Cookie Consent byPrivacyPolicies.comall on four maxillaire ? - Eugenol

all on four maxillaire ?

Pépélaratiche

25/09/2013 à 22h35

Ce ne sont pas nos arguments en premier qui compte mais bien ceux des patients qui intuitivement ne veulent pas se faire farcir les sinus

Qd nous avons des échecs avec les disks ils sont classés comme échecs d implants... Les greffeurs eux réalisent d abord leur greffe et si ça foire ce n est pas classé ds les échecs implantaires donc souvent passé sous silence et pas classé du tout...

Bref 2 à 3% d ennuis avec du non greffé pour 20 % reconnus sous le manteau ( voire 30 encore plus sous le manteau )par les greffeurs à condition de le mettre un flingue sur la tempe

Pour faire bref, peut que chez certains sujets jeunes la reconstruction par greffe ou comblement pourrait avoir un sens soit avant 30 ans... Au delà sur des capitaux osseux réduit il faut se poser la question greffer ou pas greffer

Les patients peuvent très bien en basale retrouver un grand confort en une seule intervention d une journée et avoir des dents fixes sous 48 à 72 h alors pourquoi nous en priver et surtout pourquoi les en priver ??? Pour faire un traitement soi disant plus idéal ??? ça reste à prouver

Ceci dit la basale nécessite sans doute une rigueur encore plus grande que les greffes car on shoote en une fois et on est svt sans filet :-)))))))))

--
Pp, bon en rien, mauvais en tout ...
Sed Fortuna audaces iuvat ...


bf

25/09/2013 à 23h10

à ces arguments tu peux ajouter:
qualité de l'os natif/greffe
verrouillage post de la reconstruction chose impossible dans les all on...
volume et forme plate des fonds sinusiens nécessitant une quantité importante de biomat
si j'avais à subir ce type de ttt , choix personnel de ne pas accepter ces différents produits certes controlés mais d'origines diverses et variées

la basale outre la mise en charge immédiate peut aussi se gérer en ostéointégration classique , ex: ce matin petit coup de mou de la patiente , intervention interrompue à l'hémie arcade et reprise ultérieurement

Copie de 398 mqia6r - Eugenol
Copie de 638 qxtxo7 - Eugenol
Copie de 643 sb8onb - Eugenol
Copie de 673 f0ekor - Eugenol

Logo vuaztn - Eugenol
mac

26/09/2013 à 00h16

Pépélaratiche écrivait:
-----------------------
20 % reconnus sous le manteau (
> voire 30 encore plus sous le manteau )par les greffeurs à condition de le mettre
> un flingue sur la tempe


c'est quoi tes sources?


Pépélaratiche

26/09/2013 à 00h55

Un prof de chir maxillo-faciale qui pose du branemark ... qui a bien voulu nous l avouer en conférence mais ce ne serait sans doute pas le même discours devant des patients

--
Pp, bon en rien, mauvais en tout ...
Sed Fortuna audaces iuvat ...


Zorglub

26/09/2013 à 01h01

Salut PP, on a encore fait du lourd hier ;-) et on s'est encore demandé pourquoi faire traîner les patients des mois quand on peut régler leur problème en une petite semaine...


Pépélaratiche

26/09/2013 à 01h04

Zorglub écrivait:
-----------------
> Salut PP, on a encore fait du lourd hier ;-) et on s'est encore demandé pourquoi
> faire traîner les patients des mois quand on peut régler le problème des
> patients en une petite semaine...

Affirmatif à 1000 %

:-))))))))


--
Pp, bon en rien, mauvais en tout ...
Sed Fortuna audaces iuvat ...


Logo vuaztn - Eugenol
mac

26/09/2013 à 01h20

Pépélaratiche écrivait:
-----------------------
> Un prof de chir maxillo-faciale qui pose du branemark ... qui a bien voulu nous
> l avouer en conférence mais ce ne serait sans doute pas le même discours devant
> des patients
>
> --

Valeur scientifique = 0


Logocolornotext kiwlk1 - Eugenol
Clio

26/09/2013 à 01h21

-------------
> Pépélaratiche écrivait:
> -----------------------
> 20 % reconnus sous le manteau (
> > voire 30 encore plus sous le manteau )par les greffeurs à condition de le
> mettre
> > un flingue sur la tempe
>
>
Peut être aura t'on l'occasion de se rencontrer un jour ou l'autre .
Tu pourras me mettre un kalaschnikov sur la tête .
Je n'avouerais rien du tout!:-)))
Je peux t'assurer que j'en fais pas mal de sinus et je suis très très en dessous de tes %...
Tu reproches assez souvent aux gens de tenir un discours négatif sur la basale sans rien y connaître, tu fais exactement la même chose toi pour les soulèves de sinus.


