Cookie Consent byPrivacyPolicies.comvous en pensez quoi de cette endo? - Eugenol

vous en pensez quoi de cette endo?

cool-tag

03/04/2014 à 14h18

bonjour
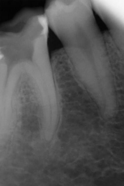
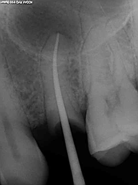
j'ai fais cette endo mardi dernier,la dent etait assez difficile (canaux fins++,4 canaux)
la patiente ressentait une douleur dans le canal disto vestibulaire,(malgré troncu+intra-septale)
je n'ai pas réussi à aller plus loin d'ailleurs sur ce canal.
je ne suis pas super satisfaite au niveau radio sachant que je doit couronner.
en plus c'etait avec le reciproc que j'utilisait pour la 1ère fois.
j'y ai passée beaucoup trop de temps déjà(plus d'une heure)
que feriez vous?
couronne d'emblée ou reprise de certain canaux la prochaine fois?

Pinabel l 19830410 36576592 1 jgm7mt - Eugenol
Pinabel l 19830410 36229512 1 1  jrak81 - Eugenol
Pinabel l 19830410 36532608 1 1  bhazly - Eugenol
Pinabel l 19830410 36576592 1 1  kccunk - Eugenol
Pinabel l 19830410 294742896 1 oxayu7 - Eugenol

S8ysxdzhdqgw00w4q6m07a5d47q2 - Eugenol
Gai-Luron

03/04/2014 à 14h24

Joli... mais on n'a pas la radio...


cool-tag

03/04/2014 à 14h28

c'est bon,j'avais ete trop rapide ;-)


Capture d  cran 2015 03 12 12.28 - Eugenol
chicot29

03/04/2014 à 14h40

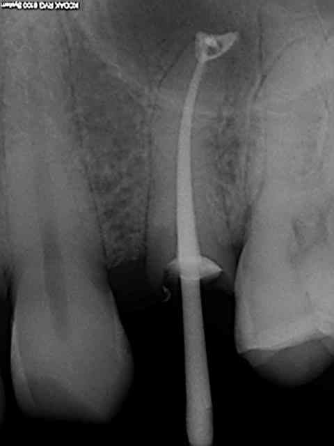
Tu as oublié le ciment de scellement des cones ? c'est bien parti, largement au dessus de la moyenne.-))


G-P

03/04/2014 à 15h36

Pas grave, pour l'aumône qu'on te donne pour cette endo, c'est largement suffisant.
A l'impossible nul n'est tenu.


Image r6habu - Eugenol
Thomas Crown

03/04/2014 à 19h50

tu as obturé ou pas; mono cone ou laterale ou compact? une rx peut etre.. vas y couronne, c est bien.


cônemorse

03/04/2014 à 19h53

Si toutes les endos étaient aussi foireuses, on poserait moins d'implants ;-)!


cool-tag

03/04/2014 à 22h43

Je vous remercie pour ces réponses.
Ça me rassure .
En general je fais la technique de condensation laterale et depuis peu je thermocondense.
Sauf que là j'etais perturbe par le cone reciproc et avec le temps j'ai fait du monocone.
C'est pas terrible , je sais.


Capture d  cran 2015 03 12 12.28 - Eugenol
chicot29

03/04/2014 à 23h53

Alors mono-cone ou pas ?-))

R4 hjg2fs - Eugenol

Darmon - Eugenol
Latin

03/04/2014 à 23h55

Le monocone sans ciment personne ne sait ce que ça donne dans le temps...
C'est pas comme le ciment sans monocone!


cool-tag

04/04/2014 à 00h10

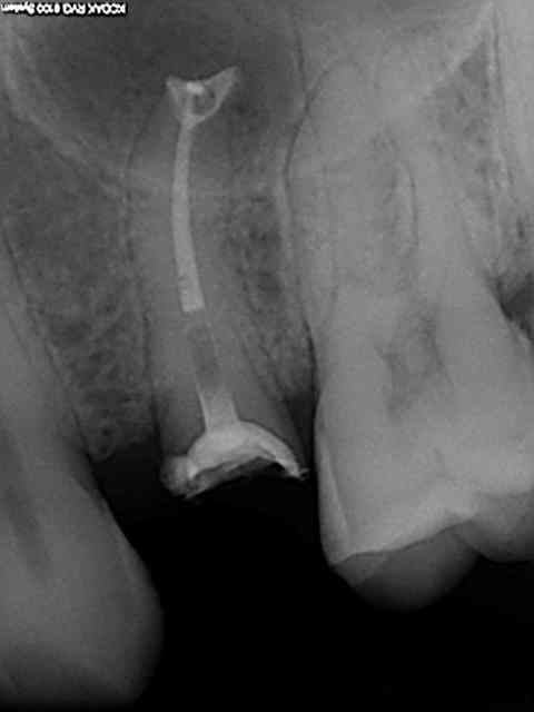
Ma radio est prise avant l'obturation!!
Ensuite je passe les cones fans l'hypochlorite puis je les seche et les enduits de ciments
J'envoi la photo post op la prochaine fois!, des que j'ai revu la patiente.


