Cookie Consent byPrivacyPolicies.comQuand la MAIF renvoie les patients vers les protocolisés - Eugenol

Quand la MAIF renvoie les patients vers les protocolisés MGEN

Ylfwcw979cz1jnx9gfqeaxndiuzk - Eugenol
Algi

03/10/2013 à 00h25

"Tous les dentistes travaillent pareil. Rien ne justifie qu'il y ait des disparités d'honoraires".

Macho, cette phrase tu me l'écris en dessous, sur ce post, tu signes de ton nom et de tes qualités professionnelles et syncicales et tu autorises la publication.

ps: certains ont droit à "dépassement permanent".... faudrait voir à faire cesser ce scandale!

--
On a toujours le choix mais entre quoi et quoi?
Vas-y boulégue et l'avenir te le dira!


bouboule

03/10/2013 à 00h43

Ca me fait penser à notre éducation nationale... comment demander à un prof de se demener quand son collègue de la classe d à côté qui en branle pas une a la même recompense à la fin?
Chez nous c est pire, une endo sous digue etant payée pareil qu un bon coup de lentulo... on gagne plus en se faisant moins chi**...
Mais bon le seul truc mis en avant par tous les protocoles est " on vous obtient une bonne ristourne".... c'est beau...


Capture d  cran 2015 03 12 12.28 - Eugenol
chicot29

03/10/2013 à 00h54

machopacha écrivait:
--------------------
> Algi écrivait:
> --------------
> > Et sinon....
> >
> > Ils pretendent que pour le même travail ils vous font obtenir un rabais.
> >
> > Tout le monde, même macho, est d'accord pour dire que c'est mensonger.
> >
> > Et donc tout le monde dit que tous les dentistes travaillent pas pareil.....
> >
> > En clair TOUT le monde même macho accepte le fait que y'a ceux qui arrivent
> pas
> > à faire de soins à perte, et donc peuvent baisser le prix des protheses, et
> ceux
> > qui perdent de l'argent sur les soins car ils y passent du temps et des
> > investissements et ne peuvent pas baisser leurs prix de prothèse.
> >
> > Je suis donc ravi de voir que vous vous rangez à mon analyse.
> >
> > Analyse admise ici mais officieusement.... car, officiellement, "tous les
> > dentites se valent" (dixit l'ordre) et donc "officiellement" la MAIF a le
> droit
> > de dire que les soins sont pareils puisque fait chez pierre paul ou jacques
> ils
> > se valent....
> >
> > Donc soit on met sur la table la qualité des soins et les honoraires qu'on
> doit
> > demander soit on continue dans l'hypocrisie et on peut fermer tous les posts
> car
> > la profession est morte.
> >
> > ps: je vois venir les critiques: "Il ne faut pas le dire, c'est
> > anticonfraternel, pour qui tu te prends du haut de ta superbe".....
> >
> > J'espere on va enfin parler sans invectives ni langue de bois.
> >
> > --
> > On a toujours le choix mais entre quoi et quoi?
> > Vas-y boulégue et l'avenir te le dira!
>
> Non Algi, je ne suis pas d'accord avec ton analyse,
> J'ai parlé de la MAIF et toi tu dérives sur tes propos anticonfraternel...
>
> Là tu dérapes à mon avis, dans des propos anticonfraternels.

