Cookie Consent byPrivacyPolicies.comcompo et point de contact - Eugenol

compo et point de contact

003 penrd2 - Eugenol
Cingulum

15/11/2013 à 15h56

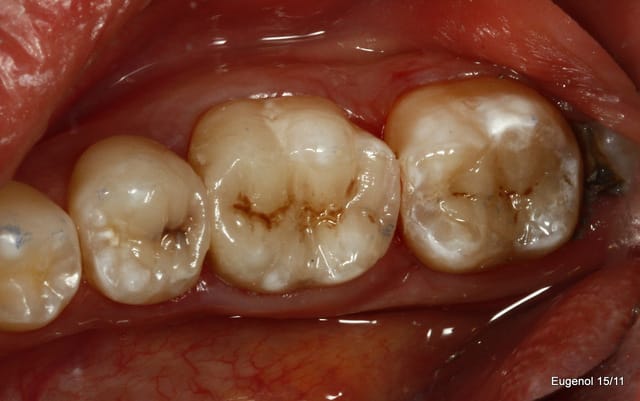
un truc que je fais souvent, quand je monte deux compo volumineux en contact, je monte le plus gros et difficile sans matrice et comme ça j'ai accès a la marge, et je peux donner une jolie forme galbée proximale
puis je monte le suivant avec une seule matrice...
plus facile je trouve d'avoir le point de contact


--
Dr Cingulum
-----Ancien interné----
----Attaché à l'apex----
http://www.clinic-all.fr/ formation par passion

 mg 5029 001 wvhwhv - Eugenol
 mg 5036 001 u7kegm - Eugenol
 mg 5040 001 d5oemy - Eugenol
 mg 5041 001 cgt4au - Eugenol
 mg 5042 001 dqjvlw - Eugenol
 mg 5044 001 sycxql - Eugenol
 mg 5045 001 nvhmlp - Eugenol
 mg 5047 001 zhykl5 - Eugenol

doctyoni

15/11/2013 à 16h20

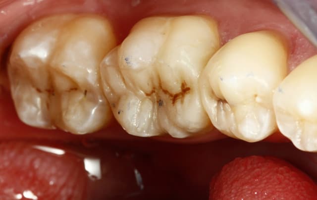
Trés joli boulot .
Codifié 2 SC17 ?
Avec quoi tu colores les sillons ?


003 penrd2 - Eugenol
Cingulum

15/11/2013 à 16h30

SC12 (35) SC17 (36) sc7 + sc7 (37), 50mn ...
maquillant Enamel HFO

--
Dr Cingulum
-----Ancien interné----
----Attaché à l'apex----
http://www.clinic-all.fr/ formation par passion



Bebe 038 nf8eum - Eugenol
danteyeah

15/11/2013 à 17h14

Cingulum écrivait:
------------------
> un truc que je fais souvent, quand je monte deux compo volumineux en contact, je
> monte le plus gros et difficile sans matrice et comme ça j'ai accès a la marge,
> et je peux donner une jolie forme galbée proximale
> puis je monte le suivant avec une seule matrice...
> plus facile je trouve d'avoir le point de contact


Tout pareil
Par contre c'est hallucinant d'être aussi doué dans tant de domaines différents.

Autre truc ou plutôt outil super utile pour les montages composites postérieurs: un instrument mi sonde miniature mi fouloir conique pointu du coffret à composite de Didier Dietschi. Vraiment un super joujou acquit récemment.

http://www.hu-friedy.com/products/restorative/composite-plastic-filling-instruments/plastic-filling-instruments/dietschi-composculp-1-2.html

Cingulum, y aura t-il une version Sud-Est de Cingu chez les ch'tis, avé l'accent?


eusebius

15/11/2013 à 17h33

superbe....

et pis ton patient par hasard va faire une visite de contrôle chez un confrère qui va se jeter sur tes sillons infiltrés :-)))))))))))


Images jm2g2g - Eugenol
dr_0le

15/11/2013 à 22h26

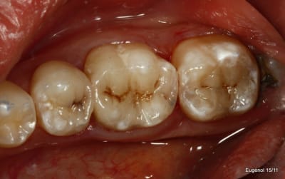
Ouep vraiment beau boulot...
Comment fais tu pour faire tenir ta digue sous la limite cervicale de tes cavités en Proximal??
J'ai parfois du mal lors de collages...

Demandeur de clinic all dans le sud ouest :)


Tozzi

15/11/2013 à 22h37

Superbe.
Mais pourquoi ne pas avoir opté pour 2 inlays surtout pour la 36 ?


Capture d  cran 2015 03 12 12.28 - Eugenol
chicot29

15/11/2013 à 22h42

Beau boulot, il ne reste plus qu'à ajuster l'occlusion car c'est difficile avec la digue. Tu meules les cuspides antagonistes pour ne pas massacrer un si joli travail ?


belette

15/11/2013 à 23h33

dr_0le écrivait:> Demandeur de clinic all dans le sud ouest :)

On échange contre l'océan ?

