Cookie Consent byPrivacyPolicies.comchirurgie plastique parodontale, technique de zucchelli - Eugenol

chirurgie plastique parodontale, technique de zucchelli

Logo vuaztn - Eugenol
mac

20/05/2013 à 11h42

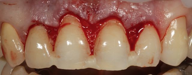
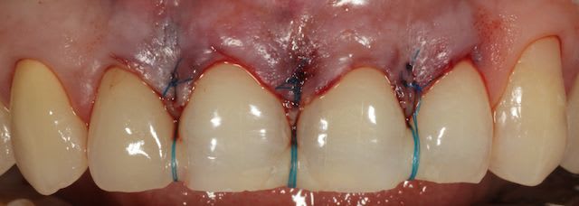
Puisqu'on parle un peu de muco, je vous propose un cas de lambeau positionné coronairement modifié selon la technique dite de Zucchelli.

les photos sont dans le désordre, comme d'hab...

Img 3772 lofj9d - Eugenol
Img 3214 zo4wco - Eugenol
Img 3212 bu7hlm - Eugenol
Img 3207 zv1iut - Eugenol
Img 3201 gi3vew - Eugenol

Image r6habu - Eugenol
Thomas Crown

20/05/2013 à 11h53

Joliii, tu peux decrire?
Biseau interne, respect des papilles, tunnel jusque LMG ou pas pour tracter en coronaire?
Pourquoi ça saigne autant sur les papilles qui n'ont pas été inclus dans le lambeau ? ?
C'est mignon les petits composites, mais j'ai pas de patient qui accepte le fil de pêche en vitrine pendant 15jours..


Logo vuaztn - Eugenol
mac

20/05/2013 à 12h07

Thomas Crown écrivait:
----------------------
> Joliii, tu peux decrire?
> Biseau interne, respect des papilles, tunnel jusque LMG ou pas pour tracter en
> coronaire?
> Pourquoi ça saigne autant sur les papilles qui n'ont pas été inclus dans le
> lambeau ? ?
> C'est mignon les petits composites, mais j'ai pas de patient qui accepte le fil
> de pêche en vitrine pendant 15jours..


En fait le principe c'est de reporter la hauteur de tes recessions au niveau des papilles et de faire tes incision en fonctions, effectivememnt le lambeau est dissequé au delà de LMG pour pouvoir suturer sans tension, les papilles saignent parce qu'elles sont été désepithelialisés.

Pour le fil, il existe du transparent mais franchement c'est pas vraiment un problème pour le patient si tu le temps de lui expliquer.


dock

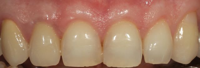
20/05/2013 à 12h13

Joli!
La dernière photo "postop" (donc la première), est à J+ combien?


Logo vuaztn - Eugenol
mac

20/05/2013 à 12h15

à 6 semaines.


Nouveau image bitmap fz77zh - Eugenol
Sethef

20/05/2013 à 12h18

J'admire évidemment la maîtrise technique, je suis toujours séché par ces chirurgies fines, probablement parce que je ne sais pas les faire moi-même.

Mis à part ça, je n'ai jamais les cas pour m'y mettre, parce que je n'en vois pas les indications.
Esthétique? Sensibilités?


En tout cas, le résultat est splendide.


dock

20/05/2013 à 12h24

Sethef écrivait:
----------------

> Mis à part ça, je n'ai jamais les cas pour m'y mettre, parce que je n'en vois pas les indications.
> Esthétique? Sensibilités?



J'allais poser la même question (du motif de consultation : esthétique et/ou sensibilités?)


Logo vuaztn - Eugenol
mac

20/05/2013 à 12h25

Sensibilités.


dock

20/05/2013 à 12h34

mac écrivait:
-------------
> Sensibilités.

Question de néophyte..
Et avec ce type d'indication, faut-il être sur d'obtenir un recouvrement total de la récession?
Je m'explique : lors d'une formation on nous disait que, dans certains cas, on pouvait obtenir une amélioration, mais pas un recouvrement total. Le patient étant prévenu, dans un cas esthétique ça pourrait quand même lui convenir, mais dans le cas de sensibilités ça risque de ne rien changer non?


Logo vuaztn - Eugenol
mac

20/05/2013 à 14h10

Sûr à 100% tu le seras jamais, mais dans un cas comme ça le résultat est predictible et un recouvrement à 100% peut être esperé.


