Cookie Consent byPrivacyPolicies.comla mise en forme canalaire - Eugenol

la mise en forme canalaire

charles01

16/03/2014 à 21h55

Merci pointG pour tes precisions.
Je n'ai pas encore assez de recul sur ma pratique pour juger de la reelle qualite de mes endos.
Je me base pour le moment uniquement sur le rendu radio post-.


youn

16/03/2014 à 22h35

pointG écrivait:
----------------
> L'ENDO Exclusif de Lyon Docteur Bal disait que pour les résines phénoplastes
> (genre traitement Spad à base de formaldéhyde)il faut utiliser du TNT!Donc il
> laissait
> entendre que cela n' était pas loin de la mission impossible;
> il existe des produits vendus par des labos pour diluer
> ces résines bakélites (je pense pas très efficace);j'utilise
> de l'acétate d'ethyle (pour mes RTE) les inserts à ultrasons
> j'essaie de m'arrêter avant le faux canal sinon obturation à rétro si
> possible;ou extraction implantation!!!

J'ai essayé les inserts US j'en ai un qui m'a emmené à 5mm de l'apex, mais je crains de n'avoir fait un faux canal... Je sais gérer et je pourrais mettre du Mta pour obturer, mais sincèrement si je n'arrive pas à désoburer le reste je ne suis pas convaincu que cette dent ait un avenir.

Je vais tester l'endosolv et l'acétate, on verra, mais j'ai prévenu le patient que à mon avis c'était cuit.

C'est encore vendu ces merdes de résines? Parce que l'endo de ce monsieur n'a que dix ans, ça m'a vraiment surpris.

Si même Bal jette l'éponge ça ne laisse rien présager de très bon...

--
www.dentaltradegroup.com


pointG

17/03/2014 à 15h22

Pour Youn:il y a un post "eugénolien" disparition du traitement "spad" (formaldéhyde bakélite)
le post date de 2012!!!


charles01

18/03/2014 à 12h14

un petit retour sur un traitement canalaire datant de ce matin, voila ma séquence:

-pose de la digue
- dépose du pansement et élargissement Endo -Z
- passage lime 8 10 et 15 et racleur 10 et 15
- radio lime en place
- passage sériel des rotatifs Heroshaper avec lime de cathé entre chaque et rinçage hypochlorite
- Radio cône en place
- Obturation ( finger et Macspadden).

Voila le problème, l'endo ne me satisfait pas, sur les radios lime en place, aucun souci et dès que les cônes entrent dans le jeu tout déraille..
Ou est mon erreur? est ce que j'oublie une étape?

Je regarde dans la matinée pour vous mettre la référence des cônes que j'utilise.
C'est frustrant... très frustrant..


youn

18/03/2014 à 12h57


Mets nous toutes les radios, et en grand!
--
www.dentaltradegroup.com


charles01

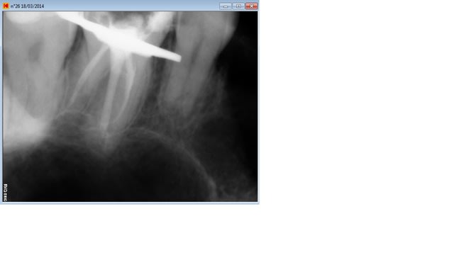
18/03/2014 à 13h21

En voila deux supplémentaires, impossible de retrouver la dernière j'ai du l'enregistrer sur un autre dossier, je cherche ça.

On voit bien le cône dans le palatin qui bloque..
A vrai dire c'est surtout le palatin qui me gêne au niveau longueur, je trouve les deux autres pas trop mal (mis a part la condensation que je trouve encore très moyenne..)

PS: @ Youn: encore plus grand que ça?

