Cookie Consent byPrivacyPolicies.comdepose pin's membrane ou pas? - Eugenol

depose pin's membrane ou pas?

Moustache asiatique 2 b9rsxq - Eugenol
goupil

22/06/2013 à 16h11

perdu, il y a la 12 aussi


Logocolornotext kiwlk1 - Eugenol
Clio

22/06/2013 à 17h03

rubis ecrivait


sans entrer dans les détails techniques que je ne prétends pas maîtriser pluton...

> rubis écrivait
> >
> > Je parle bien de la définitive et nous avons, vous et moi, des yeux pour voir
> > qu'elle est ...en protrusion par rapport à la
> > dent naturelle voisine.

Protrusion c'est pas un détail technique ça?
Bon , en tant que prof je ne me permettrais pas de vous tutoyer, mais avec un tel coup d'oeil,
langage technique , photos et tout tout je vais te tutoyer puisque l'on parle le même dialecte.

1) perso je ne suis pas vexé, peut être un peu énervé.
2) la prothèse est certainement perfectible, on peut toujours mieux faire dans la vie.Je n'ais pas fait cette prothèse, mais sincèrement elle ne me géne pas.
3) la patiente ne s'est jamais plein à son dentiste traitant, ni à moi même d'ailleurs ( bon ça cela fait un peu justificatif, j'en convient)
4) montre moi rubis une photo de ta dentition complète, que je puisse voir à quel point ta bouche est belle, les travaux effectués excellents. Je pourrais ainsi faire la différence, et mes confreres aussi, entre la mocheté et le sublime.
4) j'ai montré un cas complet du début à la fin, avec recul clinique , radio et photos cliniques à la clef.C'est pas des plus courant sur nonol.
C'est sur que l'on peut toujours montrer que des cas exceptionnels, c'est pas mon style. Je vis dans la vrai vie , avec des vrais patients.
5) je ne crois pas une seconde que tu sois une patiente, ou alors t'es la femme à vava ( lol)
6) si tu veux corriger mes fautes d'ortographe tant que tu y es te gène pas.
7) je viendrais avec plaisir assister à un conseil...de classe ;-)


Bebe 038 nf8eum - Eugenol
danteyeah

22/06/2013 à 17h49

J'ai vu hier en consultation la femme (assuré à la caisse de son mari) d'un éminent confrère à la retraite, ancien MCU, qui bizarrement était affilié à la MGEN (peut être en rapport avec son ancienne situation de prof de fac) il existe donc des dentistes qui cotisent à la MGEN. Rubis est peut être de ceux là.

Je vais me faire lyncher, surtout que je ne suis pas implanto, et à des années lumières du niveau de certains sur ce post, mais moi aussi je trouve la couronne disgracieuse en gros plan (pas sûr que cela ait un impact dans la vrai vie), par contre cela n'a rien à voir avec une quelconque opacité (la céramique est plutôt bien gérée), encore moins une protusion (il n'y a pas de vestibuloversion), mais plutôt à un bord libre légèrement trop long et un léger manque de bombé de la crête marginale mésiale(ça peut être imputé à l'axe de la prise de vue trop plongeante), et surtout à la gestion des tissus mous au collet, entrainant une esthétique rose défavorable. Pour rebondir sur la formation que propose Noah: est-on capable de gérer cela en chir mucco-gingival. Faut-il le niveau d'Olivier pour y arriver?

Un dernier détail à l'attention de Rubis, même si mon ressenti sur le rendu esthétique de la couronne rejoint le vôtre, je ne cautionne en aucun cas le ton de votre premier post, je peux comprendre que vous ni connaissiez rien, et donc n'avez pas les éléments pour comprendre la difficulté de la chirurgie initiale, ni de la qualité du résultat, mais cela n'excuse pas le coté catégorique de votre réflexion, que je ressent ici comme un manque de respect à l'égard de confrère réellement talentueux (En gros, on est pas sur Doctissimo ici, alors du calme!).


