Cookie Consent byPrivacyPolicies.comRéhabilitation antérieure 3, sans ortho...aie! - Eugenol

Réhabilitation antérieure 3, sans ortho...aie!

S2y2o1v7q53ws4r5wy6ou8czrpom - Eugenol
pxav

25/09/2013 à 15h12

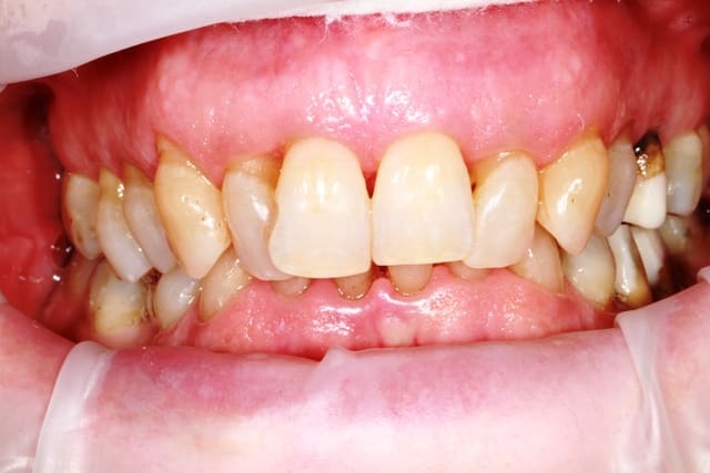
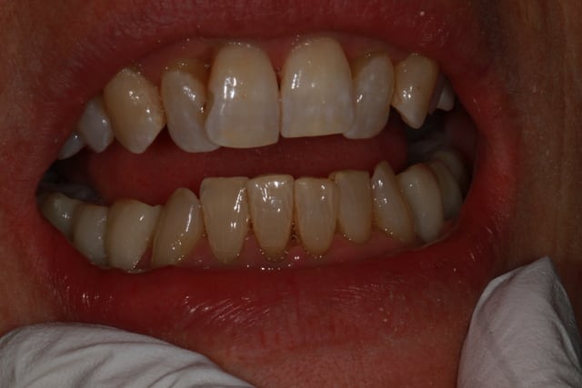
patiente 62 ans région Parisienne, appelle pour un avis, son praticien, paro, imlpanto etc... lui dit que sa paro n'a plus besoin de soin et propose pour les 6 antérieurs (j'ai le devis sous les yeux) 6 Inlay Core et 6 CCM...

Je ne suis pas tout à fait sur que le plan de traitement soit "adapté".

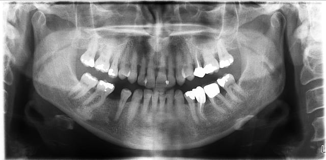
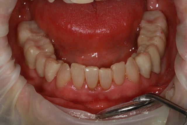
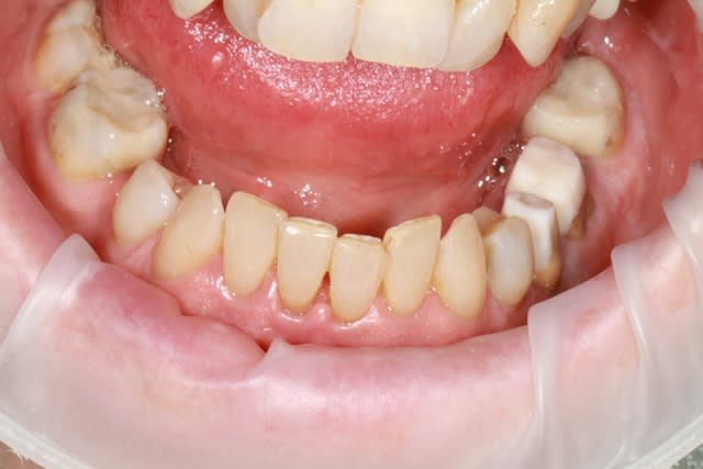
Les panos sont du départ, les photos sont après un nettoyage ...profond et soins.

--
xbk
"Si tous ceux qui croient avoir raison n'avaient pas tort, la vérité ne serait pas loin" Dac Pierre

Fa eli n6fumr - Eugenol
Fa elis05.04 - Eugenol
Img 8760 x1kr6n - Eugenol
Img 8761 jh3p9q - Eugenol
Img 8762 nein6l - Eugenol
Img 8763 mcg1xi - Eugenol
Img 8764 mn0nvy - Eugenol

South park   craig te7bfk - Eugenol
CRAIG

25/09/2013 à 15h41

Euh....Petite question pour Ameli : en cas de contrôle par un CDC après la pose des IC et des CCM ke passat?
Cela peut être considéré comme des mutilations dentaires?


