Cookie Consent byPrivacyPolicies.comla mise en forme canalaire - Eugenol

la mise en forme canalaire

charles01

15/03/2014 à 16h27

Bonjour a tous,

Ayant commencé un des tomes de S.Simon sur le traitement endo je me retrouve a douter de la qualité de mes traitements canalaire..

Je vous explique, utilisant le systeme heroshaper je trouve mes mises en forme canalaire "peu" large et la condensation pas tres "blanche" ( j'entend par blanche un canal bien radio-opaque que l'on cherche tous).

Mes traitements sont réalisés logiquement sous champ operatoire avec limes de catheterisation, rincage hypo, utilisation de chelatant et passage complet de la sequence...

Pour ceux qui arrivent a obtenir le genre d'endo dont je vous parle, quels systemes utilisez vous? Combien de passage des instruments pour suffisament elargir les canaux?

Derniere question, avez vous remarqué plus de casses avec un systeme plus qu'avec un autre?

Sur ce bon week end a tous.
Cordialement.


Marque a3 orange fyvhyq - Eugenol
Marc Apap

15/03/2014 à 16h37

n°25 conicité 6% minimum à l'apex.
Oburation à la gutta chaude (gutta condensor par exemple).



charles01

15/03/2014 à 16h43

Bonjour marc,

Serait ce indiscret de te demander si tu as quelques radios de traitement fait avec ce systeme que je me fasse une idee?
Je vais regarder si je peux essayer ce systeme.

Pas trop de casses avec?


burnax

15/03/2014 à 17h51

Chicot 29 est un boss.
Regarde ces posts.


Ce pays est foutu mais pas ses endos ... (clin d'oeil)


Marque a3 orange fyvhyq - Eugenol
Marc Apap

15/03/2014 à 18h00

A part qu'il fusille les apex et bouche au lentulo et monocone, ses obturations sont magnifiques.
Trop tard pour moi, suis déjà parti du cabinet.


pointG

15/03/2014 à 18h10

J'utilise le système heroshaper+digue+hypo+condensation
Mac Spadden(thermomécanique)
J'ai posté des radios biopulpectomies et retraitements
canalaires précédemment.
L'obturation 3D est indispensable pour un traitement hermétique.Mon associé utilise le système protaper et
effectivement cela élargit plus.Sur ces 7 dernières années
j'obtiens de bons résultats;mon avis le système heroshaper
casse moins mais n'hésite pas à jeter un heroshaper
même si non déspiralé ;si il a travaillé un peu en force
ou si la morphologie canalaire est un peu compliquée ou courbe;on fait un peu un usage unique pour éviter tout
problème plus tard!(quelque soit le système)on récapitule
avec un instrument à mains;pour une bonne herméticité
le système Mac spadden est le plus efficace ,utlisé par des endos exclusifs,et le moins cher (un cone de gutta est suffisant)Ma séquence classique instrument à main N10
héroshaper N20 6%/4% N25 4% N30 4% MAC SPADDEN un cone de gutta/ciment sealite régular
J'ai reposté quelques radios de biopulpectomies
RTE dans un précédent post...

Be2 uf5n1c - Eugenol
Gue2 a8ndtb - Eugenol
Gu3 i8sxmk - Eugenol
M ukufzd - Eugenol
M2 lrjkjh - Eugenol
M4 o9tosx - Eugenol
Oaha1 dtoabm - Eugenol
T1 piz5br - Eugenol
T2 jbf78m - Eugenol
T4 us7hft - Eugenol
Be1 a5mwi3 - Eugenol
Gu1 jkvkpg - Eugenol
M1 xfkaj9 - Eugenol
Oha2 m20ylq - Eugenol
T3 rmmejh - Eugenol

charles01

15/03/2014 à 19h30

Bonjour pointG,

En effet tes traitements radiculaires sont jolis, j'arrive sensiblement a avoir ce type de resultats mais je trouve qu'en comparaison aux traitements qu'on peut voir dans les bouquins specialisés endo cela manque a mon goût de "largeur".
Peut être que je fais fausse route..

Pour info combien de mouvements de reptation réalises tu pour chaque instrument?
Tu utilises a la fin un systeme de cône calibré?


