniel


1309531 ours brun n5iukf - Eugenol
seespan

26/04/2013 à 17h10

Dancha écrivait:
----------------
> seespan écrivait:
> -----------------
> >
> > - une force intrusive sur la 14 ...
>
> On est d'accord.
>
> > .. mais qui sera compensée par la mise sous tension
> > du TMA ( les minivis s'opposant a l'expression de cette composante).
>
> Comment ça ?
>
> Daniel

Erreure d'expression de ma part, j'essayer de dire que la force intrusive sur la 14 serait sans conséquence sur cette dent car le fil de TMA sur lequelle le système serait fixé exerce une force extrusive.

Il s'agissait bien sur d'une erreurs de ma part. Il n'y a strictement rien qui s'oppose a la force intrusive sur la 14 au niveau du système minivisse fil TMA dans le système d'écrit précédemment.

Si la 14 subissait une intrusion le fil d'égiloy se détendrait au fur et a mesure mais aucun force extrusive ne serait jamais exercé sur la 14.


Donc pour éviter l'intrusion de la 14 je rajoute une ligature en stainless steel relier a la 14 ( danchemon ou clit) et a la boucle du ressort en eligoy au niveau de la boucle le reliant au fil en TMA. Vue que la ligature est non extensible dés que la 14 commencerait une intrusion une force extrusive compensatoire s'exercerait immédiatement due a la mise sous tension du fil TMA.


--
หมอจัดฟัน


1 eugenol dmj5np - Eugenol
Dancha

26/04/2013 à 19h45

Alors, si tu pars avec un système de mécanique comme celui-là, il y a encore plus simple, en mettrant la 14 en intermédiaire :
- le bras qui sort de la 14 en distal et qui passe en occlusal pour exercer une force anti-horaire, tu peux l'accrocher directement sur la ligature reliée à la canine après avoir décroché le CT8. C'est lui qui le remplacera pour exercer la traction canine.
- et tu pourra utiliser le CT8 libéré pour empêcher l'ingression de la 14.

Seuls soucis avec ta proposition :
- le difficile contrôle de la force de traction et celui de sa direction.
- le contrôle de la situation verticale de la 14, elle est en occlusion, il ne faudrait pas qu'elle s'égresse plus..

Daniel

P.S. Pour ceux qui veulent se familiariser avec la biomécanique ou progresser dans ce domaine, je signale l'excellent ouvrage de Jacques Faure intitulé "Biomécanique orthodontique", dans la collection "Les Fondamentaux" aux éditions SID.


1309531 ours brun n5iukf - Eugenol
seespan

27/04/2013 à 08h59

Ok donc cette fois je change la direction du boitier.

Je met la ligature pour éviter la migratrion en mésial de la 14

--
หมอจัดฟัน

Dancha2 zmrnsn - Eugenol

1 eugenol dmj5np - Eugenol
Dancha

27/04/2013 à 14h43

Oui mais tu oublies encore le sens transversal !
La couronne de 13 n'étant pas forcément dans le même plan frontal, on risque d'avoir en plus une composante de force qui dévie la 14 en vestibulo-lingual ou en linguo-vestibulaire.

Tout ça devient un peu trop compliqué, je préfèrerais autre chose qui ne touche pas au CT8 et ne risque pas de perturber la traction de ma canine.

Tu ne vois pas un système plus simple, que tout à chacun pourrait également utiliser, et pas seulement toi avec ta grande compétence ?

Personne n'a d'idée ?

Daniel


1309531 ours brun n5iukf - Eugenol
seespan

27/04/2013 à 14h58

Dancha écrivait:
----------------
> Oui mais tu oublies encore le sens transversal !

En fait non je n'ais pas oublier mais je voyais mal comment décrire le pliage. J'avais penser a faire un distal Toe out pour compenser mais je savais pas si vous utiliser le terme anglais.

> pas au CT8 et ne risque pas de perturber la traction de ma canine.
>
> Tu ne vois pas un système plus simple, que tout à chacun pourrait également
> utiliser, et pas seulement toi avec ta grande compétence ?

Ma grande compétence ?

Pour corriger l'axe de cette 14 la création d'un moment me parait idéal.

Bracket sur 55 et sur 14 fil en niti reliant les deux bracket. On va avoir une sacrée force réactionnel sur 55 mais pas d'importance car elle va tomber de toute façons.



--
หมอจัดฟัน


1309531 ours brun n5iukf - Eugenol
seespan

27/04/2013 à 15h01

Et utiliser le CT8 comme ancrage indirect au niveau de la 16 on a droit ca ?
Des fois que la 55 soit perdue avant que l'on est pue redresser l'axe de 14. on prend le relais avec 16, avec un ancrage indirect ça devrais etre faisable.

