Cookie Consent byPrivacyPolicies.comchoix technique endo - Eugenol

choix technique endo

Smile beach jgh0a1 - Eugenol
Céramik

28/12/2013 à 17h38

2013, presque 2014, et toujours le questionnement sur la digue, comme il y a 5 ans...plus ça change, plus c'est pareil....

Optragate + linguafix = plus cher, plus chiant et moins efficace que digue, chaqu'un son choix...

C'est certain qu'avec la photo montrée, c'est davier et hop, allergie à la brosse à dent, les endo vont rien y changer :-)


--
Céramik


Grumpy cat ifik8s - Eugenol
radich_a_tord

28/12/2013 à 18h56

jeff13 écrivait:
----------------
> Au debut, je mettais un temps fou à mettre la digue car à la fac, on nous
> apprenait à mettre le crampon sur la digue et ensuite de mettre l'ensemble sur
> la dent. C'est une technique nullisime dont seul les fac ont le secret.

Marrant j'ai toujours préféré la technique parachute (donc celle que tu n'aimes pas) à la technique crampons sans ailettes.

Faut juste une bonne pince à perforer, et de bonnes feuilles de digue pas trop fines. Je ne les déchire quasi jamais en tout cas.

Avec tes deux trous tu as pas de problème d'étanchéité ? J'imagine que ça plaque moins contre la dent, comme c'est moins élastique.


pointG

28/12/2013 à 19h13

pour Chicot29
tu mets la digue pour tes endo.molaires et ce sont souvent
les dents les plus difficiles à clamper et nécessitant des
reconstitutions pré-endo.
L'optragate-linguafix sert surtout à isoler et protéger les
lèvres(système"top" pour les blanchiments....)
sans digue l'hypo n'agira pas assez longtemps pendant ton traitement et tu risques en irrigant de plus désinfecter
tes tuyaux d'aspiration chirurgicale ,que ta racine même
si tu nettoies 15 minutes
pour Chatondecarte
autre polémique:je pose des implants avec gants stériles
+conditions d'asepsie le plus stricte possible mais:
d'après l'étude de Scharf et Tarnow(1993) sur le degré de laxité dans les taux de succès d'ostéointégration ,les résultats sont semblables pour les 2 groupes étudiés =groupe condition d'aseptie stricte et groupe condition de propreté
(ni calot ni blouse stérile ni champ stérile gants non stériles pas de désinfection particulière) taux de réussite
98,9% pour le premier;98,2% pour le deuxième
D'après le Docteur Bernard les Suisses (premier pays poseur d'implants)ne prennent pas de précautions particulières
en implanto
Mais si on revient à l'endo=la digue s'est automatique...
pour justineH :je ne suis pas vraiment vexé,quoique en
reflèchissant je me demande comment tu pourrais te faire pardonner....


Capture d  cran 2015 03 12 12.28 - Eugenol
chicot29

29/12/2013 à 01h52

Le plus efficace pour le parage canalaire est le SAF a mon avis, et vu le débit d'hypochlorite il faut effectivement la digue. Cependant je ne constate pas plus d'échecs avec ou sans digue, il faudrait qu'ils soient suffisamment fréquents pour comparer.))))))


Pouetmaster

29/12/2013 à 02h52

Le problème du SAF : les résultats sont loin d'être ceux espérés. Le parage est quasi inexistant et est recommandé aujourd'hui comme système d'irrigation mécanisé (à 125€ la lime à usage unique ça pique un peu). En plus les résultats sont mitigés par rapport à un cône de gutta (comme beaucoup d'autres systèmes d'ailleurs).
Pour la digue, d'après l'étude que je parlais plus haut, les chiffres sont de 75% de réussite sans digue et de 93% avec digue. Tu pourras me rétorquer que l'échantillon est faible dans le second groupe, c'est claire mais c'est pas la seule étude qui va dans ce sens.
http://www.ncbi.nlm.nih.gov/m/pubmed/24238433/?i=3&from=rubber%20dam
Après, lecture facile en anglais : tiré d'endodontics vol.1 (une bible en endo).
http://www.endoexperience.com/filecabinet/Texbook%20Exerpts/Castellucci%20Text/chapter_10.pdf
Fin du 2ème paragraphe : c'est noir sur blanc (le début du même paragraphe est une dédicace à Céramik ;p)