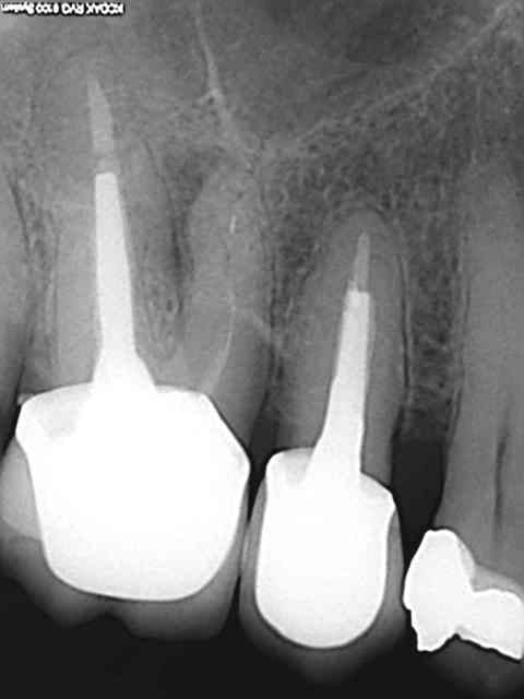
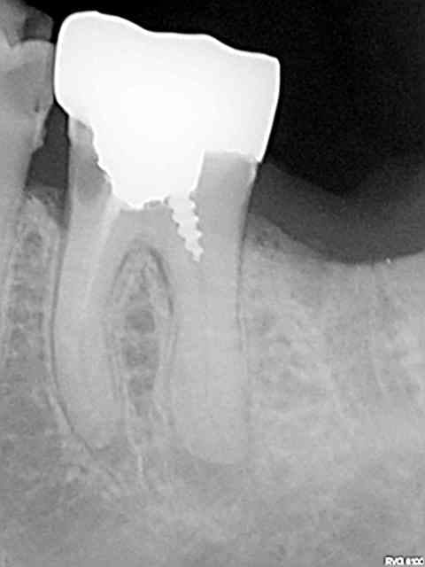
Moi c'est des radios que je vais poster et qu'on ne me dise pas que tous les dentistes se valent. C'est d'ailleurs la meme chose dans toutes les professions, faire croire l'inverse surtout en se basant uniquement sur des prix à la baisse , c'est la merde qui va monter plutôt que la qualité.
Mauvais exemple pour l'endo, c'est le meme prix, grace à qui ? C'est pas un exemple isolé , j'en ai des caisses, mais si je me met à les poster toutes ca va être lourd.


R17 qykbbl - Eugenol
R23 mgry51 - Eugenol

zazamouk

03/10/2013 à 01h05

machopacha écrivait:
--------------------
>
>
> Pour le reste essaye de ne pas déraper comme sur les autres fils.
> De deux choses, l'une : ou tu cherches à polémiquer ou tu as la comprenette
> difficile pour ne pas comprendre que la Charte est un cadre qui va se mettre en
> place progressivement.
> Comme je ne pense pas que tu sois idiot puisque bac +6 et de surcroit Confrère,
> il est facile de déduire ta motivation.

Je ne cherche pas à polémiquer à tout prix!
Je cherche juste à comprendre!

Une charte de bonne pratique est signé, mais elle se mettra en place petit à petit (6 mois, 1 an, plus?), et je ne connais toujours pas les sanctions qu'aurait une mutuel ou un dentiste à ne pas la respecter!
Tu peux ouvrir un autre sujet pour nous énoncer cela si tu veux!

Et je te le redit, la CNSD va peut être aller "recadrer" la MAIF en raison de son "appartenance" au protocole, mais je ne suis pas sur que cela changera.
Il n'y aura plus de grosses pub, mais par oral en agence ou au téléphone, les patients sauront qu'avec un signataire du protocole c'est le même prix mais mieux remboursé (donc moins cher!).
Il aura toujours le choix, mais son porte monnaie le guidera surement...


Capture d  cran 2015 03 12 12.28 - Eugenol
chicot29

03/10/2013 à 01h07

Et puis si une autre pour la route.)))))

R49 ecvjay - Eugenol
R20 gyw01e - Eugenol

Capture d  cran 2015 03 12 12.28 - Eugenol
chicot29

03/10/2013 à 01h17

zazamouk écrivait:
------------------

> Et je te le redit, la CNSD va peut être aller "recadrer" la MAIF en raison de
> son "appartenance" au protocole, mais je ne suis pas sur que cela changera.
> Il n'y aura plus de grosses pub, mais par oral en agence ou au téléphone, les
> patients sauront qu'avec un signataire du protocole c'est le même prix mais
> mieux remboursé (donc moins cher!).
> Il aura toujours le choix, mais son porte monnaie le guidera surement...


