Cookie Consent byPrivacyPolicies.comRéhabilitation antérieure 3, sans ortho...aie! - Eugenol

Réhabilitation antérieure 3, sans ortho...aie!

S2y2o1v7q53ws4r5wy6ou8czrpom - Eugenol
pxav

20/12/2013 à 15h16

Je ne sais pas si c'est Noël, mais ça fait du bien de poster sans provoquer les piaillements des jamais bien.(je n'ai pas dis j'Amibien;-))

--
xbk
"Si tous ceux qui croient avoir raison n'avaient pas tort, la vérité ne serait pas loin" Dac Pierre


Ylfwcw979cz1jnx9gfqeaxndiuzk - Eugenol
Algi

20/12/2013 à 18h28

Et puis ça change de ccam ou devis conventionnel.

--
On a toujours le choix mais entre quoi et quoi?
Vas-y boulégue et l'avenir te le dira!


Ylfwcw979cz1jnx9gfqeaxndiuzk - Eugenol
Algi

21/12/2013 à 18h21

Ce qui me rassure dans ce post c'est qu'on y voit que quand on propose des choses "justes" a nos patients ils sont prêts à se déplacer, à investir temps et argent, a nous faire confiance....

Bref que quand on y met du cœur ils suivent et les cerise, santé clair et consorts sont marron car eux c'est pas le cœur mais l'oseille qui les motive.

Et qu'on vienne pas me dire que les cas présentés sont inaccessibles.


--
On a toujours le choix mais entre quoi et quoi?
Vas-y boulégue et l'avenir te le dira!


S2y2o1v7q53ws4r5wy6ou8czrpom - Eugenol
pxav

21/12/2013 à 18h57

Non, pas inaccessibles, mais pas simple non plus, surtout en prises de décisions, car des que l'on quitte la ligne du "c'est comme ça qu'il faut", il est bon de ne pas trop se louper.
Si j'avais les capacités de Dancha, il est certain que mes plans de traitement seraient différents, mais nul n'est parfait, le principal est peut être de le savoir.


--
xbk
"Si tous ceux qui croient avoir raison n'avaient pas tort, la vérité ne serait pas loin" Dac Pierre


Ylfwcw979cz1jnx9gfqeaxndiuzk - Eugenol
Algi

21/12/2013 à 19h46

Dancha est exceptionnel et franchement je peux te dire qu'avec tes moyens et tes outils tu t'en sors très honorablement. Fais tu pxav et continue à le faire bien.

--
On a toujours le choix mais entre quoi et quoi?
Vas-y boulégue et l'avenir te le dira!


S2y2o1v7q53ws4r5wy6ou8czrpom - Eugenol
pxav

21/12/2013 à 19h59

que de compliments...
merci

--
xbk
"Si tous ceux qui croient avoir raison n'avaient pas tort, la vérité ne serait pas loin" Dac Pierre


Utilisateur banni

21/12/2013 à 21h46

Suivant les souhaits de la patiente il eut peut-être été possible d'être moins délabrant. Sinon les provisoires j'espère qu'elles ne sont pas restées trop longtemps ainsi. Pour les définitives, toujours sourire négatif par pointes canines basses, à moduler en fonction des fonctions ne bouche.
Bref j'aurais pas fait pareil mais autant d'avis que de tête, ce qui compte c'est que ça se passe bien ensuite et que la patiente soit contente.
A part ça c'est bien d'avoir du boulot (qui paie), quand je pense que c'est la dèche depuis août, et que ce matin j'ai été planté de A à Z...


S2y2o1v7q53ws4r5wy6ou8czrpom - Eugenol
pxav

21/12/2013 à 22h38

T'en fais pas, ici aussi c'est le règne du lapin;-))
Mais ça laisse du temps pour les études de cas sympa...
il faut mieux voir la bouteille à moitié pleine...de toutes façon François en piquera les 3/4...


