Cookie Consent byPrivacyPolicies.comQu'est-ce que vous pouvez faire pour ma 23... - Eugenol

Qu'est-ce que vous pouvez faire pour ma 23...

Nouveau image bitmap fz77zh - Eugenol
Sethef

18/05/2013 à 13h00

qui se descelle?


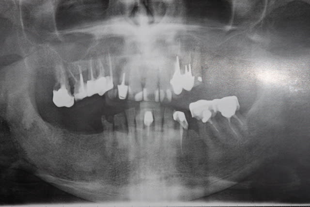
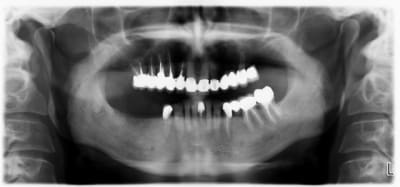
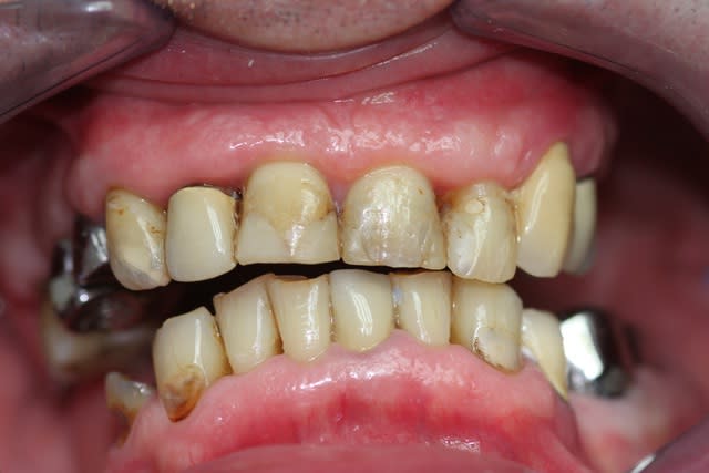
Allez, cas fini cette semaine, je vous le présente tel qu'il est arrivé.
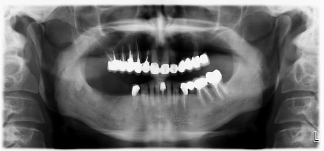
La pano est dégueulasse, à l'époque je n'avais pas encore la mienne, merci les radiologues.
Pour compléter donc:
-pas de lésions apicales visibles, les dents non dévitalisées répondent au test de vitalité.
-Pas de poches supérieures à 6 mm.
-Pas de photo du visage pré-traitement, le patient ne sourie pas, probablement complexé, et je n'ai pas voulu en rajouter.
-Brossage moyen, ok dès la première séance après enseignement de l'hygiène.
-La 23 est foutue, cariée jusqu'au trognon.

Vous auriez fait quoi?

Avant2 plze5t - Eugenol
Pano avant ddxpna - Eugenol

JUAN

18/05/2013 à 13h32

complet haut et bas? J'ai bon?


Photo pluton1b h9n4ea - Eugenol
pluton

18/05/2013 à 13h37

t'as fait une EII avec mise en vitrine immédiate?


Nouveau image bitmap fz77zh - Eugenol
Sethef

18/05/2013 à 14h41

Z êtes des bourrins les jeunes...

(plein de possibilités, toutes justifiables, mais ce ne sont pas celles que j'ai choisi)

Pas d'EII pour moi, je ne pose pas de clous. (on n'est pas en implanto, hé)


tungstene

18/05/2013 à 15h34

controle hygiene + assainissement paro

en haut extraction secteur post + coiffe 13/23 + stellite et en bas coiffe 33/44 + stellite ?


G-P

18/05/2013 à 17h39

La pano est vraiment dégueu mais traitement idéal pour moi : extraction de tout en haut sauf 12 11 21 22 (13 ? on voit rien) (emax sur dent vivante) et implanto après traitement paro.
Le bas est plus sujet à discussion, mais extraire 36 37 (paro + égressées), composites ou couronnes selon l'atteinte carieuse, et implanto après paro pour les dents manquantes.