S2y2o1v7q53ws4r5wy6ou8czrpom - Eugenol
pxav

25/09/2013 à 15h45


Pour ameli je ne sais pas mais pour moi ça doit au minimum être une perte de chance, du sur traitement et une petite embrouille avec la nomenclature.
--
xbk
"Si tous ceux qui croient avoir raison n'avaient pas tort, la vérité ne serait pas loin" Dac Pierre


1309531 ours brun n5iukf - Eugenol
seespan

25/09/2013 à 15h55

Ce cas serait parfait pour des danchemons. avec un peut (beaucoup) de streeping éventuellement il y aurait moyen d'amélioré l'alignement.
Ensuite voir pour des facettes, mais a 62 ans je doute que la patiente est une demande esthétique qui aille aussi loin :-) .

--
หมอจัดฟัน


S2y2o1v7q53ws4r5wy6ou8czrpom - Eugenol
pxav

25/09/2013 à 16h05

seespan écrivait:
-----------------
> Ensuite voir pour des facettes, mais a 62 ans je doute que la patiente est une
> demande esthétique qui aille aussi loin :-) .
>
> --
> หมอจัดฟัน

Tu es jeune, les sexagénaires ont la même "tête" depuis ...longtemps et l'accumulation des années les poussent au contraire à rechercher un peu de confort...
--
xbk
"Si tous ceux qui croient avoir raison n'avaient pas tort, la vérité ne serait pas loin" Dac Pierre


Photo pluton1b h9n4ea - Eugenol
pluton

25/09/2013 à 16h17

elle ne veut pas d'ortho?
alors botte en touche, là c'est ortho ou rien...


paradoxe

25/09/2013 à 16h26

seespan écrivait:
-----------------
> Ce cas serait parfait pour des danchemons. avec un peut (beaucoup) de streeping
C'est quoi les danchemons ?
Sinon comme seespan, ce petit "désalignement' s'améliore grandement et facilement sans poser un seul bracket.


1309531 ours brun n5iukf - Eugenol
seespan

25/09/2013 à 16h34

pxav écrivait:
--------------

> Tu es jeune, les sexagénaires ont la même "tête" depuis ...longtemps et
> l'accumulation des années les poussent au contraire à rechercher un peu de
> confort...

Le fait que la patiente est demandé un second avis lors de la phase prothétique me laisse penser que la demande esthétique n'atteint sans doute pas le niveau d'une reconstitution total. Sauf si bien sure elle a compris le coté mutilant pour les tissus dentaire du traitement initial et que par soucis de conservation du tissue dentaire elle consulte pour un second avis. Ce n'est pas ironique j'ai déjà eu un ou deux patients comme ça, dévitalisé une dents c'est presque un meurtre, une couronne c'est le début de la fin ;..

Dans ce cas il est probable qu'une amélioration de l'alignement satisfera la patiente.
Ensuite pour un résultat optimum ( esthétiquement ) facette.

@ paradox
Les danchemons sont des attaches en composite fabriqué directement sur les dents. Parfait pour les patients ayant un parodonte affaiblie et ou des bracket edgewise ne serais pas adapté mécaniquement.

Sinon il y a cartman qui travail avec tipedge qui mécaniquement serait adapté ici. Mais dans danchemon serait meilleur mécaniquement, plus esthétique et moins chère.
--
หมอจัดฟัน


S2y2o1v7q53ws4r5wy6ou8czrpom - Eugenol
pxav

25/09/2013 à 17h03

le problème de départ de cette patiente est paro...et bien sur l'ortho est une bonne idée, mais je ne pense pas que l'ortho permette de rétablir une DV correcte.
donc dans un premier temps détartrage, détartrage, détartrage Wax up, ....surfaçage couronne , amalgame à la benne taille des postérieurs inférieure et pose de provisoires pour valider la nouvelle DV.

--
xbk
"Si tous ceux qui croient avoir raison n'avaient pas tort, la vérité ne serait pas loin" Dac Pierre

Img 8765 yikdlt - Eugenol
Img 8766 fgtkll - Eugenol
Img 8767 c7j9hj - Eugenol

Monsieur Poupi

25/09/2013 à 17h39

Tu as augmenté la DV de cette patiente pour diminuer le recouvrement antérieur mais avait-elle perdu de la DV à la base ?
Supporte-t-elle bien cette augmentation ?


