Cookie Consent byPrivacyPolicies.comLa charte de bonne pratique... - Eugenol

La charte de bonne pratique...

Ylfwcw979cz1jnx9gfqeaxndiuzk - Eugenol
Algi

17/10/2013 à 22h16

Ben faudrait voir à soumettre cet argumentaire "clinique" à nos syndicats et à l'ordre....

Si l'ordre approuve, si nos syndicats appuient, santeclair ira se rhabiller.

Sinon tant pis, on signe tout, on ventile rien, on fait des endos peinture et on ouvre des centres steichen sans steichen.
Au bout de 2 ans on vend la dacia et on achete une aston martin!

--
On a toujours le choix mais entre quoi et quoi?
Vas-y boulégue et l'avenir te le dira!


birdie

17/10/2013 à 22h55

et oui indepandentaire nous a fait croire qu'en les lisant on serait super branchés et qu'on aurait de superbes cabinets avec des murs fushias et des assistantes assez canons!

ils sont partis avec le magot et today...on pleure nos honoraires perdus

low cost low cost low cost low cost low cost


Image saznoz - Eugenol
Hodina

17/10/2013 à 23h06

Bonsoir,
Je voulais juste te dire que je pense que tes arguments sont faux.
Quand j étais étudiants mes profs m.ont explique comment calculer le coût de ma prothèse
Avant, les praticiens se contentaient d appliquer un coeff multiplicateur
Mon prothésiste demande tant, je multiplie par tant et j ai le tarif de ma prothèse
Foutaise!!!!!
Tu prends tes charges, tu prends le prix de ta prothèse, tu prends un bénéfice avec tact et mesure, et tu as le prix de ta prothèse: ca, c est de la bonne gestion comptable
Maintenant, si tu a une ou plusieurs danseuse a entretenir tu varie juste le bénéfice

Exemple: mon assainissement parodontal: 2 heures de séances pour tout faire en général en 2 séances de 1 heure: cela comprends les explications, la méthode de brossage l apprentissage du passage du fil dentaire et des bossettes et l' assainissement paro lui meme bien chiadé.
Mon coût horaire est de 120 euros
Je prends également en plus du HN 2 x les 28,92€
A combien est mon tarif HN?


Blue eye thumb medium dx1i0w - Eugenol
bill

18/10/2013 à 01h37

dentino écrivait:
-----------------

> Et la transparence tarifaire de Santéclair - combien la société pompe à
> l'adhérent à son insu - c'est pour quand?
> Mme Binst devrait savoir que lorsqu'on pointe le doigt sur quelqu'un, il y a
> trois autres doigts de la main pointés sur soi...


Quand un patient vient avec un papier santétruc comme quoi je suis plus cher que x ou y je dis que ce doit être vrai puisqu'ils le disent.

Je lui explique aussi que ce ne sont pas des justiciers mais des financiers qui mangent sur le boulot des autres.
Qu'ils n'ont rien à faire ni du patient (lui), ni de la qualité du travail.
Que plus ils orientent de gens dans leur réseau et plus le tarif est bas, plus ils gagnent d'argent, cet argent inclus dans leur cotisation mutuelle et que les mutuelles reversent à santémachin.

Et l'argument final est que s'il veulent vraiment un prix très bas je peux leur indiquer un centre low cost qui est à une trentaine de km mais qu'il n'est pas dans le réseau santétruc donc qu'on ne le leur indique pas.

Et là en général ils te disent : ah mais non, je ne veux pas du low cost.

Bon, alors mardi prochain 10h00 ? :-)


Capture d  cran 2015 03 12 12.28 - Eugenol
chicot29

18/10/2013 à 02h19

pgc écrivait:
-------------
> @Chicot29: Tes endos sont superbes. Ce type de travail n'a aucune valeur pour
> santeclair et les autres guignols. Il n'y a que le prix, le prix, le prix. Tout
> le discours sur la qualité et le respect des normes de bonne pratique est de
> l'enfumage. Le but c'est de baisser le prix UN POINT C'EST TOUT. Il y a un
> parti-pris systématique de considérer les soins dentaires/optique/audioprothèse
> comme une prestation commerciale. Le patient comprend (confusément pour
> certains) qu'on ne parle quand même pas d'une botte de carottes à Auchan mais
> d'un de ses organes, aussi modeste soit-il,mais au final c'est "ce qui sort de
> son porte-monnaie" qui compte pour beaucoup d'entre eux, et santeclair et les
> autres l'ont très bien compris.
>
> C'est du gros business, des gens très motivés par les sommes énormes qui sont
> consacrées aux soins médicaux dans les pays développés.
> Ceux qui négocient des "chartes de bonnes pratiques" avec ce genre de requins
> sont au mieux des naïfs, au pire des cyniques qui protègent leur propre
> position.
>