Image r6habu - Eugenol
Thomas Crown

18/05/2013 à 18h06

Wax up esthétique , validation. DSR en 2 séances. Réévaluation paro. Après, on entre dans le "dur":
- déposes 36,37 et prov dans les courbes.
- bridges prov 11/15, 21/25, smileys mon gars maintenant
- chir paro, Emdogain 36? Selon contexte , pourquoi l'enlever GP? On la remet dans l'axe , pas de poche sup à 6mm ..
- réévaluer à 3/6mois, et décision par le patient de réhab postérieur : implants ou châssis .
- next plizz..

Garder 36. 37 si re endo efficaces.. Rétros ?
J'ai dit une connerie ?


Images jm2g2g - Eugenol
dr_0le

18/05/2013 à 18h15

adressé a un spécialiste?? P... S...?


Smile beach jgh0a1 - Eugenol
Céramik

18/05/2013 à 19h16

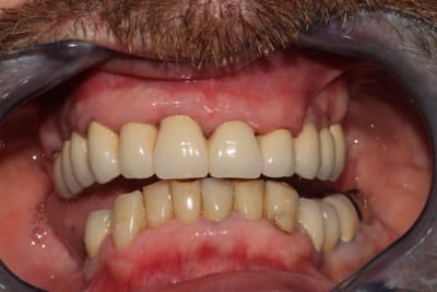
Avec la super jolie pano, je conserve 11-21 et stellitte ;-)
Le reste semble bien moche...



--
Céramik


Nouveau image bitmap fz77zh - Eugenol
Sethef

18/05/2013 à 19h45

En l'occurence, même si pas mal de solutions étaient valables, on en a choisi une plus proche de celle de Thomas Crown. (en vrai, c'est un peu moins moche que sur la pano.)
Je l'argumenterai avec les photos.


Pour Thomas Crown, puisque c'est vers ça qu'on s'est orienté: tu fais les DRS, d'accord: mais comment fait le patient pour assurer le contrôle de plaque avec les jolies couronnes ajustées ou débordantes présentes en bouche?


Pour compléter également, pas de mobilités, hormis 24/25. Pas de lésions furcatoires.
La 16 a été amputée de sa racine MV, mais le patient ne se souvient plus quand.
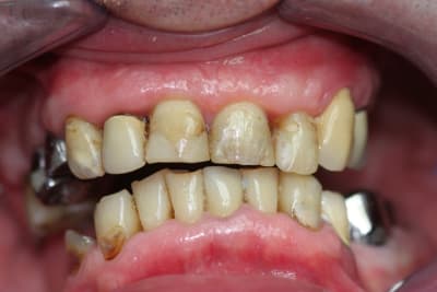
Patient relativement jeune (entre 50 et 60 ans)


Image r6habu - Eugenol
Thomas Crown

18/05/2013 à 22h37

Après les DSR, son état inflammatoire va régresser, il a déjà été prévenu de la récession qui va apparaître. Jet et brossettes , puis provisoires?
Cela ressemble à une muqueuse d'ancien fumeur..
Tu as prévu des élongations coronaires?


Android jyzura - Eugenol
Tavéca

18/05/2013 à 23h25

Suis curieux de voir la suite...


Nouveau image bitmap fz77zh - Eugenol
Sethef

18/05/2013 à 23h50

Thomas Crown écrivait:
----------------------
> Après les DSR, son état inflammatoire va régresser, il a déjà été prévenu de la
> récession qui va apparaître. Jet et brossettes , puis provisoires?

Ca aurait quand même laissé des surplombs importants, ça fait un peu nids à merdouilles.


> Cela ressemble à une muqueuse d'ancien fumeur..

Il me semble effectivement me rappeler de ça, actuellement non fumeur.