--
หมอจัดฟัน


belette

27/04/2013 à 15h25


si tu veux un truc simple, en voilà un .
Mais il n'utilise pas le bouton collé .

^ ... ^
Ô"""Ô
= o =
°°°°°

Et pourquoi pas simplement acoy9k - Eugenol

1309531 ours brun n5iukf - Eugenol
seespan

27/04/2013 à 15h40

belette écrivait:
-----------------
>
> si tu veux un truc simple, en voilà un .
> Mais il n'utilise pas le bouton collé .
>
> ^ ... ^
> Ô"""Ô
> = o =
> °°°°°

Marche pas vestibulo version de 16 et egression de 14
--
หมอจัดฟัน


belette

27/04/2013 à 16h09

La 16 elle est bloquée par la minivis au niveau de la racine mésiale, quant à la 14 elle peut pas égresser, le bouton sur la face occlusale l'en empêchera ! :-))
C'était juste un coucou pour faire avancer le schmilblick ! mode pas sérieux, c'est WE et il pleut depuis au moins 6 mois...
^ ... ^
Ô"""Ô
= o =
°°°°°


1309531 ours brun n5iukf - Eugenol
seespan

27/04/2013 à 16h22

Ha ok sorry j'ai crue que c'était sérieux.
Bon ben je réesserais demains si personne a trouver. La c'est gym est dodo.

Juste Dancha que l'on soit bien d'accord on ne peut pas utiliser le C8T et l'on a pas d'empreinte pour réaliser d'étape labo ?

--
หมอจัดฟัน


belette

27/04/2013 à 16h31

"Juste Dancha que l'on soit bien d'accord on ne peut pas utiliser le C8T et l'on a pas d'empreinte pour réaliser d'étape labo ?"

Bravo !pas une seule faute d'orthographe dans la phrase !!!

PS: Mon schéma était sérieux , j'ai mis une heure à le faire ...c'est mon commentaire qui ne l'était pas !

Bonne nuit, ici c'est l'heure de la sieste.

^ ... ^
Ô"""Ô
= o =
°°°°°


1 eugenol dmj5np - Eugenol
Dancha

27/04/2013 à 19h52


seespan écrivait:
-----------------
> Ha ok sorry, j'ai cru que c'était sérieux.

Des fois que ça pourrait l'être.. au moins en partie..

> Juste Dancha que l'on soit bien d'accord on ne peut pas utiliser le C8T et l'on
> a pas d'empreinte pour réaliser d'étape labo ?

On est d'accord, on n'y touche pas, même comme ancrage indirect.

seespan écrivait:
-----------------
>
>> Marche pas vestibulo version de 16 et egression de 14
>

Sûr ?
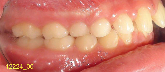
C'est là qu'il faut savoir regarder l'occlusion : je vous mets une photo prise avant traitement.
Quel commentaire peut-on faire et quelle application pratique peut-on en tirer ?

Daniel

12224 00 tasxum - Eugenol

1 eugenol dmj5np - Eugenol
Dancha

29/04/2013 à 21h14

belette écrivait:
-----------------
>
> si tu veux un truc simple, en voilà un .
> Mais il n'utilise pas le bouton collé .
>

Cette solution est bien tentante..

seespan écrivait:
-----------------
> Marche pas vestibulo version de 16 et egression de 14.

Bien sûr, tel qu'il est, ce procédé a quelques défaut, mais il paraît tellement plus simple !
Comment devrait-on le modifier pour utiliser quand même le truc de belette ?

Daniel

Et pourquoi pas simplement euklzl - Eugenol

Photo pluton1b h9n4ea - Eugenol
pluton

30/04/2013 à 01h14

Dancha écrivait:

> Comment devrait-on le modifier pour utiliser quand même le truc de belette ?

fil en titane plié à 90° collé directement sur la face vestibulaire de la prémo (comme sur le dessin) avec du composite et un simple bracket collé sur la face vestibulaire de la 6...le fil est activé simplement en l'engageant dans le bracket et verrouillé avec une ligature élastomérique par ex...


