Tous les forums
Question de D1 : Un vrai avenir pour la chirurgie dentaire?
16/04/2013 à 11h48
Petit point étapes 4 mois post création. Plutôt positif même si les rabat-joies ne manqueront pas de dire que ça ne fait que 4 mois et qu'il faudra bien un an pour faire faillite. La lecture d'eugenol est vraiment déprimante.
Apres six ans de collab dans deux cabinets différents, mon associé et moi avons décidé de faire une création, dans un gros village de 5000hab ou il y a un cab de deux dentistes, un dentiste seul qui fait surtout de l'odf et un dentiste seul en exercice secondaire mais totalement hors circuit. Ces deux derniers dentistes sont à la retraite dans 5 ans et leur cabinet seront invendables. Bassin de population environ 25 000hab pour une dizaine de dentistes, 5 de 60ans.
Nous avons investis dans du neuf, locaux, travaux 390k€ matériel, mobilier 100k€. Très bel emplacement, grand parking, zone de circulation incontournable. Toutes normes respectées, espace évolutif (aménagement initial d'une seule salle de soins, deuxième salle ou il n'y a que le fauteuil a poser. Salle de chir, éventuelle troisième salle de soins plus un bureau aménageable dans locaux bruts (arrivée air eau évacuation prêts mais sols murs plafonds brut).
Nous travaillons donc sur un seul fauteuil avec une amplitude 50h/semaine. Pas d'assistante, pas de femme de ménage: à la charge du praticien qui n'est pas au fauteuil à ce moment la.
Déjà libéraux depuis six ans, nous payons donc déjà urssaf et carcdsf de façon assez conséquente.
Nous avons ouvert de 10 décembre, et je voudrai partager mon expérience parce qu'a vous lire les jeunes qui pensaient s'installer vont se tirer une balle.
Bref, l'année du projet est une année de stress. Je m'attendais a en chier, ce fut le cas, comme je m'attendais à en chier en P1. Beaucoup de patate, pas de vacances, réduction drastique de la voilure. Un an plus tard j'ai un très beau cabinet, mission accomplie. Reste à transformer l'essai.
OUverture mi-décembre, je viens de faire le dossier numéro 615. Le planning a été plein 50h/semaine au bout de 3 semaines d'ouverture. Bon retour sur devis de prothèse (mais non, quand je vois un patient pour la première fois je lui colle pas un devis global, je répond à mes patients, à leur demande en fonction de ce qui peut être fait techniquement et pour eux financièrement, je fais de mon mieux, dans le cadre de ce que eux et la société sont capables de financer. Alors en effet je fait très peu d'inlay, oui je fais de l'amovible, je fais ma prothèse sur implant (unitaire ou bridge branemark 14dents (rarissime)). Et non, je ne travail pas comme dans les livres.
Je suis désolé de n'être face à tous les brillants intervenants d'eugenol qu'un modeste dentiste même si je m'applique dans mon travail.
Aujourd'hui j'ai fais un essayage de stellite, je pose deux faux moignon, deux ccm, et un bridge pro (sur 4 patients différents). Je vais largement couvrir mes charges aujourd'hui, comme hier d'ailleurs et avec un seul fauteuil dans un cabinet ou on va en mettre 3.
Alors je sais que je ne suis pas sorti de l'auberge et que diriger une entreprise est un travail quotidien, que la gestion doit être rigoureuse. Qu'il y aura des difficulté, comme dans toute entreprise d'ailleurs.
Mais s'il vous plait arrêtez de décourager tout le monde. Avec un projet construit, réfléchis, il est et il sera possible de bien gagner sa vie! En effet il n'est pas possible de soigner sans tenir compte de la réalité financière et d'une entreprise, et de sa patientelle.
Y a du travail oui ou merde? Arrêtez de jacasser, baissez vous et ramassez le!
ps: le mardi matin je suis "assistante", c'est pour ça que j'ai le temps de poster des tartines sur eugenol.
16/04/2013 à 11h59
dentino écrivait:
-----------------
> Rien que cette énumération constitue un luxe incroyable pour nous dentistes,
> celui de décider de notre carrière.
