Cookie Consent byPrivacyPolicies.competite question d'un débutant en implanto - Eugenol

petite question d'un débutant en implanto

ceel

18/06/2013 à 11h49

Bonjour à tous,
Je suis débutant en implanto (environ une cinquantaine d'implants posés) j’ai assisté à une conférence d'un éminent conférencier français en implanto. Je ne citerai pas son nom, car je ne voudrais pas que mes approximations sur ce qu'il nous a dit, lui porte préjudice. Tout le monde le connait il a l'air d'ailleurs très sympa.
Là où j'ai été surpris, c'est sur le choix des connexions implantaires. À vous entendre ici sur eugenol, il me semblait que la connexion conique était la référence. Lui a dit qu'aucune n'avait fait la preuve de sa supériorité par rapport à une autre. Personnellement lui utilise l'hexagone externe pour tous ses cas.

Pour le positionnement sous crestal de l'implant, il n'en voit pas l'intérêt.

Je voulais donc avoir vos avis. Actuellement je pose le Kontact de biotech, je voudrais changer de système (la commerciale qui m'insupporte , la boite qui part dans tous les sens, j'aimerais trouver un système moins cher pour proposer l'implanto au plus grand nombre)

J’attendais avec impatiente le futur implant de chez ID, depuis je me pose des questions, est ce que le legacy 3 ne suffirait-il pas, ou autre ?

Je vous remercie


Photo pluton1b h9n4ea - Eugenol
pluton

18/06/2013 à 13h22

le legacy3 est vraiment un implant "tout terrain"...donc tu peux l'utiliser partout, dans tous les types d'os en antérieur comme en postérieur...

une connexion plus conique c'est vrai que c'est sympa pour la gencive...donc en zone antérieure, où l'esthétique est importante, c'est un plus...
maintenant il n'y a pas d'énormes différences entre une connexion zimmer déjà un peu conique et un cône type Astra/Nobel

donc, tu peux commencer avec le legacy3...et dès que l'interactive sera dispo, continuer...avec la même trousse (tu auras peut être 1 ou 2 instruments à acheter pour compléter ta trousse...;-)

remarque: le legacy3 aura toujours son utilité en sous sinusien en cas de summers avec les minispires au col vs les grooves horizontaux de l'interactive qui ne servent à rien dans ce cas....;-)


Logo m4n3gc - Eugenol
drmarcus

18/06/2013 à 14h13

ceel écrivait:
--------------
>>
> Pour le positionnement sous crestal de l'implant, il n'en voit pas l'intérêt.
>
>
Pour répondre à cet extrait il n'a pas tord. Je pense la même chose. Les voies pour maintenir l'os sont multiples.
La réponse est venue, et c'est marrant je ne saurais qui désigner pour l'origine tant il semble que ce soit une réflexion simultanée, de la gestion prothétique. "Demain" il ne sera plus question de démonter les fm sur implants. C'est dans ces conditions, grâce aux MCI, que l'on s'est rendu compte des meilleurs résultats.

C'est ce qui m'a fait changer de cap. Ce serait trop long maintenant et ici de dévelloper.

Je soutiens Pluton ds son choix d'implant, j'ai franchi le pas. D'ailleurs je suis encore plus border line qu'avant; faudrait que je dépose dossier pour la loi Huriet si ça continue :-))))

En ce qui concerne la switching je le dis depuis longtemps, même si certains résultats en présentent les avantages, ce n'est qu'une obligation mécanique transformée en avantage par les gens du marketing. Là aussi je peux le prouver mécaniquement.

En conclusion si tu es tenté par ID très égocentriquement parlant je pense que tu ne pourras qu'être satisfait.


--
"La seule chose promise d'avance à l'échec, c'est celle que l'on ne tente pas" Paul Emile VICTOR


Icon poker h4nm2d - Eugenol
jeff

18/06/2013 à 21h29

je crois que nous avons reconnu Marc Bert.

J'avais suivit sa conf sur zedental recement. Toujours les memes recettes que son livre "gestion des complication implantaire", son fond de commerce.

Il preconisait un systeme avec des possibilités de gerer les fractures de vis, les devissages.

J'avais posé une question pour savoir quels etaient les chiffres sur les pourcentage de dévissages en connection interne. La réponse avait été : " les même que pour l'exagone externe".