--
xbk
"Si tous ceux qui croient avoir raison n'avaient pas tort, la vérité ne serait pas loin" Dac Pierre


rene

26/12/2013 à 10h02

J'ai un cas semblable au votre qui arrive et je vais tenter de le faire par collage d'onlay plutôt que le taille crayon
C'est un risque accepté par le patient/confrère

Prax et algi nous montrent la voie de ce que sera le trt du futur car les pertes de DVO sont beaucoup plus nombreuses que l'on ne pense
Et bien sur, parfaitement réalisés. je suis content de connaître ces 2 zouaves!

Bon bout d'an et à l'an che vin!


S2y2o1v7q53ws4r5wy6ou8czrpom - Eugenol
pxav

26/12/2013 à 10h32

salut René
bien sur le principe onlays /facettes est plus "safe" que le "taille crayon", mais dans le cas présenté, j'ai pensé qu'il valait mieux ne pas s'occuper des économies de tissus, mais privilégier un résultat rapide.
J'ai longtemps pratiqué l'onlay, mais le seul matériau qui m'a donné de bons résultats à long terme est l'or, qui n'est malheureusement, plus très facile à faire accepter par les patients.
Nous faisons toujours des choix, en posant les pour et les contre, et malheureusement je n'ai pas le talent de nos orthodontistes... qui sont vraiment très pointus.


--
xbk
"Si tous ceux qui croient avoir raison n'avaient pas tort, la vérité ne serait pas loin" Dac Pierre


S2y2o1v7q53ws4r5wy6ou8czrpom - Eugenol
pxav

07/01/2014 à 12h16

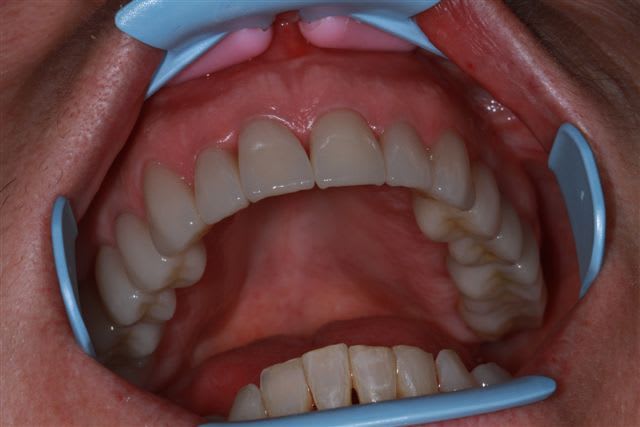
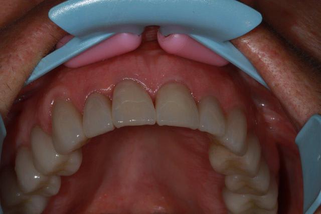
Contrôle à 1 mois, gencive correcte, mobilité des latérales passée de 3 à 1.
Pour les antérieurs mandibulaire, pas jugé nécessaire, de faire des facettes elle ne découvre pratiquement pas.

--
xbk
"Si tous ceux qui croient avoir raison n'avaient pas tort, la vérité ne serait pas loin" Dac Pierre

Img 0192 xjjkfp - Eugenol
Img 0191 uwudea - Eugenol
Img 0190 abjufu - Eugenol
Img 0186 oohk8s - Eugenol
Img 0188 drnwtr - Eugenol
Img 0189 tkdaxy - Eugenol

rene

07/01/2014 à 20h05

tres beau
le vieux se debrouille bien :-))

bonne année a toi


S2y2o1v7q53ws4r5wy6ou8czrpom - Eugenol
pxav

07/01/2014 à 20h42

c'est surtout un travail d'équipe, patiente, prothésistes, et, le vieux...:-))
Bonne année à toi aussi rené

--
xbk
"Si tous ceux qui croient avoir raison n'avaient pas tort, la vérité ne serait pas loin" Dac Pierre


Bebe 038 nf8eum - Eugenol
danteyeah

15/01/2014 à 02h37

C'est dingue le peu d'intérêt que suscite la fin de ce post a tel point que j'ai failli le louper!