Logocolornotext kiwlk1 - Eugenol
Clio

22/06/2013 à 18h18

danteyeah écrivait:
-------------------

> Je vais me faire lyncher, surtout que je ne suis pas implanto, et à des années
> lumières du niveau de certains sur ce post, mais moi aussi je trouve la couronne
> disgracieuse en gros plan (pas sûr que cela ait un impact dans la vrai vie), par
> contre cela n'a rien à voir avec une quelconque opacité (la céramique est plutôt
> bien gérée), encore moins une protusion (il n'y a pas de vestibuloversion), mais
> plutôt à un bord libre légèrement trop long et un léger manque de bombé de la
> crête marginale mésiale(ça peut être imputé à l'axe de la prise de vue trop
> plongeante), et surtout à la gestion des tissus mous au collet, entrainant une
> esthétique rose défavorable. Pour rebondir sur la formation que propose Noah:
> est-on capable de gérer cela en chir mucco-gingival. Faut-il le niveau d'Olivier
> pour y arriver?
>
Ben non tu vas pas te faire lyncher, au contraire tes propos sont trés constructifs.
Je joins d'autres photos du cas, j'avais fais de la gestion des tissus mous au moment de la réouverture , et mon travail c'est arrêté là.
Effectivement celà peut être discuté avec Noah, cette gestion des tissus mous n'etait peut être pas suffisante ou adéquate pour que le travail de prothèse réalisée aprés par mon confrere soit plus aisé.
à suivre.

Mucco1 ke6qqe - Eugenol
Mucco2 gcbneo - Eugenol
Mucco3 e5f0hl - Eugenol
Mucco4 imbeas - Eugenol
Mucco5 dksl7d - Eugenol
Mucco6 hqegbb - Eugenol
Mucco7 nfm1kq - Eugenol

G-P

22/06/2013 à 20h20

Minable Gros Emmerdeur Niais


Smile beach jgh0a1 - Eugenol
Céramik

22/06/2013 à 20h48

Clio écrivait:
--------------
> Pour tout dire,
> Au risque de m'exposer a la vindicte populaire;-)
> Je ne mets plus de pins depuis un grand moment, je suture la membrane en même
> temps que le lambeau....

Presque pareil...
Mes pins trainent dans un tiroir...usage occasionnel...



--
Céramik


Moustache asiatique 2 b9rsxq - Eugenol
goupil

22/06/2013 à 22h04

pluton écrivait:
----------------
> incisive(s) latérale(s) entre les deux mon coeur balance...
> il faut dire que ce cas est très bien exécuté...
> la 12 semble avoir une couronne un peu courte et au niveau de la gencive en haut
> il me semble deviner une petite cicatrice gingivale...
> maintenant la 22 semble aussi avoir une hauteur un peu importante avec une
> gencive dont la texture semble différente...à moins que çà ne soit le flou de la
> photo...
>
> là est aussi le piège des photos (et en plus sur nonol c'est pas mal
> compressé...)...un rendu à la lumière naturelle est un bien meilleur indicateur
> de la réussite esthétique car une lumière artificielle d'un flash peut modifier
> de manière importante le rendu des couleurs...


c'est pas beau pluton d'éditer ses posts pour les adapter à ce qui se dit après afin de ne pas perdre la face et rendre les posts de vos Confrères sans objet ! c'est malhonnête et je n'en serais pas fier à votre place. Il y a ça, l'histoire des dates de panos, les revirements moultes et multiples sur les marques d'implants faisant prendre des décisions hâtives auc Confrères qui vous écoutent. ....ça fait beaucoup pour un seul homme. J'appelle cela de l'imposture voire un manque de déontologie.

c'est juste dommage.


Bebe 038 nf8eum - Eugenol
danteyeah

22/06/2013 à 22h53

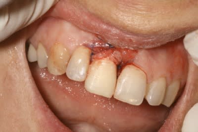
rubis écrivait:
---------------

> Et pour finir, la fin du suspense en photo ;-)

Sans vouloir vous offenser, celà n'avait rien d'un suspense. Le cas par contre: agénésie des latérales gérées par orthodontie et prothèse implantaire (quasi sur à 100%), trouverais sa place dans un post édité par chicot44 dernièrement, si vous l'aviez réalisé et iconographié (j'ai encore un doute sur votre profession).

Pour revenir à l'esthétique, l'auteur de ces clichés réalise la partie implantaire et parodontale du cas, ce qu'il montre ne supporte aucune critique, sauf si vava (le roger chicot de la chirurgie!) passe par là.
Ce que vous critiquez (et moi aussi j'avoue) est réalisé par le correspondant, il faut donc savoir faire la part des choses. Pour ma part je serai bien incapable de réaliser les chirurgies de clio, ou même d'un simple implanto lambda, par contre je peux me mettre à la place du correspondant, qui aurait du dés le départ prévoir un guide esthétique pour sa patiente (si celle ci était demandeuse, ben oui c'est pas gratuit!), c'est ce guide (repère) qui permet au chirurgien d'évaluer, le niveau osseux et conjonctif désiré, le positionnement de l'implant....
C'est au correspondant de réaliser des maquettes provisoires (de la couronne) +/- retouché suivant les indications de la patiente (et accessoirement de sa boulangère;-)) et qui les valide avant réalisation finale. Sur les photos le cas ne vous plait pas (c'est compréhensible), mais convient certainement à la patiente qui valide ou non le résultat avant scellement, c'est son jugement et son choix qui compte et non le votre. Donc encore une fois vous êtes libre démettre votre opinion (encore heureux), mais pas de juger le résultat ("c'est moche" est un jugement).


