Cookie Consent byPrivacyPolicies.comles patients qui établissent eux même le plan de traitement - Eugenol

les patients qui établissent eux même le plan de traitement

Img 5404 pmlzfi - Eugenol
Chicot44

27/08/2013 à 11h40

Pépélaratiche écrivait:
-----------------------

> Perso j attends juste que dentiste 57 me demande comment j ai pu débrouiller
> deux cas identique au sien avec effectivement des patientes qui avaient bcp de
> questions mais n étaient pas vindicatives ds le mauvais sens du terme
>

> Pp, bon en rien, mauvais en tout ...
> Sed Fortuna audaces iuvat ...



Disk implant ?



Si vis pacem para bellum


F e01w igu3rl - Eugenol
roumette

27/08/2013 à 11h59


Cave canem = mets le chien dans la cave.
Si vis pacem, para bellum = si tu poses les vis, prépare la guerre.

Trop forte en latin la roumette!!!!


Pépélaratiche

27/08/2013 à 12h00

Chicot44 écrivait:
------------------
> Pépélaratiche écrivait:
> -----------------------
>
> > Perso j attends juste que dentiste 57 me demande comment j ai pu débrouiller
> > deux cas identique au sien avec effectivement des patientes qui avaient bcp de
> > questions mais n étaient pas vindicatives ds le mauvais sens du terme
> >
>
> > Pp, bon en rien, mauvais en tout ...
> > Sed Fortuna audaces iuvat ...
>
>
>
> Disk implant ?

Affirmatif Chicot mais stt ce qui était important était la cause , enfin les causes car il y en avait de fait plusieurs qui avaient échappés au maxillo qui avait posé( différente pour les deux cas d ailleurs )
>
>
>
> Cave canem


--
Pp, bon en rien, mauvais en tout ...
Sed Fortuna audaces iuvat ...


Avatar2 u3u8yh - Eugenol
riccyman

27/08/2013 à 13h00

bah personne ne pose la question à pépé ?

Quelles étaient les causes pépé ? des causes d'ordre général genre cholestérol, des phénomènes locaux ou leurs associations ?



Img 5404 pmlzfi - Eugenol
Chicot44

27/08/2013 à 13h13

Pépélaratiche écrivait:
-----------------------
>
> Affirmatif Chicot mais stt ce qui était important était la cause , enfin les
> causes car il y en avait de fait plusieurs qui avaient échappés au maxillo qui
> avait posé( différente pour les deux cas d ailleurs )


Tel que je commence a te connaître, t'as une idée !
Éclaires nous de tes lumière STP....


Fluctuat nec mergitur


Img 3657 cwjvqm - Eugenol
alapex

27/08/2013 à 13h40

"Mais il est possible que ma petite expérience ds le domaine n intéresse pas le Grand Dentiste 57 :-))))))))"
Pépé , fais un stage de communication stp ...)))


Scan10030 ukikhq - Eugenol
vava

27/08/2013 à 14h03

et arrête le bar latin !!


Pépélaratiche

27/08/2013 à 15h00

alapex écrivait:
----------------
> "Mais il est possible que ma petite expérience ds le domaine n intéresse pas le
> Grand Dentiste 57 :-))))))))"
> Pépé , fais un stage de communication stp ...)))

Justement j allais le proposer à D 57 le stage de com ;-)


--
Pp, bon en rien, mauvais en tout ...
Sed Fortuna audaces iuvat ...


Pépélaratiche

27/08/2013 à 15h01

vava écrivait:
--------------
> et arrête le bar latin !!

Vava,

tu as un problème avec le latin

Chicot 44 et moi on aime bien LOL

PS Tu es juste là pour faire tes petites remarques vitriolées mais tu amènes jamais grand chose au débat... Tu aimes ça manifestement...


--
Pp, bon en rien, mauvais en tout ...
Sed Fortuna audaces iuvat ...


