Cookie Consent byPrivacyPolicies.comall on four maxillaire ? - Eugenol

all on four maxillaire ?

S2y2o1v7q53ws4r5wy6ou8czrpom - Eugenol
pxav

16/08/2013 à 01h08

Eugenol des fois c'est chiant!

--
xbk
"Si tous ceux qui croient avoir raison n'avaient pas tort, la vérité ne serait pas loin" Dac Pierre


Scan10030 ukikhq - Eugenol
vava

20/08/2013 à 13h30

à force d’avoir un dialogue de sourd c’est sûr !!!!


Pépélaratiche

23/08/2013 à 10h05

Si tu veux éviter les dialogues de sourds évite les réflexions border-line qu on peut mal interpréter alors...et les petits sous entendus narquois aussi...

--
Pp, bon en rien, mauvais en tout ...
Sed Fortuna audaces iuvat ...


Scan10030 ukikhq - Eugenol
vava

23/08/2013 à 13h26

La cavalerie considérait déloyal l’emploi de longue pique par les lignes de fantassins qu’il fallait transpercer. La basale solutionne l’implantation des zones fortement résorbée sans greffes préalable. Cette technique mérite une place dans l’arsenal thérapeutique et tes interventions me laissent plus une odeur de bazar. La proposition de bf est éventuellement une voix à exploiter. La lecture de ce post me laisse plus penser à un manque d’expérience, de formation de gogodanceur et une limitation financière de son patient. L’étalage titanesque de tes performances est davantage informatif sur ton égo que sur l’apport de la technique basale. Bien à toi.


gogodancer

23/08/2013 à 18h31

étant omnipraticien mettant à disposition de mes patients différentes solutions implantaires basiques , j'assume volontiers mes lacunes quand çà devient compliqué . ceci dit , je n'ai rien inventé , et je ne faisais que reprendre les indications de prothèse complète fixe maxillaire de Franck Renouard dans son bouquin "prise de décision en pratique implantaire " , page 99 : " solution implantaire conseillée : considérer l'utilisation de 4 à 8 implants positionnés en fer à cheval ".

comme je l'ai déjà ecrit dans un post précédent , c'est la prise de conscience par le patient du type de prothèse qu'il allait avoir et un budget limité qui est quand même déjà bien au dessus du budget moyen ( de mes patients en tout cas ), qui m'a fait m'interroger sur une solution qui pouvait être acceptable cliniquement et financièrement .


Pépélaratiche

24/08/2013 à 00h52

vava écrivait:
--------------
> La cavalerie considérait déloyal l’emploi de longue pique par les lignes de
> fantassins qu’il fallait transpercer. La basale solutionne l’implantation des
> zones fortement résorbée sans greffes préalable. Cette technique mérite une
> place dans l’arsenal thérapeutique et tes interventions me laissent plus une
> odeur de bazar. La proposition de bf est éventuellement une voix à exploiter. La
> lecture de ce post me laisse plus penser à un manque d’expérience, de formation
> de gogodanceur et une limitation financière de son patient. L’étalage titanesque
> de tes performances est davantage informatif sur ton égo que sur l’apport de la
> technique basale. Bien à toi.

Tu veux sans doute dire ego surdimensionné c est ça ??? Je te rassure de suite : je suis un petit dentiste de campagne , omnipraticien pratiquant l implantologie et je me fous de mon ego... Seul compte pour moi le fait que la basale fonctionne et que cette technique est trop souvent décriée par ceux qui la connaissent le moins...

--
Pp, bon en rien, mauvais en tout ...
Sed Fortuna audaces iuvat ...


Pépélaratiche

24/08/2013 à 00h54

gogodancer écrivait:
--------------------
> étant omnipraticien mettant à disposition de mes patients différentes solutions
> implantaires basiques , j'assume volontiers mes lacunes quand çà devient
> compliqué . ceci dit , je n'ai rien inventé , et je ne faisais que reprendre les
> indications de prothèse complète fixe maxillaire de Franck Renouard dans son
> bouquin "prise de décision en pratique implantaire " , page 99 : " solution
> implantaire conseillée : considérer l'utilisation de 4 à 8 implants positionnés
> en fer à cheval ".
>
> comme je l'ai déjà ecrit dans un post précédent , c'est la prise de conscience
> par le patient du type de prothèse qu'il allait avoir et un budget limité qui
> est quand même déjà bien au dessus du budget moyen ( de mes patients en tout cas
> ), qui m'a fait m'interroger sur une solution qui pouvait être acceptable
> cliniquement et financièrement .


Ce gars là que tu cites c est un champion : il a dégueulé sur la basale ds une revue d omnipratique dentaire et il ne va pas te raconter ce qui lui est arrivé devant les tribunaux suite à sa petite sortie fielleuse...

--
Pp, bon en rien, mauvais en tout ...
Sed Fortuna audaces iuvat ...