Scan10030 ukikhq - Eugenol
vava

22/06/2013 à 23h57

voir rouge sur un post de rubis est dans la nature des choses!!!!!!!!!!!!!!!!!!!!!!!!!!!!!!!!!!!!!!!!!!!!!


Photo pluton1b h9n4ea - Eugenol
pluton

23/06/2013 à 00h24

goupil écrivait:
----------------

> c'est pas beau pluton d'éditer ses posts pour les adapter à ce qui se dit après
> afin de ne pas perdre la face et rendre les posts de vos Confrères sans objet !
> c'est malhonnête et je n'en serais pas fier à votre place. Il y a ça,
> l'histoire des dates de panos, les revirements moultes et multiples sur les
> marques d'implants faisant prendre des décisions hâtives auc Confrères qui vous
> écoutent. ....ça fait beaucoup pour un seul homme. J'appelle cela de l'imposture
> voire un manque de déontologie.
>
> c'est juste dommage.

la 22 j'étais sûr...j'avais un gros doute sur la 12...mais sur le petit écran 13' de mon ultraportable c'était pas évident...
en prenant le 17' avec un écran de qualité full HD, là çà devenais bien plus visible...désolé, mais j'ai aussi une vie ailleurs que sur nonol, j'ai réfléchit à la photo, et ce avant ta réponse, le temps de passer la tondeuse, de désherber les massifs, bref d'entretenir mon petit chez moi et je suis revenu sur mon post dès que j'en ai eu le temps...

pour les dates des panos, je pense avoir été clair là dessus...mon erreur a été de ne pas vérifier sur le logiciel de la pano la date exacte de la prise de cliché, je ne suis qu'un homme et il m'arrive de faire des erreurs, pas toi?

les revirements des marques d'implants....ahhhh...là encore un autre sujet, j'essaye d'évoluer dans ma pratique du mieux que je peux, au niveau chirurgical en me formant et en essayant à chaque fois de me surpasser, mais aussi en essayant de voir si "l'outil" que représente l'implant ne peux pas m'apporter un plus dans la gestion des cas cliniques
j'ai donc essayé plusieurs marques d'implants ces dernières années...et je n'ai fait que vous donner mon ressenti du moment, mon expérience clinique, en bien comme en mal, avec leurs avantages comme leurs inconvénients, pour chacune des marques...
si j'avais été réellement malhonnête, je vous aurais dis que tout était parfait, comme dans le monde des bisounours...


Logocolornotext kiwlk1 - Eugenol
Clio

23/06/2013 à 00h33

rubis écrivait:
---------------

> 6) hormis la teinte, votre provisoire est mieux intégrée que la définitive...


C'est vrai une provisoire céramique aurait eu une meilleure teinte.


> je parle juste de l'esthétique, de ce que votre boulangère, votre concierge,
> votre amoureux, bref les candides qui n'imaginent pas le boulot que le CD a dû
> faire pour qu'il y ait une dent et pas un trou à cet endroit, voient quand vous
> leur souriez...

Ci-joint succession de ce qu'a pu voir réellement la boulangère au cours des mois
fig1 etat initial
fig2 bridge collé facette résine provisoire
fig3 provisoire coque résine provisoire
fig4 dent définitive céramique ( du moins on l'espère toujours après plus de 5 ans )

faut croire qu'elle est sacrément chiante la boulangère, on lui parle de ses miches nous?
Bon aprés j'ai plus aucune photos de ce cas...

> Et pour finir, la fin du suspense en photo ;-)

Pour le cas que tu montres Rubis, il faut quand même comparer ce qui est comparable.
Une réhabilitation prothétique sur implants remplaçant des latérales suite à des agénésies, ne représente pas les mêmes contraintes que le remplacement d'une incisive centrale demandant un aménagement des tissus durs et mous.
De plus chaque cas est différent tant dans la gestion technique, physiologique que humaine tout simplement.
On peut aussi jouer aux devinettes ( pas avec des photos de photos :-) ), ben où il est l'implant ( fig 5 et 6 ) , mais ce n'est pas non plus le même cas, ni les mêmes difficultés
( c'est toujours pas moi qui ai fait la prothèse ).

