Cookie Consent byPrivacyPolicies.comCamera optique pour empreinte - Eugenol

Camera optique pour empreinte

Img 5404 pmlzfi - Eugenol
Chicot44

29/04/2013 à 00h43

je crois pas....paradoxalement je penses que les labos du moins certains ont très bien compris l'avenir et sont en avance par rapport aux dentistes....mais effectivement certains n'ont absolument aucunes idées de ce qui est en train d'arriver à toute vitesse ( chez les dentistes comme chez les prothésistes).... La surprise risque de faire très mal ...


Capture d  cran 2015 03 12 12.28 - Eugenol
chicot29

29/04/2013 à 05h39

Mario180 écrivait:
------------------
> no spray, no stress ! écrivait:
> -------------------------------
>
> > http://www3.carestreamdental.com/fr/fr-FR/IntraoralScanner/CS%203500#Features
> > and Benefits
> >
>
> Ca fait rêver. Ce qui m'inquiète, c'est que bien des prothésistes ne voient pas
> venir le train, où en apprécient mal la vitesse. Ca va leur faire mal quand les
> cabinets seront équipés, d'être resté au plâtre et à la cire perdue.
> Un artisanat va-t-il se perdre


Tant que tiendra le spr 57 la cire perdue,pivomatic et le système réciproc ont de beaux jours devant eux en france.
Ceux qui réellement ne voient pas arriver le train sont nos dirigeants crasses. Et ce dans tous les domaines figés qu'ils sont à téter la vache.


no spray, no stress !

29/04/2013 à 12h21

que le réciproq ait de beaux jours devant lui, l'existence du spr 57 n'en est pas la raison et le réciproq lui survivra !!!
pour le pivomatic, ce spr 57 l'aide beaucoup,certes mais les pivomatic lui surviront aussi !
en revanche la cire perdue n'a aucun avenir !!!!!
en effet, le TRIOS 3SHAPE permet de réaliser des woox pour inlays-cores grâce aux scan posts disponibles pour les marques pivomatic et apol ..... c'est ce qui fait son succès dans notre bon pays ... si original ! ;)
et il semblerait que sirona se penche sur le sujet !!
à suivre


Casque beotien a3jo39 - Eugenol
beotien

29/04/2013 à 13h10

no spray, no stress ! écrivait:
-------------------------------
> que le réciproq ait de beaux jours devant lui, l'existence du spr 57 n'en est
> pas la raison et le réciproq lui survivra !!!
> pour le pivomatic, ce spr 57 l'aide beaucoup,certes mais les pivomatic lui
> surviront aussi !
> en revanche la cire perdue n'a aucun avenir !!!!!
> en effet, le TRIOS 3SHAPE permet de réaliser des woox pour inlays-cores grâce
> aux scan posts disponibles pour les marques pivomatic et apol ..... c'est ce qui
> fait son succès dans notre bon pays ... si original ! ;)
> et il semblerait que sirona se penche sur le sujet !!
> à suivre

faire un inlay core ne me semble pas compliqué
exemple, regarde la photo si l'implant est un inlay et le fx moignon un pivot
j'avais posé la question sans avoir de réponse peut on coter spr57 l'élément obtenu

Inlaycore kl0ya6 - Eugenol

no spray, no stress !

29/04/2013 à 13h23

on peut toujours ... mais gare au déremboursement en cas de contrôle de la sécu !!!


Casque beotien a3jo39 - Eugenol
beotien

30/04/2013 à 01h38

no spray, no stress ! écrivait:
-------------------------------
> on peut toujours ... mais gare au déremboursement en cas de contrôle de la sécu
> !!!

merci pour la réponse je pensais vraiment qu'un inlay core céramique c’était SPR57


no spray, no stress !

30/04/2013 à 13h17

c'est bien spr57 que l'inlay-core soit en métal ou en céramique il est coté spr57 ! radio à l'appui, of course ...


