Cookie Consent byPrivacyPolicies.comen avant première: l'interactive!!! - Eugenol

en avant première: l'interactive!!!

Photo pluton1b h9n4ea - Eugenol
pluton

10/03/2014 à 22h06

non, ce n'est plus une arlésienne, ni un objet de démo de salon...

l'interactive est dispo sur le site ID...mais j'en ai déjà au cab!!!...;-)

ne me demandez pas encore s'il répond à mes attentes chirurgicales/prothétiques...on en reparlera....demain!!!...;-)

2014 03 10 19.33 - Eugenol
2014 03 10 19.33 - Eugenol

Smile beach jgh0a1 - Eugenol
Céramik

10/03/2014 à 23h21

Ben dispo aux USA, mais pas au Canada...
vérifié il y a qq jours, et à l'instant...
et merde

--
Céramik


Images 1 vwmtnm - Eugenol
Castor

11/03/2014 à 00h03

oui Pluton, fais nous le debriefing ;)


Photo pluton1b h9n4ea - Eugenol
pluton

11/03/2014 à 00h37

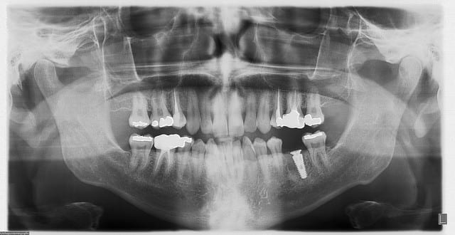
oh le cas clinique n'a rien de bien exceptionnel....une 36 à remplacer, par contre il est vrai avec une largeur de crête de folie (de mémoire je dois avoir 15mm!!!), une bonne douzaine de mm en prenant de la marge au dessus du NDI dans un os qui est cicatriciel (extraction il y a 5 ou 6 mois, je ne sais plus exactement) donc certainement D2 / D3, 10/11mm entre la 5 et la 7....bref: autoroute...
naturellement, un 5/11.5 va tranquillement y prendre place...;-)

je vais essayer d'avoir de bonnes prises vidéos pour vous montrer çà...
pas trop inquiet sur le comportement de l'implant...très certainement similaire aux legacy 2 et 4 que je connais bien...

plus curieux de voir si les nouveaux préhenseurs sont efficaces et si la rétention des parties colorées amovibles des nouveaux porte-implants on été améliorés...


Photo pluton1b h9n4ea - Eugenol
pluton

11/03/2014 à 11h31

place aux photos!!!

je regarderai si la vidéo est exploitable, mais mon angle de prise de vue à la mandibule n'est pas idéal avec mon support caméra...

forage, tout ce qu'il y a de plus classique pour ceux qui connaissent ID ou zimmer
pour un implant de 5mm de diamètre on s'arrête au foret de 4.4, passé ici sur 8mm au lieu des 11.5mm car j'étais dans du D3

Img 3251 id7rfo - Eugenol
Img 3249 du0lsv - Eugenol
Img 3252 qusrfb - Eugenol
Img 3254 q5diqw - Eugenol
Img 3255 cwisrl - Eugenol
Img 3250 b9iloe - Eugenol

Photo pluton1b h9n4ea - Eugenol
pluton

11/03/2014 à 11h36

l'interactive, (t'ain qu'il est beau!!!)
mise en place au CA qui bloque à 45Ncm...on est à 1 ou 2 mm de la crête....pas de problème, on retire le Fm (sympa, la vis, car il y a un filetage dans le Fm, ne risque plus de tomber!!!) et on se reprend direct dans le col de l'implant à la clef à cliquet...comme d'hab quoi...;-)

Img 3256 wtvhvq - Eugenol
Img 3257 ssqj4b - Eugenol
Img 3258 idooz2 - Eugenol
Img 3259 mdla0b - Eugenol
Img 3260 mvjupf - Eugenol
Img 3261 dops3q - Eugenol

Photo pluton1b h9n4ea - Eugenol
pluton

11/03/2014 à 11h40

fin
mise en place de la vis de cicat basse pour augmenter l'épaisseur de gencive attachée et on suture par dessus...si çà s'operculise, c'est pas grave en plus

Img 3262 bqrfsz - Eugenol
Img 3267 bztti8 - Eugenol
Interactive ctirs9 - Eugenol
Img 3269 jxc4nu - Eugenol

Fouilla h6plsy - Eugenol
fouilla

11/03/2014 à 12h57


le nouvel implant ....
peux tu m'expliquer en quoi mettre un plateau aussi large et aussi crestal va augmenter ta GA c'est ça la nouveauté de l'imlant ?

amitiés de JL
--
.


dent2669

11/03/2014 à 14h06

Pluton tu as l'air tellement dingue avec ce nouvel implant qu'on se demande ce qu'il peut bien avoir de mieux que les autres pour que tu sois dans un tel état d’excitation ??!!!