1309531 ours brun n5iukf - Eugenol
seespan

30/04/2013 à 04h15

L'avantage de la methode d'écrite par pluton c'est que l'on va avoir une distoversion de la couronne de la 16 ( si on ne bloque pas le fil en distale de 16 et mesial de 14) ça sera utile car ça va renforcer l'ancrage pour la rétraction des incives sup et leur intrusion ( si utilisation d'un cantilevers s'appuyant sur les 6 et les incisives sup). Plus le patient est déjà légérement class II ( dixite la photo d'occlusion avec le miroire) et ca ne va pas s'arranger avec la perte d'espace du leeway, la distoversion de la couronne de la 16 permettrait de limiter l'augmentation de la class II
Bon ensuite j'ai du mal a voir pourquoi on voudrait utiliser ce genre de mécanique quand l'on a en ancrage squelettique de chaque coté mais les voie de Dancha sont impénétrable;

Par contre défaut du sytème vue que le moment créer sera plus important au niveau de la PM que de la molaire on va aussi créer une extrusion de la 14 et une intrusion de la 16 ce qui risque de créer un canting du plan occlusal et potentiellement aggraver la suppraclusie.

--
หมอจัดฟัน


1309531 ours brun n5iukf - Eugenol
seespan

30/04/2013 à 09h04

Normalement ça devrait donner un truc de se genre.

La configuration du fil va exercer une tension plus importante sur la prémolaire, le moment sera plus important sur la prémolaire que sur la molaire.

La lois d'équilibre mécanique impose donc un moment s’exerçant sur l'ensemble du System ( système composé de 16 et 14) dans le même sense de rotation que le moment le plus faible.

Donc le système va tourner dans le même sense que la 16. Donc intrusion de 16 et extrusion de 14

--
หมอจัดฟัน

Dancha3 iffzoj - Eugenol

1 eugenol dmj5np - Eugenol
Dancha

30/04/2013 à 18h12

seespan écrivait:
-----------------
> L'avantage de la méthode d'écrite par pluton c'est que l'on va avoir une
> distoversion de la couronne de la 16 ( si on ne bloque pas le fil en distale de
> 16 et mesial de 14) ....

Non, tu te trompes et ton schéma est faux..

> Bon ensuite j'ai du mal a voir pourquoi on voudrait utiliser ce genre de
> mécanique quand l'on a en ancrage squelettique de chaque coté mais les voie de
> Dancha sont impénétrable;
>

C'est pourtant simple à comprendre, je ne veux ni interrompre ni risquer de modifier la traction des canines.

Daniel


belette

30/04/2013 à 18h27

Si Dancha a collé un bouton sur la 14, c'est pas juste pour faire joli , alors je propose une chainette très souple entre la 13 et la 14.
^ ... ^
Ô"""Ô
= o =
°°°°°

Pour utiliser le bouton coll  on1r2s - Eugenol

1309531 ours brun n5iukf - Eugenol
seespan

30/04/2013 à 18h30

La je pense que mon shéma est juste le seul truc c'est qu'avec ce type de mécanique si vous ne bloquer pas le fils vous aller obtenir un mouvement des couronne avant d'arriver a torquer les racines.


Ensuite je ne vois pas comment vous voulez arriver a corriger l'axe de cette 14 sans avoir un impacte sur le plan d'occlusion ça me semble être une impossibilité mécanique. C'est pour ça que tout mais solution font a appelle soit :

- utilisation de l'ancrage squelettique pour absorber la force réactionnel
- augmenter le nombre d'élément pour minimiser l'impacte

La seul solution que je vois serai d'utiliser une mécanique type segmentaire ou l'on ramènerait la racine de 14 dans l'axe en mésialant la couronne de la 12. Mais même la vous aller probablement créer une extrusion de la 12


--
หมอจัดฟัน


1 eugenol dmj5np - Eugenol
Dancha

30/04/2013 à 19h07

seespan écrivait:
-----------------
> La je pense que mon shéma est juste

Non, parce que si l'on reprend exactement ce que propose pluton à partir du "truc" de belette (un TMA plié à 90°, enfilé dans un bracket ou un tube coll" sur la 16), on obtient le contraire.

Daniel

12224 6 wc6n9u - Eugenol

1309531 ours brun n5iukf - Eugenol
seespan

30/04/2013 à 19h35

En effet :-) mais dans ce cas la

1 vous avez une intrusion de la 16 et une extrusion de la 14, ce qui conduira a la création d'un canting occlusal et une aggravation de la suppraclusion ( quand vous aurez corriger l'extrusion de 14).

2 une mesioversion de 16 qui va angmenter la class II dentaire.

Les deux moment vont dans la même direction donc il y a un moment dans le sens opposé sur le système total . Cette effet peut étre masqué si le pliage est fait sur deux dents avec bague sur l'ensemble de l'arcade ( l'exemple classique étant deux pm ou deux incisives ).

Mais avec deux éléments non liée il n'y aura rien pour compenser :-).

Ici vous faite de la pure mécanique ségmentaire.
--
หมอจัดฟัน