Tous les forums
composites postérieurs
24/03/2014 à 01h41
Sethef écrivait:
----------------
> Pas mieux.
> Le compo, c'est chouette, mais pour bien faire, c'est pas le même temps de
> travail.
> Alors quand toutes les cuspidées ont les sillons atteint sur un jeune
> moyennement motivé, ben tu mercurise le tout en 2 fois 30 minutes, pour faire du
> blanc on en reparle quand il a appris à tenir la brosse dans le bon sens.
>
>
> L'amalgame a ses indications et ses contre indications, tout comme le compo.
Tu ne fais pas de multiclampage quand tu fais un compo d'angle? Tu t'en sors quand même pour les points de contacts?
24/03/2014 à 11h39
Sethef écrivait:
----------------
> L'amalgame a ses indications et ses contre indications, tout comme le compo.
Validé par l'OMS pour les soins dans les pays du tiers monde en raison de son cout.
Ce pays foutu et ses cotations tiers-mondistes en fait partie.-))
24/03/2014 à 11h42
En compo : faut pas oublier le fameux facteur C qui oblige à une "stratification" du compo pour limiter le stress de la dent liée à la rétraction de prise (40 secondes par couches de moins de 2mm pour la meilleur polymérisation).
Mais ça c'est la théorie et respecter ces principes purement mécanique est difficile pour 40,97€.
24/03/2014 à 17h41
youn écrivait:
-------------
>
> Tu ne fais pas de multiclampage quand tu fais un compo d'angle? Tu t'en sors
> quand même pour les points de contacts?
>
>
Si tu fais référence à la dernière photo, en fait je mets en place la matrice, puis le crampon, et je passe la digue par dessus tout ça, donc elle ne descend pas jusqu'au point de contact.
Mais j'ai plein de méthodes différentes, ça varie beaucoup selon les cas.
De manière générale, si je peux éviter de multiclamper, c'est toujours du temps gagné.
24/03/2014 à 23h13
Faivre-rampant écrivait:
------------------------
> Est il interessant d'avoir un composite postérieur type Gaenial postérieur et un
> composite antérieur type gaenial antérieur ?
>
> ou
> on peut tous faire avec un composite type amelogen plus de chez ultradent ?
>
> merci d'avance de vos réponses je suis un peu perdu….
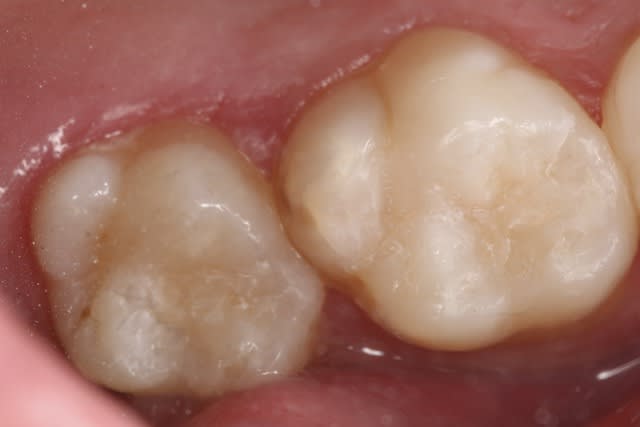
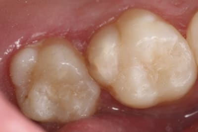
Tes patients s'en balancent de la stratification en postérieur, et effectivement de nombreux composites antéro-postérieur suffisent amplement pour couvrir un large champ de restauration composite.
Petit exemple ici avec le Shofu Beautifil 2 en A1 en postérieur.
Et en A2 en antérieur, agrémenté du Cosmedent Renamel IM pour la couche émail.
24/03/2014 à 23h17
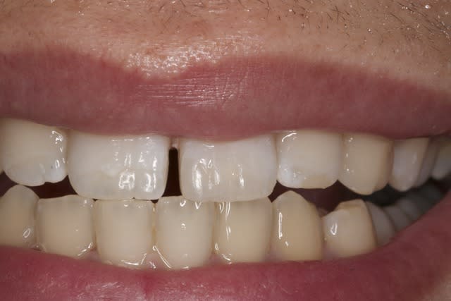
Perso, du bulk file sur un lit douillet de compos flow ou cvi en postérieur.
En antérieure, "stratification" simple avec le estelite astéria de tokuyama
24/03/2014 à 23h19
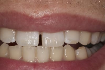
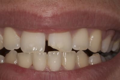
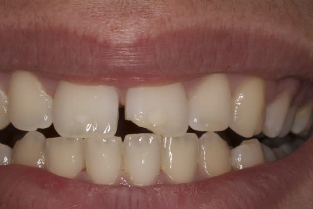
Bel effort, et résultat plutôt pas mal, mais c'était pas franchement la peine de t'emmerder avec la clé en silicone pour d'aussi petites cavités en postérieur, je trouve.
24/03/2014 à 23h29
Marc Apap écrivait:
-------------------
> Bel effort, et résultat plutôt pas mal, mais c'était pas franchement la peine de
> t'emmerder avec la clé en silicone pour d'aussi petites cavités en postérieur,
> je trouve.
Vu comme ça oui, mais en réalité la "cavité distale" de la 16 était assez ampullaire , donc initialement j'étais parti pour un box distal, et des cavités plus délabrante. J'ai pu m'en sortir sans tout défoncer et comme j'avais perdu ma petite minute pour le silicone, je l'ai tout de même utilisé….faut pas gâcher ;-). Seul regret, j'aurais du nettoyer mon miroir, la photo finish est grade :-(
25/03/2014 à 00h07
Marc Apap écrivait:
-------------------
> Bel effort, et résultat plutôt pas mal, mais c'était pas franchement la peine de
> t'emmerder avec la clé en silicone pour d'aussi petites cavités en postérieur,
> je trouve.
Oui surtout si elle continue avec nos tarifs de merde c'est sous la porte qu'elle va la mettre-))