Alors oui tout le monde est différent, tout le monde ne travaille pas de la même manière, tout le monde ne demande pas les mêmes choses, tout le monde ne présente pas des cas somptueux ( à part dans les magazines ) ....

Voilà je pense avoir tout dit et tout montrer, maintenant, franchement j'en ai marre.
Ah si quand même deux trucs, tout d'abord merci Dantayeah pour tes commentaires.
Et pour le travail fait par les correspondants qui me font confiance et me font tout simplement travailler, je suis tout autant responsable qu'eux du travail final, sinon il ne faudrait que j'accepte pas de travailler avec eux .

J - Eugenol
Prov 1 hc1405 - Eugenol
Prov2 y26tfv - Eugenol
Def arfihh - Eugenol
Imp mand - Eugenol
Impl mand2 ivocsi - Eugenol

Scan10030 ukikhq - Eugenol
vava

23/06/2013 à 01h34

c'est beau la solidarité des i-con


S2y2o1v7q53ws4r5wy6ou8czrpom - Eugenol
pxav

23/06/2013 à 03h14

vava écrivait:
--------------
> c'est beau la solidarité des i-con
voila une belle phrase d' un vrai con frère

--
xbk
"Si tous ceux qui croient avoir raison n'avaient pas tort, la vérité ne serait pas loin" Dac Pierre


Blason dql7mj - Eugenol
growler

23/06/2013 à 09h18

je te trouve bien courageux clio pour continuer à vouloir apporter quand d'autres ne sont pas capables de saisir la chance que constitue ta présence ici pour traiter d'un sujet concret.
Bien sûr que dans un débat on s'expose à la critique, encore faut-il qu'elle émane de Confrères constructifs et non pas d'individus, Confrères ou non, qui se comportent comme des trolls.

Décidément, l'anonymat sur ce forum contribue largement à y voir se développer une ambiance délétère qui au final ne peut que démotiver celles et ceux qui voudraient y participer activement.


@+


bouboule

23/06/2013 à 11h43

En ce moment j ai un patient chez qui on couronne de 35 à 45. Après cuisson du biscuit on essai et je me dit " mais quelle horreur!" à mon gout c était trop clair et trop jaune par rapport aux dents max qui tirent dans les gris.... je regarde la tête de mon assistante.... elle a l air de penser pareil.

Je laisse le patient regarder, il était trop content!
J me dis qu il doit pas être bien réveillé, du coup je lui propose de sceller en provisoire et d attendre un essai d une semaine pour se décider.
Cette semaine je l ai revu, il confirme, pour lui pas question de toucher, c est parfait! si je postais une photo ici ce serait donc un lynchage. Pourtant mon patient est heureux! alors entre les réflexions d une aigrie et mon patient, je choisis mon patient.

Si encore le post avait pour objet la gestion esthétique d un cas antérieur on aurait pu dire quelque chose , mais en plus là on parlait gestion tissulaire et la personne qui se fait pourrir n est même pas l auteur de la prothèse!
Je fais parti des silencieux qui dévore chaque nouveau cas clinique sur eugenol avec gourmandise .
Ce serait dommage que ça s arrête à cause de qqes aigries à la critique facile! surtout quand cette critique est aussi constructive qu un " c est moche ++++ " peut être que pour le patient en question c était plutôt top ++++. Mon patient dont je parlais si j avais refais les ccm à mon gout plus sombres et plus grises, vu sa réaction il me les aurait refusé!


bouboule

23/06/2013 à 13h48

Rubis même si t as l air convaincu tu te trompes!
Mon patient vient d une population qui aime le clair le clinquant le bling bling. Moi pas.
L esthétique est une notion subjéctive, et dans la foullée ce patient m envoi sa femme et ses enfants. Imagines tu dire à un patient: Mr vos gouts sont à chier et risquent de mettre en péril ma réputation, c est pourquoi je vais vous mettre une teinte à mon gout avec ma carte de visite collée dessus! Pour sur qu il me fera une bonne pub!!
Traiter un patient du point de vue technique c est facile, respect des axes des volumes osseux des protocoles de collage etc etc. Gérer une demande esthétique c est différent.
J ai dejà fait des prothèses à mon gout horrible sur demande expresse des patients.
C est comme ça, on a pas ni toi ni moi le monopole du bon goût! certains vont vouloir du plus vrai que nature, d autre du blanc de blanc et même parfois de l or sur une incisive!
Tu peux penser que du métal sur une incisive c est affreux ( moi aussi) mais pour certaines cultures c est au contraire signe de richesse et de réussite! Et tu passeras pour le dernier des pretentieux si tu dis au patient " t as des gouts de merde je peux pas te laisser sortir de chez moi avec ça, j'ai des principes moi!" là t es sur d avoir une bonne pub! On se comprend?
C est pour ça que quand on se place sur le plan de l esthétique un simple " c'est moche ++++" sans plus de commentaire ni aucune question sur la demande initial c est au mieux agressif et insultant et au pire la preuve d une insondable bêtise.
Surtout encore une fois quand le sujet de départ concernait la gestion des tissus et pas une demande d avis sur un rendu esthétique dont l auteur n est pas responsable!