Avatar eugenol pe0ymx - Eugenol
nicklebenou

04/04/2014 à 00h56

chicot29 écrivait:
------------------
> Alors mono-cone ou pas ?-))
Cela m étonnerait que ce soit un mono cône. Alors?


Index vakr2r - Eugenol
pgc

04/04/2014 à 01h03

cool-tag écrivait:
------------------
> ...
> Ensuite je passe les cones fans l'hypochlorite puis je les seche et les enduits
> de ciments
> ...

Ca me rappelle le dialogue le plus drôle que j'ai lu sur eugénol:
"- je trempe les cônes de gutta dans l'hypochlorite pour les stériliser.
- mais le flacon d'hypo n'est plus stérile après que tu l'as touché.
- pour stériliser le flacon, je le frotte avec de la gutta stérile."
;)

Ton endo sera très bien. Tu peux faire ta couronne tranquillou. Il ne faut pas faire des fixettes sur les actes du quotidien.


Capture d  cran 2015 03 12 12.28 - Eugenol
chicot29

04/04/2014 à 01h31

nicklebenou écrivait:
---------------------
> chicot29 écrivait:
> ------------------
> > Alors mono-cone ou pas ?-))
> Cela m étonnerait que ce soit un mono cône. Alors?

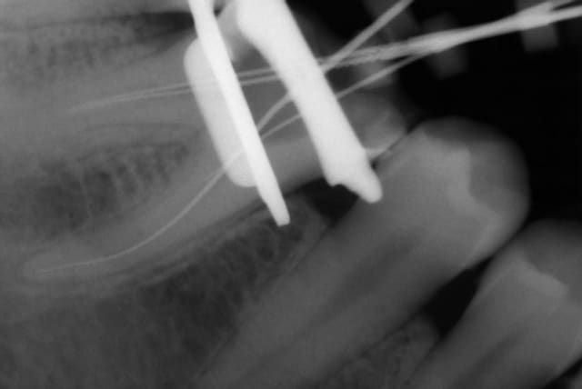
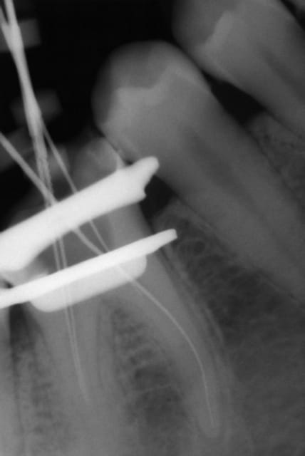
Ben si monocone. Je dis pas qu'il n'y a pas eu un coup de système B et de machtou après mais seulement pour amorcer le logement du tenon. Pas de lentulo par contre.-))
Je précise que c'était un 4eme des familles avec fistule.

R2 jphej9 - Eugenol
R1 pvxsxj - Eugenol

Sans titre tztxfv - Eugenol
Monet

04/04/2014 à 09h58

Chicot 29, que comptes tu faire de cette racine de prémolaire?
Parce que pour moi, cette dent est foutue.
;0)


Capture d  cran 2015 03 12 12.28 - Eugenol
chicot29

04/04/2014 à 10h21

Un ic coiffe pourquoi ? et ci ca merde bousiller 23 et 26 pour faire un bridge dans quelques années ( endos sous digue hein cette fois ci, il y aura matière à cramponner) pour que mon patient soit bien remboursé.. Si c'est pas moi qui le fait c'est un roumain ou un centre low-cost qui va s'y coller.-))


jeff13

04/04/2014 à 11h59

Comment tu fais pour preparer ton logement pour ton tenon dans la seance, si tu fais du monocone?


01 ukhwbq - Eugenol
ʎqqoq

04/04/2014 à 12h13

Petit coup de thermocompacteur...
On dirait que c'est un gros mot "momocône". Avec les cônes calibrés et un Mac Sapdden, on obtient de belles obturations, et rapidement.

