Cookie Consent byPrivacyPolicies.comVive la prothèse cmu! - Eugenol

Vive la prothèse cmu!

doagui

30/07/2013 à 19h06

radich_a_tord écrivait:
-----------------------
> Pour tous ceux qui s'inquiétaient des bulles dans mon empreinte, je vous rassure
> elles vont bien :-)
>

Bah t'en sais rien ! On se doute bien que ton prothésiste a comblé à la cire ou retouché le plâtre pour obtenir des limites nettes, la question c'est pas ça... Attends de voir ce que ça donne ne bouche avant de fanfaronner.


Grumpy cat ifik8s - Eugenol
radich_a_tord

30/07/2013 à 22h23

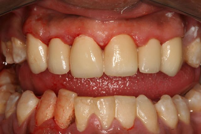
Magnifique ! intégration biologique au top dans un parodonte en tiers payant lui aussi. Ajustage exceptionnel sur 11 qui ne rentre pas à fond. Comblé au ciment de scellement. Les bulles c'était sur 21 22.

Hygienelol2 tpzhun - Eugenol
Hygienelol s7lpvh - Eugenol

RépondreCiter
La mule ynmlik - Eugenol
la mule

30/07/2013 à 22h47

Puuuutaiiin ! Allier la virtuosité à autant d'abnégation (375€ l'élément..) , j'en ai les larmes aux yeux! Merci Eugénol!


doagui

30/07/2013 à 23h01

Franchement pourquoi tu nous montres un truc pareil ?


Mouton volant jlatmr - Eugenol
Toto le Héros

30/07/2013 à 23h19

radich_a_tord écrivait:
-----------------------
> Magnifique ! intégration biologique au top dans un parodonte en tiers payant lui
> aussi. Ajustage exceptionnel sur 11 qui ne rentre pas à fond. Comblé au ciment
> de scellement. Les bulles c'était sur 21 22.

Non mais c'est du second degré là non ?
C'est toi qui traitait tout le monde de merdeux en frimant avec tes endos correctes sous digue et tes compos à l'arrache (parce que y a pas de publication sur le fait que coller dans la flotte c'est caca) qui nous montre ça ?
Une grande leçon d'humilité...

La dentristitude en effet.


vivien27

30/07/2013 à 23h19

doagui écrivait:
----------------
> CMU ou non, je remarque que malheureusement c'est très souvent quand on veut
> aider un malheureux que ça nous revient en pleine tronche.
>
> Il faut bien se dire que quand un patient a l'air désespéré et semble nous
> prendre pour son dernier espoir c'est qu'il a probablement déjà fait chier tous
> les praticiens qu'il a vu avant nous et qu'ils l'ont tous viré !
>
> Conclusion des courses : réfléchir à deux fois avant de faire du social, parce
> que la moitié du temps ça nous pète entre les doigts.


33 ans de social... Regardez où on en est !! Ce que l'on ne paie pas n'a pas de valeur... C'est bien connu.
Tout le problème de la cmu


vivien27

30/07/2013 à 23h26

cyber_quenottes écrivait:
-------------------------
> perso, j'ai pris le pli
>
> à savoir que je fais dorénavant plus de couronnes aux cmu's qu'aux autres
> patients
>
> et davantage sur chaque patient
>
> pas de discussion, pas de devis à envoyer, pas d'attente, couronnes multiples,
> etc...
>
> je crois que les centres low cost ont bien intégré le concept de rentabilité (
> c'est peu dire )
>
> alors je m'adapte au monde moderne en crise
>
> De plus je suis heureusement surpris à chaque fois que je pose une CC acier low
> cost, mon labo précédent demandait 2 fois et demi le prix et j'avais plus de
> retouches
>
> quant aux céramiques , devant ca va par 4 le plus souvent
>
> alors cette année de crise OUI , vive la cmu


Oui et vive en 2013 la bouche des Français en ferraille !! Quand on voit l'état de la bouche des Français en général (et même chez les couches sociales aisées) on est pas près de voir de belles bouches aux dents blanches dans notre pays !! Chez moi c'est céramique ou pas ! Ils paient la différence ou vont ailleurs ! Et tu serais étonné de voir les biffons sortir de leurs poches...
>
> la carte vitale passe le jour de l'empreinte et Basta
>
> c'est la fuite en avant...


