Cookie Consent byPrivacyPolicies.comCas paro-endo-prothèse - Eugenol

Cas paro-endo-prothèse

Logo vuaztn - Eugenol
mac

14/10/2013 à 22h09

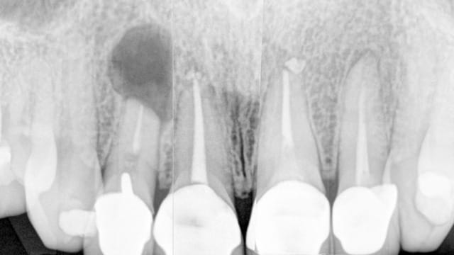
Cette patiente de 27 ans, vient me consulter après que son dentiste l'ai envoyé chez un stomato pour une résection apicale.

Elle a un sourire gingival.

Qui fait quoi?

Retros - Eugenol
Img 1818 s9bkb7 - Eugenol

G-P

14/10/2013 à 22h53

Les résections apicale des stomatos c'est vraiment du travail pas sérieux.. couper 1/3 (ou la moitié) d'une racine alors qu'avec des micro inserts diamantés et un microscope (ou bonnes loupes) tu fais un travail aussi bien en virant moins de 2mm de racine...
En plus ils font pas d'oburation à rétro... berk berk


41467 100000418256397 4215 n ypxyho - Eugenol
Blette

14/10/2013 à 23h00

Pour moi ce serait extrac curetage implant en 12, couronne 11 ajustage radio qui va plus, et la 21 et 22 en HN si elle veut de l esthétique en plus ...


colza2

14/10/2013 à 23h45

elle demande quoi ?


G-P

15/10/2013 à 00h24

Peut être des dents qui ne donnent pas l'impression d'avoir été taillées dans une défense d'éléphant ?


200106 10150128247663588 709988587 6466236 5598391 n d7mksb - Eugenol
hallboy

15/10/2013 à 00h58

aligner les collets, reprise d'endo, je solidarise 11 et 12 ( peut etre aussi 21 22 voir els 4 parceque les racines sont pas bien longues...

mais je suis old school


Bebe 038 nf8eum - Eugenol
danteyeah

15/10/2013 à 03h39

mac écrivait:
-------------
> Cette patiente de 27 ans, vient me consulter après que son dentiste l'ai envoyé
> chez un stomato pour une résection apicale.

-Pourquoi elle ne retourne pas chez son praticien?
-De quand date la résection?
-Quel est le résultat de cette résection, pour l'instant avec juste cette radio, c'est pas fameux?
-Symptomes?
-Photos sourires, reste de l'arcade (on devine une abfraction au niveau 14, y'a pas de 2nd PM, ortho?) c'est quand tu veux.
-Anamnèse des dégâts antérieurs (accident?), date des restaurations?

>
> Elle a un sourire gingival.

-Peut on envisager une ingression ortho., ou même pas la peine de l'évoquer pour la jeune patiente?
-Sinon si on imagine des élongations coronaires, va t-il rester assez d'os pour plus tard pour la restauration implantaire (on y passera bien un jour, le plus tard possible évidement)?
-Les papilles ont déjà bien souffert, comment va l'os sous-jacent?

>
> Qui fait quoi?

Moi j'attends les réponses ;-)


Logo vuaztn - Eugenol
mac

15/10/2013 à 08h59

G-P écrivait:
-------------
> Les résections apicale des stomatos c'est vraiment du travail pas sérieux..
> couper 1/3 (ou la moitié) d'une racine alors qu'avec des micro inserts diamantés
> et un microscope (ou bonnes loupes) tu fais un travail aussi bien en virant
> moins de 2mm de racine...
> En plus ils font pas d'oburation à rétro... berk berk

on est d'accord mais c'est surtout la faute des dentistes.


Logo vuaztn - Eugenol
mac

15/10/2013 à 09h00

Blette écrivait:
----------------
> Pour moi ce serait extrac curetage implant en 12, couronne 11 ajustage radio qui
> va plus, et la 21 et 22 en HN si elle veut de l esthétique en plus ...

Pourquoi extraire 12, et je comprends pas tu voudrais refaire 12 et 11 mais pas 21 et 22 ça te semble bien?


Logo vuaztn - Eugenol
mac

15/10/2013 à 09h01

G-P écrivait:
-------------
> Peut être des dents qui ne donnent pas l'impression d'avoir été taillées dans
> une défense d'éléphant ?


voilà, elle veut des dents.


Logo vuaztn - Eugenol
mac

15/10/2013 à 09h02

hallboy écrivait:
-----------------
> aligner les collets, reprise d'endo, je solidarise 11 et 12 ( peut etre aussi 21
> 22 voir els 4 parceque les racines sont pas bien longues...
>
> mais je suis old school


effectivement on peut se poser la question de solidariser les dents.


