Cookie Consent byPrivacyPolicies.comVive la prothèse cmu! - Eugenol

Vive la prothèse cmu!

Abeille lzfkas - Eugenol
domi38

05/07/2013 à 18h23

Il y a un mois et demi, monsieur Gevay-Chierdantébottes se présente en consultation. M. Gevay est CMU (qu’à cela ne tienne, ça arrive à des gens très bien ) et il n’a pas eu la chance de trouver un praticien qui soit à l’écoute de ses problèmes dentaires :
-A chaque fois, le dentiste m’extrait une dent dès qu’elle bouge ».

Effectivement, M. Gevay n’a plus que deux canines et une prémolaire en haut et huit dents parsemées sur l’arcade inférieure. Le tout est dans un état de mobilité notable sans être catastrophique. Le seul appareil présent en bouche est un vestige d’une ancienne PAP qui a connu des jours meilleurs. Il reste en effet 4 incisives tenues par un vague bout de résine et une montagne d’adhésif gluant.
- Vous devez vous en voir pour manger avec ça !
- Ah, ne m’en parlez pas, c’est gênant pour ma vie sociale. »

Laquelle vie sociale a l’air de se dérouler entre fringues de sport de luxe et pratique intensive du VTT (« Mais avec le temps pourri qu’on a en ce moment !... »)

S’en suit un bilan radio et une bonne heure d’explications sur la façon secrète de sauver ses dents (à base de brossage par exemple).
Le détartrage fait en deux séances (façon lithotritie) ouvre la porte à une temporisation suivie d’un léger curetage ponctuel et d’un soupçon de laser. Le tout est offert et signalé comme tel par ma (bonne) pomme.
Lorsque les dents ne bougent plus, M. Gevay, tout content, réalise que l’on va commencer la prothèse sans qu’il ait perdu une seule dent. Prothèse dont j’ai vanté la nécessité au point de vue occlusal (l’esthétique, y’avait pas besoin !).

Tout se passe bien durant les séances, mais le jour de la pose, M. Gevay n’a pas l’air pressé de faire connaissance avec ses nouvelles dents.
Il s’installe presque à contre cœur sur le trône regarde les appareils que je lui présente d’un air dégoûté et quand, coupant court aux présentations, je les lui chausse, notre ami décrète en moins d’une seconde :
-Ouh là ! Ca ne va pas !
-Qu’est ce qui ne va pas ?
-…
-Il-faut-le-temps-de-s’adapter. On-peut-toujours-corriger-ce-qui-s’avère-gênant !

Lui, ayant pris le miroir entre temps :
-C’est moche ! Je ne les porterai pas !
-C’est réalisé sur la base de vos arcades (c’est vrai j’y peut rien si c’est moche avec l’occlusion qu’il a) !

Il ressort les appareils de sa bouche et les jette sur le plateau ! Bizarrement, je ne ressent (tout à coup) plus la force nécessaire pour m’impliquer plus avant.
Je puise dans mes dernières ressources, ayant bien vu qu’il est impossible de discuter, pour lui conseiller de porter les appareils quelques jours et de réévaluer la situation ensuite. Notre ami prend les appareils sans un mot, les met dans sa poche et sort sans me dire au revoir tout en ayant remis son bloc incisivo-gluant.

Quelques jours plus tard, coup de fil :
-C’est M. Gevay. Je peux venir pour savoir quel est mon recours pour les appareils ?
-Bien sûr, M. Gevay, le docteur 38 peut vous recevoir le tant à telle heure.

La veille du rendez-vous, il décommande sans explication. Deux fois de suite !
Ce matin il avait encore un rendez-vous. Il attend l’heure pour appeler et dire :
-J’ai oublié votre rendez-vous. Mais de toute façon, j’ai pris rendez-vous avec la Sécu pour faire expertiser l’appareil.
-… !

M. Gevay-Chierdantébottes n’est pas la moitié d’un sale con !


el diablo

05/07/2013 à 19h07

La chose positive la dedans, c'est que tu seras (peut etre ) payé! (dans plusieurs mois!)


Abeille lzfkas - Eugenol
domi38

05/07/2013 à 19h18

Oui, mais j'ai perdu un patient!



;-))))


Oceanis

05/07/2013 à 19h35

Si les prothèses ont été facturées à la SS,

Prend les devant, appelle le dentiste conseil et surtout donne les rendez-vous programmés pour l'équilibration (et annulés au dernier moment).

Tout cela sera noté dans le dossier du patient (SS) et il va se faire allumer par la sécu.

J'ai eu le cas avec une patiente qui a refait un stellite et qui désespérait que le nouveau ne soit pas aussi môche que l'ancien (si, si : dents recollées par la dame).