N'ayant eu aucun dévissage ni fracture de vis depuis que je suis en interne ( euroteknika ), j'émets de gros doute sur cette derniere affirmation.

Quelqu'un a des éléments plus précis a ce sujet ?


Icon poker h4nm2d - Eugenol
jeff

19/06/2013 à 14h54

Ah, on m'informe que je me suis gouré :)

C'était pas Bert.

Il n'empeche que je poursuis ma reflexion. J'avais vraiment été supris d'entendre qu'il préconisait un systeme qui permettent de gerer ce style de complication ( taraud interne pour refaire le filetage de l'implant, truc et astuce pour les dévissages... ), au lieu de choisir un systeme qui évite ces complications...

Bon, quand au fait de dire et redire les memes choses, sur les 100 participants à la conf, 50 % pensait qu'il fallait utiliser le detartreur pour enlever une vis cassé, alors..


marco17

19/06/2013 à 15h08

jeff écrivait:
--------------

>
> Bon, quand au fait de dire et redire les mêmes choses, sur les 100 participants
> à la conf, 50 % pensait qu'il fallait utiliser le détartreur pour enlever une
> vis cassé, alors..

c'est ce que je croyais aussi !

tu fais comment ?


G-P

19/06/2013 à 15h19

Jamais d'ultrasons dans le pas de vis d'un implant tu abimes le filetage.


Ibiza69

19/06/2013 à 15h46

Prôner encore la connexion externe je ne suis pas un grand expert mais la faut pas pousser lol

Halala sinon l'un d'entre vous a des news de Tekka les printanières c'était comment..


Grueavatar nptrc9 - Eugenol
Le Choixpeau magique

19/06/2013 à 16h06

Si la connexion conique ça ne sert à rien, qui peut nous montrer une radio d'implant avec une connexion autre, en fonction depuis quelque temps, et qui ait de l'os à la même hauteur que la connexion ?


Photo pluton1b h9n4ea - Eugenol
pluton

19/06/2013 à 16h50

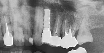
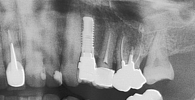
http://www.implantdirect.com/us/pop-out/ScrewPlant_Tour_HiQ.htm

c'est pas une connexion conique...

première radio à la pose en 2007
deuxième en 2013....

2007 wtno4i - Eugenol
2013 xgirxo - Eugenol

Logo m4n3gc - Eugenol
drmarcus

19/06/2013 à 16h59

Le Choixpeau magique écrivait:
------------------------------
> Si la connexion conique ça ne sert à rien, qui peut nous montrer une radio
> d'implant avec une connexion autre, en fonction depuis quelque temps, et qui ait
> de l'os à la même hauteur que la connexion ?

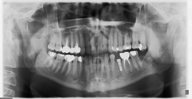
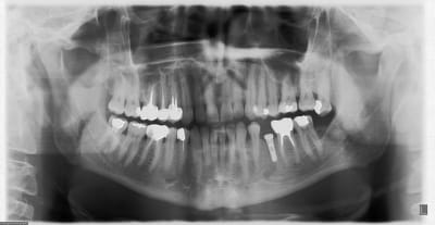
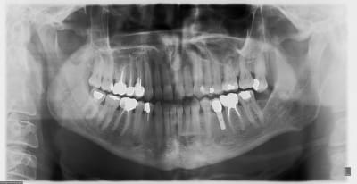
Moi ou presque si j'ose dire. Au final je ne faisais pas si mal.
Voici 2 panos avec 2 systèmes différents. Dans un cas c'est une connectique hexagone externe en place depuis 1991 le controle date de 2012.
La 2ème est un controle à 3 ans. Seulement voilà les cas d'os au dessus du col ne sont que trop rarissimes et dans des cas tout à fait exceptionnels. Je pense qu'ils dépendent plus de la qualité de gestion que du matos.
Je travaille là dessus! En tout cas ma gestion tissulaire a beaucoup progressé avec le PRF.

Je remercie et salue le mérite du Dr Choukroun pour cette avancée clinique.

Perso: obtenir de l'os au niveau de la connectique est due plus à la vascularisation osseuse qu'à la connectique à proprement parlé, d'où l'importance de la cicatrisation.
Ensuite et seulement ensuite viennent les forces mécaniques mais attention la limite entre strain et stress est vite franchie.

