Cookie Consent byPrivacyPolicies.comRas le bol de mes "confrères" ! - Eugenol

Ras le bol de mes "confrères" !

Gregory H

17/02/2014 à 23h12

chirphil écrivait:

> Si motivation mais fragile : endo , mise sous provisoire et réévaluation à 3 et
> 6 mois.

Pourquoi provisoire?



Capture d  cran 2015 03 12 12.28 - Eugenol
chicot29

17/02/2014 à 23h15

Latin écrivait:
---------------
> casa écrivait:
> --------------
>
> > !! et je fais les extractions des ortho spécialistes bien sur !! ils n'ont
> même
> > pas le matériel pour
>
> Et tu ne te demandes pas pourquoi?

Euh ? Ca coute cher ?))))))))
Alors anesthésique, seringue à carpule, daviers à prémolaire haut droit et gauche (ca ne sert à rien d'avoir les bas) Syndesmotome de bernard .
C'est quand meme suffisant pour extraire à 99% des prémolaires.
Mais il est vrai que la trésorerie de nos amis orthos est un peu tendue. Un peu de compassion.)))))))


Gregory H

17/02/2014 à 23h20

Pendant que je tiens un expert...

Donc tu mets la 22 en provisoire et tu fais une "réévaluation" tous les 3 mois.
De 25 à 16, tu mets aussi des provisoires?
Avec des inlay core?

(C'est pour apprendre, hein! ;-) )


Image ik684g - Eugenol
chirphil

17/02/2014 à 23h28

Gregory H écrivait:
-------------------
> chirphil écrivait:
>
> > Si motivation mais fragile : endo , mise sous provisoire et réévaluation à 3
> et
> > 6 mois.
>
> Pourquoi provisoire?
>
>
Provisoire : si elle continue au subutex ou autres drogues sa situation dentaire va continuer à se dégrader , cette dent même couronnée , ne restera pas longtemps en bouche . Alors pourquoi passer du temps et de l'argent pour rien ? En lui expliquant ça on lie une relation de confiance avec elle . CQFD

Pour ce qui est du tarif des soins : je suis tout a fait d'accord qu'ils sont honteusement bas et c'est inacceptable . La proposition faite aurait pu avoir un effet certain si tout le monde suivait , malheureusement dans notre profession ça me semble impossible .
Mais le patient n'est en aucun cas responsable de ces tarifs . Je ne vois donc pas pourquoi nous devrions refuser certains soins INDISPENSABLES a leur santé bucco-dentaire , et attendre que d'autres praticiens s'en chargent . Si ils sont déficitaires pour nous , ils le sont pour eux aussi , et nous sommes confrères , non , donc on partage un peu le fardeau , et on ne fait pas faire aux autres ce qu'on sait faire mais qu'on ne veut pas faire .


Image ik684g - Eugenol
chirphil

17/02/2014 à 23h33

Gregory H écrivait:
-------------------
> Pendant que je tiens un expert...
>
> Donc tu mets la 22 en provisoire et tu fais une "réévaluation" tous les 3 mois.
> De 25 à 16, tu mets aussi des provisoires?
> Avec des inlay core?
>
> (C'est pour apprendre, hein! ;-) )
C'est ce que je vois .
Si motivation , je repete , mise sous provisoires de toutes les dents dévitalisées participant au sourire .


Dentooth

17/02/2014 à 23h38

En venant sur ce forum je pensais trouver des réponses à des questions, un certain soutien confraternel… Bah je ne suis pas déçue! Que d'anti-confraternité! En effet, ras le bol de mes confrères! Putain mais on a un métier pas facile, super stressant, on est tous confrontés aux mêmes difficultés, à des patients désinvoltes et prêts à nous tirer une balle dans la tête (je pense fort à notre confrère du 93 qui est tombé sur un mec qui n'était pas juste prêt à lui tirer une balle dans la tête mais qui est carrément passer à l'acte aujourd'hui:

http://www.lefigaro.fr/flash-actu/2014/02/17/97001-20140217FILWWW00310-un-dentiste-blesse-par-balle-dans-son-cabinet.php


Quand vous aurez finis de comparer la taille de vos verges ("moi je ferais ça", "toi t'aurais pas dû faire ça", "moi je suis expert" et blablabla), pourrait on trouver un quelconque soutien sur ce forum?