Tout à fait mon avis. Il y a tant de formes d'exercice que c'est un vrai luxe.
Et encore, on peut allonger la liste !
Tout est une question de choix, il n'est pas évident, et comporte une part de risques. Mais on peut changer de choix au cours de la carrière, soit parce qu'on s'est trompé, soit plus simplement parce qu'on a envie de voir autre chose.
Constater qu'on s'est trompé dans son choix n'est donc pas une catastrophe : on change et on démarre autre chose.
C'est pourquoi je n'arrive pas à supporter les plaintes permanentes. On a cette liberté que toutes les professions n'ont pas, et on refuse de s'en servir ; on est donc responsable.
16/04/2013 à 14h28
ameli écrivait:
---------------
> C'est pourquoi je n'arrive pas à supporter les plaintes permanentes. On a cette
> liberté que toutes les professions n'ont pas, et on refuse de s'en servir ; on
> est donc responsable.
C'est un raisonnement particulièrement égoïste je trouve.
Supposons que demain tout le monde fasse comme toi, se dise qu'après tout y'en a marre et laisse tomber l'exercice libéral voire même la pratique clinique tout court. On dit quoi aux patients ?
"Oh vos problèmes de dents c'est plus mon souci, c'était trop chiant pour moi de m'occuper de tout ça alors je me suis trouvé un petit poste bien planqué de gratte papier, allez donc vous faire soigner en Hongrie"
Je suis surement un peu nigaud mais j'ai la bêtise de croire que quand on fait des études médicales c'est pour soigner les gens ensuite, pas pour penser qu'à sa tronche et se trouver un trou bien à l'abris. partant de là il ne reste pas 50 possibilités : si on veut éviter les galères de l'exercice libéral il ne reste que le salariat il me semble, autrement dit on déserte totalement les villages et les campagnes. Encore une fois, ce sont les patients qui payent les pots cassés ! Et vu ce qui se cache derrière les grands centres soit disant associatifs, bah ça fait pas rêver.
Bref, que tu te foutes allègrement des patients admettons, ça te concerne et tout le monde n'a pas les mêmes valeurs (ni la même valeur tout court, d'ailleurs). Mais venir ici fanfaronner que c'est la voix à choisir et nous rire au nez parce qu'on a pas eu le "courage " (note la présence des guillemets) de suivre ton noble exemple, ça c'est un peu fort.
16/04/2013 à 15h14
ameli écrivait:
---------------
>blablabla
Faudra qu'on m'explique ce concept de "la liberté de changer du jour au lendemain" quand on doit 300 000 euros à la banque et que les cabinets ne se vendent plus ;)))
16/04/2013 à 15h26
king_zoulou écrivait:
---------------------
> Faudra qu'on m'explique ce concept de "la liberté de changer du jour au
> lendemain" quand on doit 300 000 euros à la banque et que les cabinets ne se
> vendent plus ;)))
Si ils n'ont pas de pain, qu'ils mangent de la brioche !
16/04/2013 à 15h30
Akrobat écrivait:
-----------------
> Et non,
> je ne travail pas comme dans les livres.
[...]
> Aujourd'hui j'ai fais un essayage de stellite, je pose deux faux moignon, deux
> ccm, et un bridge pro (sur 4 patients différents).
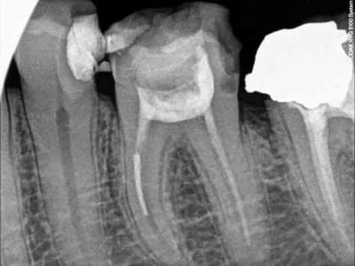
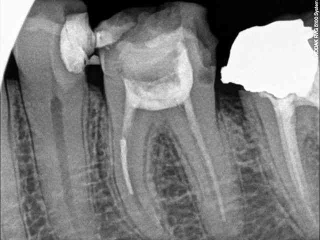
C'est bien ce qu'on disait, bridge, CCM, IC, la dentisterie des années 60.
Mais de quoi se plaignent-ils puisqu'on s'en sort bien ?
