Cookie Consent byPrivacyPolicies.comROG avec chaine en titane comme piquet de tente aprés - Eugenol

ROG avec chaine en titane comme piquet de tente aprés péri-implantite majeur.

3f3boxni50k58rq7e9ce9ddqrxgk - Eugenol
dentiste57

07/01/2014 à 01h10

coucou les zamis, je n'ai rien posté depuis un bon moment alors je ne résiste pas à l'envie de vous faire profiter du cas de cet après-midi.

vous le connaissez, j'en avais déjà parlé il y a plusieurs mois...

http://www.eugenol.com/sujets/402314-les-patients-qui-etablissent-eux-meme-le-plan-de-traitement?page=2#post_728540

je ne reviens pas sur le sujet de ses désidérata, .. le patient s'est finalement assagit...

pour l'instant, on va se concentrer sur le secteur 3
je reparlerai des autres secteurs plus tard (quand je les aurai fait..)

bref un petit rappel:

1 première consultation (septembre 2012)
2 rétro-alvéolaire (septembre 2012)
3 aspect (in vivo)

:)

001 w7at2b - Eugenol
R6 cd01m8 - Eugenol
Dsc 6180 jmdhpz - Eugenol

3f3boxni50k58rq7e9ce9ddqrxgk - Eugenol
dentiste57

07/01/2014 à 01h16

quelques images en 3 D...

Bernard 3d uwkkkv - Eugenol
Bernard 3d  2  cbjwkc - Eugenol
Bernard 3d1 tranjs - Eugenol
Bernard 3d2 egud68 - Eugenol
Bernard 3d3 kd3ilv - Eugenol
Bernard 3d4 iyukqz - Eugenol
Bernard cross section apfhj5 - Eugenol
Bernard cross section  2  ctt7jw - Eugenol
Bernard overview edbft1 - Eugenol
Bernard overview  2  nlgyly - Eugenol
Bernard panoramic l8hei0 - Eugenol

3f3boxni50k58rq7e9ce9ddqrxgk - Eugenol
dentiste57

07/01/2014 à 01h19

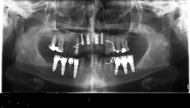
un an après !

ça s'arrange pas, voyez plutôt..

augmentation de la perte osseuse +++

R8 yrwt4t - Eugenol
Sans titre zpbmhm - Eugenol

3f3boxni50k58rq7e9ce9ddqrxgk - Eugenol
dentiste57

07/01/2014 à 01h26

bon, la chir maintenant!

c'était ma première journée de reprise aujourd'hui. sympa pour commencer l'année, non ?

quelques photos de PRF pour relancer le sempiternel débat...

merci aux aficionados du " moi j'y crois pas au PRF" de garder ça pour un poste qu'ils pourront eux même créer sur ce BRRRÛLANT sujet...

bon, ça c'est fait!

Dsc 8561 fgt8jp - Eugenol
Dsc 8562 kcsgzp - Eugenol
Dsc 8566 goubyq - Eugenol
Dsc 8567 xemjz2 - Eugenol
Dsc 8569 bvl57z - Eugenol
Dsc 8570 iyphhj - Eugenol

3f3boxni50k58rq7e9ce9ddqrxgk - Eugenol
dentiste57

07/01/2014 à 01h34

1-2-3 dépose du bridge

facile :) ça vient tout seul.

4 après un long moment de nettoyage, de curetage, de surfaçage implantaire, d'aeropolissage de l'implant, etc...
on fini enfin par arriver à ça.

ah oui, j'ai passé 2 fois un bon gros quart d'heure à gérer deux petites artères intra-osseuses de me..e qui m'ont vraiment pourri ma zénitude per-op.
de vraies petits geysers! ça doit faire dix ans que j'en avais pas eu des comme ça.

Dsc 8571 bin7wl - Eugenol
Dsc 8573 syeedy - Eugenol
Dsc 8575 b8uh0c - Eugenol
Dsc 8578 izepp7 - Eugenol

3f3boxni50k58rq7e9ce9ddqrxgk - Eugenol
dentiste57

07/01/2014 à 01h44

j'en viens maintenant au système FAST de Joseph.

1- les vis et la chaine titane adaptée aux vis.
(pour expliquer: ce système permet de maintenir la chaîne en l'air par sa tête.)