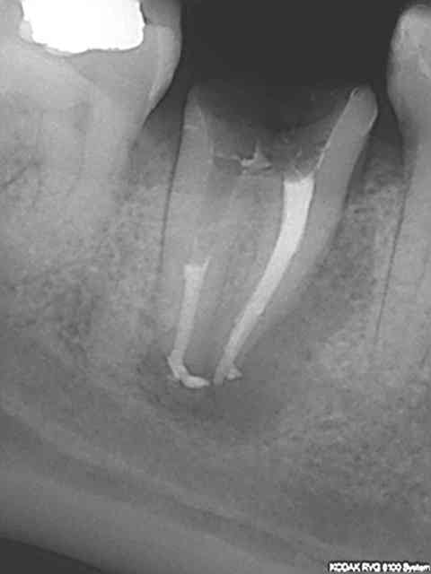
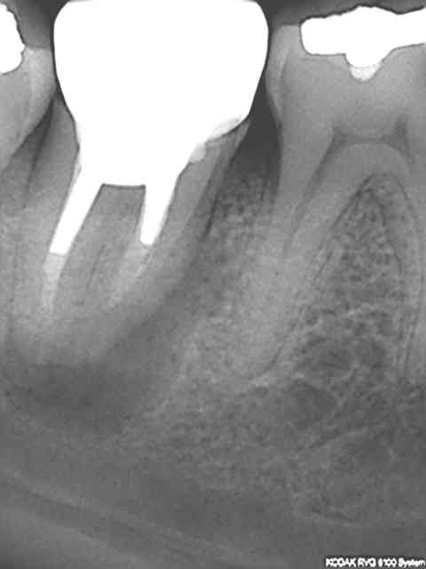
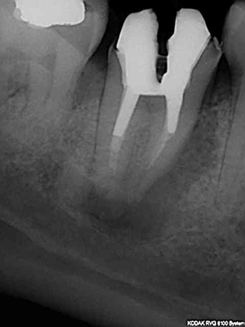
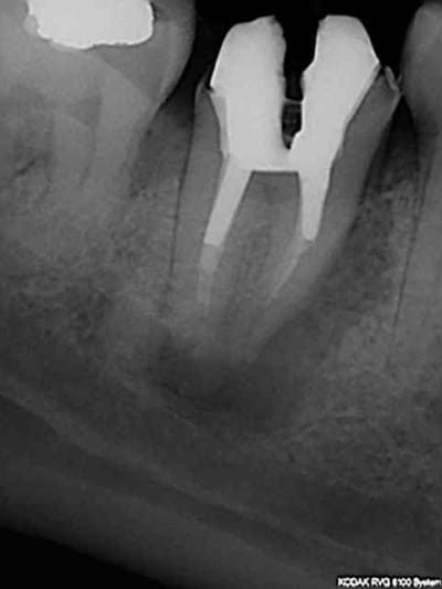
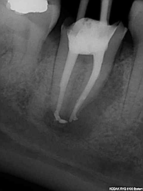
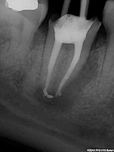
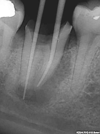
Ca c'était le cas de 14 h, voici le cas de 11h plus délicat. On verra ce que ca donne dans le temps ( finition au R40). C'est un peu creux en ce moment, heureusement qu'il y a des traitements réalisés conformément aux données acquises de la science à reprendre !)))))

R27 n3n02l - Eugenol
R25 sokyam - Eugenol
R24 rg4pkr - Eugenol
R22 dolwrh - Eugenol
R23 wggrtf - Eugenol
R26 vf8shl - Eugenol

Capture d  cran 2015 03 12 12.28 - Eugenol
chicot29

18/10/2013 à 02h33

colza2 écrivait:
----------------
> tu fais une optimisation de garantie , mme binst n'aime pas, dans 2 ans elle va
> t'envoyer un contrôleur :-))

Mme Binst t'envoie aussi le controleur quand sciemment tu étales le plan de traitement sur plusieurs années pour contourner ses contrats avec plafonds à la con ?


