Cookie Consent byPrivacyPolicies.comcas multidisciplinaire... - Eugenol
Photo pluton1b h9n4ea - Eugenol
pluton

06/08/2013 à 12h37

et si, pour changer de la morosité actuelle du forum on se torturait un peu les méninges avec ce cas???

je voulais vous le faire tout fini cet automne, mais à force d'entendre grincer des dents les nonoliens vont finir par fuir le forum si on agrémente pas avec quelques cas cliniques...

donc:
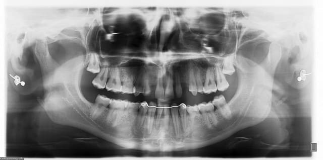
-patiente 22 ans
-10 agénésies (15, 13, 12, 23, 38, 35, 31, 41, 45, 48)
-ODF réalisé par mon père à son adolescence pour "limiter" au tant que faire se peut les préjudices esthétiques...
-53 encore présente mais en phase terminale
-microdonties
-demande esthétique pour le secteur antérieur supérieur pour le moment...

à vos avis...;-) je posterai régulièrement des pièces complémentaires pour vous éclairer...vous montrer ce que j'ai fait, et ce que je compte faire...;-))

Multi djjweu - Eugenol

olivier

06/08/2013 à 12h47

pluton écrivait:
----------------
> et si, pour changer de la morosité actuelle du forum on se torturait un peu les
> méninges avec ce cas???
>
> je voulais vous le faire tout fini cet automne, mais à force d'entendre grincer
> des dents les nonoliens vont finir par fuir le forum si on agrémente pas avec
> quelques cas cliniques...
>
> donc:
> -patiente 22 ans
> -10 agénésies (15, 13, 12, 23, 38, 35, 31, 41, 45, 48)
> -ODF réalisé par mon père à son adolescence pour "limiter" au tant que faire se
> peut les préjudices esthétiques...
> -53 encore présente mais en phase terminale
> -microdonties
> -demande esthétique pour le secteur antérieur supérieur pour le moment...
>
> à vos avis...;-) je posterai régulièrement des pièces complémentaires pour vous

> éclairer...vous montrer ce que j'ai fait, et ce que je compte faire...;-))
>


"first....Is she bankable ?" Ken Beecham NYCU 2005


Images jm2g2g - Eugenol
dr_0le

06/08/2013 à 12h49

jolie la pano.. quelle marque / modèle?
=)

des photos? occlusion?


Photo pluton1b h9n4ea - Eugenol
pluton

06/08/2013 à 12h52

pano instrumentaruim OP 200D

je posterai un peu plus tard les photos de moulages, scan et repro plastique du scan...;-)


1309531 ours brun n5iukf - Eugenol
seespan

06/08/2013 à 12h59

Moulage en vue occlusal se serait sympa histoire que l'on est une idee du niveau d'os dans la dimension transversal

--
หมอจัดฟัน


Photo pluton1b h9n4ea - Eugenol
pluton

06/08/2013 à 13h21

bon, photos des moulages...vites fait avec un petit apn...la flemme de sortir le reflex...;-)

Imgp0002 xg6bak - Eugenol
Imgp0003 kuzfh3 - Eugenol
Imgp0004 s9zrkq - Eugenol
Imgp0005 tsdovt - Eugenol
Imgp0006 jvyeoa - Eugenol
Imgp0007 db673r - Eugenol

Mario ycg44a - Eugenol
Mario180

06/08/2013 à 13h33

pluton écrivait:
----------------

> -10 agénésies (15, 13, 12, 23, 38, 35, 31, 41, 45, 48)

un cas bien de chez toi...

Il semble qu'il y ait de la matière pour bosser. Sympa, ça donne envie de se mettre à l'ortho pour gérer l'ensemble.


Photo pluton1b h9n4ea - Eugenol
pluton

06/08/2013 à 14h05

Mario180 écrivait:
------------------

> un cas bien de chez toi...

ouaip....et je viens de récupérer un gamin de 13 ans avec autant d'agénésies....Ortho cet automne....et puis on verra après 21 ans....

pour seespan, les moulages sont trompeurs dans le volume dispo...cette patiente est un modèle miniature au niveau du volume des maxillaires et des dents!!!


Images jm2g2g - Eugenol
dr_0le

06/08/2013 à 15h11

extraire les dents de lait et stellite..
c'est super bien remboursé !