Casa, pourquoi n'avez vous pas demandé dans votre tout premier post ce qui pouvait pousser un de vos confrères omnipraticiens à adresser un patient pour extraction? Au lieu de ça: "c'est un incompétent, un fainéant, heureusement que moi j'étais là! etc."

Pourquoi les autres n'ont ils pas simplement donné une réponse simple sans aucun jugement de valeur? Toute réponse est bonne à prendre: rentabilité, incompétence, patient menteur (il a juste été viré mais n'ose pas le dire) etc.

On n'est pas sorti de l'auberge! La profession va mal, elle est gangrénée de l'intérieur. Il n'y a pas que les médias et les politiques qui nous chient dessus!

Bonne soirée.


Gregory H

17/02/2014 à 23h38

chirphil écrivait:
------------------
>
> >
> Provisoire : si elle continue au subutex ou autres drogues sa situation dentaire
> va continuer à se dégrader , cette dent même couronnée , ne restera pas
> longtemps en bouche .

Tu crois qu'il n'y a pas perte de chance en laissant une provisoire, plutôt 11 provisoires, juste pour le maxillaire, pendant six mois dans ce contexte?

Les provisoires sont plus fiables que les céramiques dans la protection des dents chez les patients à risque carieux élevé?

Tu mets 11 inlays core sous tes 11 provisoires?


> En lui expliquant ça on lie une relation de confiance avec elle . CQFD

En lui expliquant quoi?
Qu'on va lui mettre 11 provisoires avec 11 inlays core?
Difficile de lier une "relation de confiance" en faisant direct un devis pour 11 provisoires et 11 inlays core, non? ;-)





Gregory H

17/02/2014 à 23h46

chirphil écrivait:
> Si motivation , je repete , mise sous provisoires de toutes les dents
> dévitalisées participant au sourire .

Et celles qui ne "participent pas au sourire", tu y mets un cavit?

Difficile de faire tenir tes 10 provisoires maxillaires (j'imagine que c'est de 15 à 25 pour toi) pendant 6 mois avec certaines molaires manquantes ou non reconstituées, non?

Tu mets bien des inlays-core de 25 à 15 alors?
Ou tu mets des provisoires à tenon pendant 6 mois?

Au sixième mois de "réévaluation", si la patiente n'a pas un risque carieux en baisse, tu fais quoi?
Tu extrais 15 à 25 avec les 10 inlays core que tu as scellés six mois plus tôt?

J'ai soif d'apprendre. ;-)


Darmon - Eugenol
Latin

17/02/2014 à 23h46

chicot29 écrivait:
------------------
>daviers à prémolaire haut droit et
> gauche (ca ne sert à rien d'avoir les bas) Syndesmotome de bernard .
> C'est quand meme suffisant pour extraire à 99% des prémolaires.

Oui tu as raison c'est plus souvent celles du haut qui sautent. C'est tellement plus facile d'extraire en haut plutôt que de gérer un cas chirurgical. Ou de prendre en charge quand il y encore des dents de lait et de gérer une phase orthopédique.

Mais bon là c'est hors sujet.


Capture d  cran 2015 03 12 12.28 - Eugenol
chicot29

17/02/2014 à 23h49

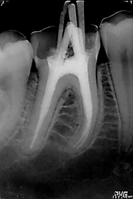
Pour compléter le cas Katia. Je l'ai vue en 2002 pour la première fois (status). N'a pas donné suite aux soins (simples) à l'époque. Revue en urgence en 2003 pour endo de 46.
"Fidélisée" ailleurs et revue en fin 2013 dans l'état que vous connaissez.
Note : elle a l'air mieux sous subutex car elle vient à ses rendez vous. Alors oui ca vaut le coup de faire un petit quelque chose fusse au tarif CMU.

Katia 28 04 2003 endo lbffnl - Eugenol
Katya 46 2003 scairq - Eugenol
Katia 28 04 2003 rl0mek - Eugenol
Katia 06 11 2002 twyhys - Eugenol

Capture d  cran 2015 03 12 12.28 - Eugenol
chicot29

17/02/2014 à 23h55

Latin écrivait:
---------------
> chicot29 écrivait:
> ------------------
> >daviers à prémolaire haut droit et
> > gauche (ca ne sert à rien d'avoir les bas) Syndesmotome de bernard .
> > C'est quand meme suffisant pour extraire à 99% des prémolaires.
>
> Oui tu as raison c'est plus souvent celles du haut qui sautent. C'est tellement
> plus facile d'extraire en haut plutôt que de gérer un cas chirurgical. Ou de
> prendre en charge quand il y encore des dents de lait et de gérer une phase
> orthopédique.
>
> Mais bon là c'est hors sujet.