Au vu de ce que tu montres, il n'a rien de révolutionnaire et bien des systèmes on des implants similaires mais peut-être me que je me trompe... dis nous en plus !

Peut-être le prix ??!!


Photo pluton1b h9n4ea - Eugenol
pluton

11/03/2014 à 14h31

@ fouilla: la vis de cicat n'est pas crestale, la pano est trompeuse, cette surélévation de 2mm va permettre d'augmenter la hauteur de tissu conjonctif dans cette zone.
il sera plus facile de "tricher" ensuite pour rendre l'émergence prothétique la plus anatomique possible...

cet implant n'est certes peut être pas révolutionnaire, mais il est une synthèse d'astuces plus pratiques les unes que les autres
un petit exemple: il est conçu pour pouvoir être posé légèrement supra crestal, de par le biseau de col qui fait 0.25mm de haut quelque soit le diamètre de l'implant, mais en plus, entre la première microgroove et le haut du biseau on à près d'1mm qui peut être exposé sans incidence pour la suite...
ne me dites pas que vous avez tout le temps des crêtes plates comme des plateaux de billard (là c'était quasi le cas...) ou sans un petit défaut vestibulaire!!! cette caractéristique permet donc beaucoup plus de souplesse dans le positionnement 3D de l'implant

le plus important pour moi: retrouver cette séquence de forage qui est la meilleure que j'ai pu utiliser, avec des forets dont la lisibilité et l'endurance sont hors du commun, et un implant très simple à utiliser, avec tout dans le packaging...pas de risque d'en oublier un bout...


Fouilla h6plsy - Eugenol
fouilla

11/03/2014 à 18h15


il me semble mais peut être est ce la photo que le plateau du col est sablé ququel cas je ne m'amuserai peut être pas trop à ne pas le mettre en sous crestal est ce le cas ?

--
.


Photo pluton1b h9n4ea - Eugenol
pluton

11/03/2014 à 18h48

Oui, en partie sablé....mais c'est conçu pour pouvoir être supracrestal s'il le faut...
maintenant rien n'empêche de le poser 0.5 sous crestal

3 - Eugenol
3 - Eugenol

Fouilla h6plsy - Eugenol
fouilla

12/03/2014 à 15h40

si il est en partie sablé , la partie sablée doit être enfouie ou alors faut m'explique l'intérêt du sablage dans cette partie

--
.


Grueavatar nptrc9 - Eugenol
Le Choixpeau magique

12/03/2014 à 15h43

Quand on regarde les photos de la connectique on ne peut s'empêcher de la confondre avec la connectique Zimmer.
Il semblerait qu'ils aient réduit le platform shift par rapport au Nobel Active où il n'est déjà pas très important. A coup sûr par contre (puisque c'est marqué dans la notice), ils ont réduit la profondeur du cône, on ne peut s'empêcher de penser que Niznick (aujourd'hui retraité, juste avant que l'interactive ne sorte !) qui a toujours été hermétique à la connectique conique profonde, a voulu édulcorer au maximum sa conversion vers le "vrai" conique.
Quid alors de l'étanchéité et du comportement mécanique par rapport à Ankylos et Astra ?

Bon point par contre, l'apparition d'un 6mm qui n'était pas prévu dans l'interactive original.


Logo m4n3gc - Eugenol
drmarcus

12/03/2014 à 16h16

Je l'ai essayé aussi hier. Une MCI à l'arrache ext implantation sur 14 en remplacement d'un bridge en extension sur 12. Je ne suis pas trop mécontent du résultat puisque sans aucune préparation quasiment et sans scan.
Un 3.2 en 12 et un 3.7 en 14.
Très bonne accroche, facile de corriger les FM et provisoire facilement réalisable à main levée.
Etant donné que je ne transvisse pas et que je n'utilise que l'ajustage pour la tenue des provisoires je trouve qu'il est super pratique.