C'est évident. En outre Vous croyez sérieusement que des plateformes comme santé clair vont la respecter votre charte ? Mais aiguiller les patients vers des dentistes partenaires et sabrer les devis des non partenaires, c'est leur raison meme d'exister ils ne font que ca toute la journée. Vous êtes des lapins de 6 semaines ou quoi ?


bouboule

03/10/2013 à 02h00

machopacha écrivait:
--------------------

>
> Je me suis très largement exprimé sur le pourquoi et le comment du protocole MFP









> qui ne constitue pas en fait un réseau.












Le protocole MFP est bâti selon la même
> logique que la convention nationale.
>
> Dire que la protocole MFP est un réseau, c'est affirmer que la Convention
> nationale est un réseau. L'ambition était que 99% de confrère adhère au
> protocole MFP, comme 99% de praticien libéraux adhère à la convention.
.....
> Voilà le pourquoi et le comment de ce protocole qui n'a rien d'un réseau.







Et sur le site de la MGEN en cherchant 30 secondes on trouve ça:







"Le conventionnement MGEN
Comme pour l'hospitalisation, l'optique ou l'audioprothèse, la MGEN









a constitué un réseau de praticiens conventionnés.









Ainsi, tous les mutualistes MGEN, membres participants ou bénéficiaires, peuvent bénéficier :
d’une dispense d’avance de frais,
d’une limitation des honoraires,
d’une information préalable sur le montant à leur charge.


Afin de connaître les praticiens ayant signé une convention avec la MGEN, n'hésitez pas à consulter votre section MGEN."





Il existe donc bien des listes de " praticiens aux hnororaires limités organisés en réseaux" dixit la MGEN Machopacha!
C'est une chose de dire ce que tu penses toi, c'en est une autre que de confronter tes dires avec ceux de tes partenaires!

Il éxiste bien des listes, qui permettent à certains confrères de se faire de la pub (anti déontonlogique) et ainsi de détourner les patients de leur praticien habituel pour bénéficier d'une limitation d'honoraire (anticonfraternel)


Mais c'est pas ça qui me choque le plus. Le pire je trouve c'est qu'il n'est jamais question de qualité de soin mais que de pognon, de tiers payant, de limitation d'honoraire (sous entendu: nos praticiens sont pas comme les autres à se gaver sur le dos des pauvres gens!)


Capture d  cran 2015 03 12 12.28 - Eugenol
chicot29

03/10/2013 à 02h09

Moi ce qui me fout le plus les boules c'est "Le protocole MFP est bâti selon la même
logique que la convention nationale " ca promet ! les memes causes produisent les memes effets, on est dans le cercueil avec la convention nationale avec les soins et pour faire bonne mesure vous mettez les clous avec le protocole mfp sur la prothèse; A oui ! mais 95 % des confrères sont sous le plafond du protocole, dis moi macho ils étaient combien de % sous le plafond des soins opposables sécu il y a 35 ans ? Tu vas voir quand tout le monde sera à 99% dans la casserole il leur suffira de faire chauffer tout doucement pour vous cuire à point.


X ray 03 medium zvq18j - Eugenol
cyber_quenottes

03/10/2013 à 10h22

Candide Candida écrivait:
-------------------------
> Je dirais même plus, ces propos anticonfraternels sont particulierement
> anticonfraternels ^^
>
> D'ailleurs c'est bien pratique ça, chaque fois que l'on critiquera la CNSD il
> suffira de dire que c'est anticonfraternel, ben oui la CNSD ce sont des
> confrères et il ne faut pas les critiquer sinon on est anticonfraternel.
>
> Après la défense Chewbacca déja utilisé à de nombreuses reprises par Machorosso
> , la défense 't'es anticonfraternel avec tes propos teintés
> d'anticonfraternité'.
>
> Pratique et bien trouvé.
>
> CC.
>
> Edit : je glisse un :-) pour ne pas que l'on pense que je suis anticonfraternel