Bart simpson etu9x2 - Eugenol
scenicoste

24/08/2013 à 18h24

gogodancer écrivait:
--------------------
> en Fevrier ,j'ai posé 4 implants euroteknika en 15-13-23-25 pour réaliser un
> complet sur barre d'ackerman

Déjà: si tes implants en 15 et 25 ne sont pas angulés à mini 30° et ne font pas mini 13mm, le protocole All on 4 tu oublis parce que mécaniquement ce sera foireux.
Comme initialement le projet était une barre et que pas d'info sur les volumes du patient difficile de t'en dire +.



> donc mon alternative c'est soit all-on-four avec une extension d'une dent de chaque coté.

Si tu respects le protocole, ton arcade est sur 10 dents(pas d'extension).

Je ne rentre pas dans la polémique du basal ou........
4 implants pour du fixe c'est cohérent et bien documenté
Brånemark PI, Svensson B, van Steeberghe D
Ten-year survival rates of fixed prostheses on four or six implants ad modum
Brånemark in full edentulism
Clin Oral Implants Res 1995 Dec 6 (4) 227-31
Entre autre.

Des implants angulés mécaniquement c'est cohérent.
Krekmanov L et al. Tilting of posterior
mandibular and maxillary implants IJOMI 2000; 15:05-414
Entre autre.

Le mix des deux est donc cohérent et bien documenté (Cf pièce jointe) mais il faut le planifier et respecter le protocole.

Bon courage avec ton patient, à bientôt sur le forum



bf

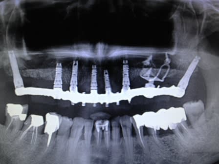
24/08/2013 à 23h16

reprise d'une barre all on five:

au départ all on five réalisé par un confrère, à l'arrivée all on three après per de 2 implants !
repris en basale avec 2 plaques et un axial supplémentaire

027 lpi5r5 - Eugenol
026 i9pqtg - Eugenol

bf

24/08/2013 à 23h21

max sup à réaliser en septembre
basale obligatoire !

055 pa015r - Eugenol

Pépélaratiche

25/08/2013 à 04h29

bf écrivait:
------------
> reprise d'une barre all on five:
>
> au départ all on five réalisé par un confrère, à l'arrivée all on three après
> per de 2 implants !
> repris en basale avec 2 plaques et un axial supplémentaire

MAGNIFIQUE !!!!!!!!!!!

Comme ça vava va plus pouvoir dire que j ai un ego démesuré


--
Pp, bon en rien, mauvais en tout ...
Sed Fortuna audaces iuvat ...


Bart simpson etu9x2 - Eugenol
scenicoste

25/08/2013 à 11h20

bf écrivait:
------------
> reprise d'une barre all on five:

En premier lieu " All on five " ça n'existe pas mais dépose le tu feras du £,$,€,(je parle de protocole standardisé avec les implants postérieurs positionnés suivant une angulation maîtrisée, documenté et reproductible en plus c'est conçu pour du fixe alors avec une barre.......)

Cela sonne plutôt comme une moquerie bouffie de mesquinerie!!!

> au départ all on five réalisé par un confrère, à l'arrivée all on three après per de 2 implants !


1)La position initiale des implants (les 3 qui restent+les 2 que l'on devine) mécaniquement c'est n'IMPORTE QUOI, il aurait pu en mettre 2 de plus si c'est mal pensé, le Nb d'implants on s'en fou.

2)C'est pas un probléme de technique mais de praticien. Outre la position des implants, prolongement de la barre = cantilever....ect la planif (si elle a été faite) est une honte.

> repris en basale avec 2 plaques et un axial supplémentaire.

9 implants vis max sup + 5 implants vis et 2 plaques qui chatouillent l'ATM pour une reconstruction mandibulaire cela fait quel budget pour ce patient ???




Bart simpson etu9x2 - Eugenol
scenicoste

25/08/2013 à 11h25

bf écrivait:
------------
> max sup à réaliser en septembre
> basale obligatoire !

Non pas obligatoire, 4 Zygomatiques feraient tout aussi bien l'affaire et la prothèse peut même être vissée pour faciliter la maintenance.


Img 5404 pmlzfi - Eugenol
Chicot44

25/08/2013 à 12h06

Maintenant si même sur les cas cliniques on s'envoie des fleurs, va y avoir un problème d'approvisionnement chez les pépiniériste...

J' y connaît rien en basal... mais je râle assez contre ceux qui connaissent rien à l'implanto est qui débinent le truc, ( bon c'est sûr y en a de moins en moins ) pour être au minimum ouvert et attentif. Cela serait cool si c'était plus cool !!!