2-3 l'implant 35 que j'ai décidé de garder et donc de nettoyer.
pour le nettoyage, j'ai utilisé, en plus de l'aéropolissage, un écouvillons de chez STRAUMANN en titane.(à mon avis beaucoup trop souple et trop long.
y en a qui connaissent ?)

4-5-6-7 sciage de la mesh titane et positionnement in situ d'un bout à l'autre de l'arcade.

Dsc 8579 h2cpnu - Eugenol
Dsc 8580 u4wrb2 - Eugenol
Dsc 8581 xrkrey - Eugenol
Dsc 8582 ltclgr - Eugenol
Dsc 8583 wtfdeb - Eugenol
Dsc 8586 u5i3od - Eugenol
Dsc 8588 zhsyug - Eugenol

3f3boxni50k58rq7e9ce9ddqrxgk - Eugenol
dentiste57

07/01/2014 à 01h53

1-2
enfin, mise en place d'une membrane péricarde Jason de 30*50 (je crois)

3- j'ai profité de la stabilité de la mesh comme piquet de tente pour bourrer la cavité avec du MAXGRAFT (os humain)..

4-5- un peu de A-PRF (the king !)

6- le plus important des sutures hermétiques et une gencive immobile en fin d'intervention

7 les radios post-op

Dsc 8589 procrm - Eugenol
Dsc 8590 kwey9h - Eugenol
Dsc 8591 wqmidp - Eugenol
Dsc 8594 juab7q - Eugenol
Dsc 8596 ddoefi - Eugenol
Dsc 8598 hbozsz - Eugenol
Opt fin nh7g8u - Eugenol
R12 kslgka - Eugenol
R13 af3sqd - Eugenol

3f3boxni50k58rq7e9ce9ddqrxgk - Eugenol
dentiste57

07/01/2014 à 01h54

ahyééé, c'est fini!

mais je vous tiens au courant, c'est promis.

faut que j'aille au lit maintenant...


Photo pluton1b h9n4ea - Eugenol
pluton

07/01/2014 à 02h08

oups, t'as oublié de mettre une vis de couv ou de cicat sur le Nobel replace...(oui, oui, tu aurais du me demander...)
çà peut être une source de galère ensuite et un nid à mer.e qui peut faire foirer ta très belle chir...

par contre, perso, je suis plus attiré par la boxtechnique comme le fait jeff que par ces chaines en titane qu'il faut ôter ensuite...
je crois que çà va faire partie de mes investissements 2014...


3f3boxni50k58rq7e9ce9ddqrxgk - Eugenol
dentiste57

07/01/2014 à 08h25

tu n'as pas bien regardé. :)
en fait j'étais persuadé d'avoir une vis de couverture et finalement non.
j'ai donc placé dans la connexion un teflon que j'ai laisser tremper généreusement longtemps dans la chlorexidine.
c'est pas top mais bon, je voulais que l'implant reste sous la gencive.


S2y2o1v7q53ws4r5wy6ou8czrpom - Eugenol
pxav

07/01/2014 à 08h31

Salut Thomas
belle chir, mais mis à part la vis de cicat, je te conseillerais des pinces coupantes ti plutôt que le disque diamanté pour couper la chaine, plus rapide, et plus propre.
Ce qui serait intéressant c'est de savoir pourquoi périimplantie dans ce secteur, les autres ne semblent pas concernés.


--
xbk
"Si tous ceux qui croient avoir raison n'avaient pas tort, la vérité ne serait pas loin" Dac Pierre


Logo vuaztn - Eugenol
mac

07/01/2014 à 09h24

Belle chir, plusieurs questions si tu le permets:

- pourquoi avoir attendu aussi longtemps pour déposer ces implants?

- pourquoi ne pas déposer les implants dans un premier temps, attendre la cicatrisation des tissus mous et faire ta chir dans un deuxieme temps, plus safe non?

- pourquoi avoir gardé ton implant contaminé? ne le considères tu pas comme un facteur de risque pour ta chir et pour la maintenance?

- quel est le rationnel pour utiliser une membrane péricarde dans une ROG verticale?

c'est tout pour aujourd'hui ;)


Mario ycg44a - Eugenol
Mario180

07/01/2014 à 12h01

Merci pour ton partage. Je n'ai pas encore eu le temps de regarder dans le détail, mais la présentation est très agréable.

