Cookie Consent byPrivacyPolicies.comJe sors le davier ou j'adresse à Dr Pelé ? - Eugenol

Je sors le davier ou j'adresse à Dr Pelé ?

doctyoni

13/12/2013 à 20h19

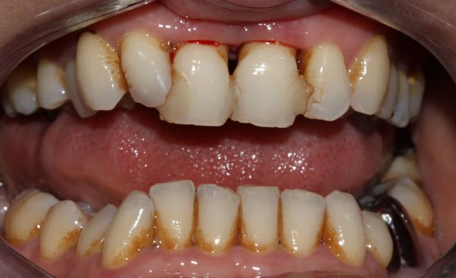
-21 (très) mal barrée ... et 11 aussi
Photos avant et après surfaçage .

J'ai oublié de prendre la pano.
12/13 /22/23 alvéolysé de 50%

Implant bien entendu à oublier

Il me reste quoi comme solution : bridge ? contention ?

Img 5853 smb0eq - Eugenol
Img 5851 xpqbar - Eugenol
Img 6191 o0r2wi - Eugenol

Capture d  cran 2013 02 02   21.02 - Eugenol
gouj-euros

13/12/2013 à 20h32

age? sexe? pathologies associées? fumeur? motivation? argent?......j'en passe et des meilleures


doctyoni

13/12/2013 à 20h34

45 ans .
-Bonne santé générale .
-Est prete à faire un effort pour ses antérieures au niveau financier.


Capture d  cran 2013 02 02   21.02 - Eugenol
gouj-euros

13/12/2013 à 20h41

Si elle veut faire un "effort" pour ses centrales ça veut dire qu'il vaut mieux viser du long terme....deja la 11 pour moi est definitivement fichu...Il faudrait regler l'occlusion donc la contention ne me semble pas indiqué....si on élimine les implants ben il ne reste plus grand chose a vrai dire a part le claquoir, le bridge et l'abstention thérapeutique :-)... De rien pour l'aide . Je serais plutôt d'avis de faire un bridge vu la perte osseuse en virant les deux centrales


doctyoni

13/12/2013 à 20h45

-Les implants , elle est ok et j'en pose ... mais la je pense ne pas me tromper en me disant que c 'est impossible .
J'avais pensé à mettre sous contention et le jour où ça merde je passe au bridge.
Ou alors , je taille 22 23 13 12 et je fais un bridge sur dent vivante , directement .
Avec l'extraction dentaire la gencive va se rétracter et va avoir des dents hyper-longues. ... bref un cas bien pourri.


G-P

13/12/2013 à 21h09

Tu veux pas faire un cone beam avant de décréter que tu ne peux pas implanter ici à partir d'une rétro-alvéolaire ?


doctyoni

13/12/2013 à 21h22

Je peux faire un cône beam , mais bon au vu de l'examen clinique et de la radio... A quoi bon ?
Avoir un ratio de Implant/ prothèse de 2 /1 en implant jusqu'au fosse nasale.
La table vestibulaire est inexistante .
Mais bon je peux prescrire un cône -beam pour l'irradier un peu plus


Capture d  cran 2013 02 02   21.02 - Eugenol
gouj-euros

13/12/2013 à 21h25

quand tu as dit "les implants a oublier" je pensais que cetait un souhait de la patiente....les dents longues pas forcément car en preparant les dents tu peux lever la supra des incisives et recuperer un rapport racine couronne plus favorable en vestibulant tout ça et en créant un surplomb normal non?


doctyoni

13/12/2013 à 21h29

Je prendrai la photo du sourire... quand je la revois . Je ne peux trop pas lever la supra sinon on ne voit plus ses incisives quand elle sourit.