On sait tous que malgré les protocoles établis ,de planification, de forage, de chirurgie, et de pose , la chirurgie implantaire est extrêmement praticien dépendant, que chaque fois on s'adapte à une situation qui n'est pas tout à fait celle prévue. On est jamais à l'abri d'un succès ni d'un échec. Les études sont là pour fixer un cadre mais rien qu' à retourner 10 ans en arrière, on voit bien que le cadre est bien plus que mobile. Alors un peu de respect pour le travail de chacun et un peu d'écoute sans distorsion cognitive se serait vachement bien. Moi ce que je vois, c'est des praticiens qui se bagarrent pour améliorer la vie de leur patient du mieux qu'il le peuvent avec des outils qu'ils maîtrisent et rien que pour ça merci à TOUS....


bf

25/08/2013 à 18h35

Pépélaratiche écrivait:
-----------------------
>
> MAGNIFIQUE !!!!!!!!!!!
>
> Comme ça vava va plus pouvoir dire que j ai un ego démesuré
>
>
> --
> Pp, bon en rien, mauvais en tout ...
> Sed Fortuna audaces iuvat ...

MERCI !!
un autre cas max sup :
4 axiaux ant. un latéral avec légère effraction sinusienne (fractal lift ) 2 ptérygoidiens
on parle le même language ?

Photo bnn0ln - Eugenol

bf

25/08/2013 à 18h39

scenicoste écrivait:
--------------------
>
>
> 9 implants vis max sup + 5 implants vis et 2 plaques qui chatouillent l'ATM
>

les plaques ne chatouillent pas l'ATM comme tu le dis , tu oublies la déformation de la pano , c'est là que tu vois qu'en post toutes les mesures sont fausses tellement il y a de déformation !!


bf

25/08/2013 à 18h41

scenicoste écrivait:
--------------------
> bf écrivait:
> ------------
> > max sup à réaliser en septembre
> > basale obligatoire !
>
> Non pas obligatoire, 4 Zygomatiques feraient tout aussi bien l'affaire et la
> prothèse peut même être vissée pour faciliter la maintenance.

4 zygomatiques !!!?????
moi je te parle de 2 ptérygoidiens plus le reste

la prothèse est OBLIGATOIREMENT vissée , vissage à plat , bagues de collage sinon tu ne peux même pas penser une seconde prendre au moins l'empreinte !!


S2y2o1v7q53ws4r5wy6ou8czrpom - Eugenol
pxav

25/08/2013 à 22h01

Un jour, je vais essayer la basale, pour ne pas mourir idiot...mais avec un coach, car la formation doit nécessiter pas mal de recul.

--
xbk
"Si tous ceux qui croient avoir raison n'avaient pas tort, la vérité ne serait pas loin" Dac Pierre


bf

25/08/2013 à 22h42

oui , essaies cela vaut le coup !
surtout cela t'ouvres un champ de possibilités avec tous les jours des nouveaux cas


Pépélaratiche

26/08/2013 à 00h11

pxav écrivait:
--------------
> Un jour, je vais essayer la basale, pour ne pas mourir idiot...mais avec un
> coach, car la formation doit nécessiter pas mal de recul.
>
> --
> xbk
> "Si tous ceux qui croient avoir raison n'avaient pas tort, la vérité ne
> serait pas loin" Dac Pierre

Pxav,

je te le dis depuis longtemps : ce que tu fais en expansion c est beau mais tu pourrais facilement t en passer et en plus tu pourrais traiter des cas très résorbés où l expansion est inopérante

Oui tu as raison : un coach ou en tout cas voir des interventions de basale avant de te lancer mais un coach en direct c est le mieux


--
Pp, bon en rien, mauvais en tout ...
Sed Fortuna audaces iuvat ...


Smile beach jgh0a1 - Eugenol
Céramik

26/08/2013 à 00h54


Va falloir que j'aille faire un tour chez les poseurs de disk ;-)
Peut-être chez Alapex avec Pp ?

Il bosse dans quel coin "BF" ?

Ces implants sont pas dispo chez moi, mais pour voir en live, je dis pas non .


Autre question, combien d'€ ces arcades avec 6 implants, 2 plaques et disks , etc pour le patient ?




--
Céramik


bf

20/09/2013 à 20h44

dans la loire .......

Avt oies90 - Eugenol
Apres oqolcm - Eugenol
Bridge ccm ewiyre - Eugenol

Photo pluton1b h9n4ea - Eugenol
pluton

20/09/2013 à 21h30

bf écrivait:
------------
> dans la loire .......

t'es pas très loin de chez moi (département voisin...)
j'aimerais bien voir un jour une intervention en basale...


Pépélaratiche

25/09/2013 à 02h59

pluton écrivait:
----------------
> bf écrivait:
> ------------
> > dans la loire .......
>
> t'es pas très loin de chez moi (département voisin...)
> j'aimerais bien voir un jour une intervention en basale...

Ce sera certes plus près que chez Pp LOL

Super tes cas bf :-))))))))))))


--
Pp, bon en rien, mauvais en tout ...
Sed Fortuna audaces iuvat ...


Logocolornotext kiwlk1 - Eugenol
Clio

25/09/2013 à 14h20

Salut Pp et Bf,
Quels sont vos arguments pour éviter quasi systématiquement les soulèves de sinus et préférer des implants angulés pterygoidiens, voire zygomatiques?
Sincèrement please;-)


123...