pointG

15/03/2014 à 22h04

Effectivement le standard endo serait plutôt comme le disait MARC APAP N25 à 6% à l'apex.Je cherche(c'est personnel)
surtout à atteindre la LT validée par la radio+locateur d'apex si possible;j'utilise un cône de gutta hygenic médium fine ;je coupe l'extrémité à la réglette endo au "trou 35"
Je passe l'hero N20 6% au début à 2/3 de la LT supposée
avec récapitulation manuelle puis N20 4% à la LT suivie
de N25 4% ,N30 à 4% voir 6%
J'essaie de remonter chaque Niti en faisant un mouvement horaire le long des parois(environ 4 mouvements) tout cela avec beaucoup d'hypo(je regrette mais le dakin n'est pas validé par les endos exclusifs)je passe un endoflare mais pas au début=je crains une amorce de déviation du canal
Je suis conscient que mes endos pourraient être plus alésées
à l'apex ;mais j'ai une bonne herméticité (vérifié par un CBCT acheté récemment)
J'ai mis des radios de RTE dans le post consensus "eugénolien" pour une dentisterie du XXI siècle
Le Mac Spadden a changé mes endos;le lentulo n'est plus d'actualité même si une endo cône scellé est très radio opaque;l'endo 3D reste le standard.Il faut un bon "tug back"
sinon il y a un risque réel de faire partir de la gutta dans le périapex quelquefois du ciment canalaire (cela crée des"puff" plutôt positifs.Je prends un Mac spadden de gros diamètre 50;cela casse souvent mais se récupère tout le temps;casse très haute vers le mandrin.Tu connais le lentulo
avec ses dépassements fréquents de pâte canalaire dans le périapex(pour moi à abandonner depuis longtemps....)
Ta triade digue+hypo+Niti est pour moi le standard il faut rajouter le mac spadden (j'ai le système B et j'avoue je ne le maîtrise pas je remonte souvent le cone de gutta en chauffant et même en attendant avant de remonter)


pointG

15/03/2014 à 22h04

;;;


Capture d  cran 2015 03 12 12.28 - Eugenol
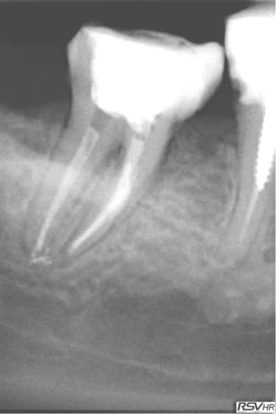
chicot29

15/03/2014 à 22h54

Marc Apap écrivait:
-------------------
> A part qu'il fusille les apex et bouche au lentulo et monocone, ses obturations
> sont magnifiques.
> Trop tard pour moi, suis déjà parti du cabinet.

Monocone = minimum syndical vu le tarifs opposables de merde, je ne m'en cache pas, mais plus de lentulo. Des fois obturation au système B ou au mac spaden.
Apex défoncés, je ne comprend pas expliques. C'est vrai qu'il est plus simple de faire des endos à 4 mm de l'apex comme je vois souvent pour éviter de le leser je suppose.
Loin de moi l'idée de faire les meilleures endo du monde mais par contre je suis assez satisfait du résultat immédiat et à long terme, vu le minimum de temps passé à les faire (10 mn par canal en moyenne)
Tiens les endos de la semaine, que d'apex défoncés !-))
La 47 en fin le distal est obturé au système B (bouchon apical) et au mac spaden pour la partie coronaire, tu vois la différence à la radio ? Alors l'apex défoncé il faut avoir l'oeil ! peut etre mais à 25 centièmes et à conicité 6 %........-))

R15 i7eym6 - Eugenol
R12 qoa6yl - Eugenol
R11 didwov - Eugenol
R9 ccqj1k - Eugenol
R8 vfqozh - Eugenol
R7 fnn7c0 - Eugenol
R6 mxk5f2 - Eugenol
R5 cmvlfg - Eugenol
R2 uz3zld - Eugenol
R1 ffxvla - Eugenol
R16 awsevd - Eugenol
R14jpg ommlbg - Eugenol
R4 h6najr - Eugenol
R1 jhuzef - Eugenol

jeff13

15/03/2014 à 23h23

Tu utilises les cones reciproc? Tu les coupes avant ou tu les chauffes une fois mis dans les canaux?


jeff13

15/03/2014 à 23h23

Tu utilises les cones reciproc? Tu les coupes avant ou tu les chauffes une fois mis dans les canaux?


Capture d  cran 2015 03 12 12.28 - Eugenol
chicot29

16/03/2014 à 00h15

.


Capture d  cran 2015 03 12 12.28 - Eugenol
chicot29

16/03/2014 à 00h15

Ce sont des cones dentsply mais pas les réciprocs. je les scelle au tubuli seal en pompant un peu ( d'ailleurs sur la 25 ci dessous qui avait un 4eme ca a fait un dépassement preuve que ca fuse) je les coupe ensuite au système B avec le pluggeur qui sert à faire le bouchon apical.
Tres pratique d'ailleurs pour faire le cas échéant les tenons dans la séance de l'endo, l'empreinte et la provisoire dans la foulée.