> Tu as prévu des élongations coronaires?


Non, mais remontée de DV.
Mon plus grand regret dans ce cas sera de ne pas avoir aligné les collets, mais le patient n'avait pas une envie folle de prolonger le plaisir.


Nouveau image bitmap fz77zh - Eugenol
Sethef

19/05/2013 à 00h10

Bon allez, du coup je me lance.
Encore une fois, plusieurs décisions sont critiquables, et j'avais au moins 10 possibilités en tête pour le bonhomme. (et sur des cas comme ça, en comparaison de ce que font certains ici, je me sens tout petit, mais bon...)


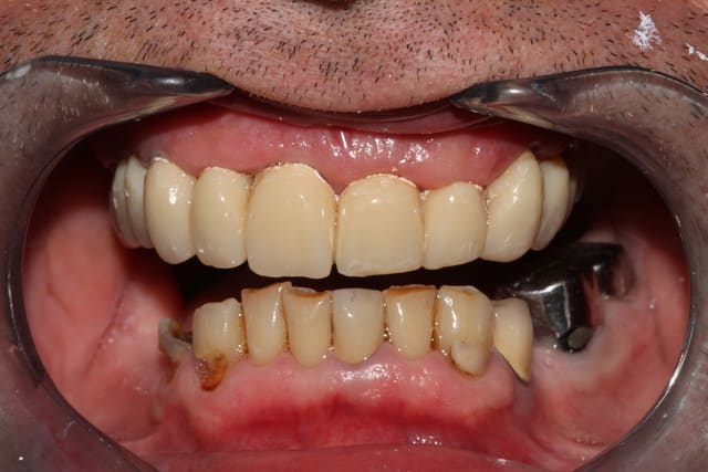
En l’occurrence, 2 devis proposés: un amovible, minimum: extractions multiples, refaire ce qui doit l'être d'urgence et stellite haut et bas; et un tout fixe.

Le patient réfléchit, revient 3 mois plus tard: ok pour le fixe, boulot commencé en septembre.


En prévision: bridge complet 16-26 en haut (extension en 26), bridge secteur 3 en bas, implants 45 46.
En tout, boulot réalisé sur une quinzaine de séances, contrôles et réglages inclus.

Au départ, je pensais extraire 17,12 et 23.
La paro a été gérée "en continu", tout du long: détartrages supra gingivaux et irrigations éventuelles à chaque séance. L'hygiène est parfaitement suivie du début à la fin.

Première séance de préparation: ex 17, dépose des couronnes sans antagonistes pour se faciliter un peu le boulot de la deuxième séance, empreintes primaires.

Deuxième séance, 2h30 si mes souvenirs sont bons: préparations de tout le maxillaire, et pose du bridge pro avec une DV remontée de quelques mm. DSR manuel des poches profondes, curetage rotatif à la touati de toutes les préparations, l'accès visuel est largement simplifié.
La 12 est finalement conservée, la 24 finalement extraite.
Petit imprévu: impossible de sortir la 23, trop délabrée: je ne me sens pas de lever un lambeau lors de cette séance déjà longue, on la laisse en place pour l'instant.
Contrôle 2 jours plus tard, la nouvelle DV est bien supportée.


Les courbes occluasles ne sont pas alors idéalisées (la 36 gêne, et secteur 1 on la règlera à la plaque de fox par la suite)

Img 2165 hrc2q5 - Eugenol
Img 2168 x8kjwe - Eugenol
Img 2170 sourire osauzs - Eugenol
Img 2166 wmenjr - Eugenol
Img 2167 feaucn - Eugenol

RépondreCiter
Nouveau image bitmap fz77zh - Eugenol
Sethef

19/05/2013 à 00h17

A ce stade, cela nous permet de confirmer l'absence de lésions furcatoires: tronc radiculaire long de la 16 et anatomie favorables des prémolaires nous ont évité pas mal de difficultés. Du coup, tout est plus simple au niveau paro...


levm

19/05/2013 à 01h42

-tu gères comment la supracclusie ?
-Je pense que tu aurais du faire un montage directeur du bas aussi avant de tailler les dents .
-Quand on voit la radio panoramique , toutes les dents maxillaires ont un pronostic endo ou paro très faible , il va surement avoir un gros SAV surtout si le patient te paye cher .