=======================
en réalité ce doit être une sorte de reflexe "conseil de l'ordre" inscrit dans les gênes des representants csnd

ces gens là c'est Jekyll et Hyde


machopacha

03/10/2013 à 18h39

http://www.cnsd.fr/services-a-outils/espace-presse/communiques/843-les-syndicats-dentaires-unis-contre-la-ppl-le-roux


X ray 03 medium zvq18j - Eugenol
cyber_quenottes

03/10/2013 à 18h45

mwwarrrfff

elle a pas honte ta patronne

et toi qui fait le courrier ici, pas davantage visiblement

l'UFML devrait vous jeter dehors


machopacha

03/10/2013 à 18h55

Depuis Plus de deux mois, vous tirez à boulets rouges sur la CNSD, Vous cherchez à diviser la profession.

La CNSD a une politique cohérente, qui cherche à rassembler. Par la signature de ce communiqué commun, la CNSD cherche à rassembler sans pour autant renier ses engagements.

J'ai déjà expliqué pourquoi le protocole MFP était légal, ce communiqué ne remet pas en question cette analyse.


RépondreCiter
bouboule

03/10/2013 à 19h32

Pardon Machopacha mais comment prôner l union de la profession quand dans le même temps vous incitez à signer un protocole qui permet à certains confrères d être sur des listes de rabattage de patients aux dépends d autres confrères qui n y sont pas????

Qui parmi les nons signataires n a jamais,après s être tapé tous les soins , eu un patient lui expliquant que sur les conseils de sa complémentaire il file chez un autre??
Ces fois là t as plus envi de casser la gueule du dit signataire que de t unir!!

Cela dit l effort de signer ce papier est louable ... reste plus qu à faire un pas de plus en renonçant aux protocoles clivant et faiseur de liste ( ce qui serait du reste un beau signal pour les futurs négo, vos interlocuteurs comprendraient peut être que vous êtes enfin prêt à sérieusement hausser le ton)


01 ukhwbq - Eugenol
ʎqqoq

03/10/2013 à 19h38

L'essentiel, c'est que tout le monde soit d'accord quant aux différents points exposés dans le papelard dont on parle...


Bbpanda vyfmu4 - Eugenol
kung fu panda

03/10/2013 à 20h30

ʎqqoq écrivait:
---------------
> L'essentiel, c'est que tout le monde soit d'accord quant aux différents points
> exposés dans le papelard dont on parle...

Et moi je salue cette déclaration, qui montre que malgré nos divergences, l'union syndicale est possible sur certains points, la dangerosité des réseaux de soins n'étant plus à démontrer.


X ray 03 medium zvq18j - Eugenol
cyber_quenottes

03/10/2013 à 20h52

.


aifere

03/10/2013 à 20h59

Groupama pareil pour moi ,Moins cher si Prothese effectué dans le réseau ; Je me suis alignée sur leur tarif et c'est moi qui ai fait les ceramiques !Le president de l'ordre contacté n'ayant pas de solution a mon probleme !


Bbpanda vyfmu4 - Eugenol
kung fu panda

03/10/2013 à 21h00

cyber_quenottes écrivait:
-------------------------
> la csnd ne s'engage a rien du tout en signant ce genre de communiqué
>
> ca n'impressionne que ceux qui ne savent pas ce qu'ils font à coté de çà
>
> en quoi la csnd fait elle quelque chose contre les réseaux ? moi je ne vois
> aucune action de leur part , plutôt le contraire

Le réseau MGEN, 26000 signataires... Peut-être le début d'une prise de conscience? Mouarf


X ray 03 medium zvq18j - Eugenol
cyber_quenottes

03/10/2013 à 21h01

la csnd ne s'engage a rien du tout en signant ce genre de communiqué

ca n'impressionne que ceux qui ne savent pas ce qu'ils font à coté de çà

en quoi la csnd fait elle quelque chose contre les réseaux ? moi je ne vois aucune action de leur part , plutôt le contraire

=================================

D'autre part il faut savoir que "certains" ici sont présents dans l'unique but de faire de la propagande syndicale

et d'autres tantôt pour donner leur avis sur les politiques syndicales et tantôt pour aider leurs consoeurs et confrères
à travers cas cliniques, conseils en materiel, astuce informatique, informations techniques et/ou légales, vidéos, photos etc....

et les premiers juste pour te bourrer le crâne

faut encore espérer que ca se remarque ....