^ ... ^
Ô"""Ô
= o =
°°°°°


Utilisateur banni

16/11/2013 à 00h18

L'état de surface avec sillons secondaires est obtenu comment? Visiblement pas à la fraise. Est-ce un polissage sur la couche non polymérisée au contact de l'oxygène après sculpture avec des instruments classiques, ou de l'isolant sur la dernière couche avant photopolymérisation? Je me tâte depuis longtemps sur le dernier point, qui me permettrait de plus belles sculptures qu'à la fraise flamme mais, je redoute un défaut de collage par insinuation dans le joint de mon isolant.
Si il s'agit d'isolant, quid? vaseline, huile spéciale?


Bebe 038 nf8eum - Eugenol
danteyeah

16/11/2013 à 00h35

Shadow écrivait:
----------------
> L'état de surface avec sillons secondaires est obtenu comment?………………………………………………………….
> Si il s'agit d'isolant, quid? vaseline, huile spéciale?


Encore un qui ne suit pas ;-)

http://www.bisco.com/catalog/ple_bisco_catitemf.asp?iBrand_Id=128&iCat_Id=18


Android jyzura - Eugenol
Tavéca

16/11/2013 à 00h42

Cingulum écrivait:
------------------
> un truc que je fais souvent, quand je monte deux compo volumineux en contact, je
> monte le plus gros et difficile sans matrice et comme ça j'ai accès a la marge,
> et je peux donner une jolie forme galbée proximale
> puis je monte le suivant avec une seule matrice...
> plus facile je trouve d'avoir le point de contact

Très jolie travail au demeurant, mais sans vouloir t'offenser, et vu la qualité des travaux que tu as l'habitude de montrer, je suis étonné que tu préconises, qui plus est en formation, ce type de reconstitution.
Remonter un box molaire ou prémolaire sans matrice n'est pas recommandable.
Tu as beau mettre mettre la digue, sans matrice et coin, tu ne maitrises pas le fluide sulculaire que tu stimulera par effet pompe chaque fois que tu toucheras la digue.
D'autre part le foulage du composite est plus aléatoire.
As-tu une radio du travail fini?


King lcqqit - Eugenol
King of PAP

16/11/2013 à 08h32

Magnifique, bravo.
Mais, pour être sincère, si c'était mes dents, j'aurais préféré un inlay. Maintenant tu l'as certainement proposé au patient.


003 penrd2 - Eugenol
Cingulum

16/11/2013 à 09h32

Tavéca écrivait:
----------------

> Très jolie travail au demeurant, mais sans vouloir t'offenser, et vu la qualité

Pourquoi m'offenser, si je met des cas cliniques ici c'est pour en discuter, sinon à quoi bon ? ;)
et d'ailleurs je ne suis pas d'accord avec toi ...

> des travaux que tu as l'habitude de montrer, je suis étonné que tu préconises,
> qui plus est en formation, ce type de reconstitution.

Je ne considère pas Eugenol comme un canal de formation.
J'aime prendre en photo ce que je réalise dans mon cabinet.
Et aujourd'hui j'ai la liberté de gagner ma vie par les patients que je soigne, et non pas par les cas cliniques que j'iconographie... Ce qui n'est pas le cas de toute les formations...


> Remonter un box molaire ou prémolaire sans matrice n'est pas recommandable.

Attention, je n'ai pas dit qu'il fallait monter les box cuspidés sans matrice....
Je propose cette approche dans les cas particulier où l'on a deux box volumineux face à face. Il est difficile dans ses cas d'obtenir un point de contact efficace.
Je le fais quand je peux facilement avoir accès à la spatule à toute la face proximale


> Tu as beau mettre mettre la digue, sans matrice et coin, tu ne maitrises pas le
> fluide sulculaire que tu stimulera par effet pompe chaque fois que tu toucheras
> la digue.

Alors là pas d'accord du tout.
A quoi bon mettre une digue si c'est le coin et la matrice qui isole la dent. Avec la digue ourlée dans le sulcus je peux t'assurer que je n'ai pas de fluide qui remonte.
Si c'est le cas, je met une ligature...
D'ailleurs quand on colle les Onlay, les facettes, je ne mets pas de matrice... non ?
De plus sur ce cas, sur la 7 j'ai une cavité proximale sous le point de contact. L'abord est que mésial, et juxta gingival, et j'ai un accès total par la cavité de la 6...comment fais tu ? tu mets une matrice et tu ouvres la crête marginale ?



> D'autre part le foulage du composite est plus aléatoire.

Avec la matrice, encore plus quand elles sont galbées, on a aussi des aléas. Parfois je me retrouve avec des espaces, entre deux couches d'apports composite, surtout dans les zones en contre dépouille que l'on garde au niveau du box...
Il est alors nécessaire de refaire tout le box pour éliminer cette bulle...
De toute façon, la réalisation de volumineux composite proximales est difficile... a chacun de trouver sa façon de le faire avec le moins d'aléas...

> As-tu une radio du travail fini?
Non, je n'irradie pas mes patients pour vérifier mes composites ;) mais il revient pour l'autre coté, je ferais la radio ;)

Et pour King, oui c'est une indication d'onlay.
Le patient à 19 ans, et on a d'autres travaux plus urgent qui mobilisent les finances disponibles malheureusement
Olivier.


