Cookie Consent byPrivacyPolicies.comROG verticale posterieure - Eugenol

ROG verticale posterieure

Logo vuaztn - Eugenol
mac

10/01/2014 à 18h41

Puisqu'on parlait de ROG verticale, en voici une toute fraiche de ce matin, comblement osseux 50/50 os autogène et Bio-oss le toute recouvert par une membrane PTFE armé titane pinsé.

Plus que 9 mois à attendre ;)


mac

http://www.focusimplant-unitaire-posterieur.com/

1 mnm6e9 - Eugenol
2 vq7obw - Eugenol
3 naxyh5 - Eugenol
4 oglc2w - Eugenol
6 pfrkjh - Eugenol
5 cxqykb - Eugenol
7 gzczwt - Eugenol
8 y86ghj - Eugenol
9 xiflbp - Eugenol
10 cbhxyx - Eugenol

Blason dql7mj - Eugenol
growler

10/01/2014 à 23h59

super mac !


S2y2o1v7q53ws4r5wy6ou8czrpom - Eugenol
pxav

11/01/2014 à 00h27

photos un peu trop "serrée", mais beau travail, ce serait sympa d'avoir le résultat dans 6 mois.

--
xbk
"Si tous ceux qui croient avoir raison n'avaient pas tort, la vérité ne serait pas loin" Dac Pierre


Photo pluton1b h9n4ea - Eugenol
pluton

11/01/2014 à 00h45

j'ai du le "piquer au vif"....mac montre un cas clinique...çà faisait longtemps...(c'est pas un reproche, au contraire mac, continue!!! en plus ce cas est chouette, et comme çà n'est pas des techniques avec lesquelles je suis super à l'aise, je vais certainement en apprendre...)

bien maintenant, passons aux questions:

- tu utilises toujours une PTFE armée? (marque stp, et où tu les trouves si c'est sur un catalogue de vpc)

- tu fais toujours un mélange os autogène(site de prélèvement?)/biooss ou tu fais aussi os de banque/biooss?

- jamais d'exposition de ce type de membrane? et au cas où conduite à tenir? (j'ai jamais utilisé de ptfe...certainement par peur d'avoir ce genre de complication...)

c'est tout....pour le moment...


Logo vuaztn - Eugenol
mac

11/01/2014 à 10h22

pluton écrivait:
----------------

> - tu utilises toujours une PTFE armée? (marque stp, et où tu les trouves si
> c'est sur un catalogue de vpc)
>

En vertical oui, membrane cytoplast:

https://www.osteogenics.com/media/uploads/productGroupDocs/283t960s633e.pdf

en france c'est dental force qui les vends.



> - tu fais toujours un mélange os autogène(site de prélèvement?)/biooss ou tu
> fais aussi os de banque/biooss?


oui os autogène prelevé avec un scraper zone retromolaire.


>
> - jamais d'exposition de ce type de membrane? et au cas où conduite à tenir?
> (j'ai jamais utilisé de ptfe...certainement par peur d'avoir ce genre de
> complication...)


moi pour l'instant je n'en ai jamais eu, mais je n'ai pas énormément de cas donc forcement ça va arriver un jour .

Effectivement l'exposition est la complication là plus fréquente avec ce genre de membrane mais il semblerait que les expositions soient moins fréquentes avec les membranes en PTFE vs ePTFE ( gore qui ne sont fabriquées) si exposition la CAT est la dépose, tu peux essayer de la maintenir quelques semaines ( 4 grand max )


Logo vuaztn - Eugenol
mac

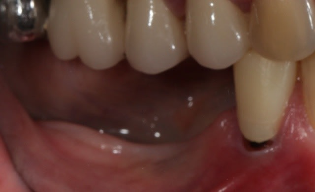
17/01/2014 à 16h52

A J+7 ça a l'air de bien se présenter.

mac

http://focusimplant-unitaire-posterieur.com/

1601100 10152158525438909 1616646947 n t92f59 - Eugenol

200106 10150128247663588 709988587 6466236 5598391 n d7mksb - Eugenol
hallboy

18/01/2014 à 00h29

bravo;)


Images jm2g2g - Eugenol
dr_0le

18/01/2014 à 18h13

question idiote.
est ce que dans un cas comme celui ci, un bloc de biobank vissé irait?