Je ne me sers jamais des daviers à PM du bas meme pour le bas .))))


Image ik684g - Eugenol
chirphil

17/02/2014 à 23h56

Gregory H écrivait:
-------------------
> chirphil écrivait:
> ------------------
> >
> > >
> > Provisoire : si elle continue au subutex ou autres drogues sa situation
> dentaire
> > va continuer à se dégrader , cette dent même couronnée , ne restera pas
> > longtemps en bouche .
>
> Tu crois qu'il n'y a pas perte de chance en laissant une provisoire, plutôt 11
> provisoires, juste pour le maxillaire, pendant six mois dans ce contexte?
>
> Les provisoires sont plus fiables que les céramiques dans la protection des
> dents chez les patients à risque carieux élevé?
>
> Tu mets 11 inlays core sous tes 11 provisoires?
>
>
> > En lui expliquant ça on lie une relation de confiance avec elle . CQFD
>
> En lui expliquant quoi?
> Qu'on va lui mettre 11 provisoires avec 11 inlays core?
> Difficile de lier une "relation de confiance" en faisant direct un devis pour 11
> provisoires et 11 inlays core, non? ;-)

Si financièrement elle est prête à prendre le risque de définitives en continuant son subutex , OK . Mais le principal est de l'avoir informée .
Comme je l'ai déjà dit , l'état antérieur est un point essentiel dans un traitement . On ne traite pas de la même manière un patient diabétique et un sain , un sain et un sous drogues .....

GrégoryH , nous n'avons pas tous les éléments et raisonnons sur de l'imaginaire en cherchant à coincer l'autre , tout cela reste stérile et n'apporte plus rien au débat .
Le mieux est de stopper , nous ne sommes pas d'accord sur la vision de notre profession , y en à d'autres , c'est pas grave .
Alors bon courage , et je te souhaite de trouver un mode d'exercice qui te permette de t'épanouir .
Bonne nuit , demain y a du boulot qui nous attends .
>
>
>
>


Gregory H

18/02/2014 à 00h03

chirphil écrivait:
------------------
>
> GrégoryH , nous n'avons pas tous les éléments et raisonnons sur de l'imaginaire
> en cherchant à coincer l'autre , tout cela reste stérile et n'apporte plus rien
> au débat .


Pour ma part, je ne cherche nullement à te "coincer", je cherche juste à te faire partager ton savoir en matière de "fidélisation" à l'aide d'un cas clinique réel.

Tu ne m'as pas répondu:
Tu mets des provisoires à tenon de 15 à 25 pendant 6 mois, ou il y a des inlays core?
Sur les dents ne participant pas au sourire, tu mets des cavit?


Capture d  cran 2015 03 12 12.28 - Eugenol
chicot29

18/02/2014 à 00h07

chirphil écrivait:
------------------

> Si financièrement elle est prête à prendre le risque de définitives en
> continuant son subutex , OK . Mais le principal est de l'avoir informée .
> Comme je l'ai déjà dit , l'état antérieur est un point essentiel dans un
> traitement . On ne traite pas de la même manière un patient diabétique et un
> sain , un sain et un sous drogues .....
>

Elle est à la CMU donc pas de risque financier pour elle ( toi par contre tu participes c'est sur lol !)
Si elle gagnait 1200 euros par mois il n'y aurait pas de risque financier non plus car pas de finances. Choisis ton camp camarade !))))))


Image ik684g - Eugenol
chirphil

18/02/2014 à 00h10

Gregory H écrivait:
-------------------
> chirphil écrivait:
> ------------------
> >
> > GrégoryH , nous n'avons pas tous les éléments et raisonnons sur de
> l'imaginaire
> > en cherchant à coincer l'autre , tout cela reste stérile et n'apporte plus
> rien
> > au débat .
>
>
> Pour ma part, je ne cherche nullement à te "coincer", je cherche juste à te
> faire partager ton savoir en matière de "fidélisation" à l'aide d'un cas
> clinique réel.
>
> Tu ne m'as pas répondu:
> Tu mets des provisoires à tenon de 15 à 25 pendant 6 mois, ou il y a des inlays
> core?
> Sur les dents ne participant pas au sourire, tu mets des cavait?