Pépélaratiche

26/09/2013 à 10h32

mac écrivait:
-------------
> Pépélaratiche écrivait:
> -----------------------
> > Un prof de chir maxillo-faciale qui pose du branemark ... qui a bien voulu
> nous
> > l avouer en conférence mais ce ne serait sans doute pas le même discours
> devant
> > des patients
> >
> > --
>
> Valeur scientifique = 0

Ben tu vois ça perso je m en fous pcq il nous présenté de beaux tableaux avec des chiffres et les différents types de problèmes donc tes fameuses stats qui sont si divines

Moi 30 % d emmerdes ça me suffit pour éviter tant que je peux ça


--
Pp, bon en rien, mauvais en tout ...
Sed Fortuna audaces iuvat ...


Pépélaratiche

26/09/2013 à 10h34

Clio écrivait:
--------------
> -------------
> > Pépélaratiche écrivait:
> > -----------------------
> > 20 % reconnus sous le manteau (
> > > voire 30 encore plus sous le manteau )par les greffeurs à condition de le
> > mettre
> > > un flingue sur la tempe
> >
> >
> Peut être aura t'on l'occasion de se rencontrer un jour ou l'autre .
> Tu pourras me mettre un kalaschnikov sur la tête .
> Je n'avouerais rien du tout!:-)))
> Je peux t'assurer que j'en fais pas mal de sinus et je suis très très en dessous
> de tes %...
> Tu reproches assez souvent aux gens de tenir un discours négatif sur la basale
> sans rien y connaître, tu fais exactement la même chose toi pour les soulèves de
> sinus.

Autant pour moi...mais de tte façon si le souleveur de sinus est honnête et explique à son patient qu il y a moyen de faire sans ça, aussi bizarre que ça puisse paraître le patient ne va pas te demander le soulever de sinus donc...


--
Pp, bon en rien, mauvais en tout ...
Sed Fortuna audaces iuvat ...


Logo vuaztn - Eugenol
mac

26/09/2013 à 10h40

Pépélaratiche écrivait:
-----------------------

>
> Moi 30 % d emmerdes ça me suffit pour éviter tant que je peux ça
>
>


que veux tu dire par emmerdes?

c'est quoi les complications?


Logocolornotext kiwlk1 - Eugenol
Clio

26/09/2013 à 11h04

bf écrivait
-----------
>si j'avais à subir ce type de ttt , choix personnel de ne pas accepter ces différents produits certes controlés mais d'origines diverses et variées écrivait

Tout à fait , au début comme à la fin ,c'est le patient qui choisit de venir te voir ou pas, d'accepter ton plan de traitement ou pas.
Donc je suppose que, contrairement à Pépé tu n'utilises jamais de nanobone ou autre substitut d'origine "diverse et variée" ?


Pépélaratiche écrivait:
-----------------------
> Ce ne sont pas nos arguments en premier qui compte mais bien ceux des patients
> qui intuitivement ne veulent pas se faire farcir les sinus

C'et sur que dit comme ça, ça donne pas envie.
Encore une fois, quand on à l'habitude d'en faire et que l'on pose les bonnes indications ( comme tout quoi!), cet acte est rapide ( 20 mn en moyenne) , avec peu ou pas de suites et un taux de succès excellent, que tu le crois ou pas.
L'honnêteté du "souleveur" qui doit signaler que d'autres techniquesexistent, va de pair avec celle du "basaliste" qui ne doit pas noircir exagérément le tableau. C'est comme pour tout, l'extrémisme c'est jamais bon

> Qd nous avons des échecs avec les disks ils sont classés comme échecs d
> implants... Les greffeurs eux réalisent d abord leur greffe et si ça foire ce n
> est pas classé ds les échecs implantaires donc souvent passé sous silence et pas
> classé du tout...