Capture d  cran 2015 03 12 12.28 - Eugenol
chicot29

18/10/2013 à 02h39

Hodina écrivait:
----------------
> Bonsoir,
> Je voulais juste te dire que je pense que tes arguments sont faux.
> Quand j étais étudiants mes profs m.ont explique comment calculer le coût de ma
> prothèse
> Avant, les praticiens se contentaient d appliquer un coeff multiplicateur
> Mon prothésiste demande tant, je multiplie par tant et j ai le tarif de ma
> prothèse
> Foutaise!!!!!
> Tu prends tes charges, tu prends le prix de ta prothèse, tu prends un bénéfice
> avec tact et mesure, et tu as le prix de ta prothèse: ca, c est de la bonne
> gestion comptable

Et bien sur, quand tu commences l'année tu sais précisément le volume de prothèse que tu vas avoir à réaliser. Imagines en qu'en 2014 tu ne vas avoir qu'une couronne à faire et que des enfants turbulents à soigner. A quel prix crois tu que tu vas la facturer ?


zazamouk

18/10/2013 à 15h11

Algi écrivait:
--------------

>
> Notez que mon global, 930€ est le même, je ne module pas mes honoraires mais les
> ventile dans l'intéret du patient comme m'y oblige le code de deontologie.
>
> Et donc, verdict:
> selon vous je suis un sale crapaud qui profite du systéme ou pensez vous que je
> fais au mieux avec un système pousse au crime?
> --


Avant juillet c'était tout bon!
Tu bosses, tu te fais payer et tu essayes d'obtenir le mieux pour le patient (dans sa bouche et son porte feuille!)

Mais la charte est arrivée, signée entre les mutuels et les dentistes (le syndicat majoritaire...) et je pense pas que les assureurs souhaitent que nous continuions à faire comme cela

Point 2 des engagements du syndicat signataire :

"A ne pas demander à leurs patients le niveau de garantie avant de fixer les honoraires à entente direct"


Ce que tu risques... personne ne sait, Macho étant invisible depuis que quelques questions dérangeantes tournent !(notamment les sanctions prévu par la charte!)


Capture d  cran 2015 03 12 12.28 - Eugenol
chicot29

18/10/2013 à 15h20

zazamouk écrivait:
------------------

> Point 2 des engagements du syndicat signataire :
>
> "A ne pas demander à leurs patients le niveau de garantie avant de fixer les
> honoraires à entente direct"
>

A mais on ne demande rien, c'est le patient qui nous la met sous le nez. Quand ils se sont fait baiser une ou 2 fois sur la forme par un assureur ils deviennent méfiants. ))))))


Image saznoz - Eugenol
Hodina

18/10/2013 à 15h41

J ai pas bien compris le sens de ta repartie...
Peut-être tu expliquer un peu mieux s il te plait


Ylfwcw979cz1jnx9gfqeaxndiuzk - Eugenol
Algi

18/10/2013 à 16h36

Je vais essayer de resumer en clair: d'un coté je suis censé obtenir un consentement éclairé sur le travail proposé et obtenir aussi un accord sur le financement.
De plus je suis tenu, deontologiquement et donc medico-legalement, de faire bénéficier mon patient des prestations auxquelles il a droit.

De l'autre, selon la charte, je n'ai pas le droit d'obtenir les infos sur les prestations complémentaires.

En pratique, lors de la redaction du devis, outre combien je gagne et quelles sont mes charges, il est necessaire de remplir les cases concernant le reste à charge, donc je dois connaitre le remboursement secu ET le remboursement mutuelle.

Orres donc.... je fais un devis que le patient envoie à sa mutuelle. Si ce devis ne mentionne que les honoraires et la cotation secu je ne pourrai savoir qu'après réponse quelle est la participation complementaire....

Si je dois renseigner mon patient à la redaction du devis je dois donc savoir quelles sont ses garanties..... avant de faire le devis.

Y'a pas comme une contradiction là?

Pour finir: je le répéte, je chiffre un traitement global et ensuite je ventile en fonction des postes et du contrat. En aucune façon je ne surfacture ou change le montant global....

La logique et le bon sens sont de dire que les complémentaires ne veulent pas que pour un traitement global identique on ne module les honoraires sur la prestation.

Ex: coiffe ceram sur zircone+provisoire: 680€ chez moi.

Je comprendrais que cerise ait les boules si je facture le tout 800€ pour les gros contrats mais ce n'est pas le cas.

--
On a toujours le choix mais entre quoi et quoi?
Vas-y boulégue et l'avenir te le dira!


Ylfwcw979cz1jnx9gfqeaxndiuzk - Eugenol
Algi

18/10/2013 à 16h55

Point 2 des engagements du syndicat signataire :

"ne pas demander à leurs patients le niveau de garantie avant de fixer les honoraires à entente directe "

Mais c'est n'importe quoi! Y sont cons ou y font exprès à la cnsd?

Ordre:

Article R4127-234

Le chirurgien-dentiste doit mettre son patient en mesure d'obtenir les avantages sociaux auxquels son état lui donne droit, sans céder à aucune demande abusive.

Article R4127-240 extraits

Le chirurgien-dentiste doit toujours déterminer le montant de ses honoraires avec tact et mesure.

Les éléments d'appréciation sont, indépendamment de l'importance et de la difficulté des soins, la situation matérielle du patient, la notoriété du praticien et les circonstances particulières.