--
Dr Cingulum
-----Ancien interné----
----Attaché à l'apex----
http://www.clinic-all.fr/ formation par passion


doctyoni

16/11/2013 à 09h47

Je suis fan de tes photos et de ton travail .
Comment règles tu ta lumière ou ton flash pour qui puisse voir tous ces détails?
Il me semble avoir lu quelque part que tu avais un diffuseur.
Ca se voit surtout sur tes cas sur les dents antérieures , on arrive à voir les félures , la translucité de l'émail,..
J'ai jamais réussi à obtenir de tel résultat avec mon apn


doctyoni

16/11/2013 à 09h51

http://www.eugenol.com/sujets/396795-ca-manque-de-cas-en-ce-moment
Par exemple ici .
Ps: J'adore ton prothésiste , tu le payes cher sans indiscrétion ?


003 penrd2 - Eugenol
Cingulum

16/11/2013 à 11h23

Pour les photos, j'ai un canon, avec un 100mm macro, deux flash satellites, et des diffuseurs (plateau plastique jetable découpé et mis avec des scratchs)
Pour le prothésiste, il a un très bon rapport qualité prix



pour la digue, le but c'est d'être étanche. Par exemple il est important de relâcher la digue sous les crampons et écartant légèrement ceux ci après la mise en place


--
Dr Cingulum
-----Ancien interné----
----Attaché à l'apex----
http://www.clinic-all.fr/ formation par passion

Img 0685 ifiupf - Eugenol
2012 09 06 15.27 - Eugenol
2013 10 17 10.36 - Eugenol

doctyoni

16/11/2013 à 11h33

et des diffuseurs (plateau plastique jetable découpé et mis avec des scratchs)

J'utilise du papier calque pour faire diffuseur , je n'ai jamais pensé à utilise un plateau plastique.
Comment tu as pu scrachté le diffuseur ?


Capture d  cran 2015 03 12 12.28 - Eugenol
chicot29

16/11/2013 à 11h55

Il est certain que bosser avec une digue bien placée on entre dans un autre monde de confort de travail et de qualité. C'est toujours dommage quand on fait un travail de qualité de laisser des bouses NGAP à coté et on est tenté de les refaire meme à titre gracieux. Mieux vaut à titre gracieux d'ailleurs pour éviter de se choper un indu à rembourser.
Tu n'as pas répondu pour le réglage de l'occlusion ou bien tu as des implants à faire en antagoniste dans un second temps ? )))))))))


003 penrd2 - Eugenol
Cingulum

16/11/2013 à 12h11

Ben les photos finales c'est après réglage de l'occlusion sinon c'est pas drôle.
Quand on s'appuie sur les cuspides restantes et qu'on donne une morphologie assez naturelle, en général il y a peu de retouche occlusale.
Sinon je fais les sillons secondaire a la sonde.
C'est du compo Enamel HRI en dentine et Esthelite en email qui se sculpte facilement et reste pourtant souple et autolissant...

Le polissage c'est des brossettes chargées en silice, et avec de la pâte à polir.


--
Dr Cingulum
-----Ancien interné----
----Attaché à l'apex----
http://www.clinic-all.fr/ formation par passion


Capture d  cran 2015 03 12 12.28 - Eugenol
chicot29

16/11/2013 à 13h33

Cingulum écrivait:
------------------
> Ben les photos finales c'est après réglage de l'occlusion sinon c'est pas drôle.
> Quand on s'appuie sur les cuspides restantes et qu'on donne une morphologie
> assez naturelle, en général il y a peu de retouche occlusale.


Ouais mais tout le monde n'a pas un cerec en mode corrélation dans la tete !))))))


003 penrd2 - Eugenol
Cingulum

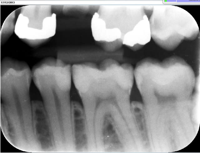
17/12/2013 à 17h50

la radio et la photo a 1 mois

--
Dr Cingulum
-----Ancien interné----
----Attaché à l'apex----
http://www.clinic-all.fr/ formation par passion

 mg 5342 p5szbx - Eugenol
Capture plein  cran 17122013 163218 w6hkkl - Eugenol

Bebe 038 nf8eum - Eugenol
danteyeah

17/12/2013 à 21h18

Oh l'chantier!
Faut avouer qu'ici l'indication du composite sur la 6 est quand même un peu "couillu", en distal par contre il reste une radio clarté: carie résiduelle ou épaisseur de colle importante, en tous cas ça peut fragiliser la suprastucture.


doctyoni

17/12/2013 à 23h04

Codifie le comme un inlay composite...


Img 2951 flo3gr - Eugenol
molinarius

17/12/2013 à 23h15

cingulum quand je regarde tes travaux , je ne peux pas m'empêcher de penser que tu devrais (si ce n'est pas déjà le cas) investir dans un kit complet labo .... four à céramique ,pinceaux, spatule etc etc ....
Je suis persuadé que ça te plairais de manipuler , sculpter de la céramique
non ? ;)


12