Cookie Consent byPrivacyPolicies.comDouleur au serrage - Eugenol

Douleur au serrage

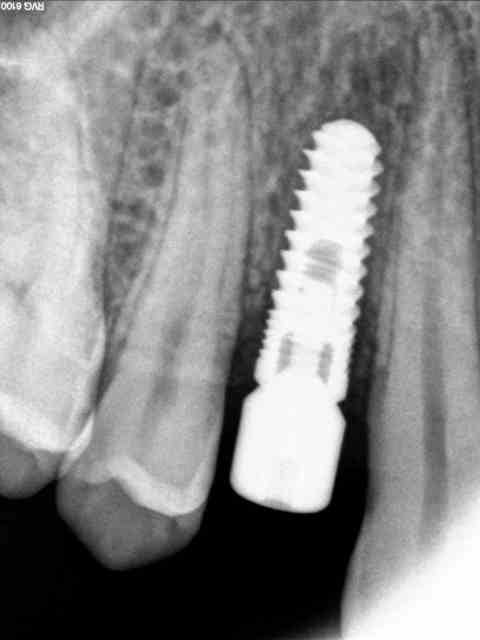
Implant wq5dd1 - Eugenol
sinuslift

06/11/2013 à 11h06

Salut tout le monde,

Sujet déjà traité mais je n'ai pas retrouvé le post.

Je revois un patient ce matin pour empreinte suite à un implant posé en lieu et place de 14 (implant direct diam. 4.2) Lors de la pose j'avais souhaité réalisé une mise en charge immédiate que je n'ai pu faire donc ai réalisé une petite pap résine unitaire en attente.
Cela c'est fait début juillet.

J'ai revu le patient donc, réalisé un cliché pour contrôler l'ostéointégration, dévissé la vis de cicatrisation (sans soucis). Cependant lors du serrage du pilier + transfert le patient a ressenti une douleur en fin de serrage accompagnée, de mon côté d'une sensation désagréable dans le tournevis (style : je vis l'implant)

CAT? J'ai redévissé le transfert et remis la vis de cicatrisation en renvoyant le patient à 1 mois afin de recontrôler...

Quelles sont les risques à moyen et long terme? Dois je attendre plus (dans les trois mois)?

Je post le cliché de ce matin.

Merci pour vos réponses...


Implant wq5dd1 - Eugenol
sinuslift

06/11/2013 à 11h47

la radio

Implant 14 fsid3x - Eugenol

Photo pluton1b h9n4ea - Eugenol
pluton

06/11/2013 à 12h03

tu veux dire que l'implant a tourné au vissage?

le test de percussion du transfert çà donnais quoi? un son bien métallique ou l'impression d'être dans la semoule?
pas non plus de mobilité quand tu essayes de le "secouer"?
sinon, tu as pu aussi simplement pincer la gencive...

à la radio, j'aime pas les zones sombres en regard de tes spires...
peut être le début d'un échec...çà peut arriver à tout le monde...
si c'est çà tu déposes, curetage et tu attends 8/10 semaines avant d'y retourner...

P.S: l'implant était peut être un peu trop gros...un 3.7mm, plus long, aurait amha été bien plus favorable....


Implant wq5dd1 - Eugenol
sinuslift

06/11/2013 à 12h20

Merci pour ta réponse.

Je ne pense pas que l'implant ai bougé.

C'est juste une sensation de fin de serrage dans mes doigts qui peut très bien ressembler à un pincement de la gencive.

L'implant est parfaitement asyptomatique à la percussion et immobile, quant au son....j'ai pas l'oreille musicale pour un sou alors dire si c 'est mat ou clair...ça fait métal sur métal.

Pour l'image radio, c'est les filtres du logiciel trophy qui donne systématiquement cette impression (ça le fait sur tous mes implants ;)


G-P

06/11/2013 à 14h10

Bah il fait plutot "pac" ou "poum" :)


Photo pluton1b h9n4ea - Eugenol
pluton

06/11/2013 à 14h25

sinuslift écrivait:
-------------------
> Merci pour ta réponse.
>
> Je ne pense pas que l'implant ai bougé.
>
> C'est juste une sensation de fin de serrage dans mes doigts qui peut très bien
> ressembler à un pincement de la gencive.
>
> L'implant est parfaitement asyptomatique à la percussion et immobile, quant au
> son....j'ai pas l'oreille musicale pour un sou alors dire si c 'est mat ou
> clair...ça fait métal sur métal.
>
> Pour l'image radio, c'est les filtres du logiciel trophy qui donne
> systématiquement cette impression (ça le fait sur tous mes implants ;)
>

ok, alors c'est juste que tu as pincé un peu la gencive
tu rappelles ton patient et tu fais ton empreinte...;-)


Tumblr nbpd8ntwip1rsb3deo1 1280 hyinig - Eugenol
Enki

06/11/2013 à 15h04

J'ai eu un fribro-intégration la semaine dernière. Implant en 2 temps il c'est dévissé quand j'ai serré le pilier de cicat'.

Ca m'est arrivé 3 ou 4 fois, ça n'est généralement pas douloureux. J'avais mis un 3.75, j'étais large donc j'ai re-foré et posé un 4.2, refermé...c'est reparti avec le complet pour 3 mois de plus.

Si le son est clair et que l'implant n'a pas tourné c'est que tu as pincé la gencive. Il se peut aussi que tu ais un peu d'os a être revenu (ou resté) plus haut que le col. Ça arrive quand on pose en sous crestal et qu'on a pas la résorption osseuse attendue. Dans ce cas la pose du pilier de cicat' peut provoquer des douleurs assez importante dans les 24 heures (pas sur le coup puisqu'on est sous anesthésie).


