Cookie Consent byPrivacyPolicies.comIncisive fracturée et exposition pulpaire - Eugenol
Avatar hjdsnm - Eugenol
TiGabi

25/10/2013 à 22h07

Bonjour,

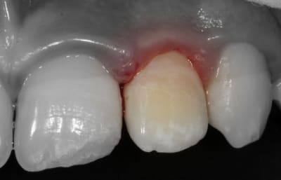
Enfant de 12 ans adressé par son dentiste le lendemain d'un trauma avec fracture de 21 et 22.

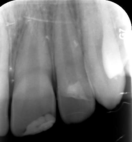
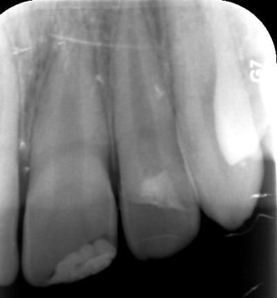
- 21 est une incisive mature mais jeune. Les cornes pulpaires sont très proéminentes et une fracture même d'apparence minime a donc une implication pulpaire directe. Il faut recouvrir en urgence le trait de fracture : ici par un CVIMAR (Fuji II LC). Une restauration par résine composite sera réalisée.

- 22 présente une exposition pulpaire ancienne de 20 heures. 20 heures donc que les germes buccaux contaminent directement la pulpe, heureusement jeune et donc avec un fort potentiel de défense.
Une pulpotomie partielle est réalisée afin d'éliminer le tissu le plus contaminé. De la Biodentine est utilisée ; son avantage par rapport au MTA est de ne pas noircir. Du CaOH aurait un taux de succès moindre.
Si le patient avait été vu le jour même du trauma, une exérèse pulpaire a minima (1 mm pour loger le matériau) aurait été suffisante.
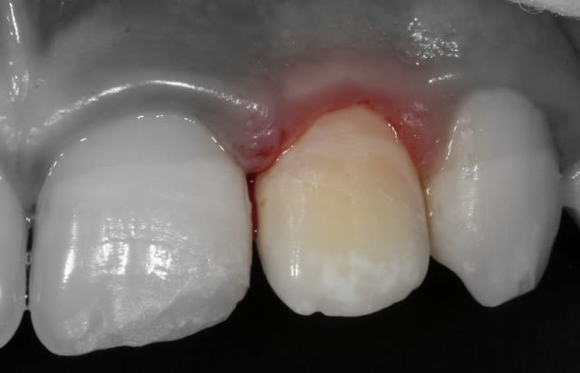
Le fragment fracturé, récupéré par la maman, est collé.

- Certificat Médical Initial pour l'assurance. Suivi régulier.

Img 6460 zozw7e - Eugenol
Img 6462 irtymb - Eugenol
Img 6468 tsdrtt - Eugenol
Img 6463 bpnvrs - Eugenol
Img 6474 sn0rzh - Eugenol
Img 6467 gmi4to - Eugenol
Img 6472 edrfbh - Eugenol
Rad prfi1a - Eugenol

Blue eye thumb medium dx1i0w - Eugenol
bill

25/10/2013 à 22h23

Superbes photos !
Sympa le contraste NB / couleur.
Et ça semble presque facile. ;-)


belette

26/10/2013 à 00h17

Joli! c'est du Grangabi!
^ ... ^
Ô"""Ô
= o =
°°°°°


Bbpanda vyfmu4 - Eugenol
kung fu panda

26/10/2013 à 07h18

Bravo pour ce cas et pour ton iconographie, c'est tout simplement magnifique.

Je vois que tu es un utilisateur satisfait de la Biodentine.

As-tu eu l'occasion de l'essayer dans des cas d'apexifications?


