Cookie Consent byPrivacyPolicies.comRéhabilitation antérieure 3, sans ortho...aie! - Eugenol

Réhabilitation antérieure 3, sans ortho...aie!

Bebe 038 nf8eum - Eugenol
danteyeah

27/09/2013 à 03h19

pxav écrivait:
--------------

> Le gros du problème va être de ne pas se planter sur le résultat final, d’où
> l’intérêt d'avoir des avis extérieurs
>

D'où utilisation des "masques".

Un mock-up remontant les collets de quelques mm,et un gros trait de marqueur noir sur le bord libres des antérieures permettra de vérifier si la DDM maxillaire est compatible avec une réhabilitation prothétique esthétique sans risque pour la paro (axe des préparations, possibilité d'entretient par brossette/fil), ou si une ortho de réalignement sera nécessaire pour faciliter le boulot prothétique (faire un peu de place pour 12 et 22) et diminuer le stress occlusal futur.
J'ai l'impression qu'on doit pouvoir "grappiller" en peu de place en distal de 11 et 21 pour donner un peu de volume à 12 et 22, elles même pouvant un peu déborder en distal sur 13 et 23 pour adoucir le sourire.

Y a plus qu'à laisser faire le prothésiste et sa cire et voir ce que ça donne en bouche; le mock-up est une étape primordial qui en général fini par nous octroyer l'aval et la confiance total du patient....j'adore ce moment ;-).

Le gros chalenge ici ça sera l'esthétique "rose", j'ai hâte de voir le résultat.


S2y2o1v7q53ws4r5wy6ou8czrpom - Eugenol
pxav

27/09/2013 à 09h30

danteyeah écrivait:
-------------------

> J'ai l'impression qu'on doit pouvoir "grappiller" en peu de place en distal de
> 11 et 21 pour donner un peu de volume à 12 et 22, elles même pouvant un peu
> déborder en distal sur 13 et 23 pour adoucir le sourire.

Effectivement, j'ai un petit point d’interrogation pour 12/22.


> Y a plus qu'à laisser faire le prothésiste et sa cire et voir ce que ça donne en bouche; le mock-up est une étape primordial qui en général fini par nous octroyer l'aval et la confiance total du patient....j'adore ce moment ;-).
>
> Le gros chalenge ici ça sera l'esthétique "rose", j'ai hâte de voir le résultat.

Pour la prothésiste, nous avons l'avantage de travailler ensemble, sur place, donc je peux donner un avis sur les cires, en général je demande des retouches au niveaux des embrasures... et d'après les critiques sur nonol, nous modifions certains points.

Cette proximité va me permettre ce matin d'essayer 37/47 en Emax, et de vérifier les cires de 46/45/44 et 36/35/34 ce qui est très "délicat".


PS: Qu'entend tu par: l'esthétique "rose".

--
xbk
"Si tous ceux qui croient avoir raison n'avaient pas tort, la vérité ne serait pas loin" Dac Pierre


S2y2o1v7q53ws4r5wy6ou8czrpom - Eugenol
pxav

27/09/2013 à 14h19

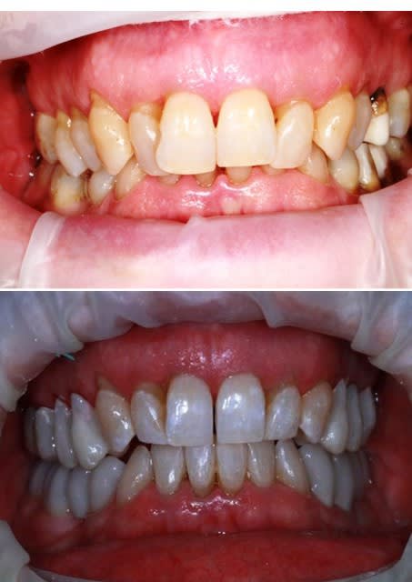
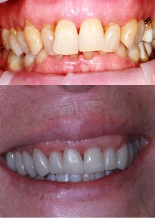
Séance de ce matin.