Grumpy cat ifik8s - Eugenol
radich_a_tord

30/07/2013 à 23h51

Oui c'est ironique mais je ris jaune. Je commence à intégrer les conditions d'exercice de la dentisterie en France. De la merde pour des porcs.


vivien27

30/07/2013 à 23h51

radich_a_tord écrivait:
-----------------------
> Magnifique ! intégration biologique au top dans un parodonte en tiers payant lui
> aussi. Ajustage exceptionnel sur 11 qui ne rentre pas à fond. Comblé au ciment
> de scellement. Les bulles c'était sur 21 22.

Tu lui proposerai pas des soins locaux bicar et eau oxygène a ton patient ?


Images oecc9d ijdijh - Eugenol
Akrobat

05/08/2013 à 14h21

j'ai posé le 12 juillet un complet haut et bas à un patient cmu. Il revient aujourd'hui pas content son appareil du haut ne tiens pas. Sa prothèse est tombée quand il a accéléré avec la onze cent et la voiture de derrière a roulé dessus... faut lui refaire.


Darmon - Eugenol
Latin

05/08/2013 à 15h19

Akrobat écrivait:
-----------------
> j'ai posé le 12 juillet un complet haut et bas à un patient cmu. Il revient
> aujourd'hui pas content son appareil du haut ne tiens pas. Sa prothèse est
> tombée quand il a accéléré avec la onze cent et la voiture de derrière a roulé
> dessus... faut lui refaire.

Ah oui? Et tu le recotes comment?


Canard fkryf7 - Eugenol
Agachon

05/08/2013 à 16h42

HN, la Sécu n'a pas a repayer pour un accident.

Sinon, tu risques de te taper un indu.


Images cu89bm - Eugenol
Tizott

05/08/2013 à 17h17

Akrobat écrivait:
-----------------
> j'ai posé le 12 juillet un complet haut et bas à un patient cmu. Il revient
> aujourd'hui pas content son appareil du haut ne tiens pas. Sa prothèse est
> tombée quand il a accéléré avec la onze cent et la voiture de derrière a roulé
> dessus... faut lui refaire.

il a eu 18 jours pour se plaindre de la mauvaise tenue.
Elle tombée ? Pas ton pb. Une prohése c'est fait pour mâcher. Pas pour faire un wheeling !
+1 avec Agachon. c'est HN.
30% à la signature du devis
30% au premier essayage
Le solde le jour de la pose mais AVANT la pose.
Sinon, tu ne commences rien.


Capture d  cran 2015 03 12 12.28 - Eugenol
chicot29

05/08/2013 à 17h49

Akrobat écrivait:
-----------------
> j'ai posé le 12 juillet un complet haut et bas à un patient cmu. Il revient
> aujourd'hui pas content son appareil du haut ne tiens pas. Sa prothèse est
> tombée quand il a accéléré avec la onze cent et la voiture de derrière a roulé
> dessus... faut lui refaire. Au freinage plutôt ! ))))))


Images oecc9d ijdijh - Eugenol
Akrobat

05/08/2013 à 18h23

oh! mais j'avais pas l'intention de lui refaire. Sa prothèse tenait selon moi convenablement et si vraiment ça ne tenait pas je lui aurait fait un rebasage à mes frais. mais ni moi ni la secu ne lui en repayerons sa prothese je suis bien d'accord. je partage les joies de la prothèse cmu avec les confrères. en esperant q ce con n'aille pas dire a la secu que je ne lui ai pas fait sa prothèse (je me méfie de lui, il sort juste de prison mais lui il avait rien fait.... c'était son fils! )


doagui

05/08/2013 à 22h16

Mais non voyons, il va juste aller se faire refaire une prothèse chez ton voisin, tout simplement.

La question c'est de savoir ce qui arrivera quand la Sécu va recevoir la demande de règlement du voisin en question... Peu probable qu'elle paye sans rien dire, alors quoi ? L'un de vous devra s'assoir sur ses honoraires c'est clair, espérons pour toi que ça soit lui.


poulined

25/01/2017 à 19h31

quel risque de faire une résine a la place d'un stellite pour un appareil 5 dents avec la CCAM???
Est-ce vraiment interdit???

Je me dis c'est vrai que ca va dans le bon sens (des gros cons) de se dire que la résine c'est historique et pas top
Par contre reconnaitre et rembourser une parie des implants c'est pareil
Je me dis on est bien cons

Et ca me fais chier de changer de prothésiste qui est certes cher mais qui me fait du super boulot, pour poser un stellite polonais a bas prix, pourrav mais rentable