Après l'argument "je ne vois pas de différence" a déjà été énoncé par la présidente d'un syndicat qui ne voyait pas de différence entre une technique moderne et une technique avec cônes d'argent puisqu'on en voit toujours en bouche... (Vu sur Facebook, y a un petit moment)
Question : combien d'échec ne sont pas revenus ? (Comme les succès d'ailleurs). Les fameux perdu de vue dans les études épidémiologiques.
Et le pragmatisme face à l'argument juridique ?
Bref... La digue est indispensable (et même si on est payé au lance pierre)


youn

29/12/2013 à 04h47

Je ne trouve pas ta bible et ça m'intéresse. C'est Ingle's endodontics (si oui pourquoi mets-tu un volume 1 à la fin?)? Et je pensais que Pathways of the pulp faisait référence?

Pour la présidente j'avais vu et commenté allègrement cette histoire de cônes d'argent, j'avais trouvé ça honteux... Ca en dit long sur la dentisterie dans notre beau pays.


Capture d  cran 2015 03 12 12.28 - Eugenol
chicot29

29/12/2013 à 12h12

Pouetmaster écrivait:
---------------------
> Le problème du SAF : les résultats sont loin d'être ceux espérés. Le parage est
> quasi inexistant et est recommandé aujourd'hui comme système d'irrigation
> mécanisé (à 125€ la lime à usage unique ça pique un peu). En plus les résultats
> sont mitigés par rapport à un cône de gutta (comme beaucoup d'autres systèmes
> d'ailleurs).
> Pour la digue, d'après l'étude que je parlais plus haut, les chiffres sont de
> 75% de réussite sans digue et de 93% avec digue. Tu pourras me rétorquer que
> l'échantillon est faible dans le second groupe, c'est claire mais c'est pas la
> seule étude qui va dans ce sens.
> http://www.ncbi.nlm.nih.gov/m/pubmed/24238433/?i=3&from=rubber%20dam
> Après, lecture facile en anglais : tiré d'endodontics vol.1 (une bible en endo).
> http://www.endoexperience.com/filecabinet/Texbook%20Exerpts/Castellucci%20Text/chapter_10.pdf
> Fin du 2ème paragraphe : c'est noir sur blanc (le début du même paragraphe est
> une dédicace à Céramik ;p)
>
> Après l'argument "je ne vois pas de différence" a déjà été énoncé par la
> présidente d'un syndicat qui ne voyait pas de différence entre une technique
> moderne et une technique avec cônes d'argent puisqu'on en voit toujours en
> bouche... (Vu sur Facebook, y a un petit moment)
> Question : combien d'échec ne sont pas revenus ? (Comme les succès d'ailleurs).
> Les fameux perdu de vue dans les études épidémiologiques.
> Et le pragmatisme face à l'argument juridique ?
> Bref... La digue est indispensable (et même si on est payé au lance pierre)

Après il faudrait affiner, sans digue avec ou sans salive inside, avec ou sans cone de gutta voir d'argent. Comparer une endo sur 16 à canaux courbes et une 11-boulevard etc.......
Si buchanan me fait une endo sans digue sur une 11 je signe tout de suite !))))))
De plus en général quand un praticien pose la digue a investi dans un microscope opératoire ,un système B je pense que l'endo est bien partie (c'est d'ailleurs le critère que j'ai retenu pour choisir le mien lol !)
Faire croire que le seul critère de qualité est le prix de la céram avec des endos molaires à 80 euros c'est vraiment prendre les francais pour des cons. Dans ces conditions, le cynisme est à son comble quand on rend la formation continue obligatoire pour mettre un tampon "qualité" sur tous les praticiens conventionnés francais.
Si je déposais un quart de mes ic-couronne (et j'en fais un stock, ben oui je suis dentiste conventionné français lol !) à cause d'échecs en endo effectivement je mettrais la digue sur les antérieures.))))))


DLLB

29/12/2013 à 12h37

chicot29 écrivait:
------------------
>> De plus en général quand un praticien pose la digue a investi dans un microscope
> opératoire ,un système B je pense que l'endo est bien partie (c'est d'ailleurs
> le critère que j'ai retenu pour choisir le mien lol !)
çà existe dans le 29 le MO???