16/04/2013 à 15h32
De même que se remettre au fauteuil apres x années le cul sur une chaise aux 35 heures. Mon pauvre ameli il te reste comme reconvention que le guichet de la poste (encore qu'avec la privatisation de la poste maintenant faut bosser quant on a un emploi a là poste)
16/04/2013 à 15h32
Akrobat écrivait:
-----------------
> Petit point étapes 4 mois post création. Plutôt positif même si les rabat-joies
> ne manqueront pas de dire que ça ne fait que 4 mois et qu'il faudra bien un an
> pour faire faillite. La lecture d'eugenol est vraiment déprimante.
>
> Apres six ans de collab dans deux cabinets différents, mon associé et moi avons
> décidé de faire une création, dans un gros village de 5000hab ou il y a un cab
> de deux dentistes, un dentiste seul qui fait surtout de l'odf et un dentiste
> seul en exercice secondaire mais totalement hors circuit. Ces deux derniers
> dentistes sont à la retraite dans 5 ans et leur cabinet seront invendables.
> Bassin de population environ 25 000hab pour une dizaine de dentistes, 5 de
> 60ans.
>
> Nous avons investis dans du neuf, locaux, travaux 390k€ matériel, mobilier
> 100k€. Très bel emplacement, grand parking, zone de circulation incontournable.
> Toutes normes respectées, espace évolutif (aménagement initial d'une seule salle
> de soins, deuxième salle ou il n'y a que le fauteuil a poser. Salle de chir,
> éventuelle troisième salle de soins plus un bureau aménageable dans locaux bruts
> (arrivée air eau évacuation prêts mais sols murs plafonds brut).
> Nous travaillons donc sur un seul fauteuil avec une amplitude 50h/semaine. Pas
> d'assistante, pas de femme de ménage: à la charge du praticien qui n'est pas au
> fauteuil à ce moment la.
>
> Déjà libéraux depuis six ans, nous payons donc déjà urssaf et carcdsf de façon
> assez conséquente.
>
> Nous avons ouvert de 10 décembre, et je voudrai partager mon expérience parce
> qu'a vous lire les jeunes qui pensaient s'installer vont se tirer une balle.
>
> Bref, l'année du projet est une année de stress. Je m'attendais a en chier, ce
> fut le cas, comme je m'attendais à en chier en P1. Beaucoup de patate, pas de
> vacances, réduction drastique de la voilure. Un an plus tard j'ai un très beau
> cabinet, mission accomplie. Reste à transformer l'essai.
>
> OUverture mi-décembre, je viens de faire le dossier numéro 615. Le planning a
> été plein 50h/semaine au bout de 3 semaines d'ouverture. Bon retour sur devis de
> prothèse (mais non, quand je vois un patient pour la première fois je lui colle
> pas un devis global, je répond à mes patients, à leur demande en fonction de ce
> qui peut être fait techniquement et pour eux financièrement, je fais de mon
> mieux, dans le cadre de ce que eux et la société sont capables de financer.
> Alors en effet je fait très peu d'inlay, oui je fais de l'amovible, je fais ma
> prothèse sur implant (unitaire ou bridge branemark 14dents (rarissime)). Et non,
> je ne travail pas comme dans les livres.
>
> Je suis désolé de n'être face à tous les brillants intervenants d'eugenol qu'un
> modeste dentiste même si je m'applique dans mon travail.
> Aujourd'hui j'ai fais un essayage de stellite, je pose deux faux moignon, deux
> ccm, et un bridge pro (sur 4 patients différents). Je vais largement couvrir mes
> charges aujourd'hui, comme hier d'ailleurs et avec un seul fauteuil dans un
> cabinet ou on va en mettre 3.
>
> Alors je sais que je ne suis pas sorti de l'auberge et que diriger une
> entreprise est un travail quotidien, que la gestion doit être rigoureuse. Qu'il
> y aura des difficulté, comme dans toute entreprise d'ailleurs.
>
> Mais s'il vous plait arrêtez de décourager tout le monde. Avec un projet
> construit, réfléchis, il est et il sera possible de bien gagner sa vie! En effet
> il n'est pas possible de soigner sans tenir compte de la réalité financière et
> d'une entreprise, et de sa patientelle.