Splendide état gingival, merci de bien vouloir continuer a iconographier son évolution.
L'axe des incisives est malheureusement un peu penché (effet "essuie glace"), mais il n'y a que les dentistes pour le remarquer, par contre on aurait gagné en féminité en adoucissant et réduisant la taille des canines au profit des centrales, enfin à mon goût.

Je reste à l'affut du prochain cas, ça aide à lutter contre la morosité ambiante du chapitre "exercice professionnel" ;-)


S2y2o1v7q53ws4r5wy6ou8czrpom - Eugenol
pxav

15/01/2014 à 10h02

danteyeah écrivait:
-------------------

> Splendide état gingival, merci de bien vouloir continuer a iconographier son évolution.

Ce sera dans 6 mois, la patiente vient de Paris.

> L'axe des incisives est malheureusement un peu penché (effet "essuie glace"), mais il n'y a que les dentistes pour le remarquer,
D'accord avec toi, j'ai souvent le problème, c'est du en partie, je pense à l'éclairage du labo de prothèse, ou à la position de travail de la prothésiste qui "incline" souvent differement les secteurs 1 par rapport au 2.



par contre on aurait gagné en féminité en adoucissant et réduisant la taille des canines au profit des centrales, enfin à mon goût.

Exact, mais je dois avouer que la féminité, n'est pas évidente à mettre e valeur sur cette patiente, qui a plutôt un coté "nature", sans fioriture.
>
> Je reste à l'affut du prochain cas, ça aide à lutter contre la morosité ambiante du chapitre "exercice professionnel" ;-)

Et bien c'est fait: accident de moto...4 incisives ;-))
--
xbk
"Si tous ceux qui croient avoir raison n'avaient pas tort, la vérité ne serait pas loin" Dac Pierre


Bebe 038 nf8eum - Eugenol
danteyeah

16/01/2014 à 03h25

pxav écrivait:
--------------

> > Je reste à l'affut du prochain cas, ça aide à lutter contre la morosité
> ambiante du chapitre "exercice professionnel" ;-)
>
> Et bien c'est fait: accident de moto...4 incisives ;-))

C'est pas du jeu ;-)
Je reconnais et salue la maitrise et la technique du professionnel (d'autant qu'avec des montages composite tu titilles un monde qui me fascine).
Mais ce qu'il y a de passionnant dans les cas cliniques c'est bien la mise en place du plan de traitement et des connexions neuronales qui permettent d'y aboutir, surtout quand les possibilités de traitement sont multiples. Cela peut devenir une nourriture pour notre soif de connaissance (voir l'aparté d'Algi sur ton sujet).
Alors, merci encore pour ton partage.


S2y2o1v7q53ws4r5wy6ou8czrpom - Eugenol
pxav

16/01/2014 à 08h40

j'ai allumé quelques neurones sur l'accident de moto, car dans un premier temps, le patient était venu pour un devis (ceram), mais après réflexion j'ai réalisé qu'il ne pourrait jamais s'offrir de belles facettes/onlays Emax, pour le moment (pas assuré (0.6 g) c'est moi qui l'ai rappelé pour lui redonner "une image plus positive de lui".
On verra le reste plus tard.

--
xbk
"Si tous ceux qui croient avoir raison n'avaient pas tort, la vérité ne serait pas loin" Dac Pierre


S2y2o1v7q53ws4r5wy6ou8czrpom - Eugenol
pxav

18/04/2015 à 00h19

danteyeah écrivait:
-------------------
> C'est dingue le peu d'intérêt que suscite la fin de ce post a tel point que j'ai
> failli le louper!
>
> Splendide état gingival, merci de bien vouloir continuer a iconographier son
> évolution.
> L'axe des incisives est malheureusement un peu penché (effet "essuie glace"),
> mais il n'y a que les dentistes pour le remarquer, par contre on aurait gagné en
> féminité en adoucissant et réduisant la taille des canines au profit des
> centrales, enfin à mon goût.
>
> Je reste à l'affut du prochain cas, ça aide à lutter contre la morosité ambiante
> du chapitre "exercice professionnel" ;-)

