Tous les forums
cas surréaliste help!
31/10/2013 à 18h54
Chers confrères,
je vous remercie par avance de l'aide que vous pourrez m'apporter sur ce cas.
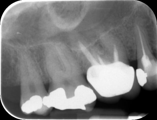
Il y a 2 semaines j'ai posé un implant de 46 tout simple, sans aucune complication.
4 jours plus tard, la patiente revient, n'a aucune douleur mais présente des vertiges terribles, à ne pas tenir debout, depuis la pose d'implant. Je précise que la patiente n'est pas du tout psy. Elle me décrit aussi que le jour de la pose de l'implant, elle est venue très très fatiguée.
Sa généraliste pense à un problème d'oreille interne mais les choses ne s'améliorent pas avec un traitement à l'acétylcystéine.
4 jours plus tard je revois la patiente pour enlever les fils, le son de l'implant est bon, la cicatrisation ok hormis une irritation de la muqueuse au collet. La patiente ressent un début d'abcès sur la 15 (dent que l'on surveillait depuis 1 moment qui venait d'être retraitée par un confrère avant que je ne prenne en charge la patiente donc on était en réévaluation de cette dent). Je place donc la patiente sous birodogyl, elle est allergique à l'amoxicilline.
Je revois la patiente aujourd'hui avec
- une tuméfaction génienne basse droite, non collectée, non douloureuse
- des douleurs sur 17 et 18
17 et 18 sont positives au test au froid, on en déduit donc un souci sinusien, qui pourrait aller de pair avec un problème ORL plus global
- 47 est positive au test au froid
- 48 est négative au test au froid mais positive au test de fraisage
- 46 ne présente aucune suppuration, bon son de l"implant, RAS à la radio
- la patiente décrit un effet de pile, qui expliquerait l'irritation en vestibulaire de 46, 47 étant un "amalgame sur pattes" que je n'avais pas osé toucher.
Je suis donc un peu perdue, je ne trouve pas de foyer infectieux et je me demande
- s'il n'y aurait pas une vasodilatation "neuro" comme j'en ai déjà vu sur un cas dans le passé
- ou si je suis face à un cas d'allergie au titane, auquel cas il faudrait que je dépose mon implant qui a pourtant un bien bonne tête...
Pourriez-vous m'éclairer de vis avis car je me prends beaucoup la tête et j'aimerais aider au mieux ma patiente.
Merci beaucoup d'avance.
31/10/2013 à 21h01
Sans m'avancer sur ton cas particulier, on peux avoir par exemple une racine en nécrose et un test au froid positif avec les autres racines. Que donne la percutions sur 17 ?
31/10/2013 à 21h10
17 et 18 sont douloureuses à la percussion, mais vu que la patiente bruxe, pour moi le test de percussion positif n'est pas significatif...
Par contre le test au froid est très très nettement positif.
Et puis la tuméfaction est génienne basse, limite à l'angle de la mandibule, et elle a commencé en bas. Donc si foyer infectieux il y a, il doit être mandibulaire.
01/11/2013 à 09h57
as tu un scan pré op? parfois, la mandibule en coupe a une forte concavité interne, et l'apex de l'implant aurait pu traverser la corticale interne, entrainant oedeme, d'où les symptômes...
--
N.Hum
01/11/2013 à 10h09
+1 scan post op et/ou pré op si tu as, peut être mandibule en baillonnette
01/11/2013 à 11h46
pas fait de scan mais j'ai quand même super bien palpé, d'autre part la tuméfaction arrive plus de 10 jours après la pose, si ça avait été ça je pense que l'effet aurait été immédiat, en plus la tuméfaction n'est pas linguale elle est au niveau de l'angle de la mandibule.
Mais je vais suivre votre conseil et faire faire un scan, en espérant qu'il n'y aura pas trop d'attente.
01/11/2013 à 15h02
Pas de scan pré-op ?
Fais en systématiquement, c'est une obligation médico-légale.
01/11/2013 à 15h09
absolument pas, c'est à faire en sous sinusien et quand il y a un doute sur la distance avec le nerf alvéolaire inf ou.sur la largeur.de crête, dans les autres pays 90% des.implants sont posés sans scan, c'est franco français d'irradier le patient à tout bout de champ. Mais c'est un autre débat qui ne fait pas avancer mon cas, et je répète que j'ai bien palpé, qu'il n'y a eu aucun problème en post op immédiat et que je suis sûr à 100% de ne rien avoir perforé.