King lcqqit - Eugenol
King of PAP

26/10/2013 à 10h17

Bravo, quel magnifique compo stratifié.
As tu beaucoup de recul avec la biodentine, même sur des expositions importantes comme celle ci? Je la réserve à des cas de corne exposée si je fais l'inlay dessus, mais si ça marche dans des cas de plus volumineuse exposition, c'est très intéressant


Avatar hjdsnm - Eugenol
TiGabi

26/10/2013 à 11h35

kung fu panda : j'utilise beaucoup plus le MTA. Les seuls cas où j'utilise de la Biodentine sont lorsque je ne veux pas obtenir de changement de teinte (dent antérieure ou sous un onlay).

King of PAP : c'est son fragment de dent recollé :) L'étendue de l'exposition importe moins que son ancienneté. L'asepsie opératoire est aussi fondamentale.
J'ai environ 20% d'échecs sur mes coiffages. J'ai fait récemment une revue de littérature et il semble que ce soit le chiffre moyen dans la plupart des études.
Je dis aux parents "On a mis un médicament sur le nerf pour qu'il reste vivant. Mais des saletés sont rentrées dedans : parfois, il arrive que le nerf meurt quand même. Si Julien commence à avoir des douleurs sur cette dent, appelez moi".


Bbpanda vyfmu4 - Eugenol
kung fu panda

26/10/2013 à 12h07

TiGabi écrivait:
----------------
> kung fu panda : j'utilise beaucoup plus le MTA. Les seuls cas où j'utilise de la Biodentine sont lorsque je ne veux pas obtenir de changement de teinte (dent
> antérieure ou sous un onlay).

Effectivement si je te pose la question c'est surtout vis à vis de la dyschromie que le MTA induit au bout de quelques années.

La biodentine permettrait de s'en affranchir. Je sais que techniquement c'est possible, mais à vrai dire j'aimerais avoir un retour d'expérience d'autres confrères avant de tenter une apexification à la Biodentine.


6szjws718sv1jksw54v4mpj3a6cu - Eugenol
vulpi

26/10/2013 à 14h44

Bonjour, tu colles directement sur la dentine et la biodentine qui est humide?


Sanda

26/10/2013 à 22h43

Bonsoir TiGabi

Sur la photo4, celle apres la pulpo partielle je suppose, as tu eu une hémostase naturelle ? As tu directement posé le MTA ? La pulpe semble assez "rouge foncé"


levm

26/10/2013 à 23h32

-Tu colles avec quoi et comment ?
-Le fragment 24h à l'air , ce n est pas trop ?
-Quels sont tes honoraires pour cet acte ?
-L'effraction pulpaire , tu le fais avec une boule neuve ?
Comment sais-tu que la quantité de tissus pulpaire retirée est suffisante ?


King lcqqit - Eugenol
King of PAP

27/10/2013 à 07h24

TiGabi écrivait:
----------------

> King of PAP : c'est son fragment de dent recollé :) L'étendue de l'exposition
> importe moins que son ancienneté. L'asepsie opératoire est aussi fondamentale.
> J'ai environ 20% d'échecs sur mes coiffages. J'ai fait récemment une revue de
> littérature et il semble que ce soit le chiffre moyen dans la plupart des
> études.
> Je dis aux parents "On a mis un médicament sur le nerf pour qu'il reste vivant.
> Mais des saletés sont rentrées dedans : parfois, il arrive que le nerf meurt
> quand même. Si Julien commence à avoir des douleurs sur cette dent, appelez
> moi".
Forcemment, le mimétisme est top.
Pardon je n'avais pas lu. Il n'en reste pas moins que c'est du superbe travail.


Avatar hjdsnm - Eugenol
TiGabi

27/10/2013 à 11h12

- L'éviction du tissu pulpaire est réalisée avec une fraise-boule acier sur contre-angle bague bleue. La fraise est stérile : n'a rien touché d'autre avant.
La quantité de tissu à enlever dépend de l'ancienneté de l'exposition. C'est "empirique" : on imagine la profondeur de tissu infecté depuis l'exposition. 1 mm si le trauma a quelques heures, toute la pulpe camérale si 24h, toute la pulpe si plus de 48-72h.
Plus la pulpe est jeune et la dent immature, plus on est conservateur. Et inversement.