Pépélaratiche

27/08/2013 à 15h04

Chicot44 écrivait:
------------------
> Pépélaratiche écrivait:
> -----------------------
> >
> > Affirmatif Chicot mais stt ce qui était important était la cause , enfin les
> > causes car il y en avait de fait plusieurs qui avaient échappés au maxillo qui
> > avait posé( différente pour les deux cas d ailleurs )
>
>
> Tel que je commence a te connaître, t'as une idée !
> Éclaires nous de tes lumière STP....
>
>
> Fluctuat nec mergitur

Homo homini lupus est.


--
Pp, bon en rien, mauvais en tout ...
Sed Fortuna audaces iuvat ...


Img 3657 cwjvqm - Eugenol
alapex

27/08/2013 à 15h42

Pépélaratiche écrivait:
-----------------------
> alapex écrivait:
> ----------------
> > "Mais il est possible que ma petite expérience ds le domaine n intéresse pas
> le
> > Grand Dentiste 57 :-))))))))"
> > Pépé , fais un stage de communication stp ...)))
>
> Justement j allais le proposer à D 57 le stage de com ;-)
>
>
> --
> Pp, bon en rien, mauvais en tout ...
> Sed Fortuna audaces iuvat ...



Pfff , c'est un gentil garçon .
Tu es libre en ce moment , depuis 2 jours sur nonol et pas le reste du temps , D57 doit être occupé voilà tout .

PS/ je vais te recadrer ...))))
https://www.google.com/search?q=champagne+vranken&hl=fr&source=lnms&tbm=isch&sa=X&ei=h5AcUpjdIuW00QXFpIGAAQ&ved=0CAcQ_AUoAQ&biw=1600&bih=797#facrc=_&imgdii=_&imgrc=Lkq8Du1E5qGYoM%3A%3B1uavBJYQJ2_JnM%3Bhttp%253A%252F%252Fwww.chronovins.com%252F12-53-thickbox%252Fchampagne-pommery-vranken-cuvee-diamant.jpg%3Bhttp%253A%252F%252Fwww.chronovins.com%252F12-champagne-pommery-vranken-cuvee-diamant.html%3B800%3B600


Pépélaratiche

27/08/2013 à 15h46

Ben voilà Chicot

j ai bien plus qu une idée da fait puisque j ai résolu deux cas de cette espèce

1er cas : une patiente qui perd trois implants sur 4 en zone 47 46 37 36... Elle m apporte son dentascan avec les implants en place en train de foirer

Que voit on ???

1. des implants posés bcp trop lingual ds un os très blanc donc très cortical avec une médullaire rare
2. implants courts de gros diamètre avec macrospires très agressives
3. aucune préparation du site par ostéotension
4. pas d arrêt tabagique demandé
5. après intégration pose de couronnes définitives céramiques en unitaire

Elle est arrivée avec les implants explusés depuis plusieurs mois

Un seul avait pris donc bon signe on peut y retourner
Son prat lui avait posé un bridge 34 35 extension distale 36

Secteur 40 : je lui ai posé deux monodisk en enfoui parfaitement pris et tjs équipé de leur dents provisoires métal résine depuis 5 ans

Le cas 2 c est pour plus tard car un peu plus long à expliquer mais làa ça commençait par un échec de greffe avec de l iliaque pour remplacer 47 46


--
Pp, bon en rien, mauvais en tout ...
Sed Fortuna audaces iuvat ...


Scan10030 ukikhq - Eugenol
vava

27/08/2013 à 15h47

et oui pépé tu n’as pas le monopole de la vitriolité !!!
sur le sujet tout à été dit et blette a fait un beau résumé, il n’est pas toujours possible de savoir comment vont finir les relations avec un patient mais là c’est clairement annoncé.
Je te laisse à ta rengaine PS les 33 tours à 78 tours c’est nasillard !!