Bbpanda vyfmu4 - Eugenol
kung fu panda

03/10/2013 à 21h26

cyber_quenottes écrivait:
------------------------
> et les premiers juste pour te bourrer le crâne

Non, t'a pas bien compris Cyber, on appelle ça faire preuve de pédagogie !

> faut encore espérer que ça se remarque ....

non, moi je n'ai rien remarqué.

Tiens j'y pense, tu sais que l'UE envisage d'embaucher pour troller sur les réseaux sociaux afin de lutter contre les euro-sceptiques?

http://www.express.be/joker/fr/platdujour/lue-envisage-de-se-doter-dune-cellule-de-propagande-pro-europeenne/186148.htm

Ils y mettent le paquet eux aussi ;-)


Ylfwcw979cz1jnx9gfqeaxndiuzk - Eugenol
Algi

03/10/2013 à 21h35

Cyber tu veux avoir plus de cadenas que moi? C'est un concours?Ca peut être drôle un moment mais à l'arrivée on se fait claquer la porte au nez alors que les fils sont le plus souvent interressants. En plus on pourra pas gagner à ce jeu là....

Du coup, passé la rogne d'avoir été censuré, depuis hier j'essaie d'être plus fin que "lui".

Certes macho est sans doute ici en mission mais je me dis que, peut être, se frotter aux eugenoliens finira par le rendre plus souple.... on peut au moins l'espérer...

J'ai été trés touché par certains mp et par les posts stupides comme celui sur gta qui montrent bien que ce forum reste vivant et que ses animateurs ne sont pas dupes.

Je l'ai dit aussi, j'ai une certaine ancienneté et j'espére une certaine notoriété ici, j'ai organisé des choses, favorisé des échanges et je continuerai de le faire comme toi tu le fais toi aussi depuis des années.

En ce qui concerne le syndicalisme, je sais que ça soûle beaucoup d'entre vous mais ça fait aussi partie de la vie professionnelle et si un peu plus de confrères étaient des syndiqués concernés les choses iraient mieux, je crois.
Don oui je défend une certaine visoin de mon métier et soutient le syndicat qui me parait le plus proche de mes convictions.
Mais ne vous y trompez pas, je défends "mes" idées, je ne suis inféodé à aucun syndicat même si je suis membre de l'un d'entre eux, je ne le suivrai que tant que ses propositions correspondent à mes convictions.

La FSDL est un syndicat "libéral", moi dans libéral j'y entend "liberté", d'autres y voient libéralisme au sens economique et ideologique, marcher sur la tête des autres, se débarrasser de toute gouvernance étatique et surtout surtout ne pas participer à quoi que ce soit de social ....

Je suis et ai toujours été de gauche, pour de vrai, pas comme certains au gouvernement....

Dans mon idée d'une dentisterie ideale la secu couvre les besoins reels des assurés, les professionnels de santé vivent confortablement, les patients sont responsabilisés.... c'est loin de la réalité et loin des aspirations libérales qui voudraient déréguler.

Neanmoins, si demain j'ai le droit de fixer mes honoraires je pourrai alors, avec tact et mesure, equilibrer financièrement mon exercice, faire payer les riches pour pouvoir soigner les pauvres.

Je sais robin des bois a jamais existé ou alors a fini pendu et je suis bien naïf de penser ça mais je le pense et je suis certain que si on était plus nombreux à penser comme ça le monde tournerait mieux.


ps: j'ai mis "de moi" tout plein dans un post ancien "et si on reflechissait un peu", ça vaudrait le coup de le reactiver et continuer à reflechir sans polemiquer pour essayer de degager des solutions.

--
On a toujours le choix mais entre quoi et quoi?
Vas-y boulégue et l'avenir te le dira!


X ray 03 medium zvq18j - Eugenol
cyber_quenottes

03/10/2013 à 21h37

pourtant il te suffit de cliquer sur le pseudo du macho

inscription juste apres signatures de l'avenant 3 <= envoyé spécial information / désinformation sur eugénol

350 messages avec pas un seul sujet créé

interventions uniquement dans le cadre du politic buro


triste, bien triste sire


kluby

03/10/2013 à 21h48

Pour ma part je suis bien content d'avoir trouvé Eugenol avec ses primaires et ses autres, si on aime pas certains sujets on les évite, si on y intervient pour donner son point de vue, les autres le peuvent aussi même si ça peut heurter certains.

Pour en revenir au sujet, Macho, la petite remise en place de la MAIF, ça va laisser une trace écrite? elle pourra être partagée? leur éventuelle réponse aussi?


Ylfwcw979cz1jnx9gfqeaxndiuzk - Eugenol
Algi

03/10/2013 à 22h16

Comme les posts ferment les uns après les autres mais qu'on parle, finalement, toujours de la même chose, je vais embrayer sur autre chose mais qui reste justifié, je le crois, dans le contexte.

On a un doc de la MAIF en ouverture du post, une pub que je considére comme diffamatoire et contre laquelle, je le répéte, devrait être intentée une action en justice associant notre ordre et TOUS les syndicats.

Sur un autre post, malheureusement fermé, on a un doc réunissant TOUS les syndicats et appelant à combattre une loi scelerate.

Certes la signature de la cnsd, à l'origine d'un protocole similaire, peut surprendre voire mettre en colère.

Certes cette apparente schyzophrenie entre actes et affiches peut destabiliser.

Et si... et si face au desarroi des confrères, si face à la montée des petits cons de la fsdl, si face au déni de parole des signataires de la convention, et face surtout aux questions des confrères sur la participation à ces pantalonnades la cnsd n'était-elle pas en train de prendre un virage.....

S'ils entamaient, on peut réver, un changement de politique et envisageaient de se mettre reellement au service des intérets des praticiens ce serait sans doute par peur de perdre des adhérents mais ce serait déjà ça, non?

Concernant macho: oui je pense qu'il n'a rien à faire ici, il n'a pas l'esprit eugenol mais il est là, il contrebalance et en a le droit.
Il est même utile je dirais car, l'avoir ici permet de temps en temps de lui arracher des infos (pas de son plein gré je pense) qui permettent d'apprendre, par exemple, qu'on a pu avaliser une usine à gaz de devis qui ne permet pas de faire apparaitre les pertes sur certains soins...

--
On a toujours le choix mais entre quoi et quoi?
Vas-y boulégue et l'avenir te le dira!


X ray 03 medium zvq18j - Eugenol
cyber_quenottes

03/10/2013 à 22h28

je n'avais personnellement pas besoin de l'avis du macho pour savoir que le devis csnd tout comme la calculette ASM avec "70% de gagnants" étaient bugués

la csnd donne les chiffres qu'elle veut pour justifier l'inqualifiable , tout comme aujourd'hui avec les avenants 2 et 3


quant au communiqué, tout le monde ici comprend bien qu'il est incomplet et qu'il a été peaufiné tout comme l'a été un communiqué du G20 il y a un an pour être sur que toutes les signatures soient en bas


donc on dénonce les réseaux
en évitant soigneusement de les décrire trop précisément

sinon ......

bin on serait obligé de décrire précisément le proctocole illégal mfp mgen previade smam smar lmde

et là forcément la csnd , elle signe plus

et le plus drôle dans l'histoire c'est qu'on voit bien aujourd'hui qu'au sein de la confrérie de la médecine libérale , la csnd est hors jeu

vivement que ca se voit dans les pertes d'adhérents