1° patiente très contente de ses provisoires avec la "nouvelle DV", mis à part quelques morsures (le haut n'est pas top) son mari lui a dit qu'elle parlait plus distinctement, ce qui me conforte dans l'idée qu'elle avait bien une DV effondrée.
Essayage de 37/47 Emax (monobloc) et des cires pour vérifier que le prothésiste pouvait finir son travail.
Nickel.

--
xbk
"Si tous ceux qui croient avoir raison n'avaient pas tort, la vérité ne serait pas loin" Dac Pierre

Img 8797 vc8ar9 - Eugenol
Img 8786 w3cdzp - Eugenol
Img 8787 uxnsl5 - Eugenol
Img 8789 mklvdh - Eugenol
Img 8793 usbaie - Eugenol
Img 8794 q14fqd - Eugenol
Img 8795 n6tqr2 - Eugenol
Img 8796 budmt0 - Eugenol

Bebe 038 nf8eum - Eugenol
danteyeah

27/09/2013 à 15h04

pxav écrivait:
--------------
>
> PS: Qu'entend tu par: l'esthétique "rose".
>

La ligne des collets (pas du tout favorable, donc à redessiner), la qualité de la gencive et son soutient, surtout papillaire (les radios sont un peu inquiétante), le sourire gingival ne laissant aucune place à "l'a peu prés".
Donc oui pour moi le challenge esthétique se situe en grande partie à ce niveau: il y a des élongations à faire, tout en préservant un profil papillaire harmonieux, heureusement que le type de gencive semble épais.

Pour les cires d'essayage, peux tu nous en dire plus: type et qualité de la cire, technique de mise en place sans tout exploser.......

Merci.


S2y2o1v7q53ws4r5wy6ou8czrpom - Eugenol
pxav

27/09/2013 à 15h31

compris pour "le rose"...pas simple mais ça devrait le faire, enfin j’espère.
Pour le cires, il s'agit tout simplement des cires qui vont être "pressées" pour obtenir les Emax définitives, mais pour ce cas, comme je modifie la Dv, je voulais éviter d'avoir à retoucher la céram (qui est très dur pour l'emax, donc essayage des maquettes en cire (très délicat car il ne faut pas abimé quoi que ce soit, et la température de la bouche peut provoquer des déformations)surtout que la prothésiste à déjà finit les bords à la cire "morte" (rouge).
ça me permet aussi de valider l'ajustage qui peut être imprécis si l'empreinte et /ou le détourage des dies n'a pas été top.
Faisable uniquement car le labo est sur place, et peu courant car très risqué, pour l'humeur....

--
xbk
"Si tous ceux qui croient avoir raison n'avaient pas tort, la vérité ne serait pas loin" Dac Pierre


doctyoni

28/09/2013 à 13h32

Tout d'abord bravo pour la réalisation technique , elle est parfaite.
J'ai juste une remarque à faire sur le plan de traitement , la patiente vient pour une réhab antérieure. Tu fais la remarque à juste titre que 6 inlay core et 6 CCM sont trop mutilants .

Au final tu vas couronner ou as couronné quasiment toutes les dents .La mutilation est d'autant plus importante si ce n'est plus .
Un peu d'ortho en antérieur t'aurait permit de réaligner et de faire un travail esthétiquement acceptable .
On ne voit aucune perleche à la première photo , je ne suis pas tout à fait d'accord pour la perte DV.


S2y2o1v7q53ws4r5wy6ou8czrpom - Eugenol
pxav

28/09/2013 à 16h00

doctyoni écrivait:
------------------
> Tout d'abord bravo pour la réalisation technique , elle est parfaite.
> J'ai juste une remarque à faire sur le plan de traitement , la patiente vient
> pour une réhab antérieure. Tu fais la remarque à juste titre que 6 inlay core et
> 6 CCM sont trop mutilants .
>
> Au final tu vas couronner ou as couronné quasiment toutes les dents .La
> mutilation est d'autant plus importante si ce n'est plus .
> Un peu d'ortho en antérieur t'aurait permit de réaligner et de faire un travail
> esthétiquement acceptable .
> On ne voit aucune perleche à la première photo , je ne suis pas tout à fait d'accord pour la perte DV.

