Cookie Consent byPrivacyPolicies.comfracture protaper et RCP - Eugenol

fracture protaper et RCP

moi22

17/03/2014 à 15h26

Bonjour à tous,
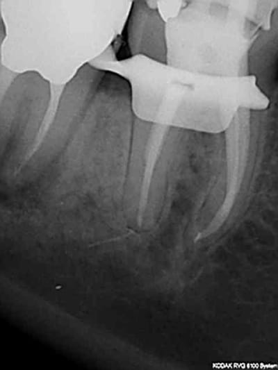
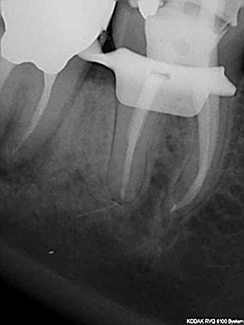
J'ai vu une patiente le 21 mai 2013 pour un traitement endo sur 27 qui devait être suivi d'une prothèse. Après le traitement il n'y a plus eu de suivi de la part de la patiente jusqu'au 25 novembre. La dent n'avait plus de pansement depuis un moment et une légère sensibilité à la percussion.
J'ai décidé de reprendre le traitement à la CRAC ! un protaper cassé.

Je l'oriente vers un endo pour soit enlever l'instrument soit passer à coté et là l'assistante de cet endo lui dit que c'est à moi de payer pour le traitement, depuis elle a bille en tête et me demande de payer.
Est ce vraiment à moi de payer pour une reprise de traitement car la patiente n'a pas suivi les recommandations? La RCP intervient à ce moment là? si oui y'a t il une conséquence pour moi?

Merci !


Grueavatar nptrc9 - Eugenol
Le Choixpeau magique

17/03/2014 à 16h25

A mon avis dans l'ordre :
- éclaircissement avec l'endo pour savoir quelle est la CAT au niveau financier maintenant que son assistante a fait une bévue. Si pas de solution sur ce plan là, je reconsidèrerais ma collaboration avec cet endo, à modérer en fonction de votre passé commun
- sinon contact RCP et tu les laisses gérer.


G-P

17/03/2014 à 16h28

Le Choixpeau magique écrivait:
------------------------------
> A mon avis dans l'ordre :
> - éclaircissement avec l'endo pour savoir quelle est la CAT au niveau financier
> maintenant que son assistante a fait une bévue. Si pas de solution sur ce plan
> là, je reconsidèrerais ma collaboration avec cet endo, à modérer en fonction de
> votre passé commun
> - sinon contact RCP et tu les laisses gérer.

Pas mieux, ton endo doit recadrer sévèrement cette assistante si c'est vrai, mais j'en doute fortement. Ne jamais croire un patient.


moi22

17/03/2014 à 16h40

Merci pour vos réponse
Dans ce cas malheureusement je suis obligé de la croire car mon assistante l'a accompagné ( elles sont copines et j'ai toute confiance ).
Oui je pensais envoyé un mail à l'endo ( je l'avais adressé vers un avec qui je travail mais elle a préférer prendre dans le botin...)
Si la RCP rentre en jeu va t il y avoir une conséquence pour moi? augmentation de cotisation par exemple?


G-P

17/03/2014 à 16h56

Quoi qu'il arrive ne paye pas un centime, aléa thérapeutique.


moi22

17/03/2014 à 17h19

Oui il est hors de question que je paye de ma poche pour une patiente qui n'a pas donné suite au traitement mais donc la RCP n'intervient pas quand c'est un aléa thérapeutique ?


Capture d  cran 2015 03 12 12.28 - Eugenol
chicot29

17/03/2014 à 17h50

6 mois à l'air et sensibilité à la percussion ? Motif de la consultation je suppose. Exctac + implant. Ca va finir par rentrer les recommandations du praticien.-))


Gregory H

17/03/2014 à 18h44

La vache, ça a l'air horrible comme métier!


moi22

18/03/2014 à 00h15

Mais la grande question , et je sais pas si quelqu'un connait la réponse, est ce que la RCP peut intervenir sachant que, si je puis dire, c'est une fracture en seconde intention? et Si elle intervient y'a t il des conséquences pour moi ? ( cotisation par exemple? )


Blondie

18/03/2014 à 13h58

Si j'ai bien compris, c'est une copine de ton assistante qui te demande de régler les conséquences de sa négligence ?


moi22

18/03/2014 à 14h47

Blondie écrivait:
-----------------
> Si j'ai bien compris, c'est une copine de ton assistante qui te demande de
> régler les conséquences de sa négligence ?