--
"La seule chose promise d'avance à l'échec, c'est celle que l'on ne tente pas" Paul Emile VICTOR

Dsc00814 qzbxnk - Eugenol
Dsc00817 u1yaf6 - Eugenol
Dsc00820 llcfty - Eugenol
Dsc00822 ejvcq9 - Eugenol
Dsc00824 rib8cx - Eugenol
Dsc00827 f994xl - Eugenol
Dsc00833 iqvctz - Eugenol
Dsc00838 zhcwkn - Eugenol
Dsc00846 sb9cfx - Eugenol
Dsc00847 h0aysq - Eugenol
Dsc00848 qrzzhh - Eugenol
Dsc00850 kljf6r - Eugenol

Photo pluton1b h9n4ea - Eugenol
pluton

12/03/2014 à 16h23

Oui ils ont un peu réduit la hauteur du cône...au profit de la hauteur de l'hexagone...c'est ce qui permet de positionner les pièces prothétiques sans avoir recours à une prise de radio pour vérifier le parfait emboitement...
pour ceux qui ont comme moi utilisé du dentium (cône très long, tout petit hexagone) ne peuvent qu'apprécier...

quand à l'étancheïté c'est plus une question de précision d'usinage que de longueur du cône...quand on sais que mécaniquement parlant, de toutes façons, le fm ne touche réellement qu'en 3 points (comme un tabouret à 3 pieds...)
par contre l'angle permet de réduire le gap...

je suis par contre d’accords avec fouilla...je pense aussi qu'il vaut mieux le poser légèrement sous crestal...


Azerty06

13/03/2014 à 14h58

Bonjour, si on pose du legacy, de quels nouveaux instruments a t on besoin pour poser un interactive ?


Photo pluton1b h9n4ea - Eugenol
pluton

13/03/2014 à 15h36

si tu poses du legacy il ne te faut que les instruments d'insertions spécifiques de l'interactive

le grand minimum: les 2 instruments hex (version longues) de 2.3 (pour la petite plateforme "rouge") et 2.7mm (grande plateforme jaune) donc tu poses avec la clef à cliquet en prise directe sur le carré du porte implant (ou le FMD sur CA), puis tu te reprends dans le col

pour plus de confort: les 2 drivers pour CA qui ont les mêmes tailles de 2.3 et 2.7mm

pour la totale les 2 hex courts en plus...perso, j'ai les hex longs et les hex CA...

les vis sont compatibles "torx" Nobel ET hex Zimmer

pour le plaisir des yeux des vis de cicat (photo à travers le conditionnement....elles sont stériles)...impressionnantes à voir en vrai...de vrais miroirs!!!

Img 3271 jdkr9q - Eugenol
Img 3272 dxmvia - Eugenol
Img 3275 cjpxgy - Eugenol

Photo pluton1b h9n4ea - Eugenol
pluton

13/03/2014 à 15h50

et mieux encore...(si vous n'avez pas reçu par le mailing...donc je publie des copies d'écran) ID peut GRATUITEMENT vous en donner 3 pour essayer l'interactive...

mais comme dit...l'essayer c'est l'adopter...enfin je dis çà...;-)

Offre2 pjubdp - Eugenol
Offre1 plja9t - Eugenol

Logo vuaztn - Eugenol
mac

13/03/2014 à 18h20

pluton écrivait:
----------------
> et mieux encore...(si vous n'avez pas reçu par le mailing...donc je publie des
> copies d'écran) ID peut GRATUITEMENT vous en donner 3 pour essayer
> l'interactive...
>
> mais comme dit...l'essayer c'est l'adopter...enfin je dis çà...;-)


Gratuit ok mais faut acheter quoi comme instrument pour pouvoir les poser?

le driver d'implant?

le dernier fôret ?

et?


Grueavatar nptrc9 - Eugenol
Le Choixpeau magique

13/03/2014 à 18h39

Je n'aime pas trop toutes ces nouvelles offres "tout compris" où la plupart des trucs "offerts" (mais qu'on paye quand même) finiront à la poubelle et devront de toute façon être rachetés dans une version qui nous convient mieux.

