Cookie Consent byPrivacyPolicies.comune radio rigolote - Eugenol

une radio rigolote

F e01w igu3rl - Eugenol
roumette

23/10/2013 à 19h34


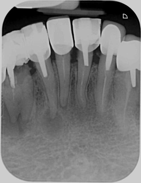
Sur un nouveau patient. Il fait une drôle de tête ce bridge. ;-)

Img 1929 qnm52g - Eugenol

Bagheera tudzjy - Eugenol
bagheerra

23/10/2013 à 19h43

Effectivement.
Chez moi, ça sourit moins. A noter la racine double de la 43, peu banale.

Bifide qvsjtb - Eugenol
2 loodf2 - Eugenol

F e01w igu3rl - Eugenol
roumette

23/10/2013 à 19h45

Toujours sur le même patient, un homme plein de surprises, donc.

Schbintz rrytzi - Eugenol

S2y2o1v7q53ws4r5wy6ou8czrpom - Eugenol
pxav

23/10/2013 à 20h07

implant TBR lisse, des années 90, vis cassée, remplacée par un pivot "maison"...autres temps autres mœurs.

--
xbk
"Si tous ceux qui croient avoir raison n'avaient pas tort, la vérité ne serait pas loin" Dac Pierre


F e01w igu3rl - Eugenol
roumette

23/10/2013 à 20h16

Le patient m'avait averti qu'il y avait eu du "sauvetage à la débrouille" sur ce vieil implant.;-)


F e01w igu3rl - Eugenol
roumette

23/10/2013 à 20h30

Pas du tout le motif de la consultation du monsieur qui a 82 ans.
Le "bricolage" en question a été réalisé par un praticien tout à fait sérieux... qui n'avait pas lui-même posé l'implant.
J'ai vu le patient un peu rapidement en consult d'urgence et comme il avait des sensibilités partout, j'ai radiographié à tout va, et je dois dire que je n'ai pas été déçue.
Ceci dit, je me pose la question de l'ostéolyse en regard du tenon qui a été scellé dans l'implant. L'implant pourrait-il s'être fendu, surtout si on considère qu'il a été sollicité par le fait que le bridge est dento-implanto porté?
Il semble y avoir un reste de ciment en distal également ou autre chose d'un peu radio opaque, bon ça je vais nettoyer...




Images 1 qtgoxf - Eugenol
ciwil

24/10/2013 à 16h07

roumette sur ta 1ère radio dégomme vite ces space-invaders, sinon tu vas te faire bouffer !!
;)


F e01w igu3rl - Eugenol
roumette

24/10/2013 à 16h41




Avatar eklrxs - Eugenol
TheDentalist

25/10/2013 à 02h29

roumette écrivait:
------------------
>
> Sur un nouveau patient. Il fait une drôle de tête ce bridge. ;-)

Le pilier mésial aussi!!!
--
www.thedentalist.fr