Photo pluton1b h9n4ea - Eugenol
pluton

25/09/2013 à 18h25

pxav écrivait:
--------------
> le problème de départ de cette patiente est paro...et bien sur l'ortho est une
> bonne idée, mais je ne pense pas que l'ortho permette de rétablir une DV
> correcte.

faux....
plan de surélévation rétro-incisif combiné au multibagues et en 1 ou 2 mois de temps tu n'avais plus de supraclusion...et sans tailler le secteur 4...
de plus tu aurais aligné les incisives inf et sup, simplifiant considérablement le ttm...

> donc dans un premier temps détartrage, détartrage, détartrage Wax up,
> ....surfaçage couronne , amalgame à la benne taille des postérieurs inférieure
> et pose de provisoires pour valider la nouvelle DV.

quel dommage d'avoir pris le taille crayon si vite....


Bebe 038 nf8eum - Eugenol
danteyeah

25/09/2013 à 18h29

Moi les 4000€ j'les met dans l'ortho.......nan! j'déconne ;-)

Tout à fait d'accord avec le manque de calage par effondrement des spee. Il y a par contre égression du bloc incisif supérieur, d'où surcharge occlusal ne favorisant pas la paro, si on attend trop tout s'écroule. Une réingresser par de l'ortho sur un terrain paro fragile est super long, voir dangereux (aggravation de la paro), le choix de se passer d'ortho ici semble plutôt logique, il est urgent de régler l'occlusion et d’alléger le sur-guidage incisif (le rôle des provisoires molaire mandibulaire).

La ligne du sourire semble trop basse, et la ligne des collets est a remonter. Les couloirs vestibulaires sont sombre. Rajouter du volume en vestibulaire permettrait d'illuminer le sourire, donc facette Emax de 16 à 26 (peut être CCC en postérieur à la place des facettes, si on doit encore peaufiner l'occlusion). Globalement c'est peu ou pas mutilant car le manque est surtout vestibulaire.

Au fait pourquoi ce post se trouve en endo?


1309531 ours brun n5iukf - Eugenol
seespan

25/09/2013 à 18h37

pluton écrivait:
----------------

> faux....
> plan de surélévation rétro-incisif combiné au multibagues et en 1 ou 2 mois de
> temps tu n'avais plus de supraclusion...et sans tailler le secteur 4...

Un plan de surélévation retro-incisif c'est un appareil amovible que tu met au maxillaire pour que les incisifs inf vienne taper dessus et obtenir une désocclusion postérieur ?
--
หมอจัดฟัน


1309531 ours brun n5iukf - Eugenol
seespan

25/09/2013 à 18h42

La demande juste un avis car le cas est pluridisciplinaire et pas ODF seul;

Mais sur une patient présentant un terrain paro avec lésion infracteuse et lésion de furcation sur certaine zone.

Une reconstruction prothétique n'est elle pas une option plus sage dans les secteur post inférieure ? Pour la maintenance paro et pour mettre des limites sous gingivale.

De plus il me semble que cette patient bruxe légèrement une extrusion post ne risque t'elle pas de récidiver. C'est une des mouvement qui a la moine bonne stabilité dimensionnelle a ma connaissance.

--
หมอจัดฟัน


Photo pluton1b h9n4ea - Eugenol
pluton

25/09/2013 à 18h48

seespan écrivait:
-----------------

> Un plan de surélévation retro-incisif c'est un appareil amovible que tu met au
> maxillaire pour que les incisifs inf vienne taper dessus et obtenir une
> désocclusion postérieur ?

oui, amovible dans des tubes palatins des bagues molaires voir même soudé sur les bagues (je préfère, moins de problèmes...)
en plus çà permet de poser ht et bas en même temps et donc de gagner un temps considérable sur le traitement...
la désoclusion post permet de relever la DV comme s'il y avait eu les provisoires comme montré ici, le nivellement des arcades et la correction des courbes de spee font le reste...sans rien avoir taillé...


Photo pluton1b h9n4ea - Eugenol
pluton

25/09/2013 à 18h55

pour ceux qui doutent de cette technique, ne croyez pas que çà ne fait qu'égresser les secteurs postérieurs...
au contraire, le mouvement est très faible en postérieur et il y a surtout ingression au niveau antérieur supérieur et inférieur, pas plus mal ici pour corriger le sourire gingival...

mais bon, je dis çà...


S2y2o1v7q53ws4r5wy6ou8czrpom - Eugenol
pxav

25/09/2013 à 22h08


Par pluton aujourd'hui à 14:17

elle ne veut pas d'ortho?
alors botte en touche, là c'est ortho ou rien...

Par pluton aujourd'hui à 16:25


faux....
plan de surélévation rétro-incisif combiné au multibagues et en 1 ou 2 mois de temps tu n'avais plus de supraclusion...et sans tailler le secteur 4...
de plus tu aurais aligné les incisives inf et sup, simplifiant considérablement le ttm...



quel dommage d'avoir pris le taille crayon si vite....