Photo pluton1b h9n4ea - Eugenol
pluton

06/08/2013 à 15h31

dr_Ole....c'est pas vraiment l'option choisie...22ans, elle veut du fixe, pas un râtelier à poser dans un gobelet...imagine la tête de son petit copain...

la 55 est solide et certainement conservable encore quelques années, tout comme la 75 et la 85...on a le temps de gérer çà par la suite...

quand à tout passer au taille crayon, avec des dents saines et aussi minuscules, pas vraiment envie ni dans le ton des données actuelles tu ne crois pas?...en fait le problème est de pouvoir remplacer d'une manière élégante la 12/13 et 23

problèmes: pas de dents définitives donc hypodéveloppement des structures osseuses (je posterai les coupes scan et les photos du modèle résine), petite récidive ortho de 22 donc pas assez de place pour une 23 avec un volume, une anatomie convenable, et pas assez de place pour 2 implants en 12/13
la supraclusion et l'aménagement passe donc forcément par une phase ortho...


1309531 ours brun n5iukf - Eugenol
seespan

06/08/2013 à 15h49

. Extraction de 53 14 en position de 12 (suivit de corronoplastiele mouvement permet de libérer la place pour un implant en 13 le site s'aura idéal puisque la distalisation de l 14 aura crée de l'os.

Mésialisation de 24 en position de 23 et coronnaplastie, la deux option :
distalisation de 25, 26 et 27
Pose d'un implant en place de 24

Egression de 22 pour ramener la collet ginvival a un niveau acceptable, dévitalisation de 22 et réalisation d'une couronne. d
Désavantage on dévitalise
Avantage on recréer un volume osseux dans cette zone et on obtient un rapport couronne racine plus favorable quaud départe.

Variante extraction de 22 et tu mésialise tout le secteur 2, sa prend du temps mais pas d'implant et reconstruction du volume osseux.

PS : la supraclusie est due a une mauvaise position des incisive inf ou une égression des sup ?

Je pencherais pour une mauvaise position des inf, si on traite se cas par intrusion des incisive sup alors que leur position en rapport a la lévre inférieure sont correcte on va créer une ligne de sourire basse. Avec lors du sourire un découvert peut important des sup et les insicive inf trop visible.

J'ai un très bonne article publié dans AAO ou ils ont fait cette connerie.
Ils ont réglé la supraclusion mais a 14 ans le patient avait un sourire limite de 70 ans.
--
หมอจัดฟัน


Img 5404 pmlzfi - Eugenol
Chicot44

06/08/2013 à 16h12

1 : ttt orthodontique de réalignement notamment pour repositionner la 22, je ferai un traitement invisalign ce qui permettrai aussi de diminuer l'urgence esthétique pendant la durée du traitement.
2 : gingivoplastie pour "allonger les 2 centrales"
en effet elles me semblent un peu courte mais y a pas de photos
3 : 2 solutions prothétiques qui dépendent de l'aspect financier et des volumes osseux au niveau des secteurs édentés...> bridge collé ou 1 implant par dent manquante...


"l'expérience est une lanterne qui éclaire le chemin parcouru"


1309531 ours brun n5iukf - Eugenol
seespan

06/08/2013 à 16h18


Invisalign sur ce cas ? perso je tenterais pas, je sens le plantage assuré.
Enfin plantage, c'est a dire que la patient va devoir repasser en fixe.

La vue les espaces et le besoin de permutation il faut que tu puisse faire des translation sur des distances relativement importante et avec un bon contrôle de torque. Invisalign est faible sur chacun de ces deux points.
--
หมอจัดฟัน


Photo pluton1b h9n4ea - Eugenol
pluton

06/08/2013 à 16h26

Chicot44 écrivait:
------------------
> 1 : ttt orthodontique de réalignement notamment pour repositionner la 22, je
> ferai un traitement invisalign ce qui permettrai aussi de diminuer l'urgence
> esthétique pendant la durée du traitement.

trop long avec un invisalign, repositionner 22 oui, de même que traiter la supra due à l'égression de 11, 21 et 22

> 2 : gingivoplastie pour "allonger les 2 centrales"
> en effet elles me semblent un peu courte mais y a pas de photos
la phase ortho va arranger çà, de même que la première phase de chir...bein oui, vous me connaissez, il y aura quand même quelques clous...;-)

> 3 : 2 solutions prothétiques qui dépendent de l'aspect financier et des volumes
> osseux au niveau des secteurs édentés...> bridge collé ou 1 implant par dent
> manquante...

le bridge collé était une solution possible, mais pas celle retenue
1 implant/dent, impossible pour 12/13...on à 10mm et vestibuler 11/21/22 pour augmenter l'espace dispo n'est amha pas une bonne idée...
j'aime pas d'habitude faire çà mais il y aura 2 implants en 13 et 23 avec une couronne en extension pour la 12 (la 22 pour info fait 4mm en MD....donc anatomie proche d'une dent riziforme)