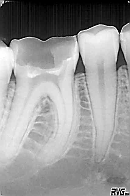
Regarde l'évolution du cas Katia sur 46 :
en 2002 , Chicot29 traite parfaitement cette dent , 10 ans plus tard sur nouveau status elle n'est plus présente , et la situation à continuée de se dégrader .

Reconstitution moignons technique directe 15/25 et provisoires , avulsion des molaires trop atteintes PAP .


Gregory H

18/02/2014 à 00h16

chirphil écrivait:
------------------


>
> Regarde l'évolution du cas Katia sur 46 :
> en 2002 , Chicot29 traite parfaitement cette dent , 10 ans plus tard sur nouveau
> status elle n'est plus présente , et la situation à continuée de se dégrader .
>
> Reconstitution moignons technique directe 15/25


Des reconstitutions corono-radiculaires collées sur toutes les dents?
Pourquoi pas des inlays core?

La PAP a ses crochets sur les provisoires?


Grueavatar nptrc9 - Eugenol
Le Choixpeau magique

18/02/2014 à 14h59

chirphil écrivait:
------------------
> Si BNC important je dois me taire , si BNC faible connaît pas le métier et doit
> aussi me taire ?
> Et toi ?


L'année dernière, deuxième année de création, 165/65.

A toi.


 mg 0207 xwjxcl - Eugenol
Tillc

18/02/2014 à 16h43

chicot29 écrivait:
------------------
> Pour compléter le cas Katia. Je l'ai vue en 2002 pour la première fois (status).
> N'a pas donné suite aux soins (simples) à l'époque. Revue en urgence en 2003
> pour endo de 46.
> "Fidélisée" ailleurs et revue en fin 2013 dans l'état que vous connaissez.
> Note : elle a l'air mieux sous subutex car elle vient à ses rendez vous. Alors
> oui ca vaut le coup de faire un petit quelque chose fusse au tarif CMU.

T'es pas a l'apex tu vaux rien :p


Capture d  cran 2015 03 12 12.28 - Eugenol
chicot29

18/02/2014 à 17h20

J'étais nul en endo en 2002.))))
Sinon, 165 (ou à peu près) en 2013 pareil ! Sale année !)))))


G-P

18/02/2014 à 18h17

165 de bénef ? ça va :P


Grueavatar nptrc9 - Eugenol
Le Choixpeau magique

18/02/2014 à 18h32

59 en fait, pour zéro d'Urssaf et quasiment zéro de CARCD.


Capture d  cran 2015 03 12 12.28 - Eugenol
chicot29

18/02/2014 à 18h42

Aie !


Orezza gazeuse verre litre ocoxey - Eugenol
casa

18/02/2014 à 20h14

Dentooth écrivait:
------------------
> En venant sur ce forum je pensais trouver des réponses à des questions, un
> certain soutien confraternel… Bah je ne suis pas déçue! Que
> d'anti-confraternité! En effet, ras le bol de mes confrères! Putain mais on a un
> métier pas facile, super stressant, on est tous confrontés aux mêmes
> difficultés, à des patients désinvoltes et prêts à nous tirer une balle dans la
> tête (je pense fort à notre confrère du 93 qui est tombé sur un mec qui n'était
> pas juste prêt à lui tirer une balle dans la tête mais qui est carrément passer
> à l'acte aujourd'hui:
>
> http://www.lefigaro.fr/flash-actu/2014/02/17/97001-20140217FILWWW00310-un-dentiste-blesse-par-balle-dans-son-cabinet.php
>
>
> Quand vous aurez finis de comparer la taille de vos verges ("moi je ferais ça",
> "toi t'aurais pas dû faire ça", "moi je suis expert" et blablabla), pourrait on
> trouver un quelconque soutien sur ce forum?
>
> Casa, pourquoi n'avez vous pas demandé dans votre tout premier post ce qui
> pouvait pousser un de vos confrères omnipraticiens à adresser un patient pour
> extraction? Au lieu de ça: "c'est un incompétent, un fainéant, heureusement
> que moi j'étais là! etc."
>
> Pourquoi les autres n'ont ils pas simplement donné une réponse simple sans aucun
> jugement de valeur? Toute réponse est bonne à prendre: rentabilité,
> incompétence, patient menteur (il a juste été viré mais n'ose pas le dire) etc.
>
> On n'est pas sorti de l'auberge! La profession va mal, elle est gangrénée de
> l'intérieur. Il n'y a pas que les médias et les politiques qui nous chient
> dessus!