Elle s'est fait recevoir par ma consoeur à la sécu :-)

Dernière remarque, elle n'avait pas la CMU mais une super mutuelle qui ne lui laissait rien à charge...


doagui

05/07/2013 à 20h03

Les recours ? Mais les recours pour quoi ? Pour remboursement d'une prothèse gratuite ???

"Alors voilà Monsieur, je vous rembourse les sommes engagées, ce qui nous fait un total de.... hmmm... attendez... c'est bien ça, peau d'zobe ! Vous voulez le montant en pièces de 5 centimes ou en billets de 500 ?"


Avatar transparent iqadnc - Eugenol
adhoc

05/07/2013 à 20h12

Domi, avant la pose, il y a l'essayage de la maquette dentée. Ton hurluberlu ne s'est pas miré dans la glace avec ses dents et ses cires?


Abeille lzfkas - Eugenol
domi38

05/07/2013 à 20h21

"C'est pas la même chose que l'autre jour!..." et "Y'a beaucoup de métal". Mais vu sa tête, j'ai l'impression qu'il avait décidé que ça n'irait pas et les raisons sont venues après.
Je ne sais pas, il s'imagine peut-être toucher des dommages et intérêts.


F e01w igu3rl - Eugenol
roumette

05/07/2013 à 20h49

domi38 écrivait :
"Oui, mais j'ai perdu un patient!"

Tu veux que je t'envoie Mr James Palapikur? Il m'a menacé de porter plainte au CO contre moi car je ne voulais pas lui passer le petit coton avant la piqûre.... :)


G-P

05/07/2013 à 20h50

C'est pour ça que les patients comme ça, tu leur extrais les dents qui bougent : tu ne leur offre surtout pas de traitement paro.
C'est peut être dur ce que je vais dire mais si il a pas de pognon pour payer pour ses dents c'est pas ma faute. Pas de bras, pas de chocolat. Chez moi, je ne fais jamais rien gratuitement. CMU ou pas.


tungstene

05/07/2013 à 21h15

j'en rajoute une couche.
Patiente de 24 ans, ultra motivée lors du premier rdv. Ex toxico, donc pour ceux qui savent ce que la coke fait au dent ca donne des caries du collets monstrueuses + caries interproximales monstrueuses aussi...

Elle vient car elle a, je cite " atteint le point de non retour aussi bien au niveau masticatoire qu'esthétique "... Je lui fait une pano, un det, lui explique qu'il va falloir tout couronner, extraire des dents, faire des provisoires, je lui explique le fonctionnement de la CMU, ce qu'elle rembourse ou non.

Sur ce, elle accepte de payer 400 euros de provisoire.. En effet dans un cas comme ca je dois lui mettre tout sous provisoire, de premiere, voire meme de 2eme génération et vous savez tres bien que 400 euros c pas cher payé..

Bref rdv suivant je bloque 2H30, prie pour qu'elle vienne. Elle est a l'heure et ultra motivée, je fais les endos de 8 dents , extraits 3 dents etc...

2eme rendes vous, je commence à préparer les dents de Pm à Pm... il restera a faire des endos molaires. Je mets sous provisoires donc de Pm à Pm grace a une clé que j'avais fait préalabement en ayant recontrstuit vite fait au cvi les dents... Vu que je la sens motivé je m'applique.

Une petite photo pour finir et je lui laisse voir dans le miroir. Elle est ravie, je vous avoue que moi aussi.

Je viens de commencer ma collab, la télétransmission était pas encore active, du coup je note les soins au fur et à mesure sans encore passer la CV.

Rdv suivant ou j'étais censé finir les endos post et faire empreinte pour tous les IC elle n'est pas venu. Ca fait 15j tjs pas de nouvelles, je vais devoir faire une feuille de soins sans avoir la certitude que la sécu me paye ( dailleurs ca marche bien les feuilles dégradées ? ) .

Et le pire dans l'histoire c'est qu'elle va rappeler quand le prov ca se casser ou se barrer...


Abeille lzfkas - Eugenol
domi38

05/07/2013 à 21h56

roumette écrivait:
------------------

> Tu veux que je t'envoie Mr James Palapikur? Il m'a menacé de porter plainte au
> CO contre moi car je ne voulais pas lui passer le petit coton avant la
> piqûre.... :)

Oui, je veux bien. Ca me fera un patient intéressant de plus ;-). D'autant que je ne passe pas le coton non plus ;-)))


Abeille lzfkas - Eugenol
domi38

05/07/2013 à 21h59

G-P écrivait:
-------------
Chez moi, je ne
> fais jamais rien gratuitement. CMU ou pas.

Je sais bien! C'est pas une habitude non plus. Chépas... Un moment de faiblesse...


doagui

05/07/2013 à 22h10

CMU ou non, je remarque que malheureusement c'est très souvent quand on veut aider un malheureux que ça nous revient en pleine tronche.