Img 5404 pmlzfi - Eugenol
Chicot44

06/08/2013 à 16h33

Je m'incline devant l'avis de l'ortho ... par contre sauf demande expresse de la patiente je touche pas à la supracclusion...
L'essentiel est de pouvoir mettre 2 implants en 12 et 13 ...
je touche pas à la 55 qui attendra bien ... sauf coronoplastie pour gagner un peu de place... bien sur je garde la 52 jusqu'à la phase implanto si c'est le chemin choisit...
Je pense que seespan sera d'accord avec moi mais le traitement ortho peut être long car il faudrait d'abord fermer les espaces puis les ré-ouvrir pour créer le volume osseux implantaire sans passer par des greffes...
C'est pour cela que l'idée d'invisalign était séduisante dans mon esprit mais si seespan dit " y a pas bon ,c'est que y a pas bon"
c'est vrai pluton ça change de l'avenant n°3 et de la Charte ...Merci...


Img 5404 pmlzfi - Eugenol
Chicot44

06/08/2013 à 16h38

pluton écrivait:
----------------

> le bridge collé était une solution possible, mais pas celle retenue
> 1 implant/dent, impossible pour 12/13...on à 10mm et vestibuler 11/21/22 pour
> augmenter l'espace dispo n'est amha pas une bonne idée...
> j'aime pas d'habitude faire çà mais il y aura 2 implants en 13 et 23 avec une
> couronne en extension pour la 12 (la 22 pour info fait 4mm en MD....donc
> anatomie proche d'une dent riziforme)


Evidemment, je n'avais pas vraiment les mesures , l'extension marche très bien en implanto la difficulté sera d'obtenir une papille Mais la encore manque des photos pour ligne du sourire et esthétique de la supracclusion


Img 5404 pmlzfi - Eugenol
Chicot44

06/08/2013 à 16h38

pluton écrivait:
----------------

> le bridge collé était une solution possible, mais pas celle retenue
> 1 implant/dent, impossible pour 12/13...on à 10mm et vestibuler 11/21/22 pour
> augmenter l'espace dispo n'est amha pas une bonne idée...
> j'aime pas d'habitude faire çà mais il y aura 2 implants en 13 et 23 avec une
> couronne en extension pour la 12 (la 22 pour info fait 4mm en MD....donc
> anatomie proche d'une dent riziforme)


Evidemment, je n'avais pas vraiment les mesures , l'extension marche très bien en implanto la difficulté sera d'obtenir une papille Mais la encore manque des photos pour ligne du sourire et esthétique de la supracclusion


Photo pluton1b h9n4ea - Eugenol
pluton

06/08/2013 à 16h49

comme je l'ai dit poser 2 implants pour 12 et 13 est impossible même en utilisant des implants de 3.2mm de diamètre (1.5+3.2+3+3.2+1.5=12.4mm et on a 10mm donc implant en 13 et 12 en extension...assez raisonnable je pense vu qu'il faudra la faire de 4mm pour la symétrique avec la 22...et que la proposition 2 implants amha aurait conduit à une "énorme" 12 par rapport à la 22 existante...)

réaliser de grands déplacements comme évoqués par seespan, vu les longueurs des racines, pas trop envie non plus sauf à vouloir préparer le terrain pour une implanto totale "à la Pépé"...

reste à préparer le terrain, vu le volume osseux faiblard...vous aurez donc tous vite compris....=> greffe...

puis ODF pour l'alignement et une petite amélioration de la supra le temps de la cicat des greffes en conservant la 53


1309531 ours brun n5iukf - Eugenol
seespan

06/08/2013 à 17h12

Grand déplacement ?

Le déplacement de 14 en position de 12 ne me parait pas gigantesque surtout que la racine est déjà torqué dans la bonne direction.
Idem pour le déplacement de 24 en position de 23. Les dents sont petite mais la distance a parcourir est proportionnelle

Ensuite il faut voir ce que ça donnerait au niveau esthétique.

PS: Et pour l'extrusion de 22 histoire de recreer un volume osseux et gingival correct, suivit de endo couronne pour redonner une anatomie correcte a 22 et se retrouver avec un rapport couronne racine favorable ?

@ chico

Je suis un ETUDIANT en ortho, un traitement ortho ça prend du temps donc ne pas prendre mes post comme des avis d'expert. J'ai très peut d’expérience clinique et encore moins de recule.

A l'inverse Pluton a un lourd passif dans le traitement pluridiscplinaire mais omnipraticien des agénésie.