>
> Y a du travail oui ou merde? Arrêtez de jacasser, baissez vous et ramassez le!
>
>
> ps: le mardi matin je suis "assistante", c'est pour ça que j'ai le temps de
> poster des tartines sur eugenol.
Ah mais on n'a jamais dit que on ne pouvait pas s'en sortir. On a dit que ça devenait très compliqué dès qu'on voulait appliquer ce que l'on apprends à la fac!
Evidemment si travail sans assistante (bien que je ne vois pas de gain financier à travailler sans assistante) et en ne travaillant pas avec une qualité au top et les dernières techniques, si on ne pose pas la digue etc etc... et bien c'est jouable, même très jouable, pour le moment encore.
Reste à savoir si ça le sera toujours dans 20 ans, et je pense que ça ne l'est déjà plus pour un cabinet au top qui s'installe.
16/04/2013 à 15h40
Marc Apap écrivait:
-------------------
> Tu n'as même pas 10 ans d'expérience, tu es installé depuis 4 ans, tu as fait
> des investissements énormes (peut être justifiés, mais énormes) et tu te plains
> de gagner deux fois moins que des praticiens installés depuis 40 ans au même
> endroit.
> Ce qui t'arrive est tout à fait normal. Je pense que ce qu'il manque, ce sont
> aussi des formations sérieuses à la gestion, qui apprennent qu'un cabinet
> dentaire, ce n'est pas une start up qui lève des millions avec une croissance à
> deux chiffres en quelques années.
> Si tu es sérieux et intelligent, tu feras toi aussi ton trou, mais cela prend du
> temps.
C'est vrai ça, et qui sait, peut être qu'à ta retraite tu pourras t'acheter un trois pièces pour y loger ta famille si ils sont encore avec toi !
16/04/2013 à 17h13
doagui écrivait:
----------------
> C'est un raisonnement particulièrement égoïste je trouve.
>
> Supposons que demain tout le monde fasse comme toi, se dise qu'après tout y'en a
> marre et laisse tomber l'exercice libéral voire même la pratique clinique tout
> court. On dit quoi aux patients ?
C'est marrant, je suis d'un avis exactement opposé !
Tu pars du principe que tu n'es pas remplaçable, et je pense au contraire que je le suis.
Bien entendu, c'est toujours un crêve-coeur d'abandonner une fonction pour entrer dans une autre, et il y a un facteur humain qui n'est pas quantifiable. On aime bien ses patients, et les patients nous aiment bien. On les confie à quelqu'un d'autre en s'arrangeant pour que la transition se passe au mieux.
Depuis que j'ai "arrêté", j'ai croisé de nombreux ex-patients. Ils me font des reproches, mais ce sont toujours des reproches bienveillants, et ils savent que mes nouvelles fonctions, si elles sont plus administratives, les concernent directement. Donc, ils ne m'en veulent pas.
De plus, je ne trouve pas très sain d'entretenir une relation affective trop forte avec les patients.
> Je suis surement un peu nigaud mais j'ai la bêtise de croire que quand on fait
> des études médicales c'est pour soigner les gens ensuite,
Sans doute. C'est effectivement pour moi aussi une finalité.
Seulement parfois, tu te rends compte que tu peux être utile pour les patients ailleurs qu'au fauteuil, auquel cas la finalité se transforme en passage ; que certaines compétences dont tu disposes peuvent être mises à disposition pour un ensemble plus grand de praticiens ou de patients.
On est loin de se "foutre" du patient lorsqu'on pilote une démarche-qualité à une vingtaine de praticiens, ou lorsqu'on contrôle une qualité de soins, ou lorsqu'on améliore un système d'astreinte, ou lorsqu'on crée un service odonto hospitalier... Pour moi, on le protège autant qu'on protège la profession contre le menfoutisme. Le travail, dans ce cas, n'est plus individuel, il devient global.
Les conseillers ordinaux ne soignent pas lorsqu'ils sont en réunion ; et pourtant, ils travaillent autant pour les patients que pour les confrères.