Casque beotien a3jo39 - Eugenol
beotien

02/05/2013 à 12h39

no spray, no stress ! écrivait:
-------------------------------
> c'est bien spr57 que l'inlay-core soit en métal ou en céramique il est coté
> spr57 ! radio à l'appui, of course ...

un truc comme cela!
en tout cas ce n'est pas vraiment compliqué a faire

Dsc 0073 bi3pf4 - Eugenol
Dsc 0076 ynbdyw - Eugenol

Img 5404 pmlzfi - Eugenol
Chicot44

02/05/2013 à 12h55

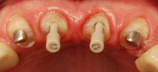
Effectivement, l'usinage pour ce type de pièce n'est plus un problème et toute les usineuses en son capable. le problème vient plus du choix du matériaux et de sa solidité au niveau des parties les plus fines et de l'empreinte initiale, en effet , il existe une réelle difficulté pour l'empreinte des parties profondes et creuses en optique d'ou le développement de scan bodies ou corps de scannage susceptibles de permettre cette empreinte et le développement du logiciel de CAO permettant de repositionner le tenon parfaitement.


Img 5404 pmlzfi - Eugenol
Chicot44

02/05/2013 à 12h58

En tout cas bravo Béotien...Je suis convaincu que grâce a des gens comme toi , les solutions arriverons bientôt à portée de technologie pour tous et aussi à portée de bourse..!!!!


Casque beotien a3jo39 - Eugenol
beotien

02/05/2013 à 19h25

Chicot44 écrivait:
------------------
> Effectivement, l'usinage pour ce type de pièce n'est plus un problème et toute
> les usineuses en son capable. le problème vient plus du choix du matériaux et de
> sa solidité au niveau des parties les plus fines et de l'empreinte initiale, en
> effet , il existe une réelle difficulté pour l'empreinte des parties profondes
> et creuses en optique d'ou le développement de scan bodies ou corps de scannage
> susceptibles de permettre cette empreinte et le développement du logiciel de CAO
> permettant de repositionner le tenon parfaitement.

c'est exactement cela!
une bibliothèque de pivot, scan, et repositionnement, ce n'est qu'un test, mais.......!

Pivot zucozk - Eugenol

Img 5404 pmlzfi - Eugenol
Chicot44

02/05/2013 à 19h52

beotien écrivait:
-----------------
> Chicot44 écrivait:
> ------------------
> > Effectivement, l'usinage pour ce type de pièce n'est plus un problème et toute
> > les usineuses en son capable. le problème vient plus du choix du matériaux et
> de
> > sa solidité au niveau des parties les plus fines et de l'empreinte initiale,
> en
> > effet , il existe une réelle difficulté pour l'empreinte des parties profondes
> > et creuses en optique d'ou le développement de scan bodies ou corps de
> scannage
> > susceptibles de permettre cette empreinte et le développement du logiciel de
> CAO
> > permettant de repositionner le tenon parfaitement.
>
> c'est exactement cela!
> une bibliothèque de pivot, scan, et repositionnement, ce n'est qu'un test,
> mais.......!


C'est pas mal du tout. Si je peux me permettre en tant qu'utilisateur de l'empreinte optique, l'idée serait de rendre la partie buccal la plus simple possible a scanner et gênant le moins possible la lecture du fond donc plus de dépouille genre pyramide à 6 cotés. Il faudrait de plus que l'acquisition du scan-bodies se fasse après ou avant l'enregistrement du fond de la cavité. T'es vraiment sur la bonne voie ...


X ray 03 medium zvq18j - Eugenol
cyber_quenottes

02/05/2013 à 20h36

no spray, no stress ! écrivait:
-------------------------------
> c'est bien spr57 que l'inlay-core soit en métal ou en céramique il est coté
> spr57 ! radio à l'appui, of course ...

=================================
mouais,

il est peut être coté chez toi ,
mais....pas dans la NGAP

le truc avec des lettres dedans qui font des mots et quand on les lit ca donne des phrases

et la radio est médicalement justifiée bien sur ?