Sur les implants extraits, c'est de l'hydroxyapatite fermenté, du guano ou tout simplement des résidus de vomi du patient qui ne supportait plus l'halitose secondaire à la péri-implantite?
(inutile de répondre en fait, j'ai bien compris que le patient était féru de Roquefort)


Toriko ucqp9i - Eugenol
Giantcoco

07/01/2014 à 13h07

Impressionnant comme d'hab'

juste une question j'ai été écouter Joseph Choukroune dernièrement et n'aurait il pas fallu mettre des vis en vestibulaire être sur du volume en plus de la hauteur?

de plus pas trop galère la suture des tissus mous car cela reste selon moi le plus difficile a obtenir.


3f3boxni50k58rq7e9ce9ddqrxgk - Eugenol
dentiste57

07/01/2014 à 21h23

pxav écrivait:
--------------

> Ce qui serait intéressant c'est de savoir pourquoi péri-implantie dans ce
> secteur, les autres ne semblent pas concernés.
>
ce qui parait évident de prime abord, c'est le manque d'adaptation des couronnes.


3f3boxni50k58rq7e9ce9ddqrxgk - Eugenol
dentiste57

07/01/2014 à 21h30

mac écrivait:
-------------
> Belle chir, plusieurs questions si tu le permets:
>
> - pourquoi avoir attendu aussi longtemps pour déposer ces implants?


ben , si ça ne tenait qu'à moi, ça aurait été fait depuis longtemps.... mais bon, le patient...


> - pourquoi ne pas déposer les implants dans un premier temps, attendre la
> cicatrisation des tissus mous et faire ta chir dans un deuxieme temps, plus safe
> non?


non car la présence d'un tel paquet de gencive m'a permis de fermet avec une grande sécurité le site d'intervention.


> - pourquoi avoir gardé ton implant contaminé? ne le considères tu pas comme un
> facteur de risque pour ta chir et pour la maintenance?


si c'est un risque potentiel, j'ai fait ce que j'ai pu avec le tigran, aeropolisseur, fraise de lindmann, bétadine,...


> - quel est le rationnel pour utiliser une membrane péricarde dans une ROG
> verticale?


j'suis pas de comprendre la face cachée de ta question ? soit plus précis stp

:)


3f3boxni50k58rq7e9ce9ddqrxgk - Eugenol
dentiste57

07/01/2014 à 21h35

Mario180 écrivait:
------------------
c'est de l'hydroxyapatite fermenté, du guano ou tout
> simplement des résidus de vomi du patient qui ne supportait plus l'halitose
> secondaire à la péri-implantite?


mdr


Photo pluton1b h9n4ea - Eugenol
pluton

07/01/2014 à 21h50

dentiste57 écrivait:
--------------------

> > - quel est le rationnel pour utiliser une membrane péricarde dans une ROG
> > verticale?
>
>
> j'suis pas de comprendre la face cachée de ta question ? soit plus précis stp

je pense qu'il voudrait connaître le raisonnement logique qui t'a conduit à choisir une membrane péricardique plutôt qu'une biomed extend, une collagène AT, une membrane titane ou une PTFE armée...
bref, ton "arbre décisionnel"...(même si je pense que c'est du découpage de cheveux en quatre pour pas dire de l'enc...ge de mouche...;-))


Logo vuaztn - Eugenol
mac

07/01/2014 à 23h29

dentiste57 écrivait:
--------------------

> > - quel est le rationnel pour utiliser une membrane péricarde dans une ROG
> > verticale?
>
>
> j'suis pas de comprendre la face cachée de ta question ? soit plus précis stp
>
> :)


Il n'y a pas de face cachée, je reformule pourquoi avoir utilisé une membrane non resorbable pour une ROG verticale alors qu'il n'existe aucune preuve scientifique qu'on puisse l'utiliser de façon prédictible dans cette indication.


3f3boxni50k58rq7e9ce9ddqrxgk - Eugenol
dentiste57

08/01/2014 à 00h26

je comprend mieux.
d'après moi les membranes péricardes sont résorbables mais leur taux de résorption est assez long (environ 6 mois je crois).
c'est ce facteur temps qui m’intéresse même si pour moi 4,voir 5 mois me suffisent. les autres membranes se résorbent trop vite et risque de ne pas maintenir le biomat en place assez longtemps.
je me trompe peut être mais si tu as des données contraires merci de partager (en MP même si tu veux).

et puis personnellement au delà de 4 mois je n'ai pas constaté de différence entre une bioguide et une membrane péricarde. mais bon, ça n'engage que moi.


sinon, c'est quoi le truc de jeff ??