Capture d  cran 2015 03 12 12.28 - Eugenol
chicot29

29/12/2013 à 12h42

Oui, incroyable , non ? Et pourtant c'est un département qui a fourni des pointures de la CNSD comme quoi rien est perdu.))))))))
Ca a du bon la formation continue ( pas de points de validation pour celle là) ca permet de pouvoir trouver un confrère compétent pour soi même.
Bien que n'ayant pas de MO je me serais bien auto dévitalisé cette 16, mais ca aurait sensiblement accru les risques d'échecs.))))))))


DLLB

29/12/2013 à 15h17

chicot29 écrivait:

> Ca a du bon la formation continue ( pas de points de validation pour celle là)
>
De quellle Formation parles-tu?


carident

29/12/2013 à 15h20

chicot29 écrivait:
------------------
> Faire croire que le seul critère de qualité est le prix de la céram avec des
> endos molaires à 80 euros c'est vraiment prendre les francais pour des cons.

Le soucis est bien là... Beaucoup de Français pensent que 90€ c'est déjà beaucoup trop cher, et cela même si l'on passe plus d'une heure pour bien dévitaliser une molaire!!! Alors même que cela ne couvre même pas le prix du matériel nécessaire pour faire un travail de qualité...

L'autre jour j'ai reçu une étudiante Polonaise, qui venait de ce faire dévitaliser une molaire en Pologne à 300€, et en plus le résultat laissé clairement à désirer, radiologiquement parlant...
Comme quoi, c'est pas parque l'on réévaluera (à leur juste valeur) les soins en France que ceux-ci seront mieux réalisés!


Capture d  cran 2015 03 12 12.28 - Eugenol
chicot29

29/12/2013 à 15h58

DLLB écrivait:
--------------
> chicot29 écrivait:
>
> > Ca a du bon la formation continue ( pas de points de validation pour celle là)
> >
> De quellle Formation parles-tu?

Peer practicum (zimmer) rien à voir avec l'endo mais ca permet de savoir qui fait quoi et comment.


Capture d  cran 2015 03 12 12.28 - Eugenol
chicot29

29/12/2013 à 16h05

carident écrivait:
------------------
> chicot29 écrivait:
> ------------------
> > Faire croire que le seul critère de qualité est le prix de la céram avec des
> > endos molaires à 80 euros c'est vraiment prendre les francais pour des cons.
>
> Le soucis est bien là... Beaucoup de Français pensent que 90€ c'est déjà
> beaucoup trop cher, et cela même si l'on passe plus d'une heure pour bien
> dévitaliser une molaire!!! Alors même que cela ne couvre même pas le prix du
> matériel nécessaire pour faire un travail de qualité...
>
> L'autre jour j'ai reçu une étudiante Polonaise, qui venait de ce faire
> dévitaliser une molaire en Pologne à 300€, et en plus le résultat laissé
> clairement à désirer, radiologiquement parlant...
> Comme quoi, c'est pas parque l'on réévaluera (à leur juste valeur) les soins en
> France que ceux-ci seront mieux réalisés!

Ca prouve une chose, sans controle à part le DPC ( si tu est à jour tu es un super dentiste au top et tu peux continuer à sévir avec le tampon "bon pour accord" de l'état, un petit tour de 2 jours à l'adf et c'est réglé, mouarf !) tu peux faire de la daube chère. Au moins avec les demandes d'ententes préalables les dc savaient à qui ils avaient à faire à défaut de sanctionner. Une bonne grosse daube en endo ne fait sentir ses effets que quelques années plus tard, difficile pour le patient de faire le lien entre un traitement merdique et le problème qui survient tardivement. Nous on sait et on ne peut pas l'ouvrir sans être anti-confraternel.


carident

29/12/2013 à 16h34

Parfois, les problèmes surviennent quelques mois après seulement...
Je viens de voir vendredi dernier un patient (cousin d'une connaissance) à qui l'on vient de faire sur Paris (en 2013!) plusieurs traitement endo + ccm, et il présente aujourd'hui sur quasi chacune des dents couronnées une lésion apicale plus ou moins étendue, avec douleurs exacerbées à la pression (et à la percussion verticale)...


