Cookie Consent byPrivacyPolicies.comRespect de la c..fraternité - Eugenol

Respect de la c..fraternité

Avatar 46 aoi1yc - Eugenol
HononLulu

29/07/2013 à 23h23

Titoff, si tu fais une obturation tenon fibré par la suite en direct ou en différé, évite tout simplement l'eugénol et choisis un autre ciment d'obturation.


RépondreCiter
Avatar 46 aoi1yc - Eugenol
HononLulu

29/07/2013 à 23h23

Titoff, si tu fais une obturation tenon fibré par la suite en direct ou en différé, évite tout simplement l'eugénol et choisis un autre ciment d'obturation.


RépondreCiter
Grumpy cat ifik8s - Eugenol
radich_a_tord

30/07/2013 à 00h43

Vu le peu de ciment que j'utilise et sa consistance épaisse je ne me fais pas de soucis. Thermocondensation par dessus, et désobturation propre et minutieuse, plus une trace de gutta ni de ciment. Mordançage, collage à la colle auto et composite auto également, recouvert d'un composite photo.

Et si elle va voir ailleurs mon éminent confrère ne saura pas ce qu'est un tenon fibré donc je ne risque pas grand chose.


Titof2000

30/07/2013 à 01h10

Un instrument rotatif sur une gutta qui n'est pas encore bien cimenté... On t'a déjà parlé de l'importance du scellement apical? Et puis avec quoi tu réfrigères l'instrument? De la bonne eau de ville qui est directement branché sur l'unit? Bien l’asepsie!
Et puis le ciment que tu utilises est il compatible avec l'eau du spray?
Super l'adhésion du composite...


Juste pour te montrer que tout est critiquable, et que toi aussi tu es critiquable. Alors un peu d'humilité!


RépondreCiter
Titof2000

30/07/2013 à 01h12

radich_a_tord écrivait:
-----------------------
> Vu le peu de ciment que j'utilise et sa consistance épaisse je ne me fais pas de
> soucis. Thermocondensation par dessus, et désobturation propre et minutieuse,
> plus une trace de gutta ni de ciment. Mordançage, collage à la colle auto et
> composite auto également, recouvert d'un composite photo.
>
> Et si elle va voir ailleurs mon éminent confrère ne saura pas ce qu'est un tenon
> fibré donc je ne risque pas grand chose.

Les mutuelles ont bien raison de vouloir nous mettre sur la paille! Le métier est si facile! Il suffit de mettre une digue et des tenons fibrés pour faire bien!


RépondreCiter
Titof2000

30/07/2013 à 01h12

radich_a_tord écrivait:
-----------------------
> Vu le peu de ciment que j'utilise et sa consistance épaisse je ne me fais pas de
> soucis. Thermocondensation par dessus, et désobturation propre et minutieuse,
> plus une trace de gutta ni de ciment. Mordançage, collage à la colle auto et
> composite auto également, recouvert d'un composite photo.
>
> Et si elle va voir ailleurs mon éminent confrère ne saura pas ce qu'est un tenon
> fibré donc je ne risque pas grand chose.

Les mutuelles ont bien raison de vouloir nous mettre sur la paille! Le métier est si facile! Il suffit de mettre une digue et des tenons fibrés pour faire bien!


Titof2000

30/07/2013 à 01h55

HononLulu écrivait:
-------------------
> Titoff, si tu fais une obturation tenon fibré par la suite en direct ou en
> différé, évite tout simplement l'eugénol et choisis un autre ciment
> d'obturation.

Encore un qui veut apprendre à son père à faire des gosses!
Il y a que des kadors ici!


Bebe 038 nf8eum - Eugenol
danteyeah

30/07/2013 à 06h21

Vas y Radich achève le.....Nan j'rigole....ou pas ;-)
C'est quand même distrayant comme post.
Comme dit GP parfois:
Popcorn!