Merci pour le compliment sur la réalisation technique, même si rien n'est jamais parfait, ça fait toujours plaisir.

Je me suis mal exprimé, la patiente ne vient pas pour une réhab antérieure, elle est venue me voir (c'est beau la confiance) pour un avis sur ce que lui proposait son "spécialiste" Parisien, car elle avait l'impression que ses dents risquait de tomber.
Ce n'est qu'après une dizaine de séances de détartrage, surfaçage et la certitude qu'elle contrôlait parfaitement son brossage que j'ai fait un plan de traitement "global".
C'est vrai qu'il est "mutilant" en terme d’émail, mais je le crois pérenne en terme de dentition.
Il est bon de préciser que la patiente n'avait aucune idée d'un quelconque problème pour les postérieures et / ou son occlusion, aucun de ses "soignants" ne lui en ayant jamais parlé.
Pour l'ortho, elle a consulté une spécialiste qui a fait un bon diagnostic (enfin c'est mon avis) en refusant l'ortho si l'état paro n'était pas amélioré.
Bien sur si on ne considère que les antérieures il est évident que l'ortho est "indispensable" pour l'alignement.
Mais comme souvent il faut faire des choix et la patiente (400 km aller retour pour ses rdv)à fait les siens, qui sont je le crois en accord avec les miens.

Si je me suis trompé, nous aurons la réponse dans 10 ans...
Mais si nous avions choisit ortho+paro+soins+prothèse elle avait environ 3 à 4 ans de traitement sans certitude de résultats meilleurs.
Perlèche/DV..on n'en reparle.
Pour info le cas est en cours, je le présente en "live", car chaque remarque des nonoliens me fait réfléchir, et progresser dans le plan de traitement.
--
xbk
"Si tous ceux qui croient avoir raison n'avaient pas tort, la vérité ne serait pas loin" Dac Pierre


Smile beach jgh0a1 - Eugenol
Céramik

28/09/2013 à 17h26

J'aime bien.
J'aurais fait de l'ortho en ant sup, pour libérer la mandibule qui est reculée avec cette occlusion.
Ensuite augmentation de DV post, comme tu as fait, avec des compo provisoire ( wax et transfert en bouche) , puis ré-hab antérieure ( avec ou sans modification paro, j'ai pas assez d'info) puis ré-hab en postérieur.




--
Céramik


S2y2o1v7q53ws4r5wy6ou8czrpom - Eugenol
pxav

28/09/2013 à 21h31

.


S2y2o1v7q53ws4r5wy6ou8czrpom - Eugenol
pxav

31/10/2013 à 16h31

On n'avance, et pas "d'orthodontie" mais un peu de mouvement quand même pour les antérieurs, stripping et petites cales palatine (composite) sur les latérales.

--
xbk
"Si tous ceux qui croient avoir raison n'avaient pas tort, la vérité ne serait pas loin" Dac Pierre

Avap1 zfkpck - Eugenol
Avap2 e48hha - Eugenol
Avap3 jlxnb5 - Eugenol

Icon poker h4nm2d - Eugenol
jeff

31/10/2013 à 21h15

Curieux qu'Algi ne soit pas intervenu sur ce cas ! Il n'a pas du voir le post, car c'est bien un cas ou un soullet besombe serait bienvenu. A la fois pour aider à supporter la nouvelle dv et pour aligner les incisives.


S2y2o1v7q53ws4r5wy6ou8czrpom - Eugenol
pxav

31/10/2013 à 21h34

La DV sur la photo est pendant la "fabrication" des provisoires postérieures.
Elle sera un peu inférieur, pour une période d'essai.
Pour le moment la patiente trouve qu'elle est mieux avec sa bouche, phonation et confort, donc le chemin semble bon.

--
xbk
"Si tous ceux qui croient avoir raison n'avaient pas tort, la vérité ne serait pas loin" Dac Pierre


levm

01/11/2013 à 10h20

ET pour le bloc antérieur , tu vas faire quoi ?