Ah bon? il existe pleins de revues de biblio étudiant celà me semble t'il.

> Bref 2 à 3% d ennuis avec du non greffé
ça c'est sur ou sous le manteau? ;-)))

> Pour faire bref, peut que chez certains sujets jeunes la reconstruction par
> greffe ou comblement pourrait avoir un sens soit avant 30 ans... Au delà sur des
> capitaux osseux réduit il faut se poser la question greffer ou pas greffer

Comme toujours!!!!

> Les patients peuvent très bien en basale retrouver un grand confort en une seule
> intervention d une journée et avoir des dents fixes sous 48 à 72 h alors
> pourquoi nous en priver et surtout pourquoi les en priver ??? Pour faire un
> traitement soi disant plus idéal ??? ça reste à prouver

Tu as raison
>
> Ceci dit la basale nécessite sans doute une rigueur encore plus grande que les
> greffes car on shoote en une fois et on est svt sans filet :-)))))))))

ça je veux bien te croire...


bf

26/09/2013 à 11h35

Clio écrivait:
--------------
> Donc je suppose que, contrairement à Pépé tu n'utilises jamais de nanobone ou
> autre substitut d'origine "diverse et variée" ?

si mais les fois ou j'en utilise ce sont des biomat synthétiques


maxlename

28/09/2013 à 22h37

Bonjour
tout a fait d accord, un all on four chez un jeune ( 45 ANS) , c est risqué
quel morphotype?
quelles dimensions pour les implants antérieurs?
quelle classe d'occlusion?
mais c est peu envisageable.
greffe et all on 6


Bart simpson etu9x2 - Eugenol
scenicoste

29/09/2013 à 10h04

maxlename écrivait:
-------------------
> Bonjour
> tout a fait d accord, un all on four chez un jeune ( 45 ANS) , c est risqué

Et ce n'est pas l'indication de ce protocole, c'est surtout cela le problème, comme toutes les techniques, si l'indication est bien posée, que l'analyse globale du cas est cohérente pas de soucis.
Si on pousse les limites des protocoles il faut évidement l'adhésion et l'accord du patient.

Trop facile de faire hors des sentiers explorés (donc documentés) et de dire (souvent pour un problème d’ego)par la suite que cela ne fonctionne pas, que c'est risqué ou pas fiable.

> quel morphotype?
> quelles dimensions pour les implants antérieurs?
> quelle classe d'occlusion?
> mais c est peu envisageable.
> greffe et all on 6

si ton patient a des dents naturelles en antagoniste (proprioception), ne bruxe pas, que tu fais une armature usinée (passivité assurée).............................. bref que tu conçois ton cas IL N'Y A AUCUN RISQUES.



Humator t9r5wy - Eugenol
humator

29/09/2013 à 12h42

scenicoste, autant d'assurance pour une telle affirmation, tu dois avoir un sacré recul! sympa de nous faire partager tes expériences cliniques, ça fait plaisir d'avoir des prat qui touchent sur eugenol, merci

--
N.Hum


maxlename

29/09/2013 à 17h50

Bonjour
tout a fait d accord, un all on four chez un jeune ( 45 ANS) , c est risqué
quel morphotype?
quelles dimensions pour les implants antérieurs?
quelle classe d'occlusion?
mais c est peu envisageable.
greffe et all on 6


maxlename

29/09/2013 à 17h51

Bonjour
tout a fait d accord, un all on four chez un jeune ( 45 ANS) , c est risqué
quel morphotype?
quelles dimensions pour les implants antérieurs?
quelle classe d'occlusion?
mais c est peu envisageable.
greffe et all on 6


Pépélaratiche

30/09/2013 à 02h30

All on 4 ou all on 6 ça fait tjs pas bcp d implants

Ne me dites que je suis oiseau de mauvais augure ou ours mal léché mais j ai eu l occaz de voir de beaux all on 6 venant de la fac tout proche...si ces patients viennent me voir svt c est qu ils ont des problèmes dont le principal n est autre que la surcharge mécanique avec svt douleur et/ou perte d un implant distal car svt là ils posent du court et du gros diamètre, idéal pour avoir une belle lyse osseuse sur ce dernier

Que ce soit pour le all on 4 ou le all on 6 la sanction est la même : qd vous perdez un implant vous voyez tout le travail se casser la figure

Vous voyez que ds tout mes cas de basale, je pose bcp et stt je cherche systématiquement des ancrages POSTERIEURS

--
Pp, bon en rien, mauvais en tout ...
Sed Fortuna audaces iuvat ...