Pépélaratiche

27/08/2013 à 15h48

alapex écrivait:
----------------
> Pépélaratiche écrivait:
> -----------------------
> > alapex écrivait:
> > ----------------
> > > "Mais il est possible que ma petite expérience ds le domaine n intéresse pas
> > le
> > > Grand Dentiste 57 :-))))))))"
> > > Pépé , fais un stage de communication stp ...)))
> >
> > Justement j allais le proposer à D 57 le stage de com ;-)
> >
> >
> > --
> > Pp, bon en rien, mauvais en tout ...
> > Sed Fortuna audaces iuvat ...
>
>
>
> Pfff , c'est un gentil garçon .
> Tu es libre en ce moment , depuis 2 jours sur nonol et pas le reste du temps ,
> D57 doit être occupé voilà tout .
>
> PS/ je vais te recadrer ...))))
> https://www.google.com/search?q=champagne+vranken&hl=fr&source=lnms&tbm=isch&sa=X&ei=h5AcUpjdIuW00QXFpIGAAQ&ved=0CAcQ_AUoAQ&biw=1600&bih=797#facrc=_&imgdii=_&imgrc=Lkq8Du1E5qGYoM%3A%3B1uavBJYQJ2_JnM%3Bhttp%253A%252F%252Fwww.chronovins.com%252F12-53-thickbox%252Fchampagne-pommery-vranken-cuvee-diamant.jpg%3Bhttp%253A%252F%252Fwww.chronovins.com%252F12-champagne-pommery-vranken-cuvee-diamant.html%3B800%3B600

Peut être qu il est déjà la tête ds le guidon sur le cas de ce patient qui sait ;-))))))

Je sais que c est un gentil garçon très habile et très capable de surcroît mais tu sais aussi que je suis frondeur vieux aigri bête et méchant Pplaratiche oblige ;-)


--
Pp, bon en rien, mauvais en tout ...
Sed Fortuna audaces iuvat ...


Pépélaratiche

27/08/2013 à 16h53

vava écrivait:
--------------
> et oui pépé tu n’as pas le monopole de la vitriolité !!!
> sur le sujet tout à été dit et blette a fait un beau résumé, il n’est pas
> toujours possible de savoir comment vont finir les relations avec un patient
> mais là c’est clairement annoncé.
> Je te laisse à ta rengaine PS les 33 tours à 78 tours c’est nasillard !!

Certes mais qd même à part le vitriol je montre au moins ce que je fais... Pour ta part j attends tjs que tu nous montres plutôt que de venir faire tes petits commentaires plein de sous entendus


--
Pp, bon en rien, mauvais en tout ...
Sed Fortuna audaces iuvat ...


Scan10030 ukikhq - Eugenol
vava

27/08/2013 à 17h36

mon âge avancé ne m’autorise plus à m’exhiber en public et de mon temps le racolage cybenolien n’existé pas !!!!!!!!


Img 5404 pmlzfi - Eugenol
Chicot44

27/08/2013 à 18h41

Pépélaratiche écrivait:
-----------------------

> 1er cas : une patiente qui perd trois implants sur 4 en zone 47 46 37 36... Elle
> m apporte son dentascan avec les implants en place en train de foirer
>
> Que voit on ???
>
> 1. des implants posés bcp trop lingual ds un os très blanc donc très cortical
> avec une médullaire rare


C'est parfois difficile d'éviter ce problème sur les crêtes fines et denses... éviter le sous forage, taraudage et réduire le diamètre des implants sans perdre la résistance mécanique , implants cylindriques



> 2. implants courts de gros diamètre avec macrospires très agressives



C'est vraiment pas l'indication ....



> 3. aucune préparation du site par ostéotension


Quid est ? en latin pour vava....



> 4. pas d arrêt tabagique demandé

Salaud de fumeurs!!!




> 5. après intégration pose de couronnes définitives céramiques en unitaire.


Y en a encore qui font de l'unitaire sur implant? ;-).. compliqué et cause de soucis supplémentaire ... mais ça n'est que mon avis.... vanitas vanitatum ....



