Cookie Consent byPrivacyPolicies.comOs de prélévement iliaque ?? - Eugenol

Os de prélévement iliaque ??

Bart simpson etu9x2 - Eugenol
scenicoste

17/04/2013 à 17h49

Bonjour à tous,

En attente du scan d'un patient pour envisager un greffon iliaque, il y a des gros volumes osseux à reconstruire (besoin imagerie pour quantifier) une pneumisation sinusienne importante et comblement contre indiqué. D'où prélévement iliaque.
Perso je n'y suis pas favorable mais j'ai peut-être une fausse image par méconnaissance
pouvez vous me faire part de vos experiences?

merci d'avance


Images jm2g2g - Eugenol
dr_0le

17/04/2013 à 20h51

douleurs ++++ du site donneur.


Bart simpson etu9x2 - Eugenol
scenicoste

17/04/2013 à 21h15

dr_0le écrivait:
----------------
> douleurs ++++ du site donneur.

ouaou 4+ pour douleur ca veut dire ITT pour le patient et probablement bequilles pour marcher?


Bart simpson etu9x2 - Eugenol
scenicoste

17/04/2013 à 21h15

dr_0le écrivait:
----------------
> douleurs ++++ du site donneur.

ouaou 4+ pour douleur ca veut dire ITT pour le patient et probablement bequilles pour marcher?


145 kssowa - Eugenol
Chicot30

17/04/2013 à 21h19

Oui c'est trés douloureux au niveau du site donneur... franchement moi je le déconseille généralement et il doit y avoir une autre solution non ?
J'ai un patient qui a subit ça pour juste une greffe au niveau de 21 22, je trouve ça extrême. Bref au patient de voir s'il est informé et que tu penses que c'est la seule solution...


--
"C'est parce que la vitesse de la lumière est supérieure à celle du son que certains paraissent brillants avant d'avoir l'air cons."


Bart simpson etu9x2 - Eugenol
scenicoste

17/04/2013 à 21h58

Chicot30 écrivait:
------------------
> Oui c'est trés douloureux au niveau du site donneur... franchement moi je le
> déconseille généralement et il doit y avoir une autre solution non ?
> J'ai un patient qui a subit ça pour juste une greffe au niveau de 21 22, je
> trouve ça extrême. Bref au patient de voir s'il est informé et que tu penses que
> c'est la seule solution...
>
>
Dire que c'est la seule solution sans scan c'est un peu tôt et c'est vrai que pour 21,22 c'est extreme, mais là il faut l'apport de gros volumes osseux des 2 cotés sans combler les sinus.
Soit on préléve du cranien (je suis pas chaud), soit on prélève de l'iliaque (je suis pas chaud non plus mais ouvert à discution), soit os de banque, soit je lui dis qu'il n'est pas opérable car même un procédure avec des implants Zygomatiques implique les sinus.

Bref le cas de M----


Images jm2g2g - Eugenol
dr_0le

17/04/2013 à 22h21

oui tres douloureux, rééduc parfois nécessaire..

ca sent le baveux ton histoire =)


Icon poker h4nm2d - Eugenol
jeff

17/04/2013 à 22h43

Alors, os de banque..

Ou

www.youtube.com/watch?v=FoZ0K_L0laE

Je vais voir ça la semaine prochaine : trois jours de box technique sur cadavre à la salpetrière.


bf

17/04/2013 à 23h20

as tu pensé à l'implantologie basale ?


Bart simpson etu9x2 - Eugenol
scenicoste

17/04/2013 à 23h45

bf écrivait:
------------
> as tu pensé à l'implantologie basale ?

je n'y adhére absoluement pas désolé tout comme les lames ou les sous periostés.

Concrétement ce sont vos experiences cliniques sur l'iliaque (qualité de l'os aprés cicatrisation du greffon, resorbtion.......)qui me seraient utiles pas ce que je pourrai faire à la place.


Merci par avance

PS: Jeff éclates toi bien à la Salpetrière




Utilisateur banni

18/04/2013 à 00h06

J’assiste à une pose d’implants mardi prochain sur une greffe iliaque je te dirais se que j’observe.