Je suis bien compter de ne plus être obligé de me taper les "forêts" de cônes et le finger spreader. Qu'est-ce que ça pouvait être fastidieux...


jeff13

04/04/2014 à 12h16

oui mais il utilise pas le mc spadden, c'est pour ca que je comprends pas


Avatar eugenol pe0ymx - Eugenol
nicklebenou

04/04/2014 à 13h42

chicot29 écrivait:
------------------
> nicklebenou écrivait:
> ---------------------
> > chicot29 écrivait:
> > ------------------
> > > Alors mono-cone ou pas ?-))
> > Cela m étonnerait que ce soit un mono cône. Alors?
>
> Ben si monocone. Je dis pas qu'il n'y a pas eu un coup de système B et de
> machtou après mais seulement pour amorcer le logement du tenon. Pas de lentulo
> par contre.-))
> Je précise que c'était un 4eme des familles avec fistule.

lol. il me semblait bien qu'il y avait un petit coup de système b sur la partie haute de la pâte.
J'aurai fait comme toi ic+coiffe


Capture d  cran 2015 03 12 12.28 - Eugenol
chicot29

04/04/2014 à 13h47

Système B à la buchanan mais version NGAP Je descend à 10 mm dans le canal puis machtou vert ( ben oui je vais pas à 4mm de l'apex ) ca fait un sandwich monocone en bas et down-pack en haut ( plutot un "up pack", je vais faire breveter le concept lol !). Technique système D. -))
C'est simple comme une négociation CNSD-UNCAM tu mets la saleté sous le tapis et c'est propre.


belette

04/04/2014 à 14h23

cool-tag écrivait: j'y ai passée beaucoup trop de temps déjà(plus d'une heure)

c'est bien le problème de l'endo... Personnellement jamais moins de 2 h (je travaille sans assistante) et pas mieux comme résultat.

^ ... ^
Ô"""Ô
= o =
°°°°°


mathieu

04/04/2014 à 14h31

chicot29 écrivait:
------------------
> Système B à la buchanan mais version NGAP Je descend à 10 mm dans le canal puis
> machtou vert ( ben oui je vais pas à 4mm de l'apex ) ca fait un sandwich
> monocone en bas et down-pack en haut ( plutot un "up pack", je vais faire
> breveter le concept lol !). Technique système D. -))
> C'est simple comme une négociation CNSD-UNCAM tu mets la saleté sous le tapis et
> c'est propre.

sympa cette technique , je vais pouvoir l'associer à mon reciproc 25 à 1 mm de l'apex, après recherche de ma butee au c+ 10


Capture d  cran 2015 03 12 12.28 - Eugenol
chicot29

04/04/2014 à 14h49

Dans ce cas précis il a fallu aborder le cas de facon "holistique". L'anamnèse ayant révélé que le patient gagnait le SMIC, il y avait 2 solutions.

1. démission et attendre la CMU cliniquement in- envisageable ( la dent déjà pas brillante aurait été à extraire, puis bridge en bousillant 23 et 26) et financièrement pas terrible ( pas d'indemnités de licenciement).
2. Aller voir le banque-assureur ou l'assureur-banque pour envisager un emprunt de 1200 euros ( il y a 2 dents à faire) ou prendre une mutuelle. La réponse est évidente (négatif, tu es déjà en découvert tous les mois ) l'option mutuelle (le patient n'en a pas) s'impose ( par ici les sous sous dans la popoche).

Le patient a donc pris une mutuelle à 80 euros par mois pour une couverture à 300 % ce qui va lui rembourser ses 2 ic-cérams (avec une ventilation adéquate des honoraires). Le Bilan entre remboursements-cotisations va etre quasi nul sur l'année mais aura le mérite d'étaler le paiement et d'éviter à son praticien de faire le banquier.
Il va de soi que la mutuelle est résiliée l'année suivante (ou la garantie transformée en hospitalisation simple) . Le patient ainsi discipliné à mettre 80 euros par mois de coté pour sa santé n'aura aucun soucis pour payer dans quelques années l'implant qui sera nécessaire pour remplacer cette 24.


Gregory H

04/04/2014 à 14h56

mathieu écrivait:
-----------------

>
> sympa cette technique , je vais pouvoir l'associer à mon reciproc 25 à 1 mm de
> l'apex, après recherche de ma butee au c+ 10


Le gutta condensor c'est bien aussi...


12