R1 yd7c5a - Eugenol
R2 rn8qyd - Eugenol
R2 ts2qmh - Eugenol

Marque a3 orange fyvhyq - Eugenol
Marc Apap

16/03/2014 à 00h35

Tu as fait des progrès. Disons par exemple que sur la deuxième prémolaire, tu es allé un poil trop loin, ce qui a réduit sérieusement la constriction apicale. Peut être que que tu mesures ta LT un demi millimètre plus longue que nécessaire.


carident

16/03/2014 à 00h55

chicot29 écrivait:
------------------
> Marc Apap écrivait:
> -------------------
> > A part qu'il fusille les apex et bouche au lentulo et monocone, ses
> obturations
> > sont magnifiques.
> > Trop tard pour moi, suis déjà parti du cabinet.
>
> Monocone = minimum syndical vu le tarifs opposables de merde, je ne m'en cache
> pas, mais plus de lentulo. Des fois obturation au système B ou au mac spaden.
> Apex défoncés, je ne comprend pas expliques. C'est vrai qu'il est plus simple de
> faire des endos à 4 mm de l'apex comme je vois souvent pour éviter de le leser
> je suppose.
> Loin de moi l'idée de faire les meilleures endo du monde mais par contre je suis
> assez satisfait du résultat immédiat et à long terme, vu le minimum de temps
> passé à les faire (10 mn par canal en moyenne)
> Tiens les endos de la semaine, que d'apex défoncés !-))
> La 47 en fin le distal est obturé au système B (bouchon apical) et au mac spaden
> pour la partie coronaire, tu vois la différence à la radio ? Alors l'apex
> défoncé il faut avoir l'oeil ! peut etre mais à 25 centièmes et à conicité 6
> %........-))

Te justifies pas Chicot, t'as le droit d'aimer défoncer les petits apex avec tes gros cône de 25... Par contre 10 min., ça fait un peu court, non?


Capture d  cran 2015 03 12 12.28 - Eugenol
chicot29

16/03/2014 à 01h03

On peut effectivement le penser en termes de désinfection canalaire, cependant quand j'ai une urgence pour 4eme c'est rarement suite à une de mes endos. Ca arrive genre mv2 non trouvé et non traité.


Capture d  cran 2015 03 12 12.28 - Eugenol
chicot29

16/03/2014 à 01h10

Marc Apap écrivait:
-------------------
> Tu as fait des progrès. Disons par exemple que sur la deuxième prémolaire, tu es
> allé un poil trop loin, ce qui a réduit sérieusement la constriction apicale.
> Peut être que que tu mesures ta LT un demi millimètre plus longue que
> nécessaire.

Ca c'est du au fait que le réciproc ne fait pas marche arrière comme l'endo master en fonction auto reverse en localisation ( et pour cause ! ) d'ou des fois un petit mm de cone à couper. je pense néanmoins qu'il y a une fonction stop qu'il faudrait que j'utilise. Mais en irrigation abondante d'hypochlorite ca ne marche pas bien la localisation.
La 25 bouchon apical système B + mac spaden pour la partie coronaire. Tu as vu je prend mes précautions pour débuter, ca ne me plait pas trop ces engins qui tournent à 40 000 tours dans un canal-))
Il faut que je trouve la bonne taille ici thermo compacteur noir (40 centièmes).


charles01

16/03/2014 à 02h36

Merci pour vos reponses,

J'ai oublié de le préciser mais j'obture deja au macspadden que je dois je pense mal utiliser...
Je vais me replonger dedans voir ce que je peux ameliorer.


youn

16/03/2014 à 03h33

Achète un reciproc et jette le à chaque dent, si ça t'amuse augmente ta CCM de 17€ et tu seras tranquille.

Cône calibré (tug back +++ et radio cône en place systématique) + Mac spadden jusqu'à 3 mm de l'apex pendant 4 à 6 secondes et remontée le long d'une paroie. Si tu a senti une resistance insuffisante au moment de passer le Macspadden, j'enfonce un fouloir de machetou jusqu'à 5 mm de l'apex en pression et j'attends 10 secondes puis je repasse un coup de macspadden jusqu'à 5 mm et je remonte.

Bon résultats assez fiable (c'est ce que j'ai trouvé de plus reproductible). Par contre bien 2-3 minutes par canal à brosser les parois sous glyde avec le reciproc (après avoir aléser une première fois jusqu'à la longueur de travail).


Petit aparté sur un autre sujet totalement :

J'ai rencontré une difficulté pour la première fois aujourd'hui (cette difficulté-ci, c'est pas la première difficulté que je rencontre), si quelqu'un peut me renseigner : mon patient est venu avec un abcès sur une racine MV de 26, donc je commence mon retraitement, et là rien à faire je ne passe pas! Je ne sais pas ce qui a été utilisé pour obturer : c'est de couleur Ocre (terre battue) et excessivement dur, même au gates je n'arrive pas à l'attaquer, la seul chose qui marche sont les US. Essence d'orange complètement inefficace. Ca ressemble à un ciment, pas à de la gutta, si quelqu'un sait de quoi il peut s'agir...