Pour te répondre , dentooth , tout d'abord je ne trouve pas que notre métier soit si stressant , ni si difficile, déjà on ne part pas sur la même échelle de sensibilité . Etaller sur ce forum que tel ou tel patient est pénible , ne vient pas au rendez vous et à fait ci ou ça , je ne vois pas trop l’intérêt : à part se monter le bourrichon !! on en a tous , et c'est comme ça . Par contre , se faire réagir entre confrère quand quelque chose nous choque , je ne trouve pas ça malsain . Je m'inquiète de la tournure que prend notre profession , la rentabilité au détriment de toute valeur médicale , humaine ou autre (car c'est uniquement de cela dont il s'agit dans ce cas précis : si la dent en question était complètement déchaussée je n'en aurais pas hérité !). Si tu ne sais pas extraire une 16 sur un gamin de 18 ans (et elle n'avait rien de bien particulier ....) ben faut te former , si tu ne le fais pas parce que ça va te prendre une demi heure et que ce n'est pas rentable c'est grave , à mon avis ... et on n'en est là .. La faute à qui ? je m'en tape , c'est comme ça et c'est pas moi qui vais changer les choses . Dans notre métier, tu fais un détartrage en 5 mn chez une nana qui a 2 mgr de tartre tu prends 28.92 , si ça dure 1/2 h c'est pareil ... et tu vas pas dire : à non, vous en avez trop , c'est pas rentable , allez voir ailleurs .Comme l'a dit quelqu'un , on perd , on gagne , ça s'équilibre . La règle est la même pour tout le monde sauf que certains trichent ... C'est mon petit avis .
PS :Un : je ne me suis pas fait passer comme sauveuse de l’humanité , c'est tombé sur moi ça aurait pu être quelqu'un d'autre , j'ai fait mon boulot , sans plus .
Deux : une petite confidence , j'adore extraire les dents donc ce n'était pas le problème !


G-P

18/02/2014 à 20h31

Donc selon toi on accepte de se faire enc.. sans rien dire et on soigne les patients à perte, et avec le sourire ?

Bah continue à le faire alors ;) Grand bien te fasse.


Q42955962076 4064 lcuc3e - Eugenol
dentino

18/02/2014 à 20h45

casa écrivait:
--------------
>
Je m'inquiète de la tournure que prend notre profession , la
> rentabilité au détriment de toute valeur médicale , humaine ou autre

C'est exactement ce que nous reproche l'opinion publique, à travers ses critiques acerbes qu'on voit ça et là dans les médias,,justement à cause de certains d'entre nous qui se comportent ainsi.
C'est à cause de ces crétins, tellement obnubilés par le fric qu'ils en oublient leur vocation de professionnel de santé (et leur déontologie), que tout les confrères trinquent...C'est à cause de leur(s) connerie(s) que l'opinion publique est si facilement chauffée à blanc: il n'y a pas de fumée sans feu.
Ne nous trompons pas: les patients nous respectent dans l'immense majorité des cas. Ils ne nous reprochent même pas de gagner beaucoup d'argent (on fait un métier qui a nécessité des années d'étude, des sacrifices et que peu auraient envie de faire). En revanche, ils n'accepteront jamais que nous, professionnels de santé, ne PENSIONS QU'A CA. C'est valable pour les médecins aussi.
Evidemment, en libéral, nous sommes aussi des chefs d'entreprise, donc soumis aux impératifs de rentabilité, ne fut ce que pour pérenniser notre activité. Il y a un équilibre à trouver entre les deux mais l'opinion publique exigera toujours que c'est le professionnel de santé qui prévale sur le chef d'entreprise. Aucune chance d'avancer nos revendications (dont une revalorisation substantielle des soins pour mettre fin à ce système aberrant) si cet impératif n'est pas respecté car l'adhésion des patients est indispensable.


1...91011