Petite erreur de ma part la patiente va avoir 64 ans, et elle a l'impression que ses dents se déchaussent et se font la malle.
En plus elle trouve que son sourire n'est pas top
Par contre même si elle le demandait, l'ortho ne ferait pas partie des priorités dans ce cas là.
A mon humble avis, il est trop risqué de "fatiguer" le parodonte avec un ttt ortho.
De plus les orthos alignent mais font rarement de l'occlusion, du moins les spécialistes que je fréquente.
Et sans une bonne occlusion, la paro ne pourra pas se stabiliser.

Le titre de ce post est clair: Réhabilitation antérieure 3, sans ortho...aie!
aie! je vais me faire incendier par les fans de l'ortho, et pas aie la patiente n'en veux pas.
à l'examen des coupes pano, franchement je ne crois pas que ce soit le bon choix.

je vais donc suivre mon idée, et ne pas envisager d'ortho.

--
xbk
"Si tous ceux qui croient avoir raison n'avaient pas tort, la vérité ne serait pas loin" Dac Pierre

Fa elis05.04 - Eugenol
Fa elis05.04 - Eugenol
Fa elis05.04 - Eugenol
Fa elis05.04 - Eugenol

S2y2o1v7q53ws4r5wy6ou8czrpom - Eugenol
pxav

25/09/2013 à 22h10

Wax up et taille crayon...

--
xbk
"Si tous ceux qui croient avoir raison n'avaient pas tort, la vérité ne serait pas loin" Dac Pierre

Img 8778 mgw1iw - Eugenol
Img 8776 yjxckz - Eugenol
Img 8777 o1qd6z - Eugenol
Img 8765 wslpyl - Eugenol
Img 8766 dtvkmm - Eugenol

S2y2o1v7q53ws4r5wy6ou8czrpom - Eugenol
pxav

25/09/2013 à 22h19


Empreinte, détourage et préparation des cires avec une occlusion différente de celle du wax up, un peu plus de DV
Le trait rouge sur les incisive donne à peu de chose prêt l'origine...
--
xbk
"Si tous ceux qui croient avoir raison n'avaient pas tort, la vérité ne serait pas loin" Dac Pierre

Img 8775 zyzyqo - Eugenol
Img 8774 ld76dy - Eugenol
Img 8779 xqrohy - Eugenol
Img 8783 kpjfla - Eugenol
Img 8784 tnwjxy - Eugenol

Photo pluton1b h9n4ea - Eugenol
pluton

26/09/2013 à 02h52

pxav écrivait:
--------------

> Le titre de ce post est clair: Réhabilitation antérieure 3, sans ortho...aie!
> aie! je vais me faire incendier par les fans de l'ortho, et pas aie la patiente
> n'en veux pas.
> à l'examen des coupes pano, franchement je ne crois pas que ce soit le bon
> choix.
>
> je vais donc suivre mon idée, et ne pas envisager d'ortho.

pxav, il est bien évident que juste une vue pano et quelques photos de moulages ne me permet pas de juger du bien fondé de ton traitement...
sans examen de visu du cas, d'une évaluation précise de l'état du parodonte, des mobilités dentaires, il m'est impossible de donner mon avis...sauf à te reprendre sur les possibilités de correction de la DV par l'ODF sans avoir à tailler les dents...mais çà, sans faire d'ortho, tu ne peux pas forcément le savoir ni même en estimer la durée ou bien la difficulté...

il n'empêche que je suis curieux de voir la suite, même si je l'imagine, et que j'aurais quand même certainement intégré une phase d'ortho, même courte, pour au moins aligner les incisives...

donc "t'allumer", non, corriger tes préjugés, oui, et amha une prise en charge pluridisciplinaire ortho/paro/prothèse aurait permis d'optimiser les résultats tout en allégeant et simplifiant chacune des disciplines...


S2y2o1v7q53ws4r5wy6ou8czrpom - Eugenol
pxav

26/09/2013 à 09h44

pluton écrivait:
----------------

> il n'empêche que je suis curieux de voir la suite, même si je l'imagine,

Moi aussi:-))

et que j'aurais quand même certainement intégré une phase d'ortho, même courte, pour au moins aligner les incisives...


donc "t'allumer", non, corriger tes préjugés, oui, et amha une prise en charge pluridisciplinaire ortho/paro/prothèse aurait permis d'optimiser les résultats tout en allégeant et simplifiant chacune des disciplines...