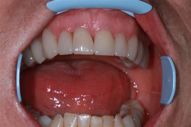
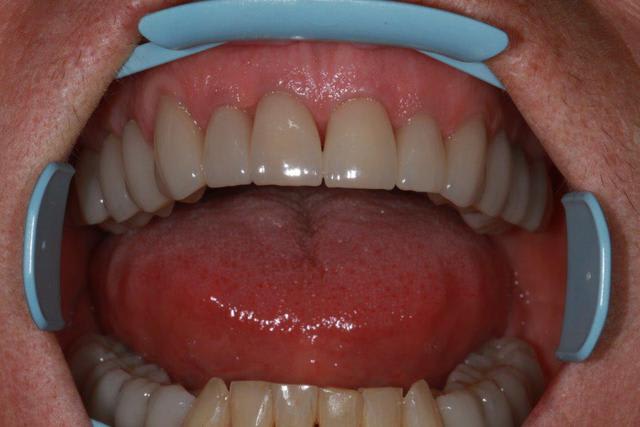
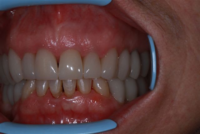
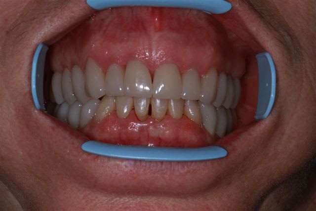
Pour toi danteyeah contrôle à un peu plus d'un an...j'en ai profité pour refaire la gouttière maxillaire 'que la patiente à perdue dans un déménagement) en résine molle, qui est censée ne pas fonctionner d'après les occlusodontistes...mais que la patiente porte très régulièrement...et que dire, gencive ...propre, mobilité 1, patiente contente qui a changé son look ...dentiste content aussi.
--
xbk
"Si tous ceux qui croient avoir raison n'avaient pas tort, la vérité ne serait pas loin" Dac Pierre

Img 2106 pnrela - Eugenol
Img 2107 ox83wk - Eugenol
Img 2108 q0edbf - Eugenol
Img 2109 i1x6h8 - Eugenol
Img 2110 rzqr1e - Eugenol

Bebe 038 nf8eum - Eugenol
danteyeah

19/04/2015 à 22h37

Merci pour y avoir pensé. Effectivement tout est stable et rien n'a bougé, même pas le cadrage photo😜.
Et puis après avoir prouvé aux orthos. (Plusieurs fois d'ailleurs) que parfois on pouvait faire sans eux, il a fallu que tu rajoutes une petite phrase assassine pour les occlusos......peut pas s'en empêcher 😉


S2y2o1v7q53ws4r5wy6ou8czrpom - Eugenol
pxav

19/04/2015 à 22h53

pas assassine la phrase, humour décalé c'est tout.
Je ne crois pas aux "sciences exactes", donc c'est vrai que quelques fois (souvent?) je ne suis pas dans la ligne du parti.

Ceci étant, ce n'est pas parce que la gouttière dans ce cas là, semble pérenniser le travail, que c'est la solution dans tout les cas.

je pense plus que c'est l'ensemble, occlusion,dv, hygiène etc...et psychologie de la patiente qui porte sa gouttière avec plaisir, qui font le résultat.


--
xbk
"Si tous ceux qui croient avoir raison n'avaient pas tort, la vérité ne serait pas loin" Dac Pierre


Images mg2jvu - Eugenol
zorg

20/04/2015 à 00h03

pxav écrivait:
--------------
>j'en ai profité pour refaire
> la gouttière maxillaire 'que la patiente à perdue dans un déménagement) en
> résine molle, qui est censée ne pas fonctionner d'après les
> occlusodontistes...mais que la patiente porte très régulièrement


Sur un simple souci musculaire tout marche au moins un moment: dur, mou, jig, capuchon de stylo, pompe à vélo... du moment que çà limite le serrage d'une manière directe ou indirecte


S2y2o1v7q53ws4r5wy6ou8czrpom - Eugenol
pxav

20/04/2015 à 00h22

un moment long ou un moment court?
Si c'est court je vais avoir l'air con...