Scan10030 ukikhq - Eugenol
vava

23/06/2013 à 14h11

Clio écrivait:
--------------
> Ben ça y est vava, t'as consulté;-)


Merci pour les coordonnées de ton psy maintenant je sais que l’intelligence n’est pas un gage de réussite ni la connerie celle de l’échec. Alors pourquoi t’offusquer lorsque je relève l’utilisation de chef de service dans un office fantôme ?
_______________________

Bouboule je partage ton point de vue


bouboule

23/06/2013 à 16h14

rubis écrivait:
---------------
> bouboule écrivait:
> ------------------
>
> > C est pour ça que quand on se place sur le plan de l esthétique un simple "
> > c'est moche ++++" sans plus de commentaire ni aucune question sur la demande
> > initial c est au mieux agressif et insultant et au pire la preuve d une
> > insondable bêtise.
>
>
> Penses-tu, dans ce cas précis, que la demande initiale pouvait être autre que
> "Réalisez une incisive aussi similaire que possible à l'autre (qui est la dent
> naturelle)" ?

Oui! et ça arrive plus souvent que tu ne le penses!
certains veulent retrouver un diastème, d autres vont vouloir des micro fissures ou d autres encore des dents un peu chevauchées ou même un peu plus longues que les autres pour retrouver leur sourrire d avant.
Certains viennent même avec leur photo plus jeune! Le praticien qui ne sait pas entendre et refuse par gout personnel fait une erreur et voit souvent son patient partir.
Peut etre qu ici le resultat présenté ne correspond pas à la demande intial mais peut être que oui! et pondre un post d une ligne juste pour affirmer que c est laid parceque toi tu sais mieux sans chercher à avoir la réponse à la question ci dessus c est juste stupide!
Tout aussi stupide que d affirmer que tous les MGEN sont des cons! Statistiquement on a effectivement plus de raleurs dans cette corporation mais ça n empêche pas certain d être des patients que je revois chaque année avec bonheur et du coup de prendre tout le monde sans a priori.... avant de pouvoir me faire une idée...
Tu n aimes pas les sentences catégoriques sur la MGEN, ben la c est pareil, j aime pas ta sentence sans appel moche++++


Scan10030 ukikhq - Eugenol
vava

23/06/2013 à 19h04

rubis, personnellement je trouve la couronne correcte et si un patient se pointer en me disant « j’ai envie de pleurer chaque fois que je vois mon sourire. » je prendrais mon carnet de chèque pour la rembourser, retirerais la couronne, replacerais la provisoire et lui conseillerais d’aller voir un confrère surement +++ compétant.
Non pas parce que je pense que mon prothésiste ne puisse pas faire mieux mais je ne voudrais pas avoir de malentendu sur mon honnêteté.


Mario ycg44a - Eugenol
Mario180

23/06/2013 à 19h21

vava écrivait:
--------------
> rubis, personnellement je trouve la couronne correcte et si un patient se
> pointer en me disant « j’ai envie de pleurer chaque fois que je vois mon
> sourire. » je prendrais mon carnet de chèque pour la rembourser, retirerais la
> couronne, replacerais la provisoire et lui conseillerais d’aller voir un
> confrère surement +++ compétant.
> Non pas parce que je pense que mon prothésiste ne puisse pas faire mieux mais je
> ne voudrais pas avoir de malentendu sur mon honnêteté.

Con pétant ou compétent ? (pour la première option, adresse en mp)


S2y2o1v7q53ws4r5wy6ou8czrpom - Eugenol
pxav

23/06/2013 à 21h47



Que c'est gonflant ces fautes d'orthographe, encore un qui n'est pas né avec le Bled dans son berceau.
--
xbk
"Si tous ceux qui croient avoir raison n'avaient pas tort, la vérité ne serait pas loin" Dac Pierre


arno

23/06/2013 à 21h54

il part bien en live ce fil... Je n'ai même plus le courage de lire tous les messages.
Merci Sylvain pour ton partage, je vais voir la vidéo de pluton, en espérant que la mgen n'ait pas un avis dessus également...


12