Amha , j'aurais fait 2 montages directeurs pour essayer de le mettre en occlusion convenable en premier lieu.
En parallèle , j'aurais fait un examen paro avec les mobilités de chaque dent .
Passage obligatoire par de l'amovible puis éventuellement implants


Nouveau image bitmap fz77zh - Eugenol
Sethef

19/05/2013 à 12h26

levm écrivait:
--------------
> -tu gères comment la supracclusie ?


??? comme la supracclusie présente avant usure... En l'occurence, les définitives seront tout de même légèrement raccourcies, on a eu la main un peu lourde sur les provisoires.




> -Je pense que tu aurais du faire un montage directeur du bas aussi avant de
> tailler les dents .


Probable... mais on va fonctionner tout le long sur des courbes occlusales idéalisées, ça permet là encoe de se faciliter le travail.

> -Quand on voit la radio panoramique , toutes les dents maxillaires ont un
> pronostic endo ou paro très faible , il va surement avoir un gros SAV surtout si
> le patient te paye cher .
>


C'est là que je ne suis pas d'accord. On a certes une alvéolyse horizontale autour de 50%, mais encore une fois, aucne lésion furcatoire. Le jour de l'empreinte définitive, il n'y avait plus aucune poche supérieure à 2-3, pas de mobilités, hygiène nickel (malgré le bridge pro, par définition moins lisse que la céramique).
Je ne m'en fais pas pour la paro.
Pour l'endo, j'ai repris 12 13 14, ainsi que 36 37. 15 16 étaient correctes, asyptomatiques depuis 20 ans et étanches (les RCR ont été conservées.)
36 et 37 étaient largement calcifiées, je suis allé aussi loin que possible, mais c'était un peu décevant, ce sont les seules qui m'embêtent un peu.


Pour le SAV, il est entendu que je l'assumerai, ça fait partie du jeu et je peux me le permettre.



Nouveau image bitmap fz77zh - Eugenol
Sethef

19/05/2013 à 15h49

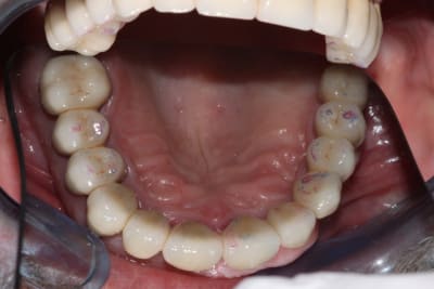
Suite du boulot: le bas


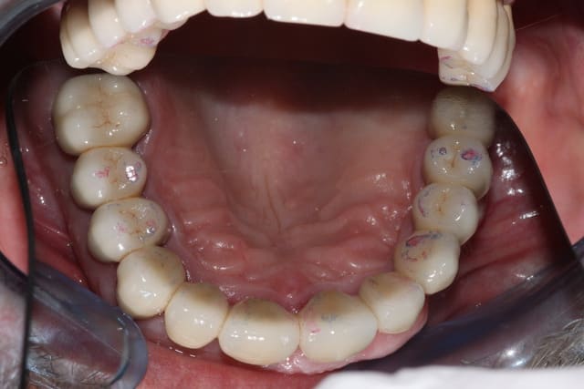
Quelques semaines plus tard, on prépare 37 36 34, ainsi que la 44, conservée vivante. J'ai hésité à aller chercher un ancrage radiculaire, étant donné le peu de hauteur de la couronne clinique, en fin de compte la CCM sera collée au superbond. Là encore, surfaçage/curetage rotatif des poches le jour de la préparation (sur 36 et 37 exclusivement)
Provisoires.
Séances suivantes (2 séances je crois), reprise des traitements endo, réalisation des RCR/tenons fibrés. Empreinte.