Les formateurs ne soignent pas ou rarement, mais ils améliorent les pratiques, et les patients en profitent.
Le salariat est une voie qui va en s'amplifiant, non par peur de l'installation mais de par la féminisation et le confort de vie. On n'y peut rien, c'est un mouvement de fond.
Il y a des conséquences sur l'implantation et la démographie, évidemment. Il faudra les régler, évidemment. Mais je ne suis pas devin.
Seulement, on ne peut pas empêcher un étudiant d'aspirer à devenir salarié, comme on ne peut l'obliger à devenir libéral-conventionné.
> Bref, que tu te foutes allègrement des patients
admettons,
Que tu l'admettes ou non, c'est ton propos. Je ne l'admets pas et je le juge insultant pour moi.
nous rire
> au nez parce qu'on a pas eu le "courage " (note la présence des guillemets) de
> suivre ton noble exemple, ça c'est un peu fort.
Je l'ai précisé plus haut : je ne suis pas un exemple, mais un cas particulier comme tu es un cas particulier. Seulement pleurnicher parce qu'on est malheureux n'a jamais fait avancer personne, surtout quand on peut changer de voie (avec un e). Quand on est malheureux avec un conjoint, on divorce, à moins d'être masochiste.
S'il y a des malheureux qui décident d'être malheureux à vie, c'est leur problème, pas le mien. Qu'ils ne viennent pas chialer ici, c'est tout.
16/04/2013 à 17h33
> S'il y a des malheureux qui décident d'être malheureux à
> vie, c'est leur problème, pas le mien. Qu'ils ne viennent
> pas chialer ici, c'est tout.
Je traduis: "casses toi pov' con".
16/04/2013 à 17h38
king_zoulou écrivait:
---------------------
> Faudra qu'on m'explique ce concept de "la liberté de changer du jour au
> lendemain" quand on doit 300 000 euros à la banque et que les cabinets ne se
> vendent plus ;)))
Le concept ne s'applique pas lorsque les neurones et synapses ne sont pas fonctionnels.
Parce qu'emprunter 300 000€ quand on n'est pas sur de soi et de son avenir à moyen terme, faut être un peu con pour faire ce choix.
Si t'es con, t'es puni. C'est logique. Fallait pas emprunter, pas prendre de risques, aller ailleurs ou devenir salarié.
C'est pas une loterie, faut réfléchir avant de faire.
ça te parait anormal ?
Un confrère qui s'installe dans une zone surdotée en dentistes, qui emprunte une fortune, et qui vient gémir sur le nonol parce qu'il n'a pas de quoi mettre du gasoil dans sa panda et que l'URSSAF lui pique tout, je pense qu'il a des neurones qui coincent.
Dans ce système, il y a une sélection naturelle anti-cons. C'est pas à toi que je vais l'apprendre.
La liberté est un triptyque qui a des nécessités : choix-délibération-morale.
Si tu ne réfléchis pas avant, la liberté de choix est inapplicable.
16/04/2013 à 18h01
saitosama écrivait:
-------------------
> Je traduis: "casses toi pov' con".
Oui.
Tu ne peux aider quelqu'un s'il ne veut rien faire lui-même. Il sait faire, et ne fait pas. Je ne vais porter le deuil pour lui ou lui tendre une béquille. Qu'il fasse, lui.
J'ai vu des mecs qui ont foutu de magnifiques cabinets en l'air à cause de l'alcoolisme. Tu peux aider comment ? en rien !
Si le mec ne veut pas, n'est pas motivé, et se complait dans son malheur, tu n'y changeras rien, avec la meilleure volonté du monde. C'est du temps perdu.
La première des libertés, c'est de décider soi-même, et donc de se prendre en mains.
16/04/2013 à 18h55
ameli écrivait:
---------------
> saitosama écrivait:
> -------------------
> > Je traduis: "casses toi pov' con".
>
> Oui.
> Tu ne peux aider quelqu'un s'il ne veut rien faire lui-même. Il sait faire, et
> ne fait pas. Je ne vais porter le deuil pour lui ou lui tendre une béquille.
> Qu'il fasse, lui.