Images 1 vwmtnm - Eugenol
Castor

18/01/2014 à 20h10

Bravo!!! Quand on voit des jolis cas comme ça, on se dit qu'on a encore beaucoup à apprendre!!
Juste un truc il me semble avoir lu que les nouvelles membranes cytoplast ptfe peuvent être exposées (brochure dental force adf).
Le fil de suture c'est aussi du ptfe?


En tous cas, encore bravo!


Logo vuaztn - Eugenol
mac

18/01/2014 à 20h52

dr_0le écrivait:
----------------
> question idiote.
> est ce que dans un cas comme celui ci, un bloc de biobank vissé irait?

Il n'y a pas de questions idiotes ;)

Malheureusement je ne pense pas qu'on puisse utiliser des blocs allogène dans un cas comme ça.


Images jm2g2g - Eugenol
dr_0le

18/01/2014 à 21h00

mac écrivait:
-------------
> dr_0le écrivait:
> ----------------
> > question idiote.
> > est ce que dans un cas comme celui ci, un bloc de biobank vissé irait?
>
> Il n'y a pas de questions idiotes ;)
>
> Malheureusement je ne pense pas qu'on puisse utiliser des blocs allogène dans un
> cas comme ça.

peux tu developper?

j'ai posté un cas tout a l heure ou j'ai besoin d'augmenter la hauteur de la paroi vestibulaire.
peux tu aussi me donner ton avis sur mon cas?
merci


Logo vuaztn - Eugenol
mac

18/01/2014 à 21h05

Castor écrivait:
----------------
> Bravo!!! Quand on voit des jolis cas comme ça, on se dit qu'on a encore beaucoup
> à apprendre!!
> Juste un truc il me semble avoir lu que les nouvelles membranes cytoplast ptfe
> peuvent être exposées (brochure dental force adf).
> Le fil de suture c'est aussi du ptfe?
>
>
> En tous cas, encore bravo!


Merci.

Il semblerait que les membranes en PTFE dense ( comme les cytoplast ) soient moins sensibles aux infections une fois exposées que les membranes en PTF expansées ( gore tex qui n'existent plus) mais je ne pense pas que tu puisses laisser exposée pendant plusieurs mois ( 9 mois dans le cas de ROG verticale ) une membrane exposée.

Le fil aussi est en PTFE.


--
mac

http://focusimplant-unitaire-posterieur.com/

http://focusimplant-unitaire-posterieur.com/FLB-Formation-Plaquette.pdf


Logo vuaztn - Eugenol
mac

18/01/2014 à 21h13

dr_0le écrivait:
----------------
> mac écrivait:
> -------------
> > dr_0le écrivait:
> > ----------------
> > > question idiote.
> > > est ce que dans un cas comme celui ci, un bloc de biobank vissé irait?
> >
> > Il n'y a pas de questions idiotes ;)
> >
> > Malheureusement je ne pense pas qu'on puisse utiliser des blocs allogène dans
> un
> > cas comme ça.
>
> peux tu developper?
>
> j'ai posté un cas tout a l heure ou j'ai besoin d'augmenter la hauteur de la
> paroi vestibulaire.
> peux tu aussi me donner ton avis sur mon cas?
> merci

les blocs biobank proviennent de têtes femorales il me semble, qui sont d'origine cartilagineuses, on sait malheureusement que les blocs de cette origine se resorbent de façon très importante , pourquoi cet os traité chimiquement fonctionnerait mieux que l'os du patient?

je ne crois pas qu'il existe une seule étude sérieuse à ce sujet.


--
mac

http://focusimplant-unitaire-posterieur.com/

http://focusimplant-unitaire-posterieur.com/FLB-Formation-Plaquette.pdf


3f3boxni50k58rq7e9ce9ddqrxgk - Eugenol
dentiste57

22/01/2014 à 14h48

p'tain, t'es beau gosse toi !


