Cookie Consent byPrivacyPolicies.comRetard d'éruption - Eugenol

Retard d'éruption

Monsieur Poupi

11/03/2014 à 19h07

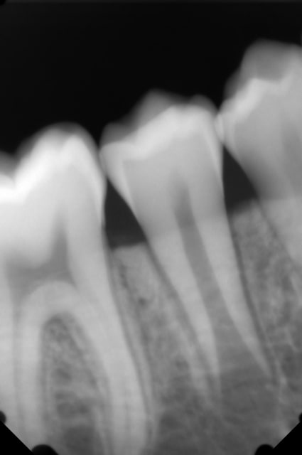
Aujourd'hui j'ai reçu un garçon de 13ans, toutes les dent temporaires sont tombées sauf la 75, j'ai fait une radio et la 35 est présente, sauf que la 75 n'a pas commencé sa rhizalyse semble-t-il.
Je pensait extraire la 75 pour "stimuler" l'éruption de la 35, qu'en pensez-vous?
Je joint la rétro de la 75/35 et de la 45 pour que vous visualisiez l'édification radiculaire.
Je n'ai pas encore la pano.

35 baptiste sihzgq - Eugenol
45 baptiste vvzfba - Eugenol

lary

11/03/2014 à 19h35

Si l'édification radiculaire du germe de 35 est égale ou sup à 2/3 alors l'extraction de la dent temporaire accélère l'éruption du germe. Sinon ralentissement de l'éruption.
CSCT power ;)


Eldrya

11/03/2014 à 20h19

J'ai fait ce genre d'extrat à une jeune fille de 20 ans (la fille de mon assistante) elle la dent sort (elle perçait à peine en lingual et aucune rhyzalyse sur la lactéale).
Bon sans doute odf à prévoir pour rajuster tout ça mais ça lui a fait plaisir.


doagui

11/03/2014 à 20h40

Ca reste à surveiller, une ankylose n'est pas impossible... Dans tous les cas il faut mettre un mainteneur d'espace à mon avis.


Avatar hjdsnm - Eugenol
TiGabi

11/03/2014 à 23h32

- Au vu de l’édification radiculaire de la 45 (2/3) et en considérant que celle de la 35 est symétrique, il est temps d'avulser la 75.

- Si l'indication d'avulsion n'y était pas, la carie distale de la 75 aurait été à traiter rapidement : au contact de l'émail de la 6, une carie peut se développer en quelques mois sur ce site particulier (mésial d'une 6 en contact d'une carie distale de temporaire). On observe d'ailleurs une atteinte amélaire de 36. Suite à l'avulsion, si tu as du fluor topique, tu peux en appliquer en mésial de 36.


Monsieur Poupi

12/03/2014 à 09h01

merci pour vos réponses.
Dès que j'ai la pano et si c'est bon pour la racine je programme l'extraction.
Et j'ai du fluor topique , je penserai a en mettre.