Logo vuaztn - Eugenol
mac

30/09/2013 à 09h18

Pépélaratiche écrivait:
-----------------------
> All on 4 ou all on 6 ça fait tjs pas bcp d implants
>
> Ne me dites que je suis oiseau de mauvais augure ou ours mal léché mais j ai eu
> l occaz de voir de beaux all on 6 venant de la fac tout proche..


tu nous postes les radios?


Pépélaratiche

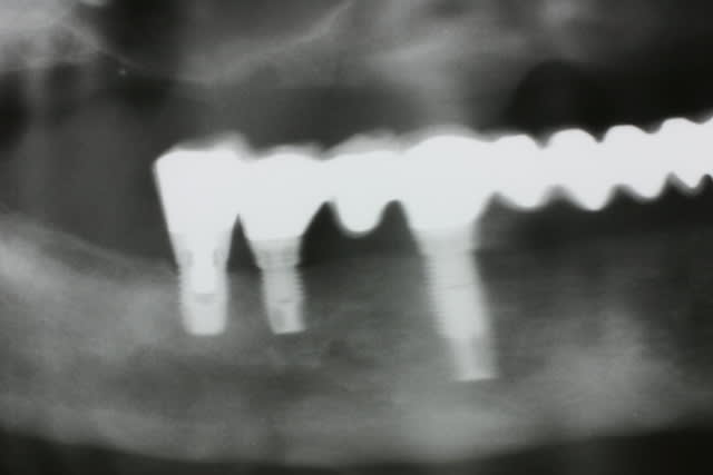
30/09/2013 à 11h00

Radiologiquement ça pourrait paraître ok sauf que

1. douleur au niveau des implants distaux stt le 46 gros diamètre court
2. ça jute déjà un peu autour des implants
3. et pourtant un antagoniste amovible réputé peu puissant

Tu vois pourquoi je veux de all on 4 ou 6

En plus je vois bien passer les emmerdes aussi au labo où ils me parlent des merveilles exécutées ds ces conditions

--
Pp, bon en rien, mauvais en tout ...
Sed Fortuna audaces iuvat ...

Img 3369 aq5eir - Eugenol
Img 3370 dgaejj - Eugenol
Img 3371 vc5xos - Eugenol
Img 3368 sr2xhd - Eugenol

Logo vuaztn - Eugenol
mac

30/09/2013 à 11h52

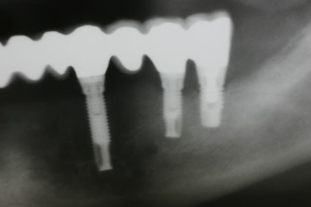
on parlait du maxillaire.


Pépélaratiche

30/09/2013 à 12h04

Certes oui mais c est le premier beau all on 6 sur lequel je suis retombé ds le PC

--
Pp, bon en rien, mauvais en tout ...
Sed Fortuna audaces iuvat ...


Logo vuaztn - Eugenol
mac

30/09/2013 à 12h24

oui mais on ne voit rien sur ta radio, il faudrait au minimum des retros et quel rapport avec le nombre d'implant, y en aurait 2 en plus ça changerait quoi?


Pépélaratiche

30/09/2013 à 13h44

mac écrivait:
-------------
> oui mais on ne voit rien sur ta radio, il faudrait au minimum des retros et quel
> rapport avec le nombre d'implant, y en aurait 2 en plus ça changerait quoi?

1. ça changerait que l effort mécanique porté par unité d implant serait plus faible et donc que chaque implant entrait moins en souffrance

2. ça changerait sans doute par contre rien au fait que les distaux sont court set de gros diamètre et qu en général sauf à avoir un os très large les implants de gros diamètre se comportent pas très bien


--
Pp, bon en rien, mauvais en tout ...
Sed Fortuna audaces iuvat ...