Le chirurgien-dentiste est libre de donner gratuitement ses soins. Mais il lui est interdit d'abaisser ses honoraires dans un but de détournement de la clientèle.

Le chirurgien-dentiste n'est jamais en droit de refuser à son patient des explications sur le montant de ses honoraires.

Lorsque le chirurgien-dentiste est conduit à proposer un traitement d'un coût élevé, il établit au préalable un devis écrit qu'il remet à son patient.

Concernant le consentement éclairé l'ordre renvoie à un mysterieux article L 1111-2 que je ne trouve pas..... si quelqu’un l'a...



--
On a toujours le choix mais entre quoi et quoi?
Vas-y boulégue et l'avenir te le dira!


Capture d  cran 2015 03 12 12.28 - Eugenol
chicot29

18/10/2013 à 17h05

"Le chirurgien-dentiste est libre de donner gratuitement ses soins. Mais il lui est interdit d'abaisser ses honoraires dans un but de détournement de la clientèle."

Ah Ah Ah ! C'est quoi ce bordel ? Certains dentistes partenaires pratiqueraient il des actes à des tarifs inférieurs à la normale, dans un but de favoriser l'accès aux traitements prothétiques ? Et qui plus est différents si ils sont multi-réseaux ?

Par contre :

Article R4127-234

Le chirurgien-dentiste doit mettre son patient en mesure d'obtenir les avantages sociaux auxquels son état lui donne droit, sans céder à aucune demande abusive.


Ca c'est interdit ?

2 articles du code de déontologie foulés au pied par les réseaux.


Capture d  cran 2015 03 12 12.28 - Eugenol
chicot29

18/10/2013 à 17h12

Hodina écrivait:
----------------
> J ai pas bien compris le sens de ta repartie...
> Peut-être tu expliquer un peu mieux s il te plait

Bien lire les contrats des assureurs avant de déclarer un sinistre et avant de les souscrire, l'indemnisation ou pas se joue sur la forme.
Ex : mutuelle à 400 % .........mais plafond de 1500 euros par an, c'est con pour des cotisations de 1000 euros par an.


colza2

18/10/2013 à 17h24

l'article du csp pour le consentement

http://www.legifrance.gouv.fr/affichCodeArticle.do?idArticle=LEGIARTI000020890189&cidTexte=LEGITEXT000006072665


Mosquitogif zt3c7k - Eugenol
mosquito

18/10/2013 à 18h06

colza2 écrivait:
----------------
> c'est le retour des contrôleurs et ils seront bien pires que ceux de la sécu
> qui sont en train de disparaître.

> g sarkozy dit négocier pour un réseau dentaire en 2014 : qq'un a des infos?
-------------

Ameli le répète depuis combien de temps que c'est cela qu'il faut un contrôle indépendant du payeur.


Ylfwcw979cz1jnx9gfqeaxndiuzk - Eugenol
Algi

22/10/2013 à 01h33

Je suis tres tres inquiet: on ne lit plus la prose enflammée de macho ces jours-ci...

Peut être que c'est à cause des bourdes sur les soins ne pouvant pas apparaitre comme deficitaires sur le devis et celle sur les lithotrities parodontales, simples detartrages facturés 900 fois leur valeur...

La CNSD l'a fait réentrer en usine pour reformater son disque dur?

--
On a toujours le choix mais entre quoi et quoi?
Vas-y boulégue et l'avenir te le dira!


Ylfwcw979cz1jnx9gfqeaxndiuzk - Eugenol
Algi

22/10/2013 à 11h48


Il est pas mort, il est revenu en exercice pro!

Ouf on a eu peur.... reste plus qu'à attendre sa (?) réponse.

Le "?" c'est parceque je sais pas si macho est une vraie personne ou un avatar informatique de la cnsd, tant de langue de bois me parait suspect.

faudrait , mesieurs les modos, mettre un test avant de s'inscire qui demande de reconnaitre des mots déformés...
--
On a toujours le choix mais entre quoi et quoi?
Vas-y boulégue et l'avenir te le dira!

Image hugaln - Eugenol

Capture d  cran 2015 03 12 12.28 - Eugenol
chicot29

22/10/2013 à 14h17

Macho man les mutuelles ne respecteront jamais la charte de bonnes pratiques car alimenter leur réseau aux tarifs imposé est une façon de se faire de la pub à peu de frais. Leur remboursement n'est qu'accessoire seul compte de faire pression sur les prix. Ci joint le courrier adressé à un patient suite à un de mes devis (il n'est remboursé qu'au ticket modérateur (30 %). Pour connaitre le nom des partenaires il suffit d'appeler. Pub indirecte, ordre, sanction.


12