S2y2o1v7q53ws4r5wy6ou8czrpom - Eugenol
pxav

01/11/2013 à 10h26

Il s'agit d'une restauration globale, le bloc antérieur, sera soit facettes, si le parodonte me parait stable, soit facettes + contention, soit emax solidarisées.


--
xbk
"Si tous ceux qui croient avoir raison n'avaient pas tort, la vérité ne serait pas loin" Dac Pierre


Bebe 038 nf8eum - Eugenol
danteyeah

01/11/2013 à 16h45

pxav écrivait:
--------------
> On n'avance,

Oui ca n'avance pas mal;-)

Et pas "d'orthodontie" mais un peu de mouvement quand même pour les
> antérieurs, stripping et petites cales palatine.

Position des cales empiriques, ou petite simulation (setup) avant?

Un détail photo: il serait bon de conserver un cadrage identique pour chaque plan à chaque séance afin de mieu visualiser les évolutions lors du traitement. C'est vrai qu'à la fin d'une séance on est plus trop motivé par les photos (plus le temps, patient crevé...), mais si on veut vraiment apprécier l'impact de nos traitements sur des images, il est bon d'avoir des cadrages reproductibles.


S2y2o1v7q53ws4r5wy6ou8czrpom - Eugenol
pxav

01/11/2013 à 16h49

je suis d'accord avec toi, les photos sont mal cadrées et de plus les couleurs sont trop différentes.
Mais ce n'est que pour suivre le cas.

Position des cales empiriques, ou petite simulation (setup) avant?
Pour les cales, position empirique, (palatine sur 12/22 et vestibulaire sur 32/42 et instruction à la patiente de "pousser" délicatement dans le bon axe.
--
xbk
"Si tous ceux qui croient avoir raison n'avaient pas tort, la vérité ne serait pas loin" Dac Pierre


S2y2o1v7q53ws4r5wy6ou8czrpom - Eugenol
pxav

18/12/2013 à 11h16

La suite,
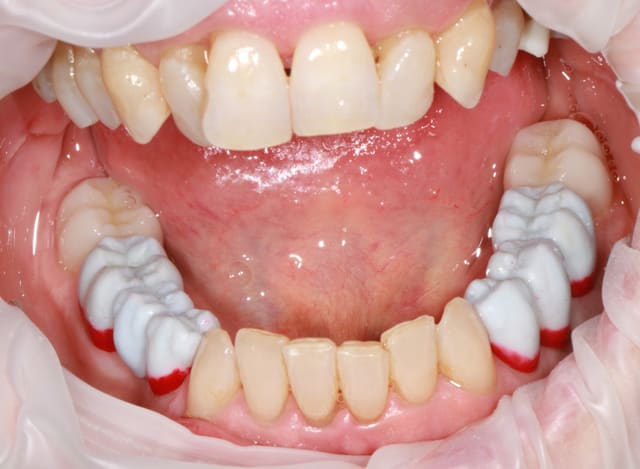
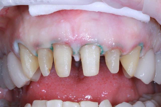
finalement c'est Emax CCC, avec cut back, avec pas mal de taille, agressif sans aucun doute et mutilatoire, me direz vous, mais c'est le choix que nous avons fait.
photos, la taille, provisoires en place.
--
xbk
"Si tous ceux qui croient avoir raison n'avaient pas tort, la vérité ne serait pas loin" Dac Pierre

Img 9535 c7wrdc - Eugenol
Img 9538 psnywr - Eugenol
Img 9539 icsz2c - Eugenol
Img 9540 tdw9hu - Eugenol

Ylfwcw979cz1jnx9gfqeaxndiuzk - Eugenol
Algi

18/12/2013 à 19h24


J'ai découvert le post ce matin..... Et d'ailleurs je comptais le donner à lire à Jeff.
Suis d'accord sur TOUT le début mais dommage pour la fin même si c'était prévisible puisque annoncé "sans ortho"

En même temps c'est pas vraiment sans ortho car tes collages c'est pas loin des pistes directes de Planas.