J'ai trouvé et traité le MV2 (qui ne l'était pas), mais je doute que cela suffise. Si ça ne suffit pas j'amputerais ou j'extrais et implant. Je ne peux pas aller à l'apex avec des US et rien n'attaque cette merde, première fois que mon reciproc est inutile.

--
www.dentaltradegroup.com


alex33

16/03/2014 à 09h28

youn écrivait:
--------------
> Achète un reciproc et jette le à chaque dent, si ça t'amuse augmente ta CCM de
> 17€ et tu seras tranquille.
>
> Cône calibré (tug back +++ et radio cône en place systématique) + Mac spadden
> jusqu'à 3 mm de l'apex pendant 4 à 6 secondes et remontée le long d'une paroie.
> Si tu a senti une resistance insuffisante au moment de passer le Macspadden,
> j'enfonce un fouloir de machetou jusqu'à 5 mm de l'apex en pression et j'attends
> 10 secondes puis je repasse un coup de macspadden jusqu'à 5 mm et je remonte.
>
> Bon résultats assez fiable (c'est ce que j'ai trouvé de plus reproductible). Par
> contre bien 2-3 minutes par canal à brosser les parois sous glyde avec le
> reciproc (après avoir aléser une première fois jusqu'à la longueur de travail).
>
en general, ocre fait penser a l'endomethazone... mais j'ai deja rencontrer des resines foncees quelques fois. Ca correspondrait bien
>
> Petit aparté sur un autre sujet totalement :
>
> J'ai rencontré une difficulté pour la première fois aujourd'hui (cette
> difficulté-ci, c'est pas la première difficulté que je rencontre), si quelqu'un
> peut me renseigner : mon patient est venu avec un abcès sur une racine MV de 26,
> donc je commence mon retraitement, et là rien à faire je ne passe pas! Je ne
> sais pas ce qui a été utilisé pour obturer : c'est de couleur Ocre (terre
> battue) et excessivement dur, même au gates je n'arrive pas à l'attaquer, la
> seul chose qui marche sont les US. Essence d'orange complètement inefficace. Ca
> ressemble à un ciment, pas à de la gutta, si quelqu'un sait de quoi il peut
> s'agir...
>
> J'ai trouvé et traité le MV2 (qui ne l'était pas), mais je doute que cela
> suffise. Si ça ne suffit pas j'amputerais ou j'extrais et implant. Je ne peux
> pas aller à l'apex avec des US et rien n'attaque cette merde, première fois que
> mon reciproc est inutile.
>
> --
> www.dentaltradegroup.com


pointG

16/03/2014 à 14h25

Pour information pour Charles01 et confrères intéressés:la
SFE invite le Docteur Mac Spadden pour le congrès national
à Nice le 12,13,14 juin 2014.
Mais comme le "lentulo" le Mac Spadden sera peut-être
abandonné dans 10-15 ans!
Autrement si tu vois des LIPOE disparaîtrent à 6 mois radiologiquement ,tu peux légitimement penser que
ton endo sous digue+hypo+mac Spadden est un succès


youn

16/03/2014 à 19h10

alex33 écrivait:
----------------

> en general, ocre fait penser a l'endomethazone... mais j'ai deja rencontrer des
> resines foncees quelques fois. Ca correspondrait bien

Ben non sinon l'essence d'orange aurait fonctionné à merveille!

Pour les résines c'est quoi exactement? Y'a un solvant?

--
www.dentaltradegroup.com


carident

16/03/2014 à 21h54

youn écrivait:
--------------
> alex33 écrivait:
> ----------------
>
> > en general, ocre fait penser a l'endomethazone... mais j'ai deja rencontrer
> des
> > resines foncees quelques fois. Ca correspondrait bien
>
> Ben non sinon l'essence d'orange aurait fonctionné à merveille!
>
> Pour les résines c'est quoi exactement? Y'a un solvant?
>
> --
> www.dentaltradegroup.com


Pour les résines : EndoSolv R, ou Résosolv, ou du chloroforme tout simplement...


pointG

16/03/2014 à 21h55

L'ENDO Exclusif de Lyon Docteur Bal disait que pour les résines phénoplastes (genre traitement Spad à base de formaldéhyde)il faut utiliser du TNT!Donc il laissait
entendre que cela n' était pas loin de la mission impossible;
il existe des produits vendus par des labos pour diluer
ces résines bakélites (je pense pas très efficace);j'utilise
de l'acétate d'ethyle (pour mes RTE) les inserts à ultrasons
j'essaie de m'arrêter avant le faux canal sinon obturation à rétro si possible;ou extraction implantation!!!


12