> Elle est arrivée avec les implants explusés depuis plusieurs mois
>
> Un seul avait pris donc bon signe on peut y retourner
> Son prat lui avait posé un bridge 34 35 extension distale 36
>
Je rectifie: 1 seul continuait à tenir....




> Secteur 40 : je lui ai posé deux monodisk en enfoui parfaitement pris et tjs
> équipé de leur dents provisoires métal résine depuis 5 ans
>

Tu vas finir par me donner envie de me pencher sur ce truc ... très peu informé sur cette technique , que des on dit... dont les plus sympas ou les moins négatifs sont : Très opérateur dépendant... Si



> Le cas 2 c est pour plus tard car un peu plus long à expliquer mais làa ça
> commençait par un échec de greffe avec de l iliaque pour remplacer 47 46
>


on attend, j'attend....



> Pp, bon en rien, mauvais en tout ...
> Sed Fortuna audaces iuvat ...
ou en français : oublies que t'as aucune chance, fonce, on sait jamais, sur un malentendu ça peut marcher....


Pépélaratiche

27/08/2013 à 18h45


--
Pp, bon en rien, mauvais en tout ...
Sed Fortuna audaces iuvat ...

Img 3271 f4tdwj - Eugenol
Img 3275 rqbhy8 - Eugenol
Img 3487 bndsax - Eugenol
Img 3878 cnt3gv - Eugenol
Img 3879 q6zm0c - Eugenol
Img 4312 z1cp5m - Eugenol

Pépélaratiche

27/08/2013 à 21h53

Le cas 2 c est pour plus tard car un peu plus long à expliquer mais là ça commençait par un échec de greffe avec de l iliaque pour remplacer 47 46...

La praticien de la patiente pose ds une greffe molle 3 cylindres et en garde un seul , le mésial et comme par hasard celui qui ds son os natif et pas ds le greffon

Je lui ai posé une première fois une plaque sans ostéotension car cela n existait pas à l époque... Mierda la plaque s expose en lingual et je dois me résoudre à la dépose :-(

Je laisse le site au repos et je viens qques moins plus y reposer un monodisk 8G2DM7 avec apport de nanobone et prfs... Encore mierda il se mobilise et se fibrose

Entre temps je lui fais 3 séances d ostéotension manuelle qui rend le site un plus vascularisé et donc pus exploitable... Je me décide à déposer ce disk en vue simplement de refermer le site sur un nouvel apport de nanobone et là lors de la dépose le site m inspire : bien sanglant et très belle os corticalisé sous le disk : je me jette ds la bagarre et je repose de suite un 9G2DM que je peux bien bolquer avec une vis d ostéosynthèse en vestibulaire ds cette belle corticale sous le disk. Nanobone + PRF + Membrane de Jason...et laissé en enfoui qques mois

Au bout de ces qques mois prise d empreinte sur un disk sonore comme un cylindre et totalement fixe sans l ombre d une sensibilité

Evidemment cette patiente m a tjs posé bcp de question mais je lui avais posé au maxillaire une plaque et un disk qui s étaient intégrés sans aucun ennui donc elle savait que seule de mauvaises circonstances nous avaient empêché de réussir ds le secteur 40

Entre la greffe et mon dernier disk 7 ans sont passés mais je pense que c est effectivement le fait d intervenir plusieurs fois en dépériostant et donc en dévascularisant le site qui nous fait aller ds le mur... En fait j ai laissé de long tps morts pour que l os récupère et j ai choisi de réimplanter de suite lors de la dernière dépose pour éviter encore une meurtrissure supplémentaire pour ce site par un n-ième passage chirurgical à cet endroit

C est pas tellement praticien dépendant mais ça nécesite de raisonner plus que pour la pose de simpe cylindres ds des kms d os alvéolaire





--
Pp, bon en rien, mauvais en tout ...
Sed Fortuna audaces iuvat ...


S2y2o1v7q53ws4r5wy6ou8czrpom - Eugenol
pxav

27/08/2013 à 22h18

merci de nous raconter la gestion des échecs, c'est infiniment plus enrichissant pour l'esprit que la philosophie humoriste de certain.