Contrairement à ce que tu crois, je n'ai rien contre l'ortho, mais tout comme pour l'implanto, je n'en fait pas une obligation.
Par exemple pour 45, le choix du bridge peut paraitre "ringard", et pourtant c'est mon choix, même si un implant était un tout aussi bon choix.

Bien sur paro, ortho, implanto, prothèse à minima (au minimum virer les anciennes couronnes) ce serait aussi un bon choix.

J'ai constaté des résultat paro étonnant avec l'Emax et c'est vrai que ça influence mes plans de traitement.

Bien sur ça peut être considéré comme du sur traitement, mais j'ai évité les 6 Inlays Core et CCM...
--
xbk
"Si tous ceux qui croient avoir raison n'avaient pas tort, la vérité ne serait pas loin" Dac Pierre


Grueavatar nptrc9 - Eugenol
Le Choixpeau magique

26/09/2013 à 10h38

pxav écrivait:
--------------
> A mon humble avis, il est trop risqué de "fatiguer" le parodonte avec un ttt
> ortho.

Sur un parodonte stabilisé (résolution de l'inflammation), ça ne pose pas de problème normalement.

> De plus les orthos alignent mais font rarement de l'occlusion, du moins les
> spécialistes que je fréquente.

Qu'est-ce que tu entends par "faire de l'occlusion" ?

Personne ne t'a interdit de "faire de l'occlusion" après que le traitement ortho ait été réalisé, ça n'en sera que plus facile.


S2y2o1v7q53ws4r5wy6ou8czrpom - Eugenol
pxav

26/09/2013 à 11h46

Le Choixpeau magique écrivait:
------------------------------

>
> Sur un parodonte stabilisé (résolution de l'inflammation), ça ne pose pas de problème normalement.
>

>
> Qu'est-ce que tu entends par "faire de l'occlusion" ?
>
> Personne ne t'a interdit de "faire de l'occlusion" après que le traitement ortho ait été réalisé, ça n'en sera que plus facile.

Je suis d'accord avec toi sur le principe, mais je pense que le rapport temps passé/risques/résultat final n'est pas trop favorable sur certains "seniors", donc dans certains cas je privilégie l'option sans ortho, ainsi que sans implanto, et je trouve intéressant de montrer ces cas, car la reflexion est toujours constructive, y compris pour moi, car je ne détient aucune vérité.

Petit rappel, je n'ai rien contre l'ortho, ni l'implanto, mais je reste omnipraticien.
--
xbk
"Si tous ceux qui croient avoir raison n'avaient pas tort, la vérité ne serait pas loin" Dac Pierre


S2y2o1v7q53ws4r5wy6ou8czrpom - Eugenol
pxav

26/09/2013 à 13h58

Monsieur Poupi écrivait:
------------------------
> Tu as augmenté la DV de cette patiente pour diminuer le recouvrement antérieur
> mais avait-elle perdu de la DV à la base ?
> Supporte-t-elle bien cette augmentation ?

apparemment oui
--
xbk
"Si tous ceux qui croient avoir raison n'avaient pas tort, la vérité ne serait pas loin" Dac Pierre


S2y2o1v7q53ws4r5wy6ou8czrpom - Eugenol
pxav

26/09/2013 à 14h04

danteyeah écrivait:
-------------------

> Tout à fait d'accord avec le manque de calage par effondrement des spee. Il y a
> par contre égression du bloc incisif supérieur, d'où surcharge occlusal ne
> favorisant pas la paro, si on attend trop tout s'écroule. Une réingresser par de
> l'ortho sur un terrain paro fragile est super long, voir dangereux (aggravation
> de la paro), le choix de se passer d'ortho ici semble plutôt logique, il est
> urgent de régler l'occlusion et d’alléger le sur-guidage incisif (le rôle des
> provisoires molaire mandibulaire).


Il me semble que nous avons , maintenant, une approche relativement identique, le mieux pouvant être l'ennemi du bien.


>
> La ligne du sourire semble trop basse, et la ligne des collets est a remonter.
> Les couloirs vestibulaires sont sombre. Rajouter du volume en vestibulaire
> permettrait d'illuminer le sourire, donc facette Emax de 16 à 26 (peut être CCC
> en postérieur à la place des facettes, si on doit encore peaufiner l'occlusion).
> Globalement c'est peu ou pas mutilant car le manque est surtout vestibulaire.
>

Le gros du problème va être de ne pas se planter sur le résultat final, d’où l’intérêt d'avoir des avis extérieurs


> Au fait pourquoi ce post se trouve en endo?

c'est corrigé, merci les modos


--
xbk
"Si tous ceux qui croient avoir raison n'avaient pas tort, la vérité ne serait pas loin" Dac Pierre


12...