>
> J'ai vu des mecs qui ont foutu de magnifiques cabinets en l'air à cause de
> l'alcoolisme. Tu peux aider comment ? en rien !
> Si le mec ne veut pas, n'est pas motivé, et se complait dans son malheur, tu n'y
> changeras rien, avec la meilleure volonté du monde. C'est du temps perdu.
> La première des libertés, c'est de décider soi-même, et donc de se prendre en
> mains.
Quand même. C'est un forum pro, on discute entre pro, de nos problèmes pro.
Le mec qui vient chercher une solution sur ses problèmes, ou qui vient à la pêche aux renseignements comme notre futur confrère, ou qui vient juste pour en discuter (de ses soucis)... de quel droit il devrait la boucler et surtout éviter de poster?
Ca s'appelle la liberté d'expression (relative, soumise à la modération d'un forum), une notion qui doit te parler je pense.
Quant à ton exemple, tu ne pouvais trouver pire. Se savoir écouté, recevoir un conseil avisé, c'est déjà beaucoup. Ca vaut pour le confrère en difficulté comme pour ton pote alcoolo. Tu peux faire semblant de ne pas le voir et le laisser dans son caca, c'est une des façon de faire.
16/04/2013 à 19h56
ameli écrivait:
---------------
> doagui écrivait:
> ----------------
> > C'est un raisonnement particulièrement égoïste je trouve.
> >
> > Supposons que demain tout le monde fasse comme toi, se dise qu'après tout y'en
> a
> > marre et laisse tomber l'exercice libéral voire même la pratique clinique tout
> > court. On dit quoi aux patients ?
>
> C'est marrant, je suis d'un avis exactement opposé !
> Tu pars du principe que tu n'es pas remplaçable, et je pense au contraire que je
> le suis.
Tu es d'une mauvaise foi assez folle.
Tu dis à qui veut l'entendre qu'on a tous choisi notre sort et que si on est pas contents on n'a qu'à en changer. Je te demande donc ce qu'il se passerait si on suivait ton conseil en changeant tous de voix.
Bien sûr que chacun est remplaçable, mais si le changement de carrière se généralise ? Jusqu'à quel point sommes nous remplaçables en tant que groupe ?
Ton conseil est donc aussi provocateur que stupide : tu sais très bien qu'il nous est impossible de changer de voix, à moins de se foutre de nos patients. Qui les soignera si on se planque tous à tes côtés derrière un joli bureau bien au chaud ?
> > Bref, que tu te foutes allègrement des patients
> admettons,
>
> Que tu l'admettes ou non, c'est ton propos. Je ne l'admets pas et je le juge
> insultant pour moi.
C'est pourtant flagrant dans tes messages.
En exhortant tout le monde à changer de carrière, tu es soit un provocateur inutile, soit un inconscient qui se moque de la santé publique.
> nous rire
> > au nez parce qu'on a pas eu le "courage " (note la présence des guillemets) de
> > suivre ton noble exemple, ça c'est un peu fort.
>
> Je l'ai précisé plus haut : je ne suis pas un exemple, mais un cas particulier
> comme tu es un cas particulier.
On est bien d'accord, et fort heureusement pour les patients qui ont encore besoin de gens pour mettre les mains dans le cambouis.
16/04/2013 à 23h02
ameli écrivait:
---------------
> king_zoulou écrivait:
> ---------------------
> > Faudra qu'on m'explique ce concept de "la liberté de changer du jour au
> > lendemain" quand on doit 300 000 euros à la banque et que les cabinets ne se
> > vendent plus ;)))
>
> Le concept ne s'applique pas lorsque les neurones et synapses ne sont pas
> fonctionnels.
> Parce qu'emprunter 300 000€ quand on n'est pas sur de soi et de son avenir à
> moyen terme, faut être un peu con pour faire ce choix.
> Si t'es con, t'es puni. C'est logique. Fallait pas emprunter, pas prendre de
> risques, aller ailleurs ou devenir salarié.
> C'est pas une loterie, faut réfléchir avant de faire.
>
> ça te parait anormal ?