C'est un peu comme Biotech qui te colle le même pilier "offert" mais que tu payes avec ses implants et dans une dimension unique quel que soit l'implant, la dent, etc....


Ibiza69

13/03/2014 à 19h09

Je pense que tu parles de Tekka moi je pose BIOTECH et je paie mes piliers lol


Logo m4n3gc - Eugenol
drmarcus

13/03/2014 à 19h12

Le Choixpeau magique écrivait:
------------------------------
> Je n'aime pas trop toutes ces nouvelles offres "tout compris" où la plupart des
> trucs "offerts" (mais qu'on paye quand même) finiront à la poubelle et devront
> de toute façon être rachetés dans une version qui nous convient mieux.
>
> C'est un peu comme Biotech qui te colle le même pilier "offert" mais que tu
> payes avec ses implants et dans une dimension unique quel que soit l'implant, la
> dent, etc....

http://www.eugenol.com/sujets/404614-implant-tissue-level

Comme tu peux voir sur le post cité; jusqu'à présent j'ai (ainsi que mes correspondants) utilisé uniquement les piliers livrés avec l'implant. Les résultats esthétiques sont tout à fait acceptable. Quant au prix il est de 30% en baisse, les patients apprécient.
Chiffrons mes débuts: une centaine de piliers non recommandé et supportant leur couronne ou bridge.
Il faut aussi compter avec 2 MCI avec le protocole Positdental(soit au total 18 implants + fm) et on a utilisé uniquement les FM fournis (je reconnais c'était le but). Exception pour 2 implants ptérygoidiens où on a utilisé des multiunits.
Maintenant c'est comme chacun aime faire.


--
"La seule chose promise d'avance à l'échec, c'est celle que l'on ne tente pas" Paul Emile VICTOR


Azerty06

13/03/2014 à 20h24

pluton écrivait:
----------------
> si tu poses du legacy il ne te faut que les instruments d'insertions spécifiques
> de l'interactive
>
> le grand minimum: les 2 instruments hex (version longues) de 2.3 (pour la petite
> plateforme "rouge") et 2.7mm (grande plateforme jaune) donc tu poses avec la
> clef à cliquet en prise directe sur le carré du porte implant (ou le FMD sur
> CA), puis tu te reprends dans le col
>
> pour plus de confort: les 2 drivers pour CA qui ont les mêmes tailles de 2.3 et
> 2.7mm
>
> pour la totale les 2 hex courts en plus...perso, j'ai les hex longs et les hex
> CA...
>
> les vis sont compatibles "torx" Nobel ET hex Zimmer
>
> pour le plaisir des yeux des vis de cicat (photo à travers le
> conditionnement....elles sont stériles)...impressionnantes à voir en vrai...de
> vrais miroirs!!!
merci pluton


Photo pluton1b h9n4ea - Eugenol
pluton

14/03/2014 à 00h40

mac écrivait:
-------------

> Gratuit ok mais faut acheter quoi comme instrument pour pouvoir les poser?
>
> le driver d'implant?
>
> le dernier fôret ?
>
> et?

je te laisse contacter le commercial de ton secteur qui, j'en suis sûr, te renseignera voir te prêtera le matériel nécessaire...
pour les forets tu as quasi l'équivalent dans ta trousse, la séquence ID hors "pilote" c'est
2.3mm, 2.8mm (terminal pour l'implant 3.2mm), 3.4mm(terminal pour l'implant 3.7mm), 3.8mm(terminal pour l'implant 4.3mm), 4.4mm (terminal pour l'implant 5mm)

toi, tu as du 2.5mm; 2.7; 2.85; 3.2; 3.35; 3.7; 3.85; 4.2; 4.7, bref tu devrais pouvoir te débrouiller...;-)

reste une clef à cliquet à connexion carrée et les outils d'insertions longs...

mais c'est pas pour rien que j'ai mis l'intégralité du mailing...il y a toutes les coordonnées...
si en plus vous vous présentez de ma part (mon nom si vous me connaissez ou mon pseudo) je pense qu'ils vont mettre tout en œuvre pour que çà se passe bien...;-)


12...