Bashar

20/05/2013 à 17h16

du bel ouvrage


Img 8465 fqhxid - Eugenol
noahaxeltiger-olivier

20/05/2013 à 20h24

Belle chirurgie bien pensée et parfaitement réalisée, des incisions aux sutures.
Belle iconographie également.
Fier de toi mac !


Android jyzura - Eugenol
Tavéca

20/05/2013 à 20h59

Superbe!


Blason dql7mj - Eugenol
growler

21/05/2013 à 02h05

pourtant je trouve, Sethef, que l'indication se rencontre plutôt souvent.

d'ailleurs mac en fait plein.


Nouveau image bitmap fz77zh - Eugenol
Sethef

21/05/2013 à 09h45

Je pense que, comme beaucoup de choses, je ne vois pas l'indication parce que je ne sais pas faire, et je ne sais pas faire parce que je ne vois pas l'indication.


Logo vuaztn - Eugenol
mac

21/05/2013 à 10h53

noahaxeltiger-olivier écrivait:
-------------------------------
> Belle chirurgie bien pensée et parfaitement réalisée, des incisions aux sutures.
> Belle iconographie également.
> Fier de toi mac !


merci olivier c'est grace à toi et iMuco!


tungstene

21/05/2013 à 11h50

et au niveau du résultats non pas esthétique mais de sensibilité : la disparition est immédiate ?

Comment tu gères l'eventualité qu'apres chir il y ai encore des sensibilités alors que le patient a racké ?


Logo vuaztn - Eugenol
mac

21/05/2013 à 12h19

tungstene écrivait:
-------------------
> et au niveau du résultats non pas esthétique mais de sensibilité : la
> disparition est immédiate ?


oui

> Comment tu gères l'eventualité qu'apres chir il y ai encore des sensibilités
> alors que le patient a racké ?

pareil que s'il avait pas racké, si je n'ai pas un recouvrement de 100 %, je re-interviens en accord avec le patient.


Smile beach jgh0a1 - Eugenol
Céramik

22/05/2013 à 16h07

-

--
Céramik


S2y2o1v7q53ws4r5wy6ou8czrpom - Eugenol
pxav

22/05/2013 à 17h32

Très joli travail.
Petite question as tu essayé de remplacer les composites par de la biodentine avant la chir (meilleure bio-compatibilité ?)

--
xbk
"Si tous ceux qui croient avoir raison n'avaient pas tort, la vérité ne serait pas loin" Dac Pierre


Logo vuaztn - Eugenol
mac

22/05/2013 à 18h34

pxav écrivait:
--------------
> Très joli travail.
> Petite question as tu essayé de remplacer les composites par de la biodentine
> avant la chir (meilleure bio-compatibilité ?)
>
> --
> xbk
> "Si tous ceux qui croient avoir raison n'avaient pas tort, la vérité ne
> serait pas loin" Dac Pierre

merci, non.


S2y2o1v7q53ws4r5wy6ou8czrpom - Eugenol
pxav

22/05/2013 à 18h44


as tu un avis là dessus, j'ai de bon résultat sur la dentine avec et je me posais la question mais peut etre n'as tu pas de soucis avec le contact gencive / composites
--
xbk
"Si tous ceux qui croient avoir raison n'avaient pas tort, la vérité ne serait pas loin" Dac Pierre


S2y2o1v7q53ws4r5wy6ou8czrpom - Eugenol
pxav

22/05/2013 à 18h45

.


Logo vuaztn - Eugenol
mac

22/05/2013 à 21h21

franchement je ne connais pas du tout la biodentine, est ce que ça colle vraiment, quid du long terme, parce que si ta biodentine se barre sous ta gencive tu fais comment après?


S2y2o1v7q53ws4r5wy6ou8czrpom - Eugenol
pxav

22/05/2013 à 21h55

le gros défaut de la biodentine c'est le temps de pose et de durcissement, mais sinon en dehors des zones occlusales ou il y a de la pression, je n'est pas vu de décollement et au niveau sensibilité sur dents vivante c'est top.
Je me pose la question à la limite gingivale, si ce n'est pas un plus c'est tout.
A l'occasion je tenterais

--
xbk
"Si tous ceux qui croient avoir raison n'avaient pas tort, la vérité ne serait pas loin" Dac Pierre


12