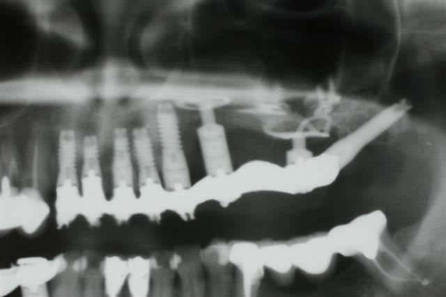
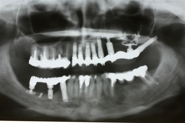
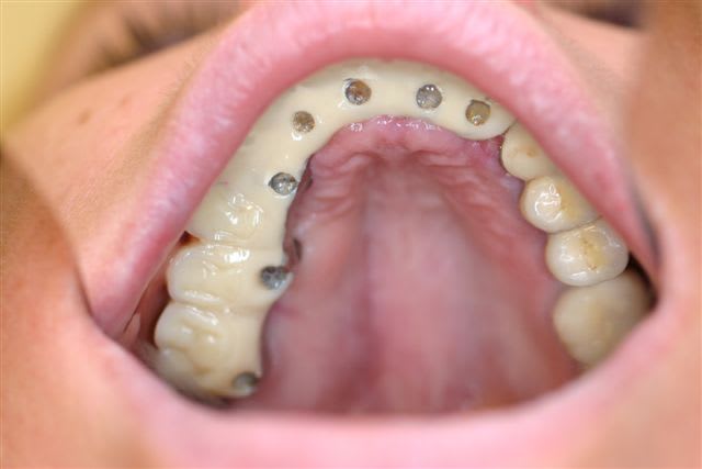
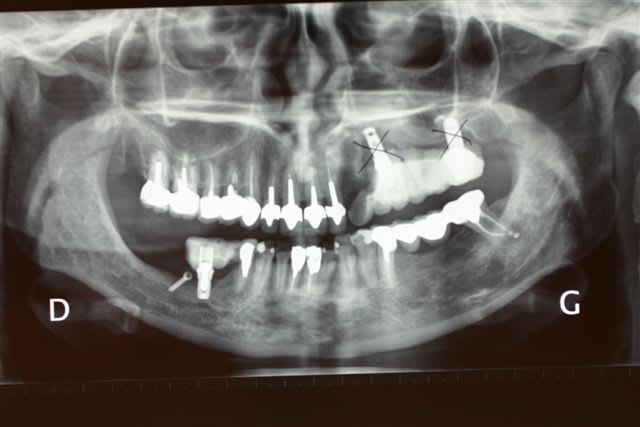
Image4 ydwnyw - Eugenol

Bart simpson etu9x2 - Eugenol
scenicoste

18/04/2013 à 00h33

posit écrivait:
---------------
> J’assiste à une pose d’implants mardi prochain sur une greffe iliaque je te
> dirais se que j’observe.


Super MERCI, d'ici là, j'espere avoir le scan, à première vue ce serait une greffe en onlay si tu peux avoir une idée de la fonte osseuse de ton cas par rapport au greffon initial j'aurai une notion de l'ampleur du prélevement.

J'attends sagement de tes nouvelles, bonne chir


Logocolornotext kiwlk1 - Eugenol
Clio

18/04/2013 à 01h14


En résumé:
Avantage prélèvement iliaque: quantité disponible
Inconvénients:- anesthésie générale
- hospitalisation ( 4 à 5 j à priori)
- douleurs post opératoires importantes du site donneur et gènes fonctionnelles
- origine enchondrale ( résorptions importantes)
- côut
C'est une chirurgie à réserver à de "grosses" reconstructions osseuses ( traumas, cancers).
Une petite question, qu'elle est la CI avancée qui empêche un soulevè de sinus, et comment est le défaut osseux , t,as des coupes scansi et des photos ?


Logocolornotext kiwlk1 - Eugenol
Clio

18/04/2013 à 01h16


En résumé:
Avantage prélèvement iliaque: quantité disponible
Inconvénients:- anesthésie générale
- hospitalisation ( 4 à 5 j à priori)
- douleurs post opératoires importantes du site donneur et gènes fonctionnelles
- origine enchondrale ( résorptions importantes)
- côut
C'est une chirurgie à réserver à de "grosses" reconstructions osseuses ( traumas, cancers).
Une petite question, qu'elle est la CI avancée qui empêche un soulevè de sinus, et comment est le défaut osseux , t,as des coupes scans et des photos ?


Logocolornotext kiwlk1 - Eugenol
Clio

18/04/2013 à 01h16


En résumé:
Avantage prélèvement iliaque: quantité disponible
Inconvénients:- anesthésie générale
- hospitalisation ( 4 à 5 j à priori)
- douleurs post opératoires importantes du site donneur et gènes fonctionnelles
- origine enchondrale ( résorptions importantes)
- côut
C'est une chirurgie à réserver à de "grosses" reconstructions osseuses ( traumas, cancers).
Une petite question, qu'elle est la CI avancée qui empêche un soulevè de sinus, et comment est le défaut osseux , t,as des coupes scans et des photos ?


Bart simpson etu9x2 - Eugenol
scenicoste

18/04/2013 à 02h30

Clio écrivait:
--------------
>
> En résumé:
> Avantage prélèvement iliaque: quantité disponible
> Inconvénients:- anesthésie générale
> - hospitalisation ( 4 à 5 j à priori)
> - douleurs post opératoires importantes du site donneur
> et gènes fonctionnelles
> - origine enchondrale ( résorptions importantes)
> - côut
> C'est une chirurgie à réserver à de "grosses" reconstructions osseuses (
> traumas, cancers).
> Une petite question, qu'elle est la CI avancée qui empêche un soulevè de sinus,
> et comment est le défaut osseux , t,as des coupes scans et des photos ?