Il faut bien se dire que quand un patient a l'air désespéré et semble nous prendre pour son dernier espoir c'est qu'il a probablement déjà fait chier tous les praticiens qu'il a vu avant nous et qu'ils l'ont tous viré !

Conclusion des courses : réfléchir à deux fois avant de faire du social, parce que la moitié du temps ça nous pète entre les doigts.


Abeille lzfkas - Eugenol
domi38

05/07/2013 à 22h21

C'est pas faux!


Eric rb9yvj - Eugenol
benguns

06/07/2013 à 01h08

mon pauvre domi, ce genre de patient on en a tous eut,ils nous pompe 99% de notre énergie,le mieux s'est de passer à autre chose.
partager sur eugénol ça peux aider :)


levm

06/07/2013 à 01h20

Moi j'ai eu le droit à la SMALA CMU :
La famille au grand complet pour le BBD du mercredi :
La mere m'a cassé la tete pour que je fasse "di scillmon di sillon" à son morveux et que je détartre en urgence son ainé agé de 13 ans , fâché avec sa brosse à dent depuis au moins 12 ans et 6 mois...
Je les ai dégagé avec politesse en les invitant à rejoindre le service hospitalier d'odontologie le plus proche . Le papa n'a pas apprécié et m'a laissé un doux message .


RépondreCiter
3f3boxni50k58rq7e9ce9ddqrxgk - Eugenol
dentiste57

06/07/2013 à 02h47

domi38 écrivait:
----------------
> G-P écrivait:
> -------------
> Chez moi, je ne
> > fais jamais rien gratuitement. CMU ou pas.
>
> Je sais bien! C'est pas une habitude non plus. Chépas... Un moment de
> faiblesse...

comme quoi! on a tous à un moment ou à un autre eu notre petit coup de mou.
il y a deux mois j'ai posé un implant pour presque gratos (200€) à quelqu'un qui n'avait pas vraiment les moyens.

eh ben cette conne est revenue râler parcequ'on avait fait ne erreur de 20€ sur ses soins..

moralité: il ne faut jamais fléchir .


Humator t9r5wy - Eugenol
humator

06/07/2013 à 12h13

comme disait ma grand mère: "donnes à manger à un vilain, il te chie dans la main..."
c'est malheureux, mais souvent vrai...
Je mets ce post en parallele avec celui sur les dents de sagesses: certains ne veulent pas les faire parce que ça n'est pas rentable. Comment accepter de faire de la prothèse cmu??? moi, je ne fais pas: je suis hors des clous, mais je ne veux pas faire du travail à ce prix. Prendre un dépassement en HN, vous me direz? oui, mais effet pervers: On accepte le principe et les stat de la sécu montrent ainsi que les gentils praticiens acceptent de faire au prix cmu (puisque le HN est invisible à ses yeux).
Il faudra pas pleurer quand ces gens bien intentionnés nous imposeront de plafonner les tarifs de prothese, puisque on peut le faire pour les cmu, pourquoi pas pour tous...

--
N.Hum


Bagheera tudzjy - Eugenol
bagheerra

06/07/2013 à 12h19

Bof.
Ne pas faire de prothèse aux CMUc... et ne faire de soins à personne, alors ?... Personnellement, je perds plus d'argent à faire un détartrage minutieux que 3 couronnes coulées à 230€.


ChirO

06/07/2013 à 13h19

2 gros facteurs de risque pour que ça se passe mal :
- hygiène inexistante + chie sur ses précédents dentistes ("ils m'ont tout arraché", "je suis tombé sur un boucher", "j'ai plus confiance dans les dentistes" .... ) : les warnings doivent être au maximale. Patient manipulateur ++ et très difficile à responsabiliser
- soins offerts alors qu'il ne paye déjà rien : ce qui est gratuit n'a pas de valeur (chez ce genre de patient). Lui offrir les soins est je pense une erreur, c'est le conforter dans l'idée qu'on lui doit tout et que lui ne doit rien (effort personnel, financier, de brossage, ..)


paradoxe

06/07/2013 à 13h42

haha !
Ya le métier qui rentre !!
Comme je dis toujours "le plus dur, dans notre métier, c'est de dédecter les emmerdes"
Là il fallait botter en touche.
"Ollalala, puuuuutain mec, ya trop de travail là, je peux rien pour toi là, faut voir un autre confrère"
ou
"Chère madâââââme, vous êtes un cas exceptionnel , et actuellement je suis bien trop débordé pour tout faire"
ou
"ah ben non, je touche pas, ça ira pas, ça bougera, etc.."

Et hop -> un peu de temps pour eugénol.