Voila ! !


bf

18/03/2014 à 16h00

1: ne pas envoyer à l'exclusif pour un instrument casssé, en effet s'il est bien coincé il ne fera pas mieux que toi et puis des dents asymptomatiques avec un lentulo pété depuis des années je suppose que tu en a déjà vu pas mal !!!

2: ne pas enclencher la RCP car ta cotisation n'augmentera pas certes , mais ton taux de sinistralité lui il augmentera , et le jour ou il y a un pépin sérieux cela risque de se compliquer ...........

rien n'est gratuit ; ils te couvrent ( et encore ) mais ils s'en souviennent ......


le figou

18/03/2014 à 17h13

moi22 écrivait:
---------------

> n'a pas suivi les recommandations? La RCP intervient à ce moment là? si oui y'a
> t il une conséquence pour moi?
>
> Merci !

dors tranquille ta RCP est là et ce n'est pas comme les voitures ,tu n'as pas de malus sur ta prime(en tout cas pas à la médicale de france) maintenant si tu déclares un sinistre par semaine ,à mon avis ils te vireront


pointG

18/03/2014 à 22h24

Je pense qu'il faut absolument que tu montes un dossier
pour ta RCP;cela ne veut pas dire obligatoirement que tu auras une procédure.
Tu pourrais être amené à t'expliquer auprès de ton conseil départemental de l'ordre à la demande de ta patiente;tu as
des arguments comme la négligence de ta patiente,
mais tu es responsable de la casse du Niti (ne te pends pas,
il n'existe pas un Chirurgien-dentiste et même un endo exclusif qui n'ont jamais cassé un instrument endo.....)Le
problème est que ta patiente est avertie ;il y a un problème d'honoraires ;contacte ta RCP et demande des conseils.
La patiente peut te demander des comptes ou non.
Mais notre RCP est faîte pour nous défendre;à mon avis pas de
fantasmes de sur-prime ou autre.


pointG

18/03/2014 à 22h42

Autrement le recourt à un endo exclusif est une solution
;il travaille sous microscope ,connait parfaitement les
procédures à suivre pour retirer un instrument;il fait
souvent une consultation préliminaire pour présenter son
devis;si il ne parvient pas à contourner l'obstacle ou enlever l'instrument ,alors la solution extraction implantation peut être envisagée (inconvénient l'endo
exclusif n'est pas conventionné le plus souvent).
Autrement cela met arrivé de payer un implant gratuitement
à mon implanto exclusif(quand je ne savais pas les poser)pour
une erreur de ma part...
J'ai payé déjà 3 vêtements à des patients (hypochlorite
tombé sur leur tenue=depuis je pose une blouse de protection
pour toute endo)


pointG

19/03/2014 à 20h41

pointG écrivait:
----------------
> Autrement le recourt à un endo exclusif est une solution
> ;il travaille sous microscope ,connait parfaitement les
> procédures à suivre pour retirer un instrument;il fait
> souvent une consultation préliminaire pour présenter son
> devis;si il ne parvient pas à contourner l'obstacle ou enlever l'instrument
> ,alors la solution extraction implantation peut être envisagée (inconvénient
> l'endo
> exclusif n'est pas conventionné le plus souvent).
> Autrement cela m'est arrivé de payer un implant gratuitement
> à mon implanto exclusif(quand je ne savais pas les poser)pour
> une erreur de ma part...
> J'ai payé déjà 3 vêtements à des patients (hypochlorite
> tombé sur leur tenue=depuis je pose une blouse de protection
> pour toute endo)


Capture d  cran 2015 03 12 12.28 - Eugenol
chicot29

20/03/2014 à 22h21

Pff. Ca arrive à tout le monde de péter un instrument. J'ai également eu un souci tout a l'heure, un R25 a pété à son 10 ème canal de traité.
Avant de faire jouer ma RC, il faut que je trouve un endo exclusif pour aller le chercher, comme on est ravitaillé par les corbeaux dans mon coin question spécialistes, c'est pas gagné ! -))

R1 tuj9hp - Eugenol

pointG

21/03/2014 à 00h12

Je n'ai pas suggéré de faire appel à sa RCP chaque fois qu'un
instrument endo est cassé !Mais dans le contexte décrit
je sens une patiente "revendicatrice " à grands risques de
conflit!
Pour "chicot29" tu as mis la digue donc on peut estimer l'endo à l'abri d'une contamination bactérienne;si ton instrument est stérilisé cela devrait bien se passer et
surtout si l'endo a baigné dans l'hypo (et non dans le dakin)
Le bout de Niti est très bas impossible à déloger ;au mieux un bi-pass mais cela en vaut-il le coup:les risques de LIPOE
semblent peu importants!