- L'hémostase est faite avec un coton stérile (des boulettes de coton dans un sachet passé à l'autoclave).

- Le collage du fragment coronaire peut se faire même très longtemps après la fracture (plusieurs semaines) : on le conserve dans du sérum physiologique, au frigo, pour éviter un aspect déshydraté.
Mordançage et adhésif sur la dent et sur le fragment. Si le fragment s'adapte parfaitement, l'adhésif est polymérisé quand le fragment est en place. Si l'adaptation n'est pas parfaite (léger hiatus par endroit), je polymérise l'adhésif avant puis utilise du composite fluide entre le fragment et la dent.


Sanda

27/10/2013 à 16h32

Superbe cas d'école ! Bravo!


youn

27/10/2013 à 18h06

Question conne pour ne l'avoir jamais fait : tu tasses la biodentine, ou tu la "poses" simplement?

En tous cas beau boulot.


Image r6habu - Eugenol
Thomas Crown

28/10/2013 à 13h26

Respect.
Comment gères tu le volume de bio dentine qui interfère pour le collage du pan fracturé,
Tu fais une légère cavité dans la masse ou autrement.


dcs

28/10/2013 à 15h13

TiGabi écrivait:
----------------
> Bonjour,
>
> Enfant de 12 ans adressé par son dentiste le lendemain d'un trauma avec fracture
> de 21 et 22.
>
> - 21 est une incisive mature mais jeune. Les cornes pulpaires sont très
> proéminentes et une fracture même d'apparence minime a donc une implication
> pulpaire directe. Il faut recouvrir en urgence le trait de fracture : ici par un
> CVIMAR (Fuji II LC). Une restauration par résine composite sera réalisée.
>
> - 22 présente une exposition pulpaire ancienne de 20 heures. 20 heures donc que
> les germes buccaux contaminent directement la pulpe, heureusement jeune et donc
> avec un fort potentiel de défense.
> Une pulpotomie partielle est réalisée afin d'éliminer le tissu le plus
> contaminé. De la Biodentine est utilisée ; son avantage par rapport au MTA est
> de ne pas noircir. Du CaOH aurait un taux de succès moindre.
> Si le patient avait été vu le jour même du trauma, une exérèse pulpaire a minima
> (1 mm pour loger le matériau) aurait été suffisante.
> Le fragment fracturé, récupéré par la maman, est collé.
>
> - Certificat Médical Initial pour l'assurance. Suivi régulier.

tres sympa donne nous ton secret ap photo? marque ? et quel logiciel pour les contrastes et les couleurs merci


Avatar hjdsnm - Eugenol
TiGabi

28/10/2013 à 15h14

- Pour la pose de la biodentine : le matériau est tixotrope, il se fluidifie dès qu'on le vibre. Je le place dans la cavité puis en le tapotant délicatement, il "fond" et se répartit sans qu'on ait à le fouler.

- Le volume de Biodentine est dans la chambre et n’interfère donc pas avec le collage : j'ai juste nettoyé le pourtour et fraisé l'excès sur le dessus.


Avatar hjdsnm - Eugenol
TiGabi

09/06/2014 à 13h49

6 mois plus tard : tout va bien pour la 12 mais la 11 est nécrosée. L'apex étant large (60), j'ai placé un bouchon de MTA.

A revoir dans 6 mois...

Lurmin tristan 6464 20140524 11 14 53 ap3sbm - Eugenol
Lurmin tristan 6464 20140606 17 08 52 fwiivh - Eugenol

ny162

09/06/2014 à 22h52

Faut-il placer un CVI par dessus la Biodentine avant de mettre le composite ou mets-tu directement le composite sur la Biodentine? Combien de millimètres de Biodentine sont nécessaires (en épaisseur)?


ny162

09/06/2014 à 22h53

(Dans le cas où on n'a pas le fragment dentaire)