--
xbk
"Si tous ceux qui croient avoir raison n'avaient pas tort, la vérité ne serait pas loin" Dac Pierre


Darmon - Eugenol
Latin

20/04/2015 à 14h38

Bravo pour le résultat et merci de nous donner des nouvelles de ce joli cas.
Bien-sûr on peut traiter beaucoup de choses sans ortho et cet exemple en est la preuve.
Toutefois il ne faut pas nier qu'en cas de malpositions importantes comme ici une première phase ortho permet de préserver le capital tissulaire au maximum, l'intervention prothétique ne servant qu'à régler le problème cosmétique, tout en ne préparant les dents qu'a minima.
Avoir réussi dans un cas comme celui-là à préserver la vitalité est déjà une très bonne chose.

--
`·.¸¸.·´¯`·.¸¸.·´¯`·.¸¸.·´¯`·.¸ ><((((((º>


S2y2o1v7q53ws4r5wy6ou8czrpom - Eugenol
pxav

20/04/2015 à 15h33

Latin écrivait:
---------------

> l'intervention prothétique ne servant qu'à régler le problème cosmétique, tout en ne préparant les dents qu'a minima.
> Avoir réussi dans un cas comme celui-là à préserver la vitalité est déjà une très bonne chose.
>
> --
> `·.¸¸.·´¯`·.¸¸.·´¯`·.¸¸.·´¯`·.¸ ><((((((º>

Ma période dévitalisation, IC est bien loin en effet.
Par contre la prothèse ne règle pas que le problème cosmétique, sinon elle ne servirait pas à grand chose... DV et occlusion sont très importants pour la pérennité du cas.
--
xbk
"Si tous ceux qui croient avoir raison n'avaient pas tort, la vérité ne serait pas loin" Dac Pierre


Darmon - Eugenol
Latin

20/04/2015 à 16h07

pxav écrivait:
--------------
> Par contre la prothèse ne règle pas que le problème cosmétique, sinon elle ne
> servirait pas à grand chose... DV et occlusion sont très importants pour la
> pérennité du cas.

Le résultat est super, c'est indéniable.

Je vois bien que dans la manière dont tu as géré le cas la prothèse n'est pas que cosmétique! Je n'ai jamais dit le contraire. J'ai d'ailleurs rédigé mon message (que tu tronques!) dans ce sens. Je voulais juste rappeler que certes on peut faire beaucoup sans ortho, mais que c'est toujours au prix d'un sacrifice tissulaire supérieur. Avec une phase ortho tu aurais pu envisager de ne faire que des préparations pour facettes en antérieur, et peut-être rien du tout sur certaines dents dans les secteurs latéraux et postérieurs, éventuellement un peu d'équilibration occlusale si nécessaire.

Et si on regarde l'occlusion, si on chipote, il te reste du coup une belle marche d'escalier entre les secteurs latéraux et le bloc incisivo-canin mandibulaire qui aurait été supprimée avec de l'ortho, en plus d'éviter une forte augmentation de la hauteur coronaire des secteurs latéraux et postérieurs. Une analyse céphalo sagittale aurais permis de faire le distinguo entre égression antérieure et ingression postérieure.

Et ne sois pas étonné de ne pas avoir provoqué la foudre des férus d'orthos dans la mesure où ton cas est présenté de manière réfléchie et rationnelle.

Mais encore une fois chapeau le résultat est super.

Je n'aurais rien ajouté si tu n'avais pas tronqué dans ta citation et donc modifié le sens de mon message précédent ;-).


--
`·.¸¸.·´¯`·.¸¸.·´¯`·.¸¸.·´¯`·.¸ ><((((((º>