Grumpy cat ifik8s - Eugenol
radich_a_tord

30/07/2013 à 12h29

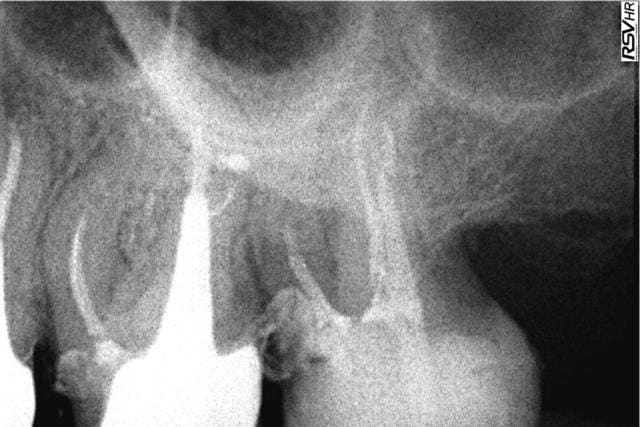
Voilà les radios : l'endo à l'amalgame dans la chambre de mon confrère (On notera aussi la belle endo sur la 6, courbure bien négociée par le confrère. Comment défendre ce type de boulot sur les 2 dents ?) et mon endo+RMIPP+compo à 139,70€.

Oui c'est pas au bout radiologiquement. A 80 ans c'est pas large, ça butait à la C+ 8/10èmes.

Le tenon fibré c'est la zone radioclaire au dessus, noyé dans le composite. On voit qu'il n'y a pas de gutta ni de ciment qui débordent.

22 t9kaxc - Eugenol
11 ozo6xe - Eugenol

Titof2000

30/07/2013 à 13h23

Si tu es d'accord que le 100% en médecine n'existe pas, dans le cas que tu montres, tu risques de passer d'une endo radiologiquement de merde mais exempte de pathologie à une endo radiologiquement meilleure avec une pathologie.
Crois moi si par dessus le marché tu as critiqué le travail du confrère, travail qui devait satisfaire la patiente, personne ne te le pardonnera.

Le but c'est pas de critiquer ton travail. C'est d'essayer de te faire comprendre que tu as tout à perdre à n'être pas confraternel.


olivier

30/07/2013 à 13h38

radich_a_tord écrivait:
-----------------------
> Voilà les radios : l'endo à l'amalgame dans la chambre de mon confrère (On
> notera aussi la belle endo sur la 6, courbure bien négociée par le confrère.
> Comment défendre ce type de boulot sur les 2 dents ?) et mon endo+RMIPP+compo à
> 139,70€.
>
> Oui c'est pas au bout radiologiquement. A 80 ans c'est pas large, ça butait à la
> C+ 8/10èmes.
>
> Le tenon fibré c'est la zone radioclaire au dessus, noyé dans le composite. On
> voit qu'il n'y a pas de gutta ni de ciment qui débordent.



Pris à ton propre piège ....je montre ta première radio sans ton explication on pense que t'as bâclé le travail sans aller à l'apex.C'est ce qu'on t'explique tout au long de ce post. On ne peux juger qu'en ayant toutes les données si tu ne comprends pas cela ne fais pas expert.


Grumpy cat ifik8s - Eugenol
radich_a_tord

30/07/2013 à 13h57

Je savais que mon endo pas au bout aurait du succès !

Obligation de moyens. Relisez mes posts je n'ai jamais prétendu à un taux de succès de 100% (même si je n'ai pas encore eu d'échec endo sur mes patients, comme dit sur un autre fil, ils sont ptet allé ailleurs). Par contre même sans connaître l'historique du cas :

Une endo 100% à la pâte comme sur la 46 de mon cas c'est critiquable, à la fois parce qu'elle est pas au bout, ce qui peut effectivement s'expliquer par les conditions particulières d'un cas donné (calcification, agressions pulpaires successives sans faire l'endo) mais surtout par le choix de la technique et du matériau : obturer à la pâte c'est une perte de chance pour le patient.

Un screw post même chose. C'est le choix du matériau, le caractère actif du screw post vissé qui est critiquable, pas le fait qu'il soit court long, rétentif, etc.

Une couronne débordante, même chose, inexcusable.

Et le fait de faire une endo dans la salive, même au bout, c'est critiquable.

Ce sont des choix au niveau du plan de traitement, et ensuite au niveau de la réalisation, les protocoles d'actes qui se voient sur le résultat, et qui sont critiquables. Pas le fait d'avoir des échecs, ça arrive même avec les meilleures techniques. Par contre dans ces cas là je dors sur mes deux oreilles, si le patient veut aller au carton et lancer une procédure je suis tranquille.


RépondreCiter
DrSophie

30/07/2013 à 16h37

Pour revenir sur le sujet initial, quand je reçois le patient d'un autre confrère en urgences, je le soulage. Si c'est un rescellement je rescelle. Si j'estime que la couronne va se recasser la gueule, j'explique au patient de retourner voir son praticien au plus vite. Mais je ne fais surtout pas de devis.