Photo pluton1b h9n4ea - Eugenol
pluton

08/01/2014 à 00h58

mac écrivait:
-------------

> Il n'y a pas de face cachée, je reformule pourquoi avoir utilisé une membrane
> non resorbable pour une ROG verticale alors qu'il n'existe aucune preuve
> scientifique qu'on puisse l'utiliser de façon prédictible dans cette indication.

faut arrêter de raconter des conneries mac....
la jason péricardique est une résorbable lente (4 à 6 mois)

le truc de jeff, c'est la boxtechnique, avec des "clous" et "membranes" polymères en acide poly DL lactique donc totalement résorbables...

http://boxtechnique-engl.blogspot.fr/p/boxtechnique.html

http://www.klsmartin.com/products/dental/sonicweld-rxR-dental/?L=2


Logo vuaztn - Eugenol
mac

08/01/2014 à 08h07

dentiste57 écrivait:
--------------------
> je comprend mieux.
> d'après moi les membranes péricardes sont résorbables mais leur taux de
> résorption est assez long (environ 6 mois je crois).
> c'est ce facteur temps qui m’intéresse même si pour moi 4,voir 5 mois me
> suffisent. les autres membranes se résorbent trop vite et risque de ne pas
> maintenir le biomat en place assez longtemps.
> je me trompe peut être mais si tu as des données contraires merci de partager
> (en MP même si tu veux).
>
> et puis personnellement au delà de 4 mois je n'ai pas constaté de différence
> entre une bioguide et une membrane péricarde. mais bon, ça n'engage que moi.
>
>
> sinon, c'est quoi le truc de jeff ??


Le temps de résorption est il le facteur le plus important qui fait qu'on ne puisse pas faire de ROG verticale de façon predictible avec une membrane resorbable ?

les etudes de rothamel montrent au contraire que plus la membrane se résorbe lentement moins elle est biocomaptible.


Photo pluton1b h9n4ea - Eugenol
pluton

08/01/2014 à 08h52

mac écrivait:

> Le temps de résorption est il le facteur le plus important qui fait qu'on ne
> puisse pas faire de ROG verticale de façon predictible avec une membrane
> resorbable ?
>
> les etudes de rothamel montrent au contraire que plus la membrane se résorbe
> lentement moins elle est biocomaptible.
>
>

et????
une biomed se résorbe en 8 semaines (2 mois) une extend en 18 semaines (4mois 1/2)

http://www.zimmerdental.fr/fr/accueil/produits/biomateriaux/membranes-zimmer/51f23cc9dbf9ca2118000007/Membranes+Biomend%C2%AE+et+Biomend%C2%AEExtend%E2%84%A2

une jason péricardique en 4 à 6 mois, c'est donc assez comparable à une biomed extend non? (en tout cas, visiblement D57 n'a pas de différences de résultats significatifs entre les 2...)

quels sont pour toi les caractéristiques indispensables d'une membrane pour réussir une ROG verticale?

qu'aurais-tu utilisé toi pour réussir ce type d'intervention? ou mieux encore: montre nous!!!
je suis impatient de voir çà...


G-P

08/01/2014 à 14h30

Un cas bien présenté avec des photos et un débat contradictoire après sur eugénol ?

WHAT YEAR IS THIS ?


Photo pluton1b h9n4ea - Eugenol
pluton

08/01/2014 à 16h22

G-P écrivait:
-------------
> Un cas bien présenté avec des photos et un débat contradictoire après sur
> eugénol ?
>
> WHAT YEAR IS THIS ?

2014....;-))

remarque: débat oui...contradictoire pour l'instant on voit rien...
mac ne nous a proposé qu'une étude sur des membranes, pas le moindre cas clinique en vue, ni même un avis sur sa manière de procéder (je sais pas pourquoi, mais je pense qu'on va attendre longtemps...), et j'attends toujours les réponses à mes questions...(j'suis pas un as de la ROG, alors je veux bien m'instruire si le débat le permet!)


12