--
xbk
"Si tous ceux qui croient avoir raison n'avaient pas tort, la vérité ne serait pas loin" Dac Pierre


Img 3657 cwjvqm - Eugenol
alapex

27/08/2013 à 22h20

Pxav , je n'arrête pas de le motiver en ce sens .


Img 5404 pmlzfi - Eugenol
Chicot44

27/08/2013 à 22h36

Merci Pépé...
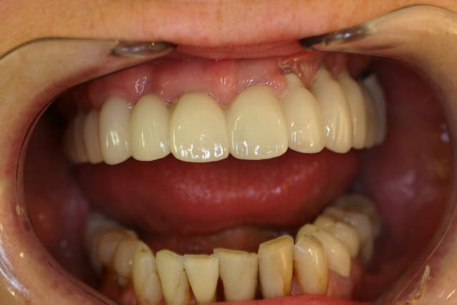
J'ai attentivement regardé ton cas , notamment au max... je trouve impressionnant le nombre d'implant que tu mets...
pour une arcade complète... 13 pour le haut... je penses que 10 suffisent largement... peux tu expliquer ce choix? et deuxième point comment explique tu le problème gingival entre 12 et 11?
C'est vraiment pour le débat, parce que autrement ta gestion de l’Échec mand est vraiment top et comme tu as une philosophie de traitement différente de la mienne, j'aime bien comprendre les raisonnements des autres...ça aide a avancer...
Par avance merci...


Pépélaratiche

28/08/2013 à 00h25

Chicot44 écrivait:
------------------
> Merci Pépé...
> J'ai attentivement regardé ton cas , notamment au max... je trouve
> impressionnant le nombre d'implant que tu mets...
> pour une arcade complète... 13 pour le haut... je penses que 10 suffisent
> largement... peux tu expliquer ce choix? et deuxième point comment explique tu
> le problème gingival entre 12 et 11?
> C'est vraiment pour le débat, parce que autrement ta gestion de l’Échec mand est
> vraiment top et comme tu as une philosophie de traitement différente de la
> mienne, j'aime bien comprendre les raisonnements des autres...ça aide a
> avancer...
> Par avance merci...

Premier précepte de l implanto basale : tjs duu fixe
Deuxième précepte de l implanto basqle : tjs des ancrages postérieurs donc on va loin au bout des max et mand même si tu peux trouver ça inutile ds un premier tps
Troisième précepte de l implanto basale : qd les volumes sont réduits comme ici où tout le secteur distal est en mono disk ou pire même en plaque, on augmente le nombre d implants au max pour répartir les forces... Il ne faut jamais perdre de vue que même si c est très solide une fois intégré, on passe par la MCI où la solidité est précaire au début...



--
Pp, bon en rien, mauvais en tout ...
Sed Fortuna audaces iuvat ...


Pépélaratiche

28/08/2013 à 00h28

Bcp d entre vous sont ici sont d excellents implanto mais on vous a tellement dit de mal sur la basale que vous ne voyez même plus l outil incroyable qu elle...

Certes il est très vrai que c est un outil un peu plus délicat à appréhender mais vous auriez bcp à y gagner et vos patients aussi...

--
Pp, bon en rien, mauvais en tout ...
Sed Fortuna audaces iuvat ...


Pépélaratiche

28/08/2013 à 00h29

pxav écrivait:
--------------
> merci de nous raconter la gestion des échecs, c'est infiniment plus enrichissant
> pour l'esprit que la philosophie humoriste de certain.
>
>
> --
> xbk
> "Si tous ceux qui croient avoir raison n'avaient pas tort, la vérité ne
> serait pas loin" Dac Pierre

Tu vois Pxav on s est un peu frité toi et moi à mes débuts sur nonol mais finalement on n est pas si différents ;-))))


--
Pp, bon en rien, mauvais en tout ...
Sed Fortuna audaces iuvat ...