Capture d  cran 2015 03 12 12.28 - Eugenol
chicot29

21/03/2014 à 11h20

pointG écrivait:
----------------

> surtout si l'endo a baigné dans l'hypo (et non dans le dakin)

??? Quoi c'est le permanganate de potassium qui fout la merde ?-))


Capture d  cran 2015 03 12 12.28 - Eugenol
chicot29

21/03/2014 à 11h27

pointG écrivait:
----------------
> Je n'ai pas suggéré de faire appel à sa RCP chaque fois qu'un
> instrument endo est cassé !Mais dans le contexte décrit
> je sens une patiente "revendicatrice " à grands risques de
> conflit!
> Pour "chicot29" tu as mis la digue donc on peut estimer l'endo à l'abri d'une
> contamination bactérienne;si ton instrument est stérilisé cela devrait bien se
> passer et
> surtout si l'endo a baigné dans l'hypo (et non dans le dakin)
> Le bout de Niti est très bas impossible à déloger ;au mieux un bi-pass mais cela
> en vaut-il le coup:les risques de LIPOE
> semblent peu importants!

Et surtout bien prévenir le patient qu'il faut surveiller vu qu'il existe un instrument fracturé. Tout dépend de sa "psychologie" après.-))
Pour éviter ca je suggère des endos style peinture canalaire à 10 mm de l'apex sans digue (of course), qui elles ne sont pas à surveiller et qui sont plus en adéquation avec les réalités économiques de nos cabinets.-))


pointG

21/03/2014 à 20h43

"Chicot29" :tu as oublié:notre pays est foutu!!!


moi22

21/03/2014 à 20h48

Merci pour vos réponses.
La patiente n'est absolument pas agressive, elle comprend la situation, elle n'a juste pas les moyens de payer un endo.
Par contre a priori lorsqu'elle a envoyé le devis à l'époque sa mutuelle lui a donné une mauvaise simulation avec un reste à charge trop important pour elle donc elle n'a pas suivi la suite du traitement.
Je lui ai donc conseillé de jouer sur ça car c'est donc la faute d'une mauvaise réponse de la mutuelle que les soins n'ont pas pu se poursuive.

Et puis prendre de l'argent à la mutuelle ça me rend heureux bizarrement...


Gregory H

21/03/2014 à 21h47

moi22 écrivait:
---------------

> Par contre a priori lorsqu'elle a envoyé le devis à l'époque sa mutuelle lui a
> donné une mauvaise simulation avec un reste à charge trop important pour elle
> donc elle n'a pas suivi la suite du traitement.
> Je lui ai donc conseillé de jouer sur ça car c'est donc la faute d'une mauvaise
> réponse de la mutuelle que les soins n'ont pas pu se poursuive.


Qu'ils sont méchants, les dentistes qui ne commencent pas le traitement avant la signature du devis! :-)))

Tu crois vraiment que la mutuelle va payer l'endo exclusif à ta patiente parce qu'ils se sont plantés? LOL.


youn

22/03/2014 à 00h39

chicot29 écrivait:
------------------
> Pff. Ca arrive à tout le monde de péter un instrument. J'ai également eu un
> souci tout a l'heure, un R25 a pété à son 10 ème canal de traité.
> Avant de faire jouer ma RC, il faut que je trouve un endo exclusif pour aller le
> chercher, comme on est ravitaillé par les corbeaux dans mon coin question
> spécialistes, c'est pas gagné ! -))

Très drôle, bon courage à l'heureux endo exclusif élu!

A moins de défoncer l'apex, là...

Utilise les en usage unique et t'auras moins de soucis, et augmente ta CCM+IC de 16€...Si t'as un patient qui relève bravo!


--
www.dentaltradegroup.com


Capture d  cran 2015 03 12 12.28 - Eugenol
chicot29

22/03/2014 à 00h56

Ca me fait rigoler de parler de RC à cause d'un instrument pété au vu de la qualité moyenne des traitements endos tarif NGAP. Dans un cas on peut évoquer l'alea thérapeutique, mais dans l'autre que faut il évoquer ? La fidélisation du patient ?-))

"Utilise les en usage unique et t'auras moins de soucis, et augmente ta CCM+IC de 16€...Si t'as un patient qui relève bravo! "

Si tu y ajoutes tous les instruments indispensables pour faire une dentisterie et une sté de qualité et que tu reportes tout sur l'ed tu vas passer pour un voleur. Déjà qu'à la base tu en est un .....
En fait en les jetant systématiquement je pense que l'addition doit approcher pas loin du leasing mensuel de mes 2 fauteuils ou d'un cerec par exemple. Ca commence à causer pour un seul instrument d'endo.-))


12