Cookie Consent byPrivacyPolicies.comimage radioclaire - Eugenol

image radioclaire

Monsieur Poupi

05/09/2013 à 17h37

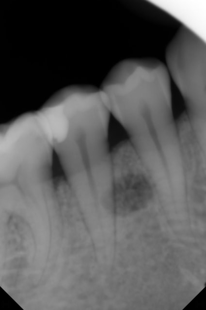
Une patiente 25 ans me décrit des douleurs relativement intenses au froid sur la 45. Je fais une rétro, je visualise la carie et une image radioclaire en regard de la 45.
Au niveau muqueux il n'y a rien de particulier.
J'ai fait plusieurs rétro avec des angulations différentes.
Serait-ce une lacune de Stafne ?

Merci de m'aider à percer ce mystère.

 009 mhs2b2 - Eugenol
 006 hj3nx8 - Eugenol
008 hvqzys - Eugenol

Utilisateur banni

05/09/2013 à 18h22

Je dirai d'après les rx que pas de rapport entre les dents et cette lacune. Ce n'est pas dans le même plan. Direction chir bu spécialisé et ana pat pour savoir précisément.
Sinon pour les caries il y a aussi 45m amélaire idem 44d+ 46m dentinaire à priori et idem en d mais doute sur amélaire.


Canin

06/09/2013 à 00h22

les douleurs au froid peuvent être liées au syndrome septum car on voit bien une atteinte radio à ce niveau.

l'image radio-claire peut être fortuite dans la mesure où elle ne semble pas du tout liée à 45 d'après tes différents clichés cette lésion serait davantage sur le versant lingual.

j'irais explorer cette lésion pour en savoir davantage car elle n'est pas commune à première vue.

et pour la lacune de stafne non.

--
Canin


fgui

09/09/2013 à 14h38

Ce genre d'image peut marquer les premiers signes d'un dysplasie fibreuse (voir lésions apparentées fibrome ossifiant, fibrome cémento ossifiant...)

marche a suivre :

-examen volumétrique pour localisation
-service hospitalier avec service anapath osseuse compétent pour effectuer une biopsie à but diagnostique .
- résultat positif : on surveille ce genre de lésion bénigne et on n'intervient que si lésion nerveuse ou déformation esthétique importante (on ne sait pas établir limite tissus sain tissus patho), mais examen de médecine nucléaire pour écarter une forme multi-loculaire (40% des cas). il peut y avoir aussi certains dosage sanguins (phosphore et calcium?)
Dans les cas grave (ce n'est pour l'instant pas le cas semble t'il ) il doit y avoir deux services hospitaliers de référence en France.
-résultat négatif: tu sauras ce que cela est et tu t'adaptes

Attention on pense que toucher ces lésions peut les enflammer à ne pas faire donc sans diagnostique préalable et objectif thérapeutique.

PS il y a une relation non définie entre puberté précoce et dysplasie fibreuse.


Sanda

09/09/2013 à 20h52

Relation entre dysplasie fibreuse et puberté précoce: c'est le syndrome de Mc Cume-Albright, associé a de nombreux troubles endoc, et des pb dermato (taches "café au lait").