Implant wq5dd1 - Eugenol
sinuslift

06/11/2013 à 15h05

pluton écrivait:
----------------

> tu rappelles ton patient et tu fais ton empreinte...;-)

Je t'ai pas attendu, je déteste ce genre de dossier chaud ^^

Je le revois vendredi matin pour taper sur cet implant dans tous les sens pour identifier le son que ça fait...

Si c'est fibro intégré (il y en a qui peuvent sourire mais cela ne m'étant jamais arrivé en 7 ans)doit il être douloureux à la percussion axial ?


Photo pluton1b h9n4ea - Eugenol
pluton

06/11/2013 à 16h01

en général, c'est un peu sensible...mais pas forcément très violent comme douleur....
test en axial et en latéral....


Implant wq5dd1 - Eugenol
sinuslift

06/11/2013 à 16h01

Merci Enki pour ta réponse.

@Pluton : j 'essaye vendredi matin et je vous tien au courant,

sinon je sort ce cas de ma tête pour les interventions de demain.....


Casque beotien a3jo39 - Eugenol
beotien

06/11/2013 à 16h12

sinuslift écrivait:
-------------------
> Merci Enki pour ta réponse.
>
> @Pluton : j 'essaye vendredi matin et je vous tien au courant,
>
> sinon je sort ce cas de ma tête pour les interventions de demain.....

Sage décision, et vendredi plutôt que de taper dessus dans tous les sens tu ouvres et tu regardes simplement si il tourne ou pas


Gonzo k0qhwz - Eugenol
matten

06/11/2013 à 16h37

Si douleur au vissage, c'est que tu as rompu ton osteointegration.
Ca ne se voit pas a la radio. ni au son vu que a present ton implant est bien vissé.
Il faut a nouveau attendre 3-4 mois avec la vis de cicat, et ensuite tu refaits un test de vissage a 35N.cm.
Si c'est ok sans douleur et sans rotation tu peux mettre la couronne.


PopHip

06/11/2013 à 17h26

CAT: attendre.

Mais les quelques fois où j'ai rencontré ce signe, ça s'est toujours fini en échec. Il y avait en tout cas une excellente stabilité par fibro-integration ! :D


209209668 fh2mys - Eugenol
fredo667

07/11/2013 à 10h00

sinuslift écrivait:
-------------------
> pluton écrivait:
> ----------------
>
> > tu rappelles ton patient et tu fais ton empreinte...;-)
>
> Je t'ai pas attendu, je déteste ce genre de dossier chaud ^^
>
> Je le revois vendredi matin pour taper sur cet implant dans tous les sens pour
> identifier le son que ça fait...
>
> Si c'est fibro intégré (il y en a qui peuvent sourire mais cela ne m'étant
> jamais arrivé en 7 ans)doit il être douloureux à la percussion axial ?

Puisque tu as un piler, je serait toi, je le remettrai en place avec un serrage au torque définitif ou quasi.
Si tu as de nouveau cette douleur ou la sensation, tu rendort, tu retires l'implant. Je n'ai jamais vu des fibres se faire remplacer par de l'os même en attendant bien longtemps.
Préviens juste ton patient que cela fait parti des possibilités, qu'il n'y a rien de dramatique, c'est juste du temps de perdu.

Gratte à fond, attend 8 semaines, met une vis plate, et ca marchera à tous les coups.

L'ostéointégration avec 100 % de contact os implant n'existe pas. Ton intégration est bonne mais légement insuffisante, et ton implant a tourné légèrement mais pas comme dans la semoule. ça m'est arrivé le jour du serrage définitif : c'était un bridge et il était fini : un huitieme de tour. tout du recommencé, et je peux te dire que le son était le même que les autres.


Rebellious135

07/11/2013 à 14h08

Si on dépose, 8 semaines de temps d'attente suffit? Au maxillaire ou à la mandibule le temps d'attente est similaire? Désolé pour des questions bêtes, moi j'aurais dit d'attendre 3 mois..


Implant wq5dd1 - Eugenol
sinuslift

08/11/2013 à 10h34

Salut tout le monde,

Les interventions d'hier ce sont bien passées ;)

Sinon, j'ai revu le patient. Les tests de percussion en axial et transversal sont clairs et métalliques. Aucune sensibilité.
Ce test reste donc très subjectif.

Mais... si je prend la vis de cicatrisation avec une précelle, j'observe une légère mobilité de l'ensemble.

Rendez vous est donc donné pour déposer l'ensemble. Je ne le revois que dans un moi mais je ne manquerai pas de remonter le post pour vous montrer la suite.

Merci pour vos réponses et conseils.

Bonne journée.


209209668 fh2mys - Eugenol
fredo667

17/11/2013 à 15h13

S tu voyais une mobilité de l'ensemble, 4 minutes te suffisaient pour endormir et 1 minute pour dévisser juste avec le porte implant et gratter, psychologiquement pour le patient c'est potentielement mieux. Ai toujours un tourne à gauche chez toi, on ne sais jamais.

Bon courage.


Implant wq5dd1 - Eugenol
sinuslift

06/01/2014 à 11h15

Salut et Bonne Année à tous !

La suite....

Le patient est donc revenu. L'implant était asymptomatique avec une percussion axiale et transversale mat.
J'ai mis en place le transfert d'empreinte et une légère mobilité était perceptible.

J'ai anesthésié et déposé l'implant sans aucun soucis. Après curetage et suture je lui ai redonné rdv à 8 semaines...

La suite donc dans deux mois.

Ps : sur une nouvelle radio un liseret radio clair était bien visible autour de l'implant donc positif pour ceux qui avaient avancé la fibrointégration... J'essayerai de la poster.