Si j'ai pas répondu plus vite c'est que je suis sur mon iPhone.
--
On a toujours le choix mais entre quoi et quoi?
Vas-y boulégue et l'avenir te le dira!


S2y2o1v7q53ws4r5wy6ou8czrpom - Eugenol
pxav

19/12/2013 à 17h22


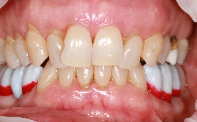
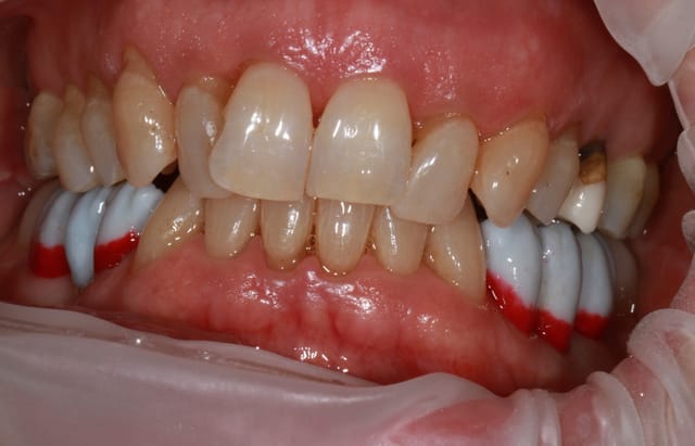
mini ortho, non pas envisagée au début, mais en cours de traitement, après le mock up.

Pour info les antérieurs toujours vivantes, n'ont pas nécessité anesthésie pour les essayage et la pose.
Nous avons fait deux jeux d'emax, une avec cut back, et une avec chapes (entrainement des prothésistes.

et le seul point d’interrogation, fut sur la modif de DV, douleur (en fin de journée) la première semaine.
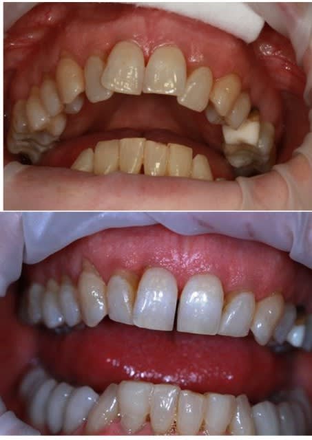
je revois la patiente en contrôle en janvier, ce n'est pas parfait, bien sur mais passable quand même (pour ceux qui aiment le blanc).
--
xbk
"Si tous ceux qui croient avoir raison n'avaient pas tort, la vérité ne serait pas loin" Dac Pierre

Avap4 dtoy1i - Eugenol
Avap5 wrh1yy - Eugenol

Ylfwcw979cz1jnx9gfqeaxndiuzk - Eugenol
Algi

19/12/2013 à 20h37

Concernant les douleurs en fin de journée reverifie la dv et avec un peu de chance avec petits meulages legers d'equilibration tu devrais la soulager.

Si t'as souci sur protocole pour identifier zones à corriger je te donnerai par mp quelques tips.

Si j'ai le temps (mais ça m'étonnerait) je les mettrai ici pour tout le monde.

Crevé, début de gros rhume ou de grippe, le rush pré fêtes à gérer..... se fait vieux l'algi!

--
On a toujours le choix mais entre quoi et quoi?
Vas-y boulégue et l'avenir te le dira!


S2y2o1v7q53ws4r5wy6ou8czrpom - Eugenol
pxav

19/12/2013 à 20h46

Merci, mais les douleurs ont cessées au bout d'une semaine, et c'était avec les provisoires.
Ce serait une bonne idée, de publier car je suis souvent un peu trop à l'instinct, pour les retouches.