Pour l'imagerie, suis en attente du scan,
pour la CI c'est une demande ferme du MG pour polypose naso sinusienne sévère à l'interrogatoire le patient a eu une chir pour ce problème et semble avoir bien galèré au point qu'il préfère ne rien faire s'il faut toucher au sinus alors pas touche.
J'ai pas eu le reflex de partir avec la pano !!!!!


Pépélaratiche

18/04/2013 à 02h55

Le principal problème de l iliaque est que son turn-over cellulaire est de 3 ans alors que pour le maxillaire ce même turn-over est de 6 mois

Donc qd on greffe de l iliaque, c est comme mettre un train de banlieue avec un TGV...forcément ça marche pas : l iliaque ne se renouvelle pas assez vite se sépare du lit receveur et donc grosse résorption...

On nous a dit par le passer qu il fallait surgreffer en volume avec l iliaque pour en garder assez pcq cet os était plus mou mais ce n était pas la raison

Si ton patient a eu une polypose sinusale récidivante, combler ou greffer les sinus te donnera le même problème

Peut être pas malin de pas voir ce qu on peut faire en basale car vraiment ce cas s y prête peut être plus que tu ne le crois

--
Pp, bon en rien, mauvais en tout ...
Sed Fortuna audaces iuvat ...


Pépélaratiche

18/04/2013 à 03h02

Perte d un greffon iliaque

Retraité en basale voici 6 ans avec succès

--
Pp, bon en rien, mauvais en tout ...
Sed Fortuna audaces iuvat ...

Img 1903 olztwi - Eugenol
Img 2319 ghayff - Eugenol
Img 2320 llcvmu - Eugenol
Img 2324 voezty - Eugenol
Img 3156 n5k89z - Eugenol
Img 3158 pxqjmq - Eugenol
Img 3181 zimebp - Eugenol
Img 3185 cbpkpk - Eugenol
Img 3223 xhoiqt - Eugenol
Img 3224 sjuml1 - Eugenol
Img 3226 y9la1y - Eugenol
Img 3485 jdyjy9 - Eugenol

Pépélaratiche

18/04/2013 à 03h04

posit écrivait:
---------------
> J’assiste à une pose d’implants mardi prochain sur une greffe iliaque je te
> dirais se que j’observe.

Ben tu vas rien voir de spécial : ils vont forer qques gros trous à cylindres ds un bout d os

Mais ça va pas t apprendre par où est passé le patient pour ça...ni non plus donner aucune indication thérapeutique à mon collègue...pour son patient

Bref ton avis sert à rien !!!!!!!!!!!!!


--
Pp, bon en rien, mauvais en tout ...
Sed Fortuna audaces iuvat ...


Pépélaratiche

18/04/2013 à 03h09

Clio écrivait:
--------------
>
> En résumé:
> Avantage prélèvement iliaque: quantité disponible
> Inconvénients:- anesthésie générale
> - hospitalisation ( 4 à 5 j à priori)
> - douleurs post opératoires importantes du site donneur
> et gènes fonctionnelles
> - origine enchondrale ( résorptions importantes)
> - côut
> C'est une chirurgie à réserver à de "grosses" reconstructions osseuses (
> traumas, cancers).
> Une petite question, qu'elle est la CI avancée qui empêche un soulevè de sinus,
> et comment est le défaut osseux , t,as des coupes scans et des photos ?


+1 à 1000 %

Tout ça pour avoir des dents, c est très lourd et si ça foire c est pas top

J ai une patiente qui est passée par là : 5 fois sur le billard

1. greffe iliaque
2. pose des implants
3. vidange d un greffe infecté
4. méatotomie large côté droit
5. fermeture communication bucco sinusienne gauche

Elle m a dit que si elle avait su jamais elle aurait pris ce chemin là


--
Pp, bon en rien, mauvais en tout ...
Sed Fortuna audaces iuvat ...


Bart simpson etu9x2 - Eugenol
scenicoste

18/04/2013 à 03h37

Pépélaratiche écrivait:
-----------------------
> posit écrivait:
> ---------------
> > J’assiste à une pose d’implants mardi prochain sur une greffe iliaque je te
> > dirais se que j’observe.
>
> Ben tu vas rien voir de spécial : ils vont forer qques gros trous à cylindres ds
> un bout d os
>
> Mais ça va pas t apprendre par où est passé le patient pour ça...ni non plus
> donner aucune indication thérapeutique à mon collègue...pour son patient
>
> Bref ton avis sert à rien !!!!!!!!!!!!!
>
Son avis te sert probablement à rien à toi mais dans la mesure où c'est ce que je demande ces observations m'interessent, alors Posit je te renouvel mes remerciements par avance (infos sur qualité osseuse au forage, stratégie de sous forage, stabilité primaire de l'implant........)et attends ton prochain post.