Idem si je vois des prescriptions farfelues du type birodogyl + paroex pour une pulpite sur une 48, je vérifie que le patient a bien vu un dentiste en urgence et pas un médecin (ce dernier n'ayant pas d'IRM ou de pulparthrol-cavit) et ne pouvant surtout pas faire une ouverture de chambre.

Quand je vois un confrère qui prescrit de l'ibuprofène pour une parodontite apicale suppurée, je conseille au patient de repasser sur du parcétamol avec les antibios adéquats.

Et pour finir le patient qui vient parce que "ses pansements ne tiennent pas" alors qu'il sait que des couronnes sont à faire, je lui explique pourquoi ça ne tiendra pas (va faire tenir du cavit sur une dents sans parois.

La palme revient quand même à mon titulaire qui prend le risque de coter toutes les CCM à ses patients CMU avant même d'entamer les tt canalaires. J'ai eu 2 fois des patients en urgence, et on a vite l'air con quand on voit sur la pano des dents saines.

J'oubliais l'implanto qui m'envoie un courrier pour extraire 3 dents qui ont seulement besoin d'un tt endo, inlay core-couronne, je me suis bien marrée !


joseph23

30/07/2013 à 17h28

Titof2000 écrivait:
-------------------
> HononLulu écrivait:
> -------------------
> > Titoff, si tu fais une obturation tenon fibré par la suite en direct ou en
> > différé, évite tout simplement l'eugénol et choisis un autre ciment
> > d'obturation.
>
> Encore un qui veut apprendre à son père à faire des gosses!
> Il y a que des kadors ici!

bien vu !


joseph23

30/07/2013 à 17h38

Titof2000 écrivait:
-------------------
> joseph23 écrivait:
> ------------------
> > la confraternité : a part sur eugenol je n'en ai pas vu la moindre miette en
> > deux ans, déplorable.
>
> Confraternité sur Eugénol? Tu rigoles? Regarde le Rachid plus haut!
> Il n'y a que des insultes, des gens qui se croient très forts et qui donnent des
> leçons à tout le monde!


Si, il y a beaucoup de confrères sur eugenol je t'assure, certains m'ont bien rendu service.
D'autres genre Honolulu se la racontent et en gonflent plus d'un.
Le mieux est d'en faire abstraction et se concentrer sur les vrais confrères qui aident, comprennent.
Rendre toi-même service dès que tu peux et zapper les péteux et péteuses qui polluent la confraternité.


Titof2000

30/07/2013 à 18h36

joseph23 écrivait:
------------------
> Titof2000 écrivait:
> -------------------
> > joseph23 écrivait:
> > ------------------
> > > la confraternité : a part sur eugenol je n'en ai pas vu la moindre miette en
> > > deux ans, déplorable.
> >
> > Confraternité sur Eugénol? Tu rigoles? Regarde le Rachid plus haut!
> > Il n'y a que des insultes, des gens qui se croient très forts et qui donnent
> des
> > leçons à tout le monde!
>
>
> Si, il y a beaucoup de confrères sur eugenol je t'assure, certains m'ont bien
> rendu service.
> D'autres genre Honolulu se la racontent et en gonflent plus d'un.
> Le mieux est d'en faire abstraction et se concentrer sur les vrais confrères qui
> aident, comprennent.
> Rendre toi-même service dès que tu peux et zapper les péteux et péteuses qui
> polluent la confraternité.


Ça fait plaisir de te lire!


Grumpy cat ifik8s - Eugenol
radich_a_tord

30/07/2013 à 22h48

DrSophie écrivait:
------------------
> Pour revenir sur le sujet initial, quand je reçois le patient d'un autre
> confrère en urgences, je le soulage. Si c'est un rescellement je rescelle. Si
> j'estime que la couronne va se recasser la gueule, j'explique au patient de
> retourner voir son praticien au plus vite. Mais je ne fais surtout pas de devis.
>
> Idem si je vois des prescriptions farfelues du type birodogyl + paroex pour une
> pulpite sur une 48, je vérifie que le patient a bien vu un dentiste en urgence
> et pas un médecin (ce dernier n'ayant pas d'IRM ou de pulparthrol-cavit) et ne
> pouvant surtout pas faire une ouverture de chambre.
>
> Quand je vois un confrère qui prescrit de l'ibuprofène pour une parodontite
> apicale suppurée, je conseille au patient de repasser sur du parcétamol avec les
> antibios adéquats.
>
> Et pour finir le patient qui vient parce que "ses pansements ne tiennent pas"
> alors qu'il sait que des couronnes sont à faire, je lui explique pourquoi ça ne
> tiendra pas (va faire tenir du cavit sur une dents sans parois.