--
xbk
"Si tous ceux qui croient avoir raison n'avaient pas tort, la vérité ne serait pas loin" Dac Pierre


doctyoni

20/12/2013 à 01h59

Elle ne voulait pas de plastie gingivale en antérieur ?
J'aurais rallongé les centrales et légèrement les canines et modifié la forme de 21


Ylfwcw979cz1jnx9gfqeaxndiuzk - Eugenol
Algi

20/12/2013 à 12h07

rappel d'un post de 2003, on rajeunit pas.
copié collé brut de cuve que j'ai rapidement remanié.
algi avait ecrit:
Enregistrement de l'occlusion avec des bouts de papier....Tout un programme, ça va pas être simple, mais je vais essayer.
1/ Rappel anatomique: le temporal a 3 faisceaux qui s'insérent, au niveau du crâne, sur la "ligne dont je ne me rappelle plus le nom" (cf vos cours d'anatomie) qui décrit un arc de cercle qui, grosso-modo, entoure le pavillon de l'oreille sur un rayon de 3/4 cm. 1/3 antérieur=faisceau anterieur, 1/3moyen=faisceau moyen etc... Il est possible de repérer l'insertion du muscle en demandant au patient de serrer les dents et on sent alors avec l'index placé sur le crâne la contractioon du muscle.
2/ On repére les trois faisceaux et ensuite, patient mâchoire légérement serrée, on va appliquer une pression sur le muscle bilatéralement (un index de chaque côté en même temps) sur les 3 faisceaux à la suite. Si le muscle est spasmé, le patient ressentira une douleur + ou - forte selon la zone.
3/ Trés schématiquement, le faisceau moyen permet de régler la hauteur sagittale (à droite et à gche): sensible si hauteur incorrecte.
Si la mandibule est déviée ou si la hauteur est incorrecte de façon asymétrique les faisceaux ant et post controlatéral seront sensibles aussi.
Le temporal post est sensible si le condyle mandibulaire est en rétrusion.
Le T. ant sensible si mandib en protrusion.
Une fois le bilan fait, je positionne des couches de papier bristol calibrées (cartons de RDV sont trés bien) sur les dents ou les maquettes d'occlusion, de la canine à la 7 de chaque coté, jusqu'à obtenir une sédation des douleurs.
Par exemple, mon patient sera "bien" avec 8 feuilles à droite et 2 à gche rajoutées une aprés l'autre. Cette DVO est la premiére, la plus basse, acceptée par le patient. Rien n'interdit de voir combien de feuilles peuvent être rajoutées (de façon symétrique à ce moment là) pour obtenir la DVO maxi acceptée. Idéalement, je me positionne au milieu des deux valeurs si c'est possible (esthétique, impératifs prothétiques....). Ici, dans notre exemple, je vais arriver à 14 dte et 8 gche (6 feuilles pour être au milieu).
4/ Réalisat° d'un jig résine avec mordu sur cartons en post.
5/ Je garde que le jig, je vire les cartons et je prends mon occlusion (silicone d'enregistrement).
6/ Petits exercices et "LE" cas clinique:
Si douleur bilatérale en post uniquement: mandibule en rétrusion des deux cotés
Si douleur ant uniquement: md en protrusion
Si douleur Moyen bilat: DVO incorrecte sur mandibule centrée
Probléme: douleur Ant droit/Post Gauche et Moyen G?.....
Reflechissez encore un peu.....
Latérodéviation + probleme DVO à G? Cherchez la coiffe en surocclusion à gauche ou la 37 versée (36 absente bien sûr...) qui desequilibre tout ou encore.... . Soyez honnéte si la coiffe est celle que vous avez posée 6 mois avant....
Faites vos propres combinaisons en mélangeant tout ça.....
nb: si gros décalage mandibule (latérodéviat°) il est possible de déplacer vers le milieu "à la main" pour la recenter et vérifier sur le temporal si cette nouvelle position est plus correcte.
Cette technique est simple et assez rapide à utiliser avec un peu de pratique. Il m'est arrivé de surélever des occlusions de prés de 10mm d'un coup sans probléme. Idéal pour caler des gouttieres ou des provisoires, génial pour la prothése totale....
Petit bémol: il me semble préférable de laisser cette occlusion en place au moins 1 mois pour verifier l'acceptation et surtout pour laisser au systéme le temps de s'équiliber. Trés souvent, on note une amélioration sensible du fonctionnement des ATM (remaniements articulaires se mettent en place). Dans les cas sévéres je réitére l'operation plusieurs fois et il n'est pas impossible de laisser le patient finir sa reeducation sur 12 ou 18 mois avant de réaliser la réhabilitation définitive.
Dans les cas complexes il est plus simple alors de réaliser des gouttieres rigides "clippées" sur la mandibule et "rebasées" occlusalement de loin en loin. Si le patient ne supporte pas il peut les enlever et si la modification de l'occlusion est telle que je prends peur (il ne le supportera jamais, me dis-je!!!) celà me rassure intellectuellement: si je me suis planté on changera la gouttiere...
Ex: une patiente, SADAM avec PAT H&B. Réglages papiers: recul de 1,5 cm de la mandibule et décalage de 0,5 cm à gauche par rapport à occlusion des prothéses en place. Tellement gros que je n'y crois pas. Réalisation gouttiere thermo formée sur PAT mandib dans cette position. Vient le jour de l'essayage: gros, gros doutes... Je présente la chose à la patiente, la lui mets en bouche, elle mord dessus et je suis stupéfait de la voir se détendre immédiatement et me dire (la bouche en travers) "Oh! Comme je suis bien, ça alors!!!".
Elle a porté sa gouttiere 3 mois, j'ai refait un enregistrement et réalisé le définitif dont elle est ravie depuis.
Si dans 6 mois elle revient et se plaint c'est que la rééducation n'était pas terminée et je rebaserai ou remonterai les dents (tant pis pour moi si j'étais trop pressé...)
7/ La posture de la mandibule est en relation avec la posture globale du patient et son état psychologique: si un des parametres change, l'occlusion change aussi....Evitez le bridge complet tout céramique si le patient vous parait instable.
Possible de faire controler la posture et le choix de l'occlusion provisoire par un ostéopathe.
Pour ma part, je controle ces hauteurs par des tests de kynesiologie, autre programme assez vaste....