Réalisation des CCM+bridge selon courbe d'occlusion idéalisée, je retoucherai le provisoire maxillaire le jour de la pose.
Pose du bas, nous sommes en décembre, à la mandibule tout est propre, on va pouvoir s'occuper plus sérieusement du maxillaire à la rentrée.


(photos avec pro en place réalisées au fauteuil)

Img 2324 foyb0q - Eugenol
Img 2325 rtmgqe - Eugenol

RépondreCiter
Image r6habu - Eugenol
Thomas Crown

20/05/2013 à 00h39

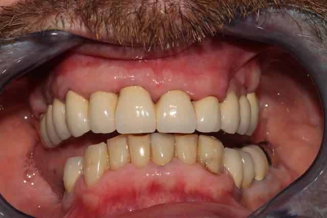
State of the Art Sethef, super cas. Plusieurs points néanmoins :
- tu es satisfait de la morpho du labo? Je suis souvent déçu par les volumes qu'ils nous proposent, je préfère le Structur Voco renforcé, mais bon , ça casse aussi..
La gestion papillaire est délicate car tu peux pas beaucoup retoucher pour laisser évoluer tes gencives ..
- la 44 est vitale?? La pano est vachement trompeuse en péri apex..
- la lésion angulaire 36 mésial à disparu avec le DSR? Ça c' est vraiment Paro power !!
- le patient à validé l'esthétique du prov pour le définitif? S tu as pas de wax up, t'as une chance sur deux de refaire un autre prov , et c'est chiant.
- il a recommencé à sourire avec le prov? Tu vas avoir un décalage des collets avec le sourire ?


Nouveau image bitmap fz77zh - Eugenol
Sethef

20/05/2013 à 01h38

Thomas Crown écrivait:
----------------------
> State of the Art Sethef, super cas. Plusieurs points néanmoins :
> - tu es satisfait de la morpho du labo? Je suis souvent déçu par les volumes
> qu'ils nous proposent, je préfère le Structur Voco renforcé, mais bon , ça casse
> aussi..


Oui oui, dans le cas présent c'est plus la longueur qui m'intéresse, je sais que la morpho définitive sera plus fine, les embrasures plus dégagées.
Quoi qu'il en soit, je suis ici obligé de passer par un bridge labo: improviser la remontée de DV au fauteuil sur 9 piliers, j'en suis bien incapable.





> - la 44 est vitale?? La pano est vachement trompeuse en péri apex..

Oui oui, artefact.

> - la lésion angulaire 36 mésial à disparu avec le DSR? Ça c' est vraiment Paro
> power !!

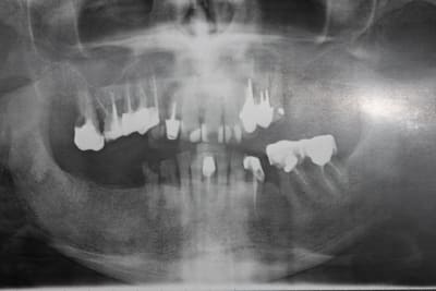
Sur la pano de contrôle finale, on observe une diminution de la perte osseuse. Il reste un relief osseux irrégulier, mais ça ne m'inquiète pas vraiment: plus de poche et pas de dent adjacente, je considère que c'est stable.

> - le patient à validé l'esthétique du prov pour le définitif?