Je fais tout ça comme ça aussi.
Le vrai sujet sympa c'est quand tu vois une vraie merde, avec en plus un beau pipeau du "confrère", que dis tu ?

Dans le genre, j'ai eu ça : patiente avec poche parodontale énorme entre la 6 et 7. Le mec lui avait posé 2 couronnes résine type Unifast sur les inlay core en lui vendant comme définitives. Il y avait un bel éclat de résine coincé en distal avec du ciment de scellement définitif. Je la croyais pas je pensais qu'elle avait planté les derniers RDV non non elle m'a montré sa facture.

Vous dites quoi dans ce cas là les chantres de la confraternité lénifiante ?


> J'oubliais l'implanto qui m'envoie un courrier pour extraire 3 dents qui ont
> seulement besoin d'un tt endo, inlay core-couronne, je me suis bien marrée !

Oula attention tu es limite non confraternelle, tu critiques son plan de traitement !

Cc yxyovz - Eugenol

DrSophie

30/07/2013 à 22h54

J'ai eu le même cas dans un ancien cabinet, pas besoin de la facture puisque j'avais le dossier patient sous les yeux. Bridge de 10 dents en résine vendu comme de la céramique (et vu le prix ça fait mal). Le patient avait déjà vu 2 praticiens différents pour des "éclats" et commençait à trouver bizarre qu'on lui demande si c'était du provisoire.

Je lui ai dit franchement qu'il fallait voir avec le praticien.

Mais le pire c'est que je suis sûre qu'il lui a tout refait mais en le refaisant payer.

Edit : j'ai pas dit "c'est un gros bouseux, il a fait du travail de merde" mais " y a un souci de conception dans le bridge"


Grueavatar nptrc9 - Eugenol
Le Choixpeau magique

31/07/2013 à 01h11

radich_a_tord écrivait:
-----------------------
> Oui c'est pas au bout radiologiquement. A 80 ans c'est pas large, ça butait à la
> C+ 8/10èmes.
>
> Le tenon fibré c'est la zone radioclaire au dessus, noyé dans le composite. On
> voit qu'il n'y a pas de gutta ni de ciment qui débordent.

C'est quoi cette merde ? Qui vous a fait ça ?


Titof2000

31/07/2013 à 01h34

Le Choixpeau magique écrivait:
------------------------------
> radich_a_tord écrivait:
> -----------------------
> > Oui c'est pas au bout radiologiquement. A 80 ans c'est pas large, ça butait à
> la
> > C+ 8/10èmes.
> >
> > Le tenon fibré c'est la zone radioclaire au dessus, noyé dans le composite. On
> > voit qu'il n'y a pas de gutta ni de ciment qui débordent.
>
> C'est quoi cette merde ? Qui vous a fait ça ?

Hehe!


Jazzmaster

04/08/2013 à 16h15

Finalement tout dépend de la signification que l'on donne à la confraternité.
Le patient devrait toujours rester la priorité.
Par conséquent il est vain de critiquer un confrère, je n'ai jamais vu une périodontite apicale guérir après un pamphlet contre le "pourri qui a fait l'endo"...
En même temps la confraternité au dépend du patient, non merci, j'entends par là ne pas agir lorsqu'on voit une erreur (voir une faute) professionnelle, je donne toujours l'information au patient de ce que je vois, les faits parlent d'eux même. Je demande au patient de retourner voir son praticien habituel en lui indiquant que je reste à la disposition de mon confrère pour échanger avec lui de ce que j'ai constaté.

Par contre je ne prends jamais ce que dit le patient sur les confrères précédents comme argent comptant, ça n'est qu'une info lambda sur son état d'esprit.
Puisqu'on est sur les données acquises de la science, il est prouvé depuis des lustres en communication qu'un fait est relaté au mieux à 30% de la "réalité objective" et souvent moins lorsque l'enjeu est personnel. Donc partir du principe qu'un confrère a menti sur les simples dires du patient est une erreur à mon avis.

Lorsqu'un patient me dit dès le départ "je viens parce qu'on m'a dit que vous étiez le meilleur et que j'ai eu pleins de problèmes avec les autres qui étaient vraiment nuls" je réponds très souvent "combien de temps vous me donnez pour être sur la liste des nuls?"
On rigole un coup et ça enlève ce genre d'enjeux malsains, la santé n'est pas une compétition...