Cookie Consent byPrivacyPolicies.comCondensation, expansion, carottage, Summers... - Eugenol

Condensation, expansion, carottage, Summers...

S2y2o1v7q53ws4r5wy6ou8czrpom - Eugenol
pxav

03/10/2013 à 21h10

13 fenestration vestibulaire j'utilise la paroi palatine, lame N°15, spreader, expansion et pose d'un 40140


--
xbk
"Si tous ceux qui croient avoir raison n'avaient pas tort, la vérité ne serait pas loin" Dac Pierre

Img 8851 hxzacc - Eugenol
Img 8859 u9wvsi - Eugenol
Img 8846 ec39gv - Eugenol
Img 8853 av2yng - Eugenol
Img 8861 nu8tsf - Eugenol
Img 8863 biodhw - Eugenol
Img 8864 qfniwd - Eugenol

S2y2o1v7q53ws4r5wy6ou8czrpom - Eugenol
pxav

03/10/2013 à 21h14

Puis 40120 en 15 avec léger SL, à l'ostéotome, et 40120 en 17.
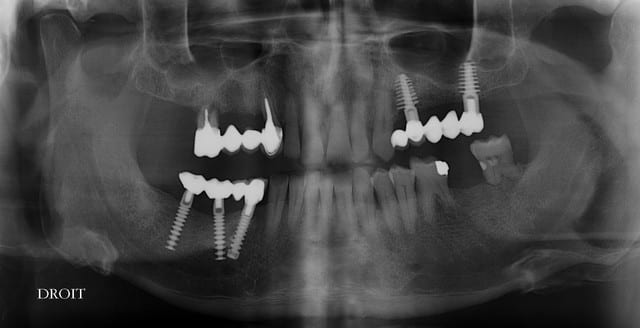
Le pano est d'avant les extractions
--
xbk
"Si tous ceux qui croient avoir raison n'avaient pas tort, la vérité ne serait pas loin" Dac Pierre

Img 8868 mvthmz - Eugenol
Img 8870 by9vxs - Eugenol
Br ma02.09 - Eugenol

S2y2o1v7q53ws4r5wy6ou8czrpom - Eugenol
pxav

03/10/2013 à 21h20

Ensuite zone 16 .. carottage, sciage en vest, carottage prélèvement de la carotte ajustage (délicat ça glisse:-)))

--
xbk
"Si tous ceux qui croient avoir raison n'avaient pas tort, la vérité ne serait pas loin" Dac Pierre

Img 8872 omujld - Eugenol
Img 8874 llfuyn - Eugenol
Img 8876 zc1pep - Eugenol
Img 8877 b43on3 - Eugenol
Img 8878 yvjjpd - Eugenol
Img 8880 o29ia6 - Eugenol

S2y2o1v7q53ws4r5wy6ou8czrpom - Eugenol
pxav

03/10/2013 à 21h25

modelage zone 13,finitions, mise en place du bloc osseux, qui sera soigneusement impacté (pas de vis) prélèvement d'un petit bloc triangulaire pour finir la fermeture, éponges de gelatemp, sutures.

--
xbk
"Si tous ceux qui croient avoir raison n'avaient pas tort, la vérité ne serait pas loin" Dac Pierre

Img 8886 xzxppo - Eugenol
Img 8888 cs63x5 - Eugenol
Img 8889 xraa31 - Eugenol
Img 8890 twvzk9 - Eugenol
Img 8891 twlal5 - Eugenol
Img 8893 mtdngc - Eugenol
Img 8883 sqi0hf - Eugenol
Img 8884 iymjdl - Eugenol
Img 8885 nnyfyk - Eugenol

S2y2o1v7q53ws4r5wy6ou8czrpom - Eugenol
pxav

03/10/2013 à 21h38

quelques radios.

--
xbk
"Si tous ceux qui croient avoir raison n'avaient pas tort, la vérité ne serait pas loin" Dac Pierre

004copier m8m1uj - Eugenol
011copier cubkam - Eugenol
014copier gohhfx - Eugenol
019copier en8qmk - Eugenol
023copier d1dsp1 - Eugenol
024copier qknn6s - Eugenol
027copier fauv8l - Eugenol

Images jm2g2g - Eugenol
dr_0le

03/10/2013 à 22h50

question qui n'a rien à voir avec ton boulot..
qu'est ce que l'optra gate apporte en chir??

je vous vois tous en utiliser, j'hésite à essayer.


S2y2o1v7q53ws4r5wy6ou8czrpom - Eugenol
pxav

03/10/2013 à 23h09

dr_0le écrivait:
----------------
> question qui n'a rien à voir avec ton boulot..
> qu'est ce que l'optra gate apporte en chir??
>
> je vous vois tous en utiliser, j'hésite à essaye

ça remplace 2 mains, écarteur, protection des muqueuses, propreté, digue du pauvre, etc...
Un petit peu délicat à poser au début, mais avec l'habitude cool, très cool.
Ce matin, par exemple, patiente avec un bel herpes...optragate, soins d'une heure, et à la fin le zovirax crème était encore en place.
Pour les chir je le fais tremper dans une solution désinfectante car il n'est pas stérile mais les lèvres non plus...

--
xbk
"Si tous ceux qui croient avoir raison n'avaient pas tort, la vérité ne serait pas loin" Dac Pierre


Images jm2g2g - Eugenol
dr_0le

03/10/2013 à 23h37

Tu m'as convaincu!! ;)
J'en commande qq unes demain pour la prochaine chir.


S2y2o1v7q53ws4r5wy6ou8czrpom - Eugenol
pxav

03/10/2013 à 23h41

ou même pour les soins, prends les deux tailles

--
xbk
"Si tous ceux qui croient avoir raison n'avaient pas tort, la vérité ne serait pas loin" Dac Pierre


Photo pluton1b h9n4ea - Eugenol
pluton

03/10/2013 à 23h48

j'en ai...mais je n'y arrive pas!!!
çà saute sans arrêt...du coup çà me gonfle, mais je dois mal m'y prendre...
peut être qu'il faut le placer avant le champ et coller le champ dessus, vu qu'il est ovale et que la colle du champ est carrée et large...

en plus j'hésite pour ma prochaine belle chir (mon cas multidisciplinaire...là c'est pour la pose des implants...) car la patiente est déjà plutôt claustro, çà passe difficilement avec le champ, alors avec çà en plus....hum...


S2y2o1v7q53ws4r5wy6ou8czrpom - Eugenol
pxav

04/10/2013 à 00h03


patient claustro tu découpes 2 trous pour les yeux, c'est tout...
--
xbk
"Si tous ceux qui croient avoir raison n'avaient pas tort, la vérité ne serait pas loin" Dac Pierre


Photo pluton1b h9n4ea - Eugenol
pluton

04/10/2013 à 00h08

et l'optragate tu le mets dessus ou dessous collé par le champ op?


S2y2o1v7q53ws4r5wy6ou8czrpom - Eugenol
pxav

04/10/2013 à 00h15

Le champ ne dois pas être collé sur l'optragate, mais sur la peau, sinon il tire sur l'optragate.

--
xbk
"Si tous ceux qui croient avoir raison n'avaient pas tort, la vérité ne serait pas loin" Dac Pierre


060108 005 nrfjgc - Eugenol
NaFr

04/10/2013 à 00h44

pxav écrivait:
--------------
>
>
> ça remplace 2 mains, écarteur, protection des muqueuses, propreté, digue du
> pauvre, etc...
> Un petit peu délicat à poser au début, mais avec l'habitude cool, très cool.
> Ce matin, par exemple, patiente avec un bel herpes...optragate, soins d'une
> heure, et à la fin le zovirax crème était encore en place.
> Pour les chir je le fais tremper dans une solution désinfectante car il n'est
> pas stérile mais les lèvres non plus...


comme disait ma belle mère à ses petits enfants: si tu gôutes t'aimeras toujours......Optragate fait aussi partie de mes indispensables.
--
Francis N.


S2y2o1v7q53ws4r5wy6ou8czrpom - Eugenol
pxav

04/10/2013 à 00h46

j'aurais du ouvrir un post optragate...:-))
--
xbk
"Si tous ceux qui croient avoir raison n'avaient pas tort, la vérité ne serait pas loin" Dac Pierre


Images jm2g2g - Eugenol
dr_0le

04/10/2013 à 11h27

et pour la taille? regular ou petit??


S2y2o1v7q53ws4r5wy6ou8czrpom - Eugenol
pxav

04/10/2013 à 12h28

les deux, mon capitaine

--
xbk
"Si tous ceux qui croient avoir raison n'avaient pas tort, la vérité ne serait pas loin" Dac Pierre


Zz cnsu38 - Eugenol
toto48

04/10/2013 à 12h36

tu le désinfectes avec quoi?
betadine? produit de décontamination?...


S2y2o1v7q53ws4r5wy6ou8czrpom - Eugenol
pxav

04/10/2013 à 12h40

je fais tremper dans un mélange alcool, alcool iodé, et une fois en bouche betadine

--
xbk
"Si tous ceux qui croient avoir raison n'avaient pas tort, la vérité ne serait pas loin" Dac Pierre


grigorell

04/10/2013 à 16h42

Felicitation pour la conduite chir!
Vous savez par hasard quelle type d'implant sont ceux en bas?
Merci!


S2y2o1v7q53ws4r5wy6ou8czrpom - Eugenol
pxav

04/10/2013 à 19h08

oui, bien sur ce sont des Tatum D1 en bas et D4 en haut

--
xbk
"Si tous ceux qui croient avoir raison n'avaient pas tort, la vérité ne serait pas loin" Dac Pierre


3f3boxni50k58rq7e9ce9ddqrxgk - Eugenol
dentiste57

05/10/2013 à 00h31

pxav écrivait:
--------------
> Ensuite zone 16 .. carottage, sciage en vest, carottage prélèvement de la
> carotte ajustage (délicat ça glisse:-)))
>
> --

sur 2 ième et la troisième photo, tu utilises le disque pour pouvoir faire levier et sortir la carotte ?


S2y2o1v7q53ws4r5wy6ou8czrpom - Eugenol
pxav

05/10/2013 à 00h38

Dans un premier temps oui, mais l'os etait trop "raide" donc j'ai repris la scie cloche en perpendiculaire.
je viens de visualiser la vidéo... c'est vraiment sympa, et relativement simple.
Si j'ai le temps je ferais un montage, mais pas sur.


--
xbk
"Si tous ceux qui croient avoir raison n'avaient pas tort, la vérité ne serait pas loin" Dac Pierre


roucoulou

05/10/2013 à 13h30

Quels formations as-tu faites pour apprendre à faire ça ?


S2y2o1v7q53ws4r5wy6ou8czrpom - Eugenol
pxav

05/10/2013 à 14h33

roucoulou écrivait:
-------------------
> Quels formations as-tu faites pour apprendre à faire ça ?

Et bien disons que depuis 1984, j'ai fait quelques formations....mais les techniques d'expansions, je les dois à Manuel Chanavaz (DU d'implanto et chir de Lille en 88/89/90/91) et surtout à Hilt Tatum, qui était dans les enseignants du DU.

Et maintenant, avec D57 nous essayons de transmettre ces techniques lors de présentations avec TP, à Sallanches.
Formations qui se veulent essentiellement pratiques,(TP) et limitées à 12 personnes (pour 2 ou 3 formateurs) afin d’être le maximum disponible pour chacun.


--
xbk
"Si tous ceux qui croient avoir raison n'avaient pas tort, la vérité ne serait pas loin" Dac Pierre


12