Là, on touche à la psychologie un peu particulière du patient: c'est pas franchement un bavard. Sympa, hein, mais réservé.Je n'ai jamais vraiment su ce qu'il pensait. (et vu l'excellent communicateur que je suis, faut avouer que les conversations tournaient vite court, 2 murs qui bavardent). Normalement, un mec chez qui tu tailles tout un maxillaire, il réagit. Là, rien, tout va bien. Du coup, l'esthétique lui allait tout à fait, mais je suis persuadé qu'une autre morpho aurait été parfaite également.
Seuls souhaits que j'ai réussi à en tirer/déduire: le moins de séances possibles, et des dents plutôt claires. Du coup, on est resté sur ce type de morpho, un peu par défaut, et on s'est concentré sur le fonctionnel.

S tu as pas de wax
> up, t'as une chance sur deux de refaire un autre prov , et c'est chiant.


Un peu vrai. On a quand même choisi de voir plus long, pour pouvoir retoucher les pro par soustractions pour ajuster. (même si ça n'a pas été nécessaire)

> - il a recommencé à sourire avec le prov?
Effectivement, mais peut-être aussi qu'il commençait à se détendre, et que les dents se voyaient plus car plus longues.

Tu vas avoir un décalage des collets
> avec le sourire ?
>


Ca se remarque, oui, et ça m'agace. C'est une de mes déceptions, avec le côté un peu trop blanc/ américain du résultat final. Je finis de poster demain pour l'autocritique finale.
Un de mes arguments pour ne pas retoucher la ligne des collets, c'était de ne pas aller perdre de la hauteur d'os ou chatouiller un terrain paro stabilisé. Ca, et éviter une séance supplémentaire.




C'est marrant, on dirait que ses dents lui ressemblaient: le genre pas pénible. Plein de traitements endos pourris, et pourtant pas une seule lésion apicale, pas de réelle gêne fonctionnelle, pas de douleurs après les preps sur dents vivantes.


Nouveau image bitmap fz77zh - Eugenol
Sethef

20/05/2013 à 13h06

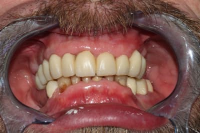
Du coup, pour finir:
-En janvier, c'est reparti: reprise de traitement 12 13 14. Comme je le disais, les RCR 15 16 sont en bon état, les endos asyptomatiques même si pas parfaites: je n'y ai pas touché, l'avenir me dira si j'ai eu raison.
Inlays-core 12 13 14, j'aurais pu réaliser des RCRs mais je ne me sentais pas de paralléliser les 9 piliers à l'oeil.

Le jour de l'empreinte des IC, on prend également une empreinte alginate du bridge pro en place.
Ainsi, par CFAO et en se basant sur les tissus mous périphériques, le labo nous a confectionné un duplicata du bridge pro en résine usinée, qui nous servira à enregistrer la RIM définitive: je n'aurai aucune retouche à y apporter.

Puis classique essayage d'armature (parfaite, merci le labo), et pose. Réglages occlusaux le lendemain.
Pano de contrôle (où je m'aperçois que j'avais laissé un morceau de Fuji entre 36 et 37, honte sur moi, d'où l'intérêt de la radio).


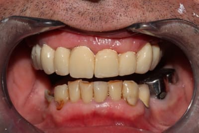
Photos de l'occlusion avant les réglages occlusaux, tout juste sorti du labo. J'ai diminué les contacts sur la 23 en entrée de cycle, et sur la 21 en incision. (bleu en statique, rouge en cycles masticatoires)

Pose des implants prévue pour cet été, donc couronnes vers Noël probablement.

Je peaufinerai probablement encore un peu l'occlusion dans 6 mois, lorsqu'on posera 45 46.


Autocritique cette aprem, lâchez-vous en attendant.


(j'essaierai de renvoyer la pano en modifiant le contraste afin de mieux discerner les volumes osseux, là il faut que j'y aille)

Pano fin sgdoom - Eugenol
Img 2618 mrucoa - Eugenol
Img 2621 pfxwbb - Eugenol
Img 2616 sourire wzrllm - Eugenol
Img 2617 repos i16vkr - Eugenol

Photo pluton1b h9n4ea - Eugenol
pluton

20/05/2013 à 13h31

belle réalisation mais j'ai quelques remarques:

-dommage pour la hauteur de 11 et 12, plus longues que 21/22

-21, 22 et 25 comme seuls piliers sur le secteur 2 alors qu'en face c'est complet, çà me fait un peu peur, surtout avec une 26 en extension et une mastication non complète sur le secteur 1 et 4...mais bon il y aura les implants...seulement pour l'instant, c'est du "sans filet"...