> Un confrère qui s'installe dans une zone surdotée en dentistes, qui emprunte une
> fortune, et qui vient gémir sur le nonol parce qu'il n'a pas de quoi mettre du
> gasoil dans sa panda et que l'URSSAF lui pique tout, je pense qu'il a des
> neurones qui coincent.
> Dans ce système, il y a une sélection naturelle anti-cons. C'est pas à toi que
> je vais l'apprendre.
>
> La liberté est un triptyque qui a des nécessités : choix-délibération-morale.
> Si tu ne réfléchis pas avant, la liberté de choix est inapplicable.
Bien sur.
Et c'est pour ça que je continuerai de poster ce genre de message agressif sur la profession: pour que les jeunes qui sortent de la fac ne se fassent pas avoir par ce que leur a inculqué les médias, les profs, l'inconscient collectif: NON la situation de rente monopolistique que nous assure notre diplôme ne nous met pas à l'abri de faire faillite si on ne réfléchit pas à son installation.
Contrairement aux médecins.
16/04/2013 à 23h59
"C'est bien ce qu'on disait, bridge, CCM, IC, la dentisterie des années 60."
Moi j'aime bien les méprisants.
Je comprend:
En 2013, pas de bridge, pas de compromis.
Si les patients ne peuvent pas payer les implants, qu'ils vendent leur voiture, résilient leur abonnement cellulaire.
Mois je veux dormir avec ce qu'on m'a appris à la faculté: les pauvres ou ceux qui veulent être remboursés par la sécu, qu'ils partent se faire soigner à l'étranger ou en low-cost, ou pire par un vieux dentiste (plus de 45 ans).
Comme je ne veux aucun compromis, je quitte la France.
Et je vais là où on me paye cher.
Et je soigne comme on m'a appris à la faculté française, avec mon expérience de 6 mois à 2 ans.
Et les patients de ce merveilleux nouveau pays seront si satisfaits de mon travail, que je pourrais acheter une Rolex à 35 ans au lieu d'attendre l'âge canonique de 50.
--
TTDAM
17/04/2013 à 00h19
Bien d'accord avec toi, TTDAM.
Une seule chose me vient à l'esprit à la lecture de tous ces messages :
17/04/2013 à 11h37
dentino écrivait:
-----------------
> Hé oui TTDAM, nous sommes dans l'ère du "tout, tout de suite, tout cuit"
Non ça c'était votre époque, a l'heure actuelle c'est loin d'étre ça.
Mais rassurer vous c'est pas tout les jeunes qui vont vouloir bosser correctement, les autre vont apprendre l'art subtil de l'endo au lentulo si cher a Marcapac.
Ne craigner pas non plus une expatriation massive comme expliquer par youn c'est quelque chose qui se prépare a l'avance et demande a la fois du temps et de l'argent. Si il réussit Youn va bouffer plus de vache enragé que si ils tenter une création. Par contre a la fin des conditions d'exercice correcte. Et pas besoin d'avoir une structure rentabiliser ou d'étre prof a la fac :-) . Et en plus il va vraiment cotiser pour sa retraite.
Les jeunes attirer par le tout de suite tout cuit ne tenteront jamais l'aventure. Par contre faire de la dentisterie des année 60 why not ? Aller travailler dans un centre CMU, prothèse a gogo revenus plus que confortable.
--
หมอจัดฟัน
17/04/2013 à 11h53
Spr250 répopndait
Akrobat écrivait:
-----------------
> Et non,
> je ne travail pas comme dans les livres.
[...]
> Aujourd'hui j'ai fais un essayage de stellite, je pose deux faux moignon, deux
> ccm, et un bridge pro (sur 4 patients différents).
C'est bien ce qu'on disait, bridge, CCM, IC, la dentisterie des années 60.
Mais de quoi se plaignent-ils puisqu'on s'en sort bien ?