Pouetmaster

30/12/2013 à 01h02

youn écrivait:
--------------
> Je ne trouve pas ta bible et ça m'intéresse. C'est Ingle's endodontics (si oui
> pourquoi mets-tu un volume 1 à la fin?)? Et je pensais que Pathways of the pulp
> faisait référence?
>

La bible = gros bouquin ! Pathways of pulp est la référence mais c'est le même principe que le Endodontie de S.Simon, idem pour ce bouquin. Gros rassemblement d'articles sur la même spécialité après la nationalité diffère (américain, français et pour finir italien avec des américains, et pas des moindres)

http://www.edizionimartina.com/edizionimartina/DettagliTesti/364.asp
http://www.endocastellucci.com/en/book.html

J'étais tombé là dessus en cherchant celui d'Ingle pour ma thèse dont je cherchais un petit topo sur la digue : et je suis tombé sous le charme de la phrase : le praticien a 2 options soit la mettre en place soit extraire la dent.


youn

30/12/2013 à 04h02

Ben ingles c'est 1600 pages (parceque tu me parles de gros bouquin) et castellucci c'est 360 (vol 1) + 399 (volume 2) et je sais pas pour le volume 3 mais en tous cas pour le prix c'est 450€... Ca fait hésiter quand même. Pathways c'est 1000 en gros...

Donc qu'est-ce qui en fait une bible (en dehors de la taille pas si énorme que ça au final)?


Capture d  cran 2015 03 12 12.28 - Eugenol
chicot29

30/12/2013 à 05h39

Pouetmaster écrivait:
---------------------

> J'étais tombé là dessus en cherchant celui d'Ingle pour ma thèse dont je
> cherchais un petit topo sur la digue : et je suis tombé sous le charme de la
> phrase : le praticien a 2 options soit la mettre en place soit extraire la dent.

N'importe quoi. Si c'était le cas les français seraient tous édentés.))))))


carident

30/12/2013 à 10h09

chicot29 écrivait:
------------------
> Pouetmaster écrivait:
> ---------------------
>
> > J'étais tombé là dessus en cherchant celui d'Ingle pour ma thèse dont je
> > cherchais un petit topo sur la digue : et je suis tombé sous le charme de la
> > phrase : le praticien a 2 options soit la mettre en place soit extraire la
> dent.
>
> N'importe quoi. Si c'était le cas les français seraient tous édentés.))))))

Pour éviter le davier, mieux vaut se faire faire dévitaliser une dent sans digue par un praticien compétent (qui veillera de toute façon àce que la salive, et les fluides gingivaux ne pénètre pas dans la dent), qu'avec digue par un praticien non compétent en endodontie!
La DIGUE ne fait PAS TOUT... Mais ça peut donner bonne conscience.


Capture d  cran 2015 03 12 12.28 - Eugenol
chicot29

30/12/2013 à 13h41

Je dis ca..... et on a du recul niveau quantité. Le dentiste conventionné francais est le moins conservateur au MONDE ! A tel point qu'il n'est nul besoin de passeport pour connaitre la nationalité de nos compatriotes, un simple pano suffit. Merci qui ?


Little shop of horrors brzqjx - Eugenol
chatondecarte

31/12/2013 à 00h54

Comme il est dit dans un message précédant, on peut poser les implants en milieux non stérile, tout comme on peut faire ses endo sans digue, dans 90% des cas il n'y aura aucune conséquence.

Mais ça viendrait à l'idée de quelqu’un de le faire pour les implants, et surtout de s'en vanter?

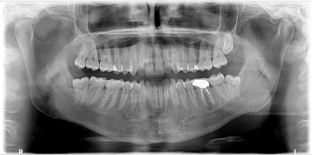
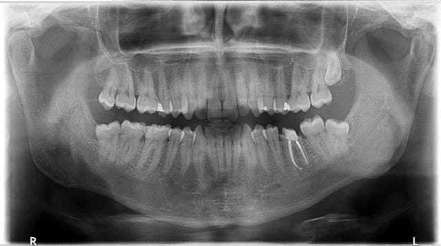
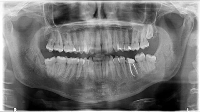
J'ai pas mis la digue en endo pendant mes 5 ans de collaboration. J'ai dévitalisé une 36 à mon frère jumeau que j'ai couronné ensuite (j'aurais du faire un inlay ou un compo mais à cette époque je couronnais toutes dents dévitalisées. J'ai quand même évité l'inlay core...)