Capture d  cran 2013 02 02   21.02 - Eugenol
gouj-euros

13/12/2013 à 21h36

doctyoni écrivait:
------------------
> Je prendrai la photo du sourire... quand je la revois . Je ne peux trop pas
> lever la supra sinon on ne voit plus ses incisives quand elle sourit.

raison de plus...parceque la du coup on ne doit voir que les deux centrales en sourire non forcé?? ça doit faire un peu bugs bunny


Eikichi

14/12/2013 à 02h51

Tu as une mobilité ou pas ?
A mon avis tu adresses à un paro et tu vois ce qui peut etre fait, un montage sur articulateur ca peut aider aussi pour l'occluso.


doctyoni

14/12/2013 à 09h50

-mobilité 3+
-Je ne vois pas bien ce qu'un paro pourra faire de plus que ce que je n'ai fait.


doctyoni

14/12/2013 à 09h50

-mobilité 3+
-Je ne vois pas bien ce qu'un paro pourra faire de plus que ce que je n'ai fait.


Humator t9r5wy - Eugenol
humator

14/12/2013 à 11h27

quelques réflexions:
1 je trouve que déjà, tu as fait du beau boulot en assainissement.
2 une vue d'ensemble pano serait appréciable.
3 effectivement, la piste "lever la supra" semble pertinente (avec les élements qu'on a!).
4 on a un biotype paro épais, et avec une bonne hygiene, c'est un vrai +
5 je choisirais surement le davier
6 je n'exclus pas la solution implanto: plein de choses sont possibles, mais il faudrait de l'imagerie...


--
N.Hum


carident

14/12/2013 à 11h51

Bonjour,

* s'il y a une perte osseuse de 50% sur les incisives latérales et les canines, faire une bridge de 3 à 3 pour remplacer les centrales condamnerait à long terme le bloc incisivo-canin supérieur, d'autant plus que l'arcade a l'air de forme assez carré, et que l'alignement de la 3 à la 3 ne protège pas assez des forces antéro-postérieures.

* j'opterais pour un bridge de 4 à 4, voir de 5 à 5 surtout si les 4 et 5 présentent aussi une parodontite. L'avantage d'une telle solution serait d'avoir une contention suffisante, et d'autre part de rétablir un état de surface convenable des zones cervicales dont l'émail semble altéré et rend plus difficile l'élimination de la plaque dentaire et des colorations. Un bridge en céramique présente un double avantage pour un cas de parodontite : contention + état de surface de la céramique glacé qui ne permet pas au bactérie d'adhérer. Mais l'impératif est d'une adaptation parfaite des limites prothétiques.


doctyoni

14/12/2013 à 11h53

Je prescris un cone beam et je poste la pano la semaine pro avec photo en occlusion et sourire.
Je pense que c est juste pour l'implanto et ça m'embête de tailler des dents saines (mais bon en dehors de cette solution je séche).
Je pense qu'on est tous d'accord pour sortir le davier.


doctyoni

14/12/2013 à 11h56

carident écrivait:
------------------
> Bonjour,
>
> * s'il y a une perte osseuse de 50% sur les incisives latérales et les canines,
> faire une bridge de 3 à 3 pour remplacer les centrales condamnerait à long terme
> le bloc incisivo-canin supérieur, d'autant plus que l'arcade a l'air de forme
> assez carré, et que l'alignement de la 3 à la 3 ne protège pas assez des forces
> antéro-postérieures.
>
> * j'opterais pour un bridge de 4 à 4, voir de 5 à 5 surtout si les 4 et 5
> présentent aussi une parodontite. L'avantage d'une telle solution serait d'avoir
> une contention suffisante, et d'autre part de rétablir un état de surface
> convenable des zones cervicales dont l'émail semble altéré et rend plus
> difficile l'élimination de la plaque dentaire et des colorations. Un bridge en
> céramique présente un double avantage pour un cas de parodontite : contention +
> état de surface de la céramique glacé qui ne permet pas au bactérie d'adhérer.
> Mais l'impératif est d'une adaptation parfaite des limites prothétiques.


Je bosse avec un super prothésiste et je m'embête vraiment pour que les limites soient biens lisibles .
Ca m'embête de lui tailler des dents "saines", je pense que de 13-12 22 -23 en bridge est suffisant si la hygiène est maitrisée.


carident

14/12/2013 à 12h05

Si j'avais ce problème personnellement je préfèrerais que l'on me taille les 4 et 5 aussi, pour garder mes dents plus longtemps...