01/11/2013 à 15h35
Que donne la 45?
Une reprise de carie sous l'obtu + lésion apicale avec un peu d'imagination ?
01/11/2013 à 15h54
aquarium écrivait:
------------------
> absolument pas, c'est à faire en sous sinusien et quand il y a un doute sur la
> distance avec le nerf alvéolaire inf ou.sur la largeur.de crête, dans les autres
> pays 90% des.implants sont posés sans scan, c'est franco français d'irradier le
> patient à tout bout de champ. Mais c'est un autre débat qui ne fait pas avancer
C'est ton avis, mais ton avis importera peu si un jour tu passes devant un juge. Obligation de moyens, c'est la loi.
01/11/2013 à 19h35
G-P écrivait:
-------------
> C'est ton avis, mais ton avis importera peu si un jour tu passes devant un juge.
> Obligation de moyens, c'est la loi.
Ce n'est que ton avis également. Je penche plutôt pour l'analyse d'aquarium.
Mais là encore n'est pas la question, ne viens donc pas polluer son post.
01/11/2013 à 19h42
Eh non ce n'est pas que mon avis, mais celui de la justice française ;)
Faites comme vous voulez.
01/11/2013 à 20h32
J'adore les surréalistes, mais là, on y est pas encore..
Sois t.embauches Sanda ( elle EST surréaliste elle , section diagnostic ), sois tu systématises tes CBCT en arrêtant de croire que tu irradies la terre entière.
Parce que quand ça t' arrives , tu as l'outil nécessaire pour vérifier que ton environnement est clean, et en plus tu visualises les anat implantaires en amont.
Consult, arrêtes de parler mal à G-P, il est virtuel sympa, et je suis d'accord avec lui mec.
01/11/2013 à 20h42
super, donc merci pour la réponse qui sert à rien et qui n'aide pas. Ouvrez un fil sur le bien fondé de la systématisation du scanner en pré op si ça vous chante, mais franchement là c'est pas la question que j'ai posée.
Sanda a le mérite de se pencher sur la cas et de pas essayer de se faire mousser ou de porter des jugements à tout va.
01/11/2013 à 21h04
Relax mec, les gars qui font pas de scanner, c.est des vrais motards pour moi..
Arrête avec tes remarques de petit chef, on te considérera peut être un peu plus .
Relis ta notice de Rodogyl, ça ressemble à une intolérance au produit, qq cas d'atteintes neuro de ce type . Surtout si tableau allergique initial.
T'as ajouté de la cortisone ou antalgique central et Klipal ?
C médoc ton truc pour moi, et le gonflement .. C quoi à ton avis ?
Ça va la, je mousse encore, Chef ?
01/11/2013 à 21h07
Reponse bête. Depuis que tu as intervenu ta patiente fait attention de pas manger de ce coté,et a peur de se brosser. Peut être que tes douleurs viennent d'un tassement alimentaire.
De toute façon moi quand je ne comprends pas, j'attends soit ça se reglera tout seul soit cela empirera et tu sauras quelle est la dent en cause.
Par contre les vertiges, je ne vois pas en quoi il pourait y avoir un lien avec ton travail.Sauft reaction "atipique" a un medicament. As tu prescrit des morphiques?
01/11/2013 à 21h16
Thomas Crown écrivait:
----------------------
> .
> Relis ta notice de Rodogyl, ça ressemble à une intolérance au produit, qq cas
> d'atteintes neuro de ce type . Surtout si tableau allergique initial.
Oui mais les vertiges ont commencé avant la prise de birodogyl
>
> T'as ajouté de la cortisone ou antalgique central et Klipal ?
non, le paracetamol étant suffisant pour gérer les douleurs
Corticoïdes j'ai préféré éviter au cas où infection, et puis je voyais pas trop l'indication
> C médoc ton truc pour moi, et le gonflement .. C quoi à ton avis ?
c'est le gonflement que j'explique pas. Mandibulaire postérieur déformant l'angle goniaque, pas douloureux, pas collecté, à part une réaction neuro je vois pas
> Ça va la, je mousse encore, Chef ?
Du moment que tu te penches sur mon cas clinique ça me convient
01/11/2013 à 21h19
Queixal écrivait:
-----------------
> Reponse bête. Depuis que tu as intervenu ta patiente fait attention de pas
> manger de ce coté,et a peur de se brosser. Peut être que tes douleurs viennent
> d'un tassement alimentaire.