Logo vuaztn - Eugenol
mac

15/10/2013 à 09h08

danteyeah écrivait:
-------------------

>
> -Pourquoi elle ne retourne pas chez son praticien?

a ton avis? ;)


> -De quand date la résection?

15 jours avant les radios.


> -Quel est le résultat de cette résection, pour l'instant avec juste cette radio,
> c'est pas fameux?


comment ça pourrait marcher sans retraiter les racines?


> -Symptomes?

au jour de la consult aucun.


> -Photos sourires, reste de l'arcade (on devine une abfraction au niveau 14, y'a
> pas de 2nd PM, ortho?) c'est quand tu veux.
> -Anamnèse des dégâts antérieurs (accident?), date des restaurations?


non juste caries, 4-5 ans.

>
> >
> > Elle a un sourire gingival.
>
> -Peut on envisager une ingression ortho., ou même pas la peine de l'évoquer pour
> la jeune patiente?

franchement ça dépasse les compétences là.

> -Sinon si on imagine des élongations coronaires, va t-il rester assez d'os pour
> plus tard pour la restauration implantaire (on y passera bien un jour, le plus
> tard possible évidement)?

vu qu'on placera les implants dans une position idéale, comme celle qu'on veut donner aux dents je pense.

> -Les papilles ont déjà bien souffert, comment va l'os sous-jacent?


bonne question ;)


>
> >
> > Qui fait quoi?
>
> Moi j'attends les réponses ;-)


ps: le cas est déja fini ;)


Logo vuaztn - Eugenol
mac

15/10/2013 à 10h04

les autres photos


Logo vuaztn - Eugenol
mac

15/10/2013 à 10h05

les autres photos

Img 1817 er9wmj - Eugenol
Img 1815 xckddi - Eugenol

G-P

15/10/2013 à 10h28

J'ai éclaté de rire, quel sourire dégueulasse :))))


Logo vuaztn - Eugenol
mac

15/10/2013 à 10h31

Malheureusement cela a été fait par un dentiste français,formé en France et pas forcement low-cost, je trouve pas ça marrant pour la patiente.


Images jm2g2g - Eugenol
dr_0le

15/10/2013 à 10h33

bonjour,

pour moi,
la 12 est naze, j'extrais je comble.
je reprends l'endo de la 22,
je reprends la ligne des collets, je mets sous provisoire qq mois le temps de la greffe.
j'implante 22 et couronnes unitaires partout.

et au passage un onlay sur 37

j'ai bon?


Logo vuaztn - Eugenol
mac

15/10/2013 à 10h39

dr_0le écrivait:
----------------
> bonjour,
>
> pour moi,
> la 12 est naze, j'extrais je comble.
> je reprends l'endo de la 22,
> je reprends la ligne des collets, je mets sous provisoire qq mois le temps de la
> greffe.
> j'implante 22 et couronnes unitaires partout.
>
> et au passage un onlay sur 37
>
> j'ai bon?


Pourquoi la 12 est naze? si tu combles comment être sûr que tu ne vas pas enfermer des bacteries dans ta greffe et comment tu gères le gros défaut en apical?

Comment tu reprends la ligne des collets?


Images jm2g2g - Eugenol
dr_0le

15/10/2013 à 10h52

mac écrivait:
-------------
> dr_0le écrivait:
> ----------------
> > bonjour,
> >
> > pour moi,
> > la 12 est naze, j'extrais je comble.
> > je reprends l'endo de la 22,
> > je reprends la ligne des collets, je mets sous provisoire qq mois le temps de
> la
> > greffe.
> > j'implante 22 et couronnes unitaires partout.
> >
> > et au passage un onlay sur 37
> >
> > j'ai bon?
>
>
> Pourquoi la 12 est naze? si tu combles comment être sûr que tu ne vas pas
> enfermer des bacteries dans ta greffe

avec une curette et un peu d insert diamanté sur us =)

et comment tu gères le gros défaut en
> apical?
>

avec du matériau de comblement. s'il reste suffisament de parois du kasios fera très bien l'affaire =)
une membrane et hop en nourrice.

> Comment tu reprends la ligne des collets?

alors la j'ai une question, la radio a t elle été faite à l'angulateur?

si c est le cas, les racines ne sont pas parfaitement favorables mais je pense que l'on peut gagner 2mm .. élongation coronaire. je nbe pense pas que l'on puisse tracter un petit lambeau au niveau de 12 et 22 pour descendre la gencive. (mais je ne suis pas un as de la chir muco )
il faudrait peut être une petite plastie du frein..


Bebe 038 nf8eum - Eugenol
danteyeah

15/10/2013 à 11h57

mac écrivait:
-------------


> > -Les papilles ont déjà bien souffert, comment va l'os sous-jacent?
>
>
> bonne question ;)
>


Bien sur, c'est même la question primordiale.