-dommage aussi de ne pas avoir arrangé la supra incisive...un petit fil titane et des danchamons, travail simple à la portée de tous, auraient nettement améliorés la situation, même sans objectifs "parfaits"...et en quelques semaines...

mais sinon, chouette cas...j'aurais certainement mis un peu plus de vis pour ma part (23/24/26/46/47) me permettant de faire des couronnes unitaires au moins pour le secteur 2, mais bon, çà serait peut être pas passé question budget...


Image r6habu - Eugenol
Thomas Crown

20/05/2013 à 15h51

Pluton, ou est ce qu'on apprend à utiliser " un fil Titane et qq danchamons" ..
Est ce que cela est indiqué uniquement pour les supraclusies?
Sinon.. Sethef est lucide, y'a 25 plans ttt possible ici, c'est vraiment bien pour un patient qui veut venir " le moins possible"..
Mais faut poser 45/47 rapidos!!
À la limite, le grand intérêt de ce post, c'est qu'il est important de convaincre le patient de poser 45/47 avant de commencer les soins dentaires..


S2y2o1v7q53ws4r5wy6ou8czrpom - Eugenol
pxav

20/05/2013 à 17h20

Tout d’abord merci seteph, de montrer que l'on peut faire autre chose qu'une EII... Un peu normal puisque tu ne fais pas d'implant semble t il.

Et de la la première "critique", découle la deuxième, il aurait, je pense, été préférable d'implanter avant la pose du bridge d'usage, .
En effet, si le budget du patient le permet, et sinon si ton devis est "confortable", implants 22/23/27 et 45/46 (47?)afin d'avoir une reconstruction finale plus équilibrée.

Beau travail, mais je n'ai qu'une confiance limité, sur la pérennité du secteur 2, à 10 ans.


--
xbk
"Si tous ceux qui croient avoir raison n'avaient pas tort, la vérité ne serait pas loin" Dac Pierre


Nouveau image bitmap fz77zh - Eugenol
Sethef

20/05/2013 à 17h44

Je me suis posé la question du secteur 2 tout le long du traitement, et je continuerai de me la poser pendant les 20 ans à venir... ou moins, si je me suis planté!

J'ai choisi cette solution:
-pour une question de budget, bien sûr, mine de rien ça rajoute 3 sous
- en me disant que dans le pire des cas, si la 25 finit par merder, on pourra toujours couper le bridge et implanter. Si les implants merdent, on n'a plus bien d'autre solution...
L'avenir dira si j'avais raison.
L'avantage de la solution implantaire, c'est que j'aurais pu tout faire en unitaire.


Pour le timing des implants, j'ai raisonné un peu à l'envers: j'ai considéré que pour implanter, le terrain paro devait être stable. Pour que la paro soit stable, j'ai besoin de restaurations propres, donc pas les anciennes restaurations, et pas le bridge pro. Le rendez-vous chez l'implanto est déjà pris, j'aurais effectivement préféré que ce soit un peu plus tôt.


(l'alignement des collets, par contre, ça va m'agacer pendant un bout de temps, je regrette de ne pas avoir pris le temps de le faire. Tant pis, ça n'aura pas d'incidence importante).


Dernier regret, je trouve les céramiques un peu trop "lisses", sans vie. Je sais que le patient voulait un sourire blanc, c'est bien normal, mais on aurait gagné à les caractériser un peu plus.


Pour l'ODF, c'est du chinois pour moi ;-)


Merci pour les réactions.


12