C'est propre quand même
>
> De toute façon moi quand je ne comprends pas, j'attends soit ça se reglera tout
> seul soit cela empirera et tu sauras quelle est la dent en cause.
En effet je sens que c'est ce que l'on va faire...
> Par contre les vertiges, je ne vois pas en quoi il pourait y avoir un lien avec
> ton travail.Sauft reaction "atipique" a un medicament. As tu prescrit des
> morphiques?
Non pas de morphiniques, elle avait juste dafalgan et eludril en post op. Elle n'a jamais eu de douleur sur le site de la pose, juste la gencive en vestibulaire de l'implant pas jolie, à mon avis lié au bimétallisme avec l'amalgame de la 47.
Et tout a commencé avec ces gros vertiges, mais je vois vraiment pas le lien de cause à effet
01/11/2013 à 21h21
Thomas Crown écrivait:
> > Relis ta notice de Rodogyl, ça ressemble à une intolérance au produit, qq cas
> > d'atteintes neuro de ce type . Surtout si tableau allergique initial.
> Oui mais les vertiges ont commencé avant la prise de birodogyl
> >
> > T'as ajouté de la cortisone ou antalgique central et Klipal ?
> non, le paracetamol étant suffisant pour gérer les douleurs
> Corticoïdes j'ai préféré éviter au cas où infection, et puis je voyais pas trop
> l'indication
>
> > C médoc ton truc pour moi, et le gonflement .. C quoi à ton avis ?
> c'est le gonflement que j'explique pas. Mandibulaire postérieur déformant l'angle goniaque, qui apparaît 10 jours après la pose, après 1 semaine de birodogyl, pas douloureux, pas collecté, à part une réaction neuro je vois pas
>
> > Ça va la, je mousse encore, Chef ?
Du moment que tu te penches sur mon cas clinique ça me convient
01/11/2013 à 23h59
Salut Thomas Crown
Merci de te foutre gentillement de ma gueule, certe je suis allé un peu vite en besogne surtout vu le tableau clinique, j'essaye seulement d'apporter ma ptite contrib.
Je te laisse le soin de porter le bon diag, vous avez tous l'air plus fort les uns que les autres (surtout pour affirmer des choses sans la moindre source citée).
02/11/2013 à 09h26
L'ironie n'est pas mortelle Sanda, et tout le monde se fait gentiment remettre en place ici.
Est ce que le fait que ta réponse m'a fait ..sourire, signifie que je me fous de ta g..., c 'est toi qui vois.
J'imagine que cela fait parti du format..moi j'avais jamais mis un doigt dans un forum avant ici, je connais pas les us.
J'ai pas de référence à te fournir sur une recherche diagnostic, désolé .
Mais merci d.accepter que ta piste 45 et un peu ..rapide.( Perso c'est plutôt 47 que je surveillerai).
Mais Aqua semble savoir de quoi il parle, alors on va le laisser tranquille avec le diag dentaire, non ?
Pour le scan, t'as pas besoin de grande recherche, tu retrouves les compte rendus de ta RCP sur le sujet ou tu les appelles, et puis tu vois.
Si avoir un questionnaire signé est indispensable, il n.est pas considéré comme suffisant dans l'anamnése aujourd'hui , si il y a pépin . Donc tu dois prouver que tu as tout mis en œuvre pour réaliser le bilan standard et irréprochable , légalement .
Pareil pour le scan, vous avez le droit de penser que c'est pas systématique , mais le jour ou il y a blême, tu es dedans.
Perso, si une connaissance me dit qu'on va lui poser un implant sans scan, je peux pas lui dire que c'est comme ça qu'on fait.. Et toi?
02/11/2013 à 11h14
Aquarium, je ne vais pas entrer dans le débat scanner obligatoire ou pas, mais si je t'évoque la possibilité d'une concavité importante sous la mandibule, c'est que ton cas me rappelle un cas similaire, ou j'ai du déposer un implant, pour cette raison.
Je travaille régulièrement sans scanner, donc je ne te jette pas la pierre, mais je vais changer de façon de faire, car je suis sur que certains de mes échecs sont dus au manque d'info 3D pré op.
tiens nous au courant de la suite!
--
N.Hum