X ray 03 medium zvq18j - Eugenol
cyber_quenottes

06/07/2013 à 14h20

perso, j'ai pris le pli

à savoir que je fais dorénavant plus de couronnes aux cmu's qu'aux autres patients

et davantage sur chaque patient

pas de discussion, pas de devis à envoyer, pas d'attente, couronnes multiples, etc...

je crois que les centres low cost ont bien intégré le concept de rentabilité ( c'est peu dire )

alors je m'adapte au monde moderne en crise

De plus je suis heureusement surpris à chaque fois que je pose une CC acier low cost, mon labo précédent demandait 2 fois et demi le prix et j'avais plus de retouches

quant aux céramiques , devant ca va par 4 le plus souvent

alors cette année de crise OUI , vive la cmu

la carte vitale passe le jour de l'empreinte et Basta

c'est la fuite en avant...


1309531 ours brun n5iukf - Eugenol
seespan

06/07/2013 à 14h33

LE problème étant que j'ai des doutes sur le fait que le gouvernement continue a faire des chéque en blanc pour le traitement des CMU.

Donc je ne compterais pas trop la dessus sur le long terme.

Il suffit d'une petit lois limitant le nombre de prothèse fait dans une certaine période de temps ( pour dépasser ce cota il faudra l'autorisation d'un dentiste conseil qui sont en nombre insuffisant, donc délais super long ), pour que la plus part des centres low cost en prennent un sacrée coût.

Idem visite de contrôle obligatoire tout les six mois pour avoir droit a plus d'une ou deux couronne ans ( 70% des CMU qui ne ferait pas les visites de contrôle probablement ) et vous allez voir que le nombre de prothèse CMU baisserait très vite.


--
หมอจัดฟัน


Grumpy cat ifik8s - Eugenol
radich_a_tord

06/07/2013 à 14h42

Seespan tu n'as pas compris que de telles mesures auraient pour effet de responsabiliser cette population. Et ça, le gouvernement et la sécu n'y sont pas du tout prêts.

Exactement comme Cyber. Les ceram CMU ça part par paquet de 6 par empreinte en ce moment. Les endos étant faites 3 par 3, j'ai aucun problème. Et vu l'état de la bouche au début, aucun remord.

Quand les français qui paient pour ces parasites prendront conscience que les CMU ont des ceram alors qu'eux galèrent pour 2 couronnes coulées, on aura déjà avancé.

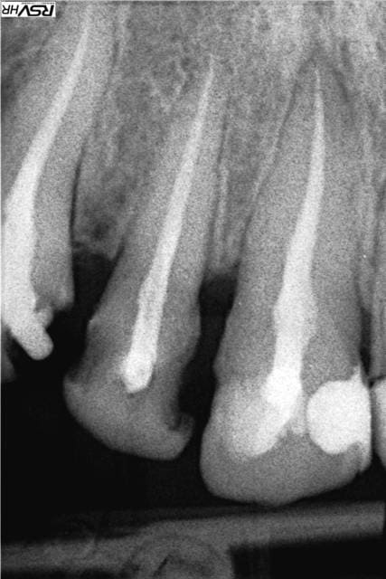
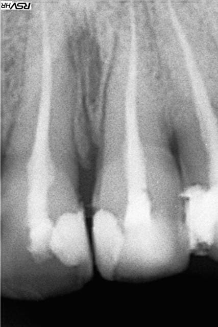
En PJ le dernier specimen, 28 ans, CMU mais dispo que le soir (ben oui il travaille au noir) la bouche en tchernobyl. Je n'ai fait que répondre à sa demande : des dents blanches devant. Pour les extractions allez voir ailleurs.

Plutôt que de changer le système et réfléchir à ce qui est bien ou mal je l'utilise.

Cmu1 xvllna - Eugenol
Cmu2 q1ssxf - Eugenol
Cmu3 unegma - Eugenol
Cmu4 p8qyex - Eugenol
Imag0121 1 ogimr9 - Eugenol

RépondreCiter
Abeille lzfkas - Eugenol
domi38

06/07/2013 à 15h28

ChirO, pour les warnings, je n e m'explique pas grand chose...
J'en ai déjà viré des patients qui débinent leur précédent praticien. Alors peut-être que ces derniers temps j'en ai pas mal (entre ceux soignés aux huiles essentielles et ceux qui viennent des cabinets qui ont été repris et qui sont gérés à l'ancienne- j'ai vu des patients avec des arsénieux posés par un type qui sort de la fac-) et dans le tas il y a des gars qui ont juste vu un incompétent. Gevay, il est passé à travers les mailles!

Paradoxe, je suis installé depuis plus de 25 ans :-) alors le métier est déjà pas mal rentré ! Il m'arrive souvent de donner des rendez-vous à plus d'un an ou/et de faire un devis totalement dissuasif.

Cyber et Radich, je suis assez d'accord avec vous. Dans ce cas je vais être payé et plutôt bien par rapport à ce que j'encaisse un mercredi matin de période scolaire. Bon, maintenant, j'ai environ 2% de cmu...


12...