--
"La seule chose promise d'avance à l'échec, c'est celle que l'on ne tente pas" Paul Emile VICTOR

Connectique externe 91 au 23 mai 2012 o23crp - Eugenol
Connectique morse   3 ans jaaksa - Eugenol

Grueavatar nptrc9 - Eugenol
Le Choixpeau magique

19/06/2013 à 17h27

pluton écrivait:
----------------
>
> première radio à la pose en 2007
> deuxième en 2013....

Merci mais tu n'aurais pas une rétro, on ne voit pas grand chose là ?


Grueavatar nptrc9 - Eugenol
Le Choixpeau magique

19/06/2013 à 17h29

Drmarcus, on ne voit pas grand chose non plus sur tes panos.
Mais on en avait déjà discuté, il me semble que le problème du Leone c'est sa forme évasée au niveau du col, qui n'est pas vraiment copine avec la préservation d'une certaine épaisseur osseuse favorable à son maintien.


01 ukhwbq - Eugenol
ʎqqoq

19/06/2013 à 18h05

Pour le Leone, dans ce cas, il suffit de tenir compte aussi du diamètre du col lors de la planification, et le problème est réglé.
L'idée de ne s'intéresser qu'au diamètre du corps de l'implant me semble curieuse.
A l'extrême, c'est comme si tu posais un implant conique en te basant sur le diamètre de l'apex, et que tu te disais: "la vache, je perds un max d'os en cervical!" ^^

Je pense qu'on a trop souvent cherché à mettre des implants les plus gros possible, pour se rassurer, sans penser à l'épaisseur d'os résiduelle (enfin, en gardant le minimum biologiquement acceptable), et à l'avenir (dépose et repose pour une raison x ou y).


Logo m4n3gc - Eugenol
drmarcus

19/06/2013 à 18h06

Le Choixpeau magique écrivait:
------------------------------
> Drmarcus, on ne voit pas grand chose non plus sur tes panos.

Après vérification sur nonol je suis d'accord. Je ne sais pas pourquoi car à l'origine elle s'affiche plein écran ???
Bon je filerai ds les fichiers patients pour voir si j'ai des retro exploitables car je n'en fais quasiment plus de fait.

Je résume aucune différence.

> Mais on en avait déjà discuté, il me semble que le problème du Leone c'est sa
> forme évasée au niveau du col, qui n'est pas vraiment copine avec la
> préservation d'une certaine épaisseur osseuse favorable à son maintien.

Oui et pas que. Je me pose la question plus générale de l'influence de la rigidité induite par ce type de connexion. Les tests sont fait sur des materiaux inertes et de même densité du col de l'implant à l'apex, ce qui n'est pas sur le vivant et en plus avec des différences suivant les localisations et les individus.


--
"La seule chose promise d'avance à l'échec, c'est celle que l'on ne tente pas" Paul Emile VICTOR


Photo pluton1b h9n4ea - Eugenol
pluton

19/06/2013 à 18h06

non, pas de rétro...

tu clic sur la pano, puis Ctrl et scroll up sur la souris en même temps...çà zoom...

tu fais Ctrl scroll down pour dé-zoomer

tu devrais voir suffisamment bien...;-)

enfin tout çà pour voir qu'en 6 ans çà n'a quasi pas bougé...


un autre...contrôle 2013...implant posé en...2004...un de mes premiers

serf EVLN...connexion plus à plat, tu peux pas....

2013  2  zd3avz - Eugenol

Grueavatar nptrc9 - Eugenol
Le Choixpeau magique

19/06/2013 à 18h47

ʎqqoq écrivait:
---------------
> Pour le Leone, dans ce cas, il suffit de tenir compte aussi du diamètre du col
> lors de la planification, et le problème est réglé.
> L'idée de ne s'intéresser qu'au diamètre du corps de l'implant me semble
> curieuse.
> A l'extrême, c'est comme si tu posais un implant conique en te basant sur le
> diamètre de l'apex, et que tu te disais: "la vache, je perds un max d'os en
> cervical!" ^^

Tu veux dire qu'il ne faudrait poser que des 3.3 chez Leone ?


Ibiza69

19/06/2013 à 18h47

oui effectivement avec un implant en un temps, tu aurais du rester chez Serf avec un si beau résultat!!!!!