Cas ci dessous: bruxomane, coiffes ceram anterieures sup, usures +++ bloc incisivo canin bas, peu de moyens et donc on ne refait pas les coiffes du haut.

Determination dv, cartons et jig resine.

realisation de deux coiffes provisoires 47/37 en lieu et place de 2 coiffes coulées, du coup on retrouve de la place, composites directs en bouche.

+ port d'un activateur de soulet et besombes? travail sur serrements, seances diurnes de coherence cardiaque avec son activateur et dort avec

Démarré fin 2012.

depuis: les 4/5/6 ont égressé, se sont calées, 47 et 37 ont été coiffées full zircone en septembre 2013 et les compos vont bien.


--
On a toujours le choix mais entre quoi et quoi?
Vas-y boulégue et l'avenir te le dira!

Img 2401 prfqd5 - Eugenol
Img 2403 a7ogkg - Eugenol
Img 2405 ph442s - Eugenol
Img 2407 phnlp4 - Eugenol
Img 4717 smn5hf - Eugenol
Img 4719 m0qhpg - Eugenol

S2y2o1v7q53ws4r5wy6ou8czrpom - Eugenol
pxav

20/12/2013 à 14h22

Je comprends mieux pourquoi tu étais d'accord sur mon cas, mis à part les antérieures...(sachant que tu n'a pas vu la patiente)

--
xbk
"Si tous ceux qui croient avoir raison n'avaient pas tort, la vérité ne serait pas loin" Dac Pierre


Ylfwcw979cz1jnx9gfqeaxndiuzk - Eugenol
Algi

20/12/2013 à 15h10

Mais il est tout bien comme il faut ton cas et puis merci de me montrer que je suis pas le seul clampin à tenter des trucs de ce genre.

Bon bout d'an à toutes et à tous, je vous aime eugenoliens!
Et même macho je l'aime car je sais qu'il est dans l'erreur et ne le hais point, le pauvre choupinou à sa catherine.

--
On a toujours le choix mais entre quoi et quoi?
Vas-y boulégue et l'avenir te le dira!