Bref, un an plus tard 2 belles pêches tellement grosses que les maxillo du service où il bosse affûtaient déjà les daviers...
J'ai repris l'endo avec digue ce coup ci et comme par hasard, guérison de la lésion.

Alors peut être que ça n'arrive que dans 3% des cas, mais pour celui à qui ça arrive c'est 100% chiant surtout quand on connait les chance de succès d'une reprise de traitement radiculaire quand y a des liaisons périapicales...

P1 cbsiol - Eugenol
P3 k6yci3 - Eugenol
P6 vw2wb7 - Eugenol

carident

31/12/2013 à 01h11

chatondecarte écrivait:
-----------------------
> Comme il est dit dans un message précédant, on peut poser les implants en
> milieux non stérile, tout comme on peut faire ses endo sans digue, dans 90% des
> cas il n'y aura aucune conséquence.
>
> Mais ça viendrait à l'idée de quelqu’un de le faire pour les implants, et
> surtout de s'en vanter?
>
> J'ai pas mis la digue en endo pendant mes 5 ans de collaboration. J'ai
> dévitalisé une 36 à mon frère jumeau que j'ai couronné ensuite (j'aurais du
> faire un inlay ou un compo mais à cette époque je couronnais toutes dents
> dévitalisées. J'ai quand même évité l'inlay core...)
>
> Bref, un an plus tard 2 belles pêches tellement grosses que les maxillo du
> service où il bosse affûtaient déjà les daviers...
> J'ai repris l'endo avec digue ce coup ci et comme par hasard, guérison de la
> lésion.
>
> Alors peut être que ça n'arrive que dans 3% des cas, mais pour celui à qui ça
> arrive c'est 100% chiant surtout quand on connait les chance de succès d'une
> reprise de traitement radiculaire quand y a des liaisons périapicales...

Est-ce que ces deux belles pêches sont dues à l'absence de digue, ou à un traitement insuffisant?
Est-ce que la guérison est due à l'utilisation de la digue, ou à un alésage plus important, une irrigation/désinfection plus efficace, et une obturation plus dense?


Capture d  cran 2015 03 12 12.28 - Eugenol
chicot29

31/12/2013 à 01h24

+ 1 j'ai les mêmes sans digue.))))))


youn

31/12/2013 à 01h36

Non mais au bout d'un moment faut arrêter. Ca fait consensus partout. Renier la science et sa méthode ça vous rabaisse vraiment bas. Les preuves dans la littérature sont faites depuis belle lurette.
C'est quoi la suite on devient créationnistes?

Qu'on ai des doutes sur des techniques dont toutes les preuves ne sont pas faîtes je veux bien, mais là ce que vous faites ça revient en gros au même que de dire qu'à l'époque ou on soignait les malades par saignée ça marchait très bien la preuve certains ont survécu à leur maladie. Et qu'en cas d'échec c'est peut être qu'on a pas assez saigné...

Là faut sérieusement arrêter et ouvrir un journal scientifique, il n'y a pas débat.


Marque a3 orange fyvhyq - Eugenol
Marc Apap

31/12/2013 à 01h46

Je trouve au contraire que c'est intéressant.
La digue n'est pas une réponse aux problèmes de l'endodontie, juste un moyen, quand elle est bien posée et étanche, de donner plus de chances de guérison.


carident

31/12/2013 à 01h57

Marc Apap écrivait:
-------------------
> Je trouve au contraire que c'est intéressant.
> La digue n'est pas une réponse aux problèmes de l'endodontie, juste un moyen,
> quand elle est bien posée et étanche, de donner plus de chances de guérison.

Entièrement d'accord!
C'est un moyen qui répond à un des problèmes posé par l'endodontie... Ni plus ni moins!
Et ce moyen (qui est peut-être le meilleur pour répondre au problème d’asepsie) n'est pas le seul moyen qui permette de maintenir la dent traité à l'abri de la contamination pendant toute la durée du traitement endodontique...


12345...