Si je fais appel au forum c'est pour avoir une vue plus globale avec les experiences du plus grand nombre sur ce qu'implique un tel plan de traitement pour les exposer au patient le plus objectivement possible et qu'il adhére (ou pas d'ailleur)en toute connaissance de cause pour éviter qu'il ne me dise "Si j'avais su, jamais je n'aurais pris ce chemin là"


Bart simpson etu9x2 - Eugenol
scenicoste

18/04/2013 à 03h54

Pépélaratiche écrivait:
-----------------------
> J ai une patiente qui est passée par là : 5 fois sur le billard
>
> 1. greffe iliaque
> 2. pose des implants
> 3. vidange d un greffe infecté
> 4. méatotomie large côté droit
> 5. fermeture communication bucco sinusienne gauche
>
> Elle m a dit que si elle avait su jamais elle aurait pris ce chemin là
>

On est d'accords pour dire que quand un site s'infecte greffe ou pas greffe c'est dévastateur pour le patient surtout quand le pré implantaire est trés lourd.
Perso c'est un fameux diskimplant qui s'est infecté en mandibulaire, entre les pertes osseuse imputables à la morphologie de l'implant et les tissus nécrosés mutilation +++ alternative pour obtenir un greffon osseux suffisement vascularisé= prélèvement de péroné.
On à tous des contres exemples de toutes les alternatives therapeutiques


S2y2o1v7q53ws4r5wy6ou8czrpom - Eugenol
pxav

18/04/2013 à 09h56

j'en ai fait une bonne dizaine dans les années 90, à l'époque c'était considéré comme le "gold standard", et franchement c'est une méthode d'une autre époque compte tenu des inconvénients (fonte osseuse, qualité de l'os, douleurs post op possible).
J'ai assisté il y a 4 ans à un "cours" sur ces prélèvements, et le chir montrait fièrement le cas d'une femme (26 ans)...qui devait être très à l'aise sur la plage avec une jolie dépression sur la crête iliaque, tout ça pour quelques dents.
Tu parle en plus d'une greffe en onlay, et à mon avis, ce type d'os ne peut que disparaitre dans ce cas.

Je partage l'avis de Clio, à réserver (éventuellement) à des suites de traumas ou maladies.

En 90 l'os de banque n'était pas sans risque, mais la qualité de la préparation (Biobank en particulier) fait que je considère que c'est LA Solution de choix, par rapport à tout prélèvement extra buccal (péroné, bras, hanche ou pire pariétal), d'autant plus qu'il est possible d'avoir des greffons adaptés en forme à l'os du patient (Biobank est capable de le faire, demandes M. Bardonnet).

Il faut vivre avec son temps et laisser les méthodes du passé de coté.

Ce qui n’empêche pas la réflexion bien au contraire.

Attention, je ne dis pas que toutes les solutions "moderne" sont bonnes, simplement que celles du passé qui ont montré leurs limites sont à mettre de coté.

--
xbk
"Si tous ceux qui croient avoir raison n'avaient pas tort, la vérité ne serait pas loin" Dac Pierre


Photo pluton1b h9n4ea - Eugenol
pluton

18/04/2013 à 10h56

+1 pxav...l'os de banque est un excellent choix
c'est sécurisé, çà marche bien, amha économiquement comparable à une hospitalisation + prélèvement du greffon
la technologie (3D) actuelle fait que tu peux avoir les greffons préparés pour le cas: gros gain de temps clinique, en gros y a plus qu'a visser
et sans compter que pour le patient...bein pas de deuxième site op, pas de suites op sur le site donneur, etc...

bref, faut vivre avec son temps...

sinon, l'alternative avec la basale n'est pas à écarter...il n'y a pas de ttm "standard" et chaque technique peut apporter sa pierre à l'édifice...

mais bon, pour l'instant on parle dans le vide et j'aimerais bien voir des images...;-)


Logocolornotext kiwlk1 - Eugenol
Clio

18/04/2013 à 11h04

Un petit apparté:
Une polypose n'est pas une CI en soit, ce qui l'est c'est la non perméabilité du méat moyen.
Je ne suis pas sur et certain que le MG soit qualifié complètement pour cela.
Il vaut mieux prendre l'avis d'un ORL.
De plus les polyposes ne s'opèrent plus, car elles sont ds la majorité des cas récidivantes.
Vous me direz si je me trompe.


12

Ce sujet est verrouillé

Les réponses à ce sujet sont désactivées