Tu vois quand je suis sorti de la fac je me suis dit que j'aimerai pouvoir soigner des gens comme mes parents, des gens normaux avec des revenus médians et a qui il ne reste pas grand chose quand ils financent les études de leurs enfant. Je ne suis pas un fils a papa et je n'ai pas oublié d'où je venais. Je n'ai pas de problème d'adéquation entre mon exercice et la société que je soigne. Je vais même te dire pire! Je fais des couronnes coulées, les gens en sont contents et c'est ce qui m'importe. (mais ce sont des tocards qui roulent en clio, y a même des bouzeux, beurk...). Au fond c'est peut être toi qui n'a pas compris ou tu vivais.
17/04/2013 à 11h54
seespan écrivait:
-----------------
> les autre vont apprendre l'art subtil de l'endo au lentulo si cher
> a Marcapac.
Tu pousse le bouchon un peu trop loin là, m'étonnerai que M Apap fasse ses endo au lentulo ;)
Sinon je suis d'accord avec toi (et ameli du coup), l'expatriation coûte cher... le temps de valider (ou de repasser) son diplôme à l'étranger, de payer l'université locale, etc. A faire tant qu'on a pas de famille à trimbaler avec soi, et/ou pas mal de sous de coté. Un jeune fraîchement sorti de la fac, par exemple ;)
17/04/2013 à 11h55
dentino écrivait:
-----------------
> Hé oui TTDAM, nous sommes dans l'ère du "tout, tout de suite, tout cuit"
En quoi est vouloir du tout cuit tout de suite que de vouloir pouvoir réaliser des soins corrects, respectant les diffrentes etapes de leur élaborations et les differentes recommandations de sécurité sanitaires sans perdre de l'argent.
Où est on obligé comme ce dentiste sorti il y a plus de 20 ans travaillant en province dans un cabinet qu'il a acheté il y a de nombreuses années de reduir la qualité pour pouvoir équilibrer ses comptes en fin d'année.
17/04/2013 à 12h01
saitosama écrivait:
-------------------
> seespan écrivait:
> -----------------
>
> > les autre vont apprendre l'art subtil de l'endo au lentulo si cher
> > a Marcapac.
>
> Tu pousse le bouchon un peu trop loin là, m'étonnerai que M Apap fasse ses endo
> au lentulo ;)
>
Je sais c'est de la provoque, mais n’empêche qu'un jeune qui lit entre les lignes comprendra que malgré les discourt enflammé de marc apac contre le lentulo. Si il veut faire une installation il a intérêt a ne pas investir trop d'argent dans ses endos car :
- l'acte est réaliser a perte
- le patient ne se rend pas compte de la qualité
Donc investir temps et argent dans cette acte est hautement stupide.
Rotation reciproque obturation sophistiqué on oublie.
Par contre en début d'exercice obturation a la pâte + empreinte + provisoire ( enfin cavit dans les secteur postérieur ) dans la meme séance c'est la clé du succé économique.
--
หมอจัดฟัน
17/04/2013 à 12h26
seespan écrivait:
-----------------
> saitosama écrivait:
> -------------------
> > seespan écrivait:
> > -----------------
> >
> > > les autre vont apprendre l'art subtil de l'endo au lentulo si cher
> > > a Marcapac.
> >
> > Tu pousse le bouchon un peu trop loin là, m'étonnerai que M Apap fasse ses
> endo
> > au lentulo ;)
> >
> Je sais c'est de la provoque, mais n’empêche qu'un jeune qui lit entre les
> lignes comprendra que malgré les discourt enflammé de marc apac contre le
> lentulo. Si il veut faire une installation il a intérêt a ne pas investir trop
> d'argent dans ses endos car :
>
> - l'acte est réaliser a perte
> - le patient ne se rend pas compte de la qualité
>
> Donc investir temps et argent dans cette acte est hautement stupide.
> Rotation reciproque obturation sophistiqué on oublie.
> Par contre en début d'exercice obturation a la pâte + empreinte + provisoire (
> enfin cavit dans les secteur postérieur ) dans la meme séance c'est la clé du
> succé économique.
>
> --
> หมอจัดฟัน
En même temps faut vraiment être con pour faire 2h d'endo sous microscope avec digue et tout et tout chez un patient qui ne connaît même pas le fil dentaire et qui se lave les dents une fois 30 secondes par jour parce que le matin il n'a pas le temps...