Logo vuaztn - Eugenol
mac

22/01/2014 à 14h49

dentiste57 écrivait:
--------------------
> p'tain, t'es beau gosse toi !

tu en doutais ;)


Tumblr nbpd8ntwip1rsb3deo1 1280 hyinig - Eugenol
Enki

22/01/2014 à 14h58

Merci Mac pour ce cas intéressant. Comme Pluton, je ne suis pas à l'aise avec ces techniques.

As-tu essayer des variantes :

- Os auto+Phosphate tri-calcique pure ?

- D'autres type de membranes (résorbables)ou un treillis vicryl avec des visses d'ostéo pour faire piquet de tente par exemple ?

Merci pour tes réponses et tes cas.


Logo vuaztn - Eugenol
mac

22/01/2014 à 15h36

Enki écrivait:
--------------
> Merci Mac pour ce cas intéressant. Comme Pluton, je ne suis pas à l'aise avec
> ces techniques.
>
> As-tu essayer des variantes :
>
> - Os auto+Phosphate tri-calcique pure ?
>
> - D'autres type de membranes (résorbables)ou un treillis vicryl avec des visses
> d'ostéo pour faire piquet de tente par exemple ?
>
> Merci pour tes réponses et tes cas.



non pour les cas de régénération verticale je n'ai jamais essayé autre chose que des membranes en teflon, à ma connaissance il n'y aucune étude avec des membranes résorbables qui donnent des résultats satisfaisant .

Quelque soit la technique je pense qu'il n'y a pas grand monde qui soit à l'aise avec les régénérations verticales, c'est le plus gros challenge en chirurgie implantaire.


--
mac

http://focusimplant-unitaire-posterieur.com/

http://focusimplant-unitaire-posterieur.com/FLB-Formation-Plaquette.pdf


Tumblr nbpd8ntwip1rsb3deo1 1280 hyinig - Eugenol
Enki

22/01/2014 à 16h08

En effet c'est le plus gros challenge et malheureusement c'est aussi l'un des plus fréquent.

Merci pour tes précisions. Je crois que je vais, pour l'instant, continuer à traiter ça comme avant : avec un courrier au correspondant :)


Logo vuaztn - Eugenol
mac

27/01/2014 à 22h26

Finalement je crois que je vais pas mettre d'implants, la patiente va pouvoir manger sur la crête :)

--
mac

http://focusimplant-unitaire-posterieur.com/

http://focusimplant-unitaire-posterieur.com/FLB-Formation-Plaquette.pdf

Img 1923 yyspat - Eugenol

Tumblr nbpd8ntwip1rsb3deo1 1280 hyinig - Eugenol
Enki

27/01/2014 à 22h29

"Désolé madame mais il va falloir encore faire une intervention pré-implantaire...pour en enlever cette fois...."

Ça semble chouette. Bien joué !

Plus sérieusement, as-tu une couche de granulés à gratter quand tu ré-ouvres ?


Logo vuaztn - Eugenol
mac

27/01/2014 à 22h48

Non je n'ai rien a gratter, mais le bridge doit être remis dans le plan d'occlusion et on a pas mal de hauteur de gencive du à la technique de suture.

--
mac

http://focusimplant-unitaire-posterieur.com/

http://focusimplant-unitaire-posterieur.com/FLB-Formation-Plaquette.pdf


Logo vuaztn - Eugenol
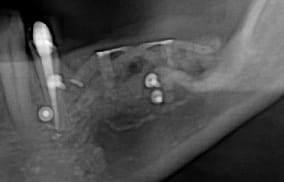
mac

18/12/2014 à 17h02

La suite après 9 mois de cicatrisation et pose des implants


--
http://focusimplant-unitaire-posterieur.com/

Rogpostvert - Eugenol

rico13

19/12/2014 à 11h34

très joli


Casque beotien a3jo39 - Eugenol
beotien

19/12/2014 à 11h40

beau résultat


S2y2o1v7q53ws4r5wy6ou8czrpom - Eugenol
pxav

19/12/2014 à 14h42

chapeau!

--
xbk
"Si tous ceux qui croient avoir raison n'avaient pas tort, la vérité ne serait pas loin" Dac Pierre


12