Endo 3 whlpmn - Eugenol
Endo 2 xrkhhj - Eugenol
Endo 4 semoks - Eugenol

Capture d  cran 2015 03 12 12.28 - Eugenol
chicot29

18/03/2014 à 13h57

charles01 écrivait:
-------------------
> un petit retour sur un traitement canalaire datant de ce matin, voila ma
> séquence:
>
> -pose de la digue
> - dépose du pansement et élargissement Endo -Z
> - passage lime 8 10 et 15 et racleur 10 et 15
> - radio lime en place
> - passage sériel des rotatifs Heroshaper avec lime de cathé entre chaque et
> rinçage hypochlorite
> - Radio cône en place
> - Obturation ( finger et Macspadden).
>
> Voila le problème, l'endo ne me satisfait pas, sur les radios lime en place,
> aucun souci et dès que les cônes entrent dans le jeu tout déraille..
> Ou est mon erreur? est ce que j'oublie une étape?
>
> Je regarde dans la matinée pour vous mettre la référence des cônes que
> j'utilise.
> C'est frustrant... très frustrant..

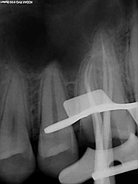
Ce qui merde à mon avis ce sont tes hero shapers ( ca doit tasser de la m.. au fond), passes au réciproc. Pour te frustrer un peu plus ci dessous des radios d'endos réalisées sans cathétérisme manuel et oh ! sacrilège au monocone scellé, 10 mn par canal , sans se casser le tronc.-))
Je vois que tu a le système KODAK comme moi, clic droit sur la radio

Clic droit sur la radio, envoyer vers dossier, choisir dans le menu déroulant format Jpeg, envoyer.





R1 nt0dqo - Eugenol
R3 zt7ydp - Eugenol
R2 pu48rd - Eugenol
R4 idqien - Eugenol

charles01

18/03/2014 à 14h03

Joli!!
Donc tu penses que les hero sont en cause.
Ce qui m'etonne c'est que sur ma precedente collab j'utilisais egalement des hero et j'avais de meilleurs resultats (avant je ne passais pas enorme de limes de cathé pourtant)

Existe il des cones calibres pour le systeme hero au cas ou?

Le systeme reciproc me tente enormement mais va falloir mettre de cote pour cela avant.


Capture d  cran 2015 03 12 12.28 - Eugenol
chicot29

18/03/2014 à 14h11

charles01 écrivait:
-------------------
> Joli!!
> Donc tu penses que les hero sont en cause.
> Ce qui m'etonne c'est que sur ma precedente collab j'utilisais egalement des
> hero et j'avais de meilleurs resultats (avant je ne passais pas enorme de limes
> de cathé pourtant)
>
> Existe il des cones calibres pour le systeme hero au cas ou?
>
> Le systeme reciproc me tente enormement mais va falloir mettre de cote pour cela
> avant.


Je vois que tu a le système KODAK comme moi, clic droit sur la radio
, envoyer vers dossier, choisir dans le menu déroulant format Jpeg, envoyer.

?????? les leasing ca existe, pas pour le consommable par contre ( je les commande par 100 à 16 euros l'instrument gloups !) Ceci dit un contrat à prélèvement mensuel chez un fournisseur permettent de faire passer la pilule. ( 1000 euros par mois chez mega dental dans mon cas). Mais quel gain de temps ! et le temps c'est de l'argent.
Fais plus de prothèse ca dégage de la trésorerie ! -))




youn

18/03/2014 à 15h27

Il faut surtout ta cône en place, c'est là qu'on voit les défauts de mise en forme, la lime en place te sert juste à mesurer ton canal quand tu ne peux pas te fier au localisateur (X ou Y raisons, ou soupçons de mauvaise mesure : longueurs étranges).

Pour les radios vire le blanc : moi je fais impression d'écran -> Paint-> Coller (ctrl+V)->je sélectionne la partie de la radio qui m'intéresse-> Couper (ctrl+X)-> Sélectionner tout (ctrl+A)-> Suppr-> je réduis au max le champ (le carré blanc)-> Coller (Ctrl+V)->enregistrer sous.
C'est le blanc autour qui fait que c'est petit à l'écran.

--
www.dentaltradegroup.com


12