Logo m4n3gc - Eugenol
drmarcus

19/06/2013 à 18h51

ʎqqoq écrivait:
---------------
!" ^^
>
> Je pense qu'on a trop souvent cherché à mettre des implants les plus gros
> possible, pour se rassurer, sans penser à l'épaisseur d'os résiduelle

Euh ce n'est pas mon cas! Les diametres utilisés sont des 3.3 et 4.1 au max. . La distance inter implantaire est respectée surtout dans ce cas car il me servait a expliquer la mise en place très technique du court et de la gestion des forces d'occlusion.
Quant à l'enfouissement (cf ma présentation) il était super géré mais ce cas est normalement présenté en plus d'une heure alors ce n'est pas ici que je vais développé.
D'ailleurs je ne le referais plus comme ça! je le repenserai autrement.

Quant au fait de ne mettre que des 3.3 c'est possible mais la gestion esthétique s'avère dans certains cas délicate.

--
"La seule chose promise d'avance à l'échec, c'est celle que l'on ne tente pas" Paul Emile VICTOR


Photo pluton1b h9n4ea - Eugenol
pluton

19/06/2013 à 18h59

Ibiza69 écrivait:
-----------------
> oui effectivement avec un implant en un temps, tu aurais du rester chez Serf
> avec un si beau résultat!!!!!

tous les serf que j'ai posé sont toujours en bouche...
le problème, c'est que j'aime pas les implants cylindriques, ma récente expérience avec les leone me le confirme
et puis, chez serf, j'aime pas l'énorme vis prothétique qui "mange" la quasi totalité du volume du fm titane...donc si tu dois faire modifier un poil l'angulation par le prothésiste, tu n'as plus de matière...sauf à poser des pleins que tu retouches en bouche...et puis çà va pour un bridge...pas pour de l'unitaire...
leur seule solution ensuite: gaine calcinable...même pas de surcoulée...


S2y2o1v7q53ws4r5wy6ou8czrpom - Eugenol
pxav

19/06/2013 à 19h15

pluton écrivait:
----------------

> première radio à la pose en 2007
> deuxième en 2013....

Belle évolution... sur 14 et 26 :-))
--
xbk
"Si tous ceux qui croient avoir raison n'avaient pas tort, la vérité ne serait pas loin" Dac Pierre


Photo pluton1b h9n4ea - Eugenol
pluton

19/06/2013 à 19h25

pxav écrivait:
--------------

> Belle évolution... sur 14 et 26 :-))

14 pour l'instant asymptomatique, donc wait and see parce que vu la finesse des racines j'ai bien peur qu'au démontage du fm çà se termine par un nouveau clou...26 traitée/couronnée depuis cette pano...;-)


Logocolornotext kiwlk1 - Eugenol
Clio

19/06/2013 à 21h10

pluton écrivait:
----------------
> http://www.implantdirect.com/us/pop-out/ScrewPlant_Tour_HiQ.htm
>
> c'est pas une connexion conique...
>
> première radio à la pose en 2007
> deuxième en 2013....

C'est quoi c'est implant?


Logocolornotext kiwlk1 - Eugenol
Clio

19/06/2013 à 22h14

Ou sept implant:-)
Je voulais dire bien évidemment "cet implant "?


Photo pluton1b h9n4ea - Eugenol
pluton

19/06/2013 à 23h27

c'est quoi?
un très bon implant j'en ai posé pas mal...le tout premier implant ID réellement "all in one" comme le legacy3 maintenant...
c'est compatible au niveau chir avec les TSV et partiellement au niveau prothétique...
en fait la connexion est un peu particulière c'est un hex interne identique au TSV sauf qu'au lieu d'avoir un cône interne, tu as un biseau externe un peu comme sur un straumann
et le porte implant/transfert/pilier est prévu pour les empreintes "snap on" avec des transferts clipés comme chez straumann

super stabilité prothétique, idéale à mon avis pour les patients bruxo...
impec aussi pour les yoyoteurs hors catégorie...car tu peux avec faire une empreinte mordue avec un clip plastique...

petit truc "fun" si tu places un pilier type TSV ou legacy, tu as une plateform switching...sympa comme résultat en antérieur, mais oblige à prévoir un léger sur-forage pour le placer correctement