--
หมอจัดฟัน


Photo pluton1b h9n4ea - Eugenol
pluton

06/08/2013 à 17h23

ok seespan si tu veux...mais là on repart pour 18 mois minimum d'ODF et là elle n'aurait jamais voulu...quand à l'esthétique de cette solution...bof...
faut faire simple et plus rapide...
petit nivellement en baguant de 55 à 25 avec petit ressort en titane entre la 24 et la 22 pour faire la place de la future 23...et çà suffit...;-)
elle n'aura jamais le sourire d'une pop star, elle le sait, mais elle veut quand même quelque chose de joli...
faut pas oublier que dans le sourire l'essentiel de l'esthétique se situe dans cette zone de 13 à 23...donc on fait simple et le plus équilibré possible, en général çà marche mieux que de se compliquer la vie....


Photo pluton1b h9n4ea - Eugenol
pluton

06/08/2013 à 20h32

bon, pour que vous puissiez estimer l'ampleur du travail, je vous poste les coupes scan et les photos de la réplique plastique...;-)

quand on voit mes doigts sur les photos, on se rend mieux compte de la minuscule bouche de cette patiente (et je n'ai pas des mains de charretier!!!)

y a pas beaucoup de commentaires...tout le monde est en vacances???

12 xfdtph - Eugenol
13 xpkert - Eugenol
23 wflnz5 - Eugenol
Imgp0008 jppage - Eugenol
Imgp0009 raxq74 - Eugenol
Imgp0010 x7v5q8 - Eugenol
Imgp0011 vxc8yt - Eugenol
Imgp0012 qmvjkr - Eugenol
Imgp0013 kzf2t7 - Eugenol
Imgp0014 ulysnn - Eugenol

Humator t9r5wy - Eugenol
humator

06/08/2013 à 21h12

Et oui, vacances!
Dis donc, tu soignes les hobbits dans ta contée sauvage! :-)
Joli cas, tu vas t'eclater!
Dommage que t'ai pas une photo du sourire!
Tu imagine faire quoi comme greffe?



--
N.Hum


Img 5404 pmlzfi - Eugenol
Chicot44

06/08/2013 à 23h04

pluton écrivait:
----------------
> comme je l'ai dit poser 2 implants pour 12 et 13 est impossible même en
> utilisant des implants de 3.2mm de diamètre (1.5+3.2+3+3.2+1.5=12.4mm et on a
> 10mm donc implant en 13 et 12 en extension...assez raisonnable je pense vu qu'il
> faudra la faire de 4mm pour la symétrique avec la 22...et que la proposition 2
> implants amha aurait conduit à une "énorme" 12 par rapport à la 22 existante...)
>
> réaliser de grands déplacements comme évoqués par seespan, vu les longueurs des
> racines, pas trop envie non plus sauf à vouloir préparer le terrain pour une
> implanto totale "à la Pépé"...
>
> reste à préparer le terrain, vu le volume osseux faiblard...vous aurez donc tous
> vite compris....=> greffe...
>
> puis ODF pour l'alignement et une petite amélioration de la supra le temps de la
> cicat des greffes en conservant la 53



Tu nous demande notre avis et t'en fais qu'à ta tête...
du coup je boude... ;)...


Photo pluton1b h9n4ea - Eugenol
pluton

06/08/2013 à 23h39

oh les gars, je vous disais que je voulais garder çà pour cet automne le temps de (quasi) finir...
c'est que le travail est déjà bien avancé....;-)

mais bon, c'était aussi pour la gym des neurones...c'est aussi intéressant de voir comment les autres auraient géré un cas comme çà...
par ex, le moyen d'augmenter le volume osseux...pxav aurait dit "expansion"...pourquoi pas, mais c'est quand même très fin et amha avec pour résultat des implants dont l'axe aurait été très vestibulés (même si pour 13 çà aurait peut être été jouable...)...pas très simple pour la gestion de l'esthétique...
je rappelle que la patiente a 22 ans...faut voir sur le long terme...
d'autres auraient dit: ROG peut être même avec pose simultanée des implants...ancrer de manière sûre les 2 implants dans si peu de nonos, je pense pas savoir faire...
ensuite greffes: là c'est os de banque ou autogène...et vu le volume des maxillaires, pas trop envie de faire un prélèvement ramique ou mentonnier...

donc vous l'aurez compris: greffe biobank...un seul greffon cortico spongieux (vu la petite taille de ce maxillaire) a été nécessaire, avec quand même 2 fioles de copeaux en plus...

le cas est fait de février dernier, et la phase ODF terminée (et j'ai même le scan de contrôle...;-))

pour la vidéo de cette double greffe, tout à l'heure si j'ai le temps ou demain...;-)


Img 5404 pmlzfi - Eugenol
Chicot44

06/08/2013 à 23h46

je boude toujours... mais un peu moins...;)