Les 2 et 3 seules avec leur parodonte amoindri ne résisteront pas aux forces antéro-postérieures, et elles perdront le peu d'os qui les soutient encore assez rapidement (3 ans maxi).

"Ca m'embête de lui tailler des dents "saines""

ça t’embêtera encore plus de lui expliquer dans 3 ans qu'elle a perdu tout son bloc antérieur, que les implants sont difficilement envisageables et qu'un bridge est désormais complètement impossible...


dentatronche

14/12/2013 à 12h37

Salut Yonilev

tu sors le davier, mais il faut faire une étude des volumes osseux et un beau devis. Envisager implant des les piliers canins, mais faut voir l'état des dents postérieures.


Little shop of horrors brzqjx - Eugenol
chatondecarte

14/12/2013 à 15h44

Et la greffe osseuse? Qu est ce qui la contre indique?


doctyoni

14/12/2013 à 16h46

Montre moi un seul cas réussi sur du long terme où un implantologiste a réussi à recupérer à la fois en hauteur et en épaisseur...
Déjà en apposition....t as la moitié des greffes qui se barrent .


Zz cnsu38 - Eugenol
toto48

14/12/2013 à 20h01

Et l'ortho?


Little shop of horrors brzqjx - Eugenol
chatondecarte

14/12/2013 à 20h25

doctyoni écrivait:
------------------
> Montre moi un seul cas réussi sur du long terme où un implantologiste a réussi
> à recupérer à la fois en hauteur et en épaisseur...
> Déjà en apposition....t as la moitié des greffes qui se barrent .


Je veux bien comparer le taux de réussite sur le long terme entre tenter une greffe osseuse qui est somme toute assez ridicule en comparaison avec ce qu'on peut faire en maxillo et niquer 4 dents saines dont 2 incisives latérales qui vont probablement nécroser à moyen terme.

Et je parle même pas de l'esthétique du bazar car il y aura forcement une grosse perte osseuse post extract.

Après moi j'en ai fait une dans le même esprit (perte monstrueuse hauteur et epaisseur... un trou quoi) y a 3 mois pour remplacer une canine et une latérale sur une minette de 30 ans. J'ai eu une complication post op avec exposition du greffon que j'ai pu gérer. Donc il va falloir attendre quelques années pour te montrer mon cas où ça marche sur le long terme. Mais je t'invite à assister à quelques chirurgie reconstructrices de maxillo pour te décomplexer sur nos chir qui vont finalement te paraitre pas très complexe.


Je pense que ça vaut le coup de le tenter mais si t'es pas à l'aise avec cette chirurgie passe la main au lieu de dire que ça marche pas. Parce que sérieux en lisant ton post j'ai l'impression d'entendre certains dentistes qui passent les dents au taille crayon parce que "les facettes ça se décollent"...


Little shop of horrors brzqjx - Eugenol
chatondecarte

14/12/2013 à 20h41

ou au pire du pire bridge collé 13 12 (11) (21) 22 23


doctyoni

14/12/2013 à 21h34

Je n'ai pas fait encore de devis, je ne m'exclus aucune possibilité .
Si tu relis mon post , j'ai du au moins dire 2 fois que ca m'embetait de faire passer des dents au taille crayon et on m'a proposé :
-de tailler plus loin
-d'extraire les canines et faire un bridge sur implant
-de faire de l'ortho sur un terrain paro .

J'ai déja vu des maxillos bosser. Et comme tu le dis , sur des greffes tu es amené à gerer beaucoup d'échecs . Sur une femme de 25-30 ans ca vaut le coup , sur une femme de 50 avec un terrain paro...

Pour les bridges sur dent vivantes , je t'invite à lire certaines études qui comparent la durée de vie entre bridge sur dents pulpées , dépulpées et implants...Dans certains , il ne faut pas enterrer vivant le bridge conventionnel .

On soigne une bouche , pas des dents .