060108 005 nrfjgc - Eugenol
NaFr

03/05/2013 à 01h48

Tenons anatomiques, ou ces derniers temps tenon scannés avec les bodyscan de 3shape....

cela fait 18 mois que je place des IC en Zircone.....je sais, pas assez de recul, mais pour l'instant une seule casse, car je n'avais pas fait un cône de transition suffisant entre le plateau et le tenon.



beotien écrivait:
-----------------
> no spray, no stress ! écrivait:
> -------------------------------
> > c'est bien spr57 que l'inlay-core soit en métal ou en céramique il est coté
> > spr57 ! radio à l'appui, of course ...
>
> un truc comme cela!
> en tout cas ce n'est pas vraiment compliqué a faire


--
Francis N.

12 22 3 sspkj2 - Eugenol
12 22 1 ocw0zp - Eugenol
12 22 2 wnhpgz - Eugenol
Ic bard s non teint s v61fjb - Eugenol
Ic teint s et synth ris s wxfnhw - Eugenol
25 1 xxztto - Eugenol
15 - Eugenol
35 3 mg7lkh - Eugenol
Rd4 l8r8h8 - Eugenol

Don quichotte xrbqem - Eugenol
Don Chicot

03/05/2013 à 09h00

NaFr écrivait:
--------------
> Tenons anatomiques, ou ces derniers temps tenon scannés avec les bodyscan de
> 3shape....
>
> cela fait 18 mois que je place des IC en Zircone....

Tu les cotes spr57 ?


S2y2o1v7q53ws4r5wy6ou8czrpom - Eugenol
pxav

03/05/2013 à 11h06

NaFr écrivait:
--------------
> Tenons anatomiques, ou ces derniers temps tenon scannés avec les bodyscan de
> 3shape....
>
> cela fait 18 mois que je place des IC en Zircone.....je sais, pas assez de
> recul, mais pour l'instant une seule casse, car je n'avais pas fait un cône de
> transition suffisant entre le plateau et le tenon.

> --
> Francis N.

Une petite remarque, je réduit la longueur du tenon quand je ne le faits pas en métal, pour éviter la fracture de la pointe apicale, collage après traitement acide+silane.
SPR57 aussi
--
xbk
"Si tous ceux qui croient avoir raison n'avaient pas tort, la vérité ne serait pas loin" Dac Pierre


060108 005 nrfjgc - Eugenol
NaFr

03/05/2013 à 12h34

Don Chicot écrivait:
--------------------
>>
> Tu les cotes spr57 ?


Comme PXAV....


--
Francis N.


Marque a3 orange fyvhyq - Eugenol
Marc Apap

03/05/2013 à 15h18

Si c'est de la zircone, ça ne sert à rien de mettre de l'acide. La zircone ne se mordance pas et se colle plutôt mal, même s'il existe quelques produits qui se prétendent plus performants. Le nouveau ciment résineux de chez DMG notamment : Permacem 2.0


Don quichotte xrbqem - Eugenol
Don Chicot

03/05/2013 à 16h45

NaFr écrivait:
--------------
> Don Chicot écrivait:
> --------------------
> >>
> > Tu les cotes spr57 ?
>
>
> Comme PXAV....


"Conception, adaptation et pose d'une infrastructure coronoradiculaire métallique coulée à ancrage radiculaire (inlay-core)"

ça c'est le copié-collé extrait de la NGAP pour la cotation spr 57

Y'a quand même 2 mots qui "fachent"
- métallique
- coulée

enfin, c' que j' dis....


060108 005 nrfjgc - Eugenol
NaFr

03/05/2013 à 17h32

Don Chicot écrivait:
--------------------

> "Conception, adaptation et pose d'une infrastructure coronoradiculaire
> métallique coulée à ancrage radiculaire (inlay-core)"
>
> ça c'est le copié-collé extrait de la NGAP pour la cotation spr 57
>
> Y'a quand même 2 mots qui "fachent"
> - métallique
> - coulée
>
> enfin, c' que j' dis....

Donc, si en CFAO je fraise dans le CrCo ou le Ti mes couronnes et mes IC, je ne peux pas les côter?
--
Francis N.


Mario ycg44a - Eugenol
Mario180

03/05/2013 à 18h22

NaFr écrivait:
--------------
>
> Donc, si en CFAO je fraise dans le CrCo ou le Ti mes couronnes et mes IC, je ne
> peux pas les côter?
> --
> Francis N.

Quand on dit que la NGAP est archaïque...

Entre parenthèses, une ccm sur armature métal non coulée n'est à ma connaissance pas remboursable : ni coulée, ni infrastructure céramique.


Marque a3 orange fyvhyq - Eugenol
Marc Apap

03/05/2013 à 18h33

A part le dentiste, personne ne le sait. Vous êtes cons, ou c'est pour emmerder les patients que vous ne voulez pas coter une couronne ?


 mg 0207 xwjxcl - Eugenol
Tillc

03/05/2013 à 19h04

Non marc apap c 'est juste pour venir ensuite se plaindre su eugenol : " J'ai pas de patient, j'ai des trous dans mon planning, ...".
Certains sont redoutable quand à l'application de la strategie de l'echec


Don quichotte xrbqem - Eugenol
Don Chicot

03/05/2013 à 19h05

NaFr écrivait:.

> Donc, si en CFAO je fraise dans le CrCo ou le Ti mes couronnes et mes IC, je ne
> peux pas les côter?
> --
> Francis N.

C'est comme pour les ccc, avant qu'elles ne deviennent "cotables", tout le monde les facturait en spr 50 et ça passait comme ça.

Si je te titille un peu, c'est parce que l'empreinte optique me seduit terriblement, que j'aimerais franchir le cap et que je me renseigne pour savoir si ça en vaut le coup.
Je pose bcp de full zircones mais c'est le labo qui scanne mes modeles.
J'ai cru comprendre que tu maitrisais bien le sujet.
Tu utilises la caméra 3shape je crois, est-ce que tu usines toi-meme (avec quel machine?) ou est-ce que tu sous-traites?


Img 5404 pmlzfi - Eugenol
Chicot44

04/05/2013 à 11h47

Marc Apap écrivait:
-------------------
> A part le dentiste, personne ne le sait. Vous êtes cons, ou c'est pour emmerder
> les patients que vous ne voulez pas coter une couronne ?


une affirmation et une question ...
je vais d'abord répondre à la question.
Dictionnaire: « Con » est un substantif trivial qui désigne à l'origine le sexe de la femme. Au sens figuré, le terme « con » est aussi un terme vulgaire en général employé comme insulte en France, mais dans un sens très atténué, voire amical, dans le sud de la France. Il désigne une personne stupide, naïve ou désagréable, de même que ses dérivés « connard » et « connasse ». Con a aussi un emploi impersonnel, souvent dépréciatif dans l'expression « bande de cons ». Le mot dérivé « connerie » désigne une erreur, une bêtise.

J'en déduis donc que Marc reste amical, je lui reproche juste la question un peu fermé et les 2 options qu'il nous laisse. J'aurai préféré avoir plus de choix et ainsi j'aurai pu répondre: QUOI( si la question avait été: con ou quoi?) ou QUI ( qui laisse la possibilité de croire qu'il s'adresse à quelqu'un d'autre) ou QUAND ( car il est vrai que parfois je peux me laisser aller vers la connerie), mais je crois que COMMENT me conviens encore mieux : car l'usage de la turbine et la pratique d'une activité déstressante bien connu me fait prononcer très souvent cette interjection. De plus la lecture des post de Marc m'amène souvent a ce type de réflexion : "non ne te met pas en colère , ce n'est rien , calme toi" puis séance d'autosuggestion " ça m'est égal, je m'en moque , je m'en fou, je m'en bra..." et voilà !!!, CQFD : Marc rend sourd...

Il y a aussi l'affirmation de Marc: Y a que le dentiste qui sait... oui mais aussi le prothésiste , l'assistante , dieu , et la traçabilité.... Sachant que le matériaux utilisé doit figurer sur le devis et la note d'honoraire...

Donc comme pour les zircones y a qq années , je m'en moque et j'utilise le matériaux qui me semble le plus adapté . Mais la nomenclature est formelle et ... à jeter à la poubelle...

Tout ça pour un post sur l'empreinte optique....;-)


1234...