Gérer les endos et les apex y a pas de problème intellectuel, c'est de la technique.
Gérer la ligne du sourire, la reprise des volumes, position et teintes sont tout aussi évidente, donc là aussi rien à intellectualiser, y'a que de la technique.

Par contre évaluer ce qu'il va rester de l'os et des tissus mous après élongation coronaire (11 et 21 suffiront) pour garantir de conserver une papille (ou plutôt 3 papilles) digne de ce nom et bien plus complexe:
Solution 1: Ingression ortho de 21 et 11 (voir le récent post de seespan et son doc réponse sur les gummy smille)
Solution 2: Elongation coronaire 11 et 21 , réharmonisation de la ligne gingivale, vu que l'ortho t'as semblé ésotérique, je suppose que la soluce 2 a été choisi, donc on attend le compte rendu opératoire ;-).

A dernier détail pour hallboy, à l'heure d'une véritable maitrise des collages (va voir les dernier cas présentés par G. Tirlet par exemple), solidariser des dents pour une question de rétention, c'est plus que oldschool;-)


Logo vuaztn - Eugenol
mac

15/10/2013 à 13h09

dr_0le écrivait:

>
> alors la j'ai une question, la radio a t elle été faite à l'angulateur?

oui .

>
> si c est le cas, les racines ne sont pas parfaitement favorables mais je pense
> que l'on peut gagner 2mm .. élongation coronaire. je nbe pense pas que l'on
> puisse tracter un petit lambeau au niveau de 12 et 22 pour descendre la gencive.
> (mais je ne suis pas un as de la chir muco )

> il faudrait peut être une petite plastie du frein..

bien vu.


Logo vuaztn - Eugenol
mac

15/10/2013 à 13h11

danteyeah écrivait:
-------------------
> mac écrivait:
> -------------
>
>
> > > -Les papilles ont déjà bien souffert, comment va l'os sous-jacent?
> >
> >
> > bonne question ;)
> >
>
>
> Bien sur, c'est même la question primordiale.
>
> Gérer les endos et les apex y a pas de problème intellectuel, c'est de la
> technique.
> Gérer la ligne du sourire, la reprise des volumes, position et teintes sont tout
> aussi évidente, donc là aussi rien à intellectualiser, y'a que de la technique.


un cas facile quoi ;)


>
> Par contre évaluer ce qu'il va rester de l'os et des tissus mous après
> élongation coronaire (11 et 21 suffiront) pour garantir de conserver une papille
> (ou plutôt 3 papilles) digne de ce nom et bien plus complexe:
> Solution 1: Ingression ortho de 21 et 11 (voir le récent post de seespan et son
> doc réponse sur les gummy smille)
> Solution 2: Elongation coronaire 11 et 21 , réharmonisation de la ligne
> gingivale, vu que l'ortho t'as semblé ésotérique, je suppose que la soluce 2 a
> été choisi, donc on attend le compte rendu opératoire ;-).
>
> A dernier détail pour hallboy, à l'heure d'une véritable maitrise des collages
> (va voir les dernier cas présentés par G. Tirlet par exemple), solidariser des
> dents pour une question de rétention, c'est plus que oldschool;-)


même à l'heure du collage, il y a quand même des regles à suivre il te faut un minimum d'effet ferrule.


Bebe 038 nf8eum - Eugenol
danteyeah

15/10/2013 à 14h15

mac écrivait:
-------------
>
> un cas facile quoi ;)

Techniquement non, intellectuellement oui si la paro est gérable.



>
> même à l'heure du collage, il y a quand même des regles à suivre il te faut un
> minimum d'effet ferrule.

Evidement, mais il me semble que les CCM actuellement en place tiennent (et sans ancrage, ou avec une longueur d'ancrage très réduite), donc on peut imaginer qu'il reste encore suffisamment de tissus dentinaire la dessous pour obtenir un effet de férule suffisant.

Après la gestion des tissus mous les surfaces coronaires de collage seront encore plus importante. De plus la ligne du sourire est réellement plongeante actuellement, elle est donc à remonter, ainsi même après élongation coronaire on devrait conserver un rapport de longueur corono-radiculaire suffisant à améliorer l'effet de férule.

Moi ce que je veux voir, c'est comment t'as géré la paro, enfin plutôt la mucco, c'est les papilles qui m'intéresse quoi ;-)


Logo vuaztn - Eugenol
mac

16/10/2013 à 13h52

je vous poste la suite même si ça intéresse pas grand monde...

Img 0138  2  qtziqf - Eugenol

Blondie

16/10